유방암 15강 – 항암제 파크리탁셀 암을 퍼지게도 한다.

본인이 사상의학적으로 주장하는 항암제는 체질에 따라서 사용해야 하고 체질이 안 맞을 때는 오히려 항암제가 암을 더 빨리 퍼뜨릴 수 있다는 주장에 대해서, 최신 미국에서 연구된 택솔이 유방암 환자의 폐전이를 악화시킬 수 있고 촉발할 수 있다는 주장을 연구한 기사를 소개해 본다. 나중에 이 논문을 자세히 보고 실어보려고 하는데 독자들은 유방암 14강의 환자가 소음인 체질로 택솔을 매주 1회 12 차를 사용하고 나서 폐전이 뼈전이가 된 경우를 보았을 것이다. 이 부분을 같이 연결시켜서 생각해 보면 알  수 있으리라 본다.

 

http://health.chosun.com/news/dailynews_view.jsp?mn_idx=197500

널리 사용되는 항암화학제 약물이 실제로 암 세포가 퍼지게 할 수 있는 것으로 나타났다.

8일 오하이오주립대학 연구팀이 미국립과학원보’에 발표한 새로운 연구결과에 의하면 항암화학제의 부작용들로 인해 유방암이 퍼질 수 있는 것으로 나타났다.

최근 들어 항암제의 효능의 진보로 인해 유방암 생존율은 최근 몇 년 내 계속 향상되고 있다. 하지만 이전 연구들에 의하면 유방암 치료에 사용되는 항암화학제가 전이 위험을 높이는 것으로 나타난 바 있다.

실제로 올 초 발표된 한 연구에 의하면 유방암에서의 항암화학요법이 유방암을 앓는 쥐와 소규모의 유방암 환자에서 세포 수준에서 변화를 유발할 수 있는 것으로 나타난 바 있다.

이번 연구결과 파클리탁셀(paclitaxel)이라는 유방암, 폐암, 난소암 등 각종 암 치료에 널리 사용되는 항암화학제가 유방암 세포들이 폐로 퍼지게 하는 것으로 나타났다.

실제로 파클리탁셀이 스트레스에 의해 활성화되는 전사인자인 Atf3이라는 유전자 과발현을 유발할 수 있어 이로 인해 폐 내 암 세포 친화 환경을 만들어 유방암이 전이되게 하는 것으로 나타났다.

연구팀은 “파클리탁셀이 유방암 치료에 도움이 될 수 있을 뿐 아니라 암이 퍼지게도 할 수 있다”라고 강조했다.

메디컬투데이 남연희 기자 ralph0407@mdtoday.co.kr
  • * Copyright ⓒ 메디컬투데이 All Rights Reserved.
  • * 본 기사의 내용은 헬스조선의 편집방향과 일치하지 않을 수도 있습니다.

유방암 14강 – 유방암의 표준 항암 AC 4차 이후 taxol을 12차 후 1년만에 전이된 소음인 유방암 환자의 이야기

본고에서는 표준치료방식인 AC와 Taxol 요법에 대한 소음인 환자의 반응의 한 예로 매우 빨리 악화되어 사망까지 이르게 된 환자의 이야기를 실어본다. 나는 개인적인 주장으로 유방암에서 AC/taxol 공식은 그나마 태음인에게는 적절하고 기타 체질에는 적합치 않다는 주장을 한다.

태음인은 초기 AC의 항암으로 인한 부작용으로 고생을 하지만, 이후 체질에 맞는 taxol과 방사선 tamoxifen 요법 등이 모두 태음인에게 적합하므로 비교적 좋은 예후를 가지고 있고, 완치의 가능성이 높다고 본다. 하지만 소음인이 이러한 공식을 사용하여서 AC #4 차  Taxol #4 차를 시행하면 2 – 3년 내로 재발하는 확률이 높다고 본다. 여기서 소개하는 환자는 세포의 핵분열 지수가 높아서 -Ki 67 항원이 높게 나타나는 바람에 나름 대로는 대처를 하기 위해서 taxol 요법을 weekly 시행하여 매주마다 택솔을 12 차를 시행한 분이다.

앞선 원고에서 이미 말했듯이 수술이 암을 완벽히 제거하지는 않는다. 오히려 수술을 통하여서 전이될 확률도 높다. 그러나 수술 이후에 잔여 암들을 체질에 맞는 항암이나 방사선 기타의 호르몬 요법들이 억제를 해 주고 여기다가 본인의 면역능력이 같이 암의 억제를 막아 주는 것이다. 그러나 항암제가 내가 주장하듯이 체질에 맞지 않을 때는, 항암제가 매우 힘이 들고 체력을 떨어뜨리면서 직접 간접으로 암의 확산이나 전이를 더 촉진하게 된다는 게 나의 주장이다.

그래서 현재의 표준치료방법은 개선되어야 한다. 물론 많은 태음인들과 또한 소음인 중에서도 태음성 소음인들이 이후 치료가 어떤 약물의 선택이냐에 따라서 재발을 안 할 수도 있겠지만 그래도 소음인들은 표준치료 중에 AC #4 차와 taxol #4 차보다 AC #6 차와 이후 doxifluridine이나 UFT 등을 복용시키는 게 훨씬 재발율을 낮출 수 있다고 본다.

환자사례.

이 환자는 7월13에 나한테 환자는 오지 못하고, 온 가족이 모두 방을 메울 정도로 와서 진료를 받고 나는 당시 한 달을 절대 못 넘기니 약을 지어 줄 수 없다고 하였으나, 보호자들은 매우 화난 표정으로 의사가 어떻게 그런 이야기를 할 수 있냐 긍정적인 이야기를 해 주어야지 하면서 따지듯 묻고, 정작 남편은 모 병원에서 친절한 의사의 상담에 신뢰가 가서 이 의사의 권유로 사용하였던 최신 표적치료에 기대를 걸고 싶은 마음이었으나 가족들에게 밀려서 우리 의원에 온 경우이다. 나는 환자를 직접 보지 못 하였고 사진진료를 하였고, 소용이 없다고 말을 하였지만 가족들의 권유로 치료를 마지못해 시작하였으나 약을 채 먹기도 전에 뇌전이가 발견되어서 응급으로 서울대를 가서 사망을 한 사례이다. 내가 진료할 당시는 뇌전이를 몰랐고, 이후 MR을 보게 되니 정말로 빠른 전이를 볼 수가 있었다. 그리하여 과연 이러한 것이 Ki 67이 80%나 되었던 환자의 유전자 때문인지 아니면 체질에 맞지 않는 양약의 선택이 불러온 화인지를 모르겠으나 나의 소신대로 이 환자의 병력을 다루어 본다.

history.

  • 2016.8.11 – 유방암 대략 3cm 우측 유방에 발견
  • S 병원에서 수술. 유방암 stage는 2기A로 판명
  • 2016.9월부터 2017.1월까지 AC #4 시행함
  • 2017.1부터 주마다 paclitaxel 시행함. zoladex도 사용함
  • 2017.2.22 7차 항암 이후 손발저림이 심해서 리리카를 복용하고 어지러움증과 불면 지속
  • 2017.3.29 paclitaxel #12 차 종료
  • CT상 폐전이 발견. 방사선치료 예정 있었으나 폐전이 발견돼 중지
  • 2017.3.31 CT chest – 다발적 폐전이와 종격동 림프절전이 발견
  • 2017.3.31- 2017.5.15까지 – gemcitabine+cisplatin 결합요법 시행
  • 3차까지는 호전반응을 보이다가 4차(5/15) 이후에 chest상 종양이 약간 커진 것을 발견하고 이 요법을 중지함
  • 2017.6.8 안양 S 병원으로 이전 치료
  • 2017.6.8 할라벤 1차 시행함
  • 2017.6.21 – 제로다와 나벨빈 1차 시행함
  • 2017.7.3 – 티센트릭 시행함
  • 2017.7.13 반룡인수한의원 내원
  • 이후 응급으로 서울대로 전원. 일주일 내 사망(2017.7.28일 사망 확인함).

cancer 2017-07-005 전영옥 유방암.jpg이 환자는 40세의 젊은 아이들의 엄마로 유방암을 발견하고서 S 의원에서 수술을 받았다. 이 환자는 유방에 흔히 있는 invasive ductal carcinoma와는 다른 pathology를 진단받았다. 이 pathology는 metaplastic carcinoma로 약간의 sarcomatoid component를 지닌 독특한 종양이다. 자료에 의하면 유방암 환자 중에 0.25 – 1% 사이에서 이 같은 진단을 받는 환자가 나타난다. 또한 이들의 양상은 호르몬수용체나, 림프절전이는 적으면서 high grade의 큰 종양으로 발견되는 경향이 있으며, 5년생존율이 일반적은 invasive ductal cacrcinoma보다 못한 49% – 68% 정도이다. 즉 반 정도가 5년 내에 사망한다고 볼 수 있다 (아래 원문참조).

Metaplastic carcinoma of the breast (MCB) was first described in 1973 by Huvos et al1 and was defined as a mammary carcinoma with mixed epithelial and sarcomatoid components. The histologic classification of metaplastic carcinoma is primarily based on the morphologic findings of tumor cell types: purely epithelial (squamous, adenosquamous and spindle cell carcinomas) or mixed epithelial and mesenchymal (carcinoma with chondroid/osseous metaplasia and carcinosarcoma) components.2 Recently, there has been an increase in diagnoses, most likely due to the increased cognizance of MCB by pathologists.3,4 Today, MCB represents 0.25% to 1% of all breast cancers diagnosed annually.5,6 The prognosis and treatment of MCB is overall unknown, and compared with patients with invasive ductal carcinoma (IDC), patients with MCB have larger, higher-grade tumors with less hormone receptor positivity and less involvement of the regional lymph nodes.7,8 Additionally, compared with patients with IDC, patients with MCB have worse outcomes in 5-year survival rates, ranging from 49% to 68%.6,7 In this article, we will discuss clinicopathologic presentation, pathologic features, differential diagnosis, treatment options, and prognosis of this rare type of breast cancer.(인용)인용문원본

전영옥1-1.jpg

초기에 수술 전에 약 3.2×3.0cm 정도의 크기를 보였고 우측 유방절제 후에 소음인에게 잘 맞는 AC 요법을 4 차 2016년 9월부터 2017년 1월까지 시행하였다.

cancer 2017-07-005 전영옥 유방암1.jpg

이후 2017년 1월부터는 소음인에게 적합치 않은 taxol을 주마다 1회씩 12 차를 시행하면서 아울러 zoladex라는 복부에 맞는 항에스트로겐 주사를 같이 맞았는데 이 주사는 소양인에게 적합한 주사이지 소음이나 태음인에 사용되기에는 무리가 있다. 택솔계열의 paclitaxel을 사용하는 동안 수족저림증이 심하게 되었는데 이를 개선하려고 사용한 리리카(gabapentin) 성분의 약을 사용하고 매우 심하게 어지러움증이 나타났고 잠을 잘 수가 없었다. 참고적으로 리리카는 태음인 약물이다. 그리하여 3달 동안 택솔을 사용하고 나서 방사선 치료를 시작하기 위하여서 찍은 사진에서 다발적 폐전이를 발견하게 되었다.

1-9.jpg

위에 보듯이 폐에 보이는 무수한 점들은 CT상에서는 더욱 선명하다. 다음에 PET에 나타나는 검은 점이나 CT상에서 동그란 솜 뭉쳐 놓은 것처럼 보이는 작은 원형의 점들이 모두 폐에 다발적으로 전이된 암을 표현한다.

1-10.jpg

cancer 2017-07-005 전영옥 유방암2.jpg

서울대로 옮겨서 7 차 이후에 12 차까지 택솔을 시행하고 나서 종양이 매우 급속도로 폐에 전이가 되자 주치의는 약물을 바꾸어서 소음인 약물로만 구성된 gemcitabine하고 cisplatin을  2017년 3월부터 2017년 5월까지 시행하였다. 그리고 5월달 CT는 다소 종양의 감소를 보였다.

1-11.jpg

그러나 4 차 이후에 폐에서 보이던 종양이 다시금 살짝 커지는 양상을 보이자 주치의는 더 이상 약이 듣지 않는다고 보호자에게 고지를 하였고, 보호자는 다른 방도를 찾아서 안양에 최신 치료방법을 시도하는 것으로 유명한 S 병원을 찾았다.

1-12.JPG

새로운 약에 대한 암환자들의 욕구는 대단하다. 신약이 개발될 때마다 암이 다 사라질 것처럼 생각하는 게 비전문가들의 생각이지만, 막상 종양을 다루는 입장에서는 신약의 결과란 기존약보다 몇 개월 길어야 1년을 더 연장시키는 약이 있을 리가 만무이다. 왜냐 하면 종양은 단지 약물로 치료하는 게 아니라 암환자의 개인면역이 얼마나 강하냐에 따라서 약의 흡수율이 다르고 자가면역력과 외부면역력인 항암제나 한약 보조식품들이 같이 작용을 해야 유지가 되는 것이다. 더더군다나 사상의학에서처럼 식이요법이 따라 주지 않으면 틀린 음식이 약효를 감소시켜서 약이 대략 6개월 지나면 더 이상 듣지 않는다는 이야기들을 듣게 된다. 하지만 내가 말하는 이러한 항암 외의 다른 요소들이 결합된다면 암은 훨씬 좋은 결과를 가져온다. 서양은 보이는 단 하나의 원인만을 찾은 것이다. 여러 가지 결합돼 있는 다른 요소들을 따지는 능력들이 부족하다 보니까 제일 크게 보이는 인자를 가지고 암을 치료하려고 든다. 이는 매우 잘못된 생각이다. 마찬가지로 암환자들도 어떤 약만 있으면 내 암이 줄어든다는 생각을 한다는 것 역시 어리석은 생각이다. 나의 노력 없이 약만으로 암이 줄어들 수가 없다. 총체적인 모순을 해결해야만 암이 사라진다.

6월 초에 이 환자는 할라벤이라는 그래도 신약에 속하는 약물을 1차 사용하였는데 줄지 않자, 제로다와 나벨빈을 시도하였다. 그리고 그 결과는 매우 악화되었다.

암 환자가 이 약 저 약을 시도해서 행운을 잡을 수도 있지만, 만약 약물이 틀리면 불행을 자초한다. 체질에 맞지 않는 약이 모든 환자한테 다 바로 악화시키지는 않는다. 체력이 강하고 운동을 많이 하는 사람들은 약이 딱 맞지 않아도 잘 버티고 별로 크게 급속도로 나빠지지 않는다. 그렇지만 또 다른 경우들도 있다. 이 환자는 할라벤을 시도하였는데 할라벤은 산호에서 뽑은 약물로서 매우 훌륭한 약이다. 나는 할라벤이라는 약이 초기에 시도 되었을 때 태음인 환자들이 할라벤을 사용하고서 너무나 빨리 악화되는 case들을 많이 보았다. 그래서 도대체 얼마나 약물이 강해서 이러한 나쁜 결과를 가져오는가 하고 의아해 하였는데, 이후에 한 소음인 환자가 1년 동안 유방암이 폐로 전이되어서 자란 암이 할라벤을 2회 하고 거의 소멸되다시피 한 경우를 보았다. 이 환자는 또다시 폐로 암이 자랐는데 이후 할라벤을 1회 하자 또 똑같이 암이 보이지 않을 정도로 좋아졌다. 그래서 비로소 할라벤이 소음인 약물임을 알게 되었고 이후부터는 이 약물을 이용하여서 소음인 치료에 적용시키고 있다. 이 경우 할라벤을 평가하기에는 너무 짧은 시간만에 약물을 제로다와 나벨빈으로 바꾸었다. 제로다는 소음인 약물이지만 나벨빈은 태음인 약물로 소음인들이 사용하면 매우 빨리 폐전이가 심해진다. 이 환자는 나벨빈을 사용하고(2017/6/21) 짧은 시간 내에 폐전이가 매우 확산되었다.

1-13.jpg

종양이 이같이 빠른 확산을 보이자 환자는 의사의 권유로 신약인 티센트릭을 사용하는 것에 동의 하였다. 티센트릭은 방광암 분야에서 현재 임상이 시도되고 있는 신약이다. 환자는 아래의 PET 사진에서 보듯이 일부는 3월에서 gemzar cisplatin이 4 차 시도되는 사이에 일부는 줄어들은 데도 있으나(원형 아래 부분) 결국은 나벨빈 사용 이후에 이같이 나빠지게 되었다.

1-14.jpg내가 여기서 나벨빈이 매우 강력한 태음인 약으로 소음인이 사용할 때 이렇게 나빠질 수 있다는 것은 모든 소음인에게 일어나지는 않지만 면역이 극도로 약화된 소음인들 경우에는 예외 없이 이같은 결과를 가져온다. 이는 서양의학이 항암제를 남용해서는 안 된다는 뜻이다.

여기서 이 같은 나벨빈을 2 차 사용한 또다른 유방암 환자의 자료를 제시해 보겠다. 똑같은 양상으로 좌측 폐가 확연히 종양의 증가를 보인다. 좌측이 약하여서 기운이 가지 않는 소음인은 좌측에먼저 종양이  자란다.

1-15.jpg

이후 환자는 6월 29일 나벨빈과 젬자의 합성요법의 결과를 보고 나서 주치의가 권유하는 신약을 사용하였다. 티센트릭이라는 방광암에 사용되는 신약으로 비교적 고가의 항암제이다.

티센트릭이라는 상품명으로 불리우는 atezolizumab는 세포자멸 프로그램에 관여하는 단백질에 대항하는 IgG1의 isotype의 단크론항체가 조작된 약물이다. 제네택과 로슈사가 2015년도에 여러가지 임상실험을 시도하였으나 2016년도에 로슈 FDA에 의해 폐암의 분야에 신속한 추적을 하는 프로그램을 허락 받았고, 2016년 5월 FDA는 방광암 치료를 승인을 하였으나 2017년 5월 3차 임상에서 실패하였다.

Atezolizumab (trade name Tecentriq) is a fully humanized, engineered monoclonal antibody of IgG1 isotype against the protein programmed cell death-ligand 1 (PD-L1).[citation needed]In 2015, it was in clinical trials as an immunotherapy for several types of solid tumors.[1] It was under investigation by Genentech/Roche.[citation needed]In April 2016 Roche announced that atezolizumab had been granted fast track status for lung cancer by the FDA.[2]In May 2016 it was approved by the FDA for bladder cancer treatment.[3], but in May 2017 it failed phase 3 trial for second line bladder cancer.

Mechanism of action  (wikipedia) 인용

Atezolizumab blocks the interaction of PD-L1 with programmed cell death protein 1 (PD-1) and CD80 receptors (B7-1Rs) . PD-L1 can be highly expressed on certain tumors, which is thought to lead to reduced activation of immune cells (cytotoxic T-cells in particular) that might otherwise recognize and attack the cancer. Inhibition of PD-L1 by atezolizumab can remove this inhibitor effect and thereby engender an anti-tumor response. It is one of several ways to block inhibitory signals related to T-cell activation, a more general strategy known as “immune checkpoint inhibition.”[citation needed]

For some cancers (notably bladder) the probability of benefit is related to PD-L1 expression, but most cancers with PD-L1 expression still do not respond, and many (about 15%) without PD-L1 expression do respond.[citation needed]

Research

As of 2016, it is currently in clinical trials for colorectal cancer, melanomabreast cancernon-small-cell lung carcinomabladder cancerrenal cell carcinoma.[8][9]

Promising results have been observed for melanoma and non-small-cell lung cancer,[citation needed] and bladder cancer.[1]

A phase 1 trial reported a 19% objective response rate in metastatic triple-negative breast cancer.[10]

Atezolizumab은 프로그램 된 세포 사멸 단백질 1 (PD-1) 및 CD80 수용체(B7-1R)와 PD-L1의 상호 작용을 차단한다. PD-L1은 암을 인식하고 공격 할 수 있는 면역 세포 (특히 세포 독성 T 세포)의 활성화를 감소시키는 것으로 생각되는 특정 종양에서 고도로 발현 될 수 있다.  atezolizumab에 의한 PD-L1의 억제는이 억제제 효과를 제거하여 항 종양 반응을 일으킬 수 있다. 이것은 T 세포 활성화와 관련된 억제 신호를 차단하는 여러 방법 중 하나입니다. 이 전략은 ” 면역 검사 점 억제( immun checkpoint inhibition) “라고 알려진 보다 일반적인 전략 이다.

일부 암(특히 방광)의 경우 효과가 있을 가능성은 PD-L1 발현과 관련이 있지만 PD-L1 발현이 있는 대부분의 암은 여전히 ​​반응하지 않으며 PD-L1 발현이 없는 많은 암(약 15 %)이 반응한다. 2016년 현재 대장 암, 흑색 종 , 유방암 , 비소 세포 폐암 , 방광암 , 신 세포 암종에 대한 임상 시험 중이며 유망한 결과는 흑색 종, 비소 세포 폐암, 방광암 등에서 관찰되었다 1 상 임상 시험에서 전이성 3 중 음성 유방암 환자의 객관적 반응률은 19 %였다 . [10

모든 기존약이 안 들으면 지푸라기라도 잡는 심정으로 신약을 시도하는 것은 인지 상정이라고 할 수 있다. 그러나 이 내면에는 새로운 것이 좋은 것, 고가가 좋은 것이라는 감정이 숨어서 이를 허용하고 있는 것이다. 그래서 이성을 마비시키고 막연히 신약 비싼 약을 신앙처럼 생각할 수 있다. 이는 복권에 당첨되기를 바라는 것과 똑같은 마음이다. 그런데 복권이 당첨되지 않으면 몽땅 망해버리는 결과를 가져올 수도 있다. 새로 나온 암 분야의 신약에 대해서 다음과 같이 생각한다. 이 약물들은 미사일 같은 약이라고 볼 수 있다. 창과 칼로 전쟁을 하다가, 총으로 전쟁을 하고 탱크로 쏘아 되면 훨씬 강력하지만, 미사일은 이보다도 훨씬 더하다. 한번에 적을 궤멸할 수 있다. 창칼을 사용하면 적을 죽이는 데 시간이 걸릴 수도 있지만, 총이나 대포 미사일에 비해서 그 상해가 덜하다. 항암제가 만약 체질에 안 맞으면 그 총구가 적군을 향하지 않고, 아군을 향한다. 즉 최신 항암제는 좋기도 하지만 – 즉 극적인 반전을 일으킬 수도 있지만 – 자칫하면 되돌릴 수 없는 화를 불러 일으키기도 한다.

티센트릭이라고 불리우는 이 약물은 내가 처음 접해 보는 약물이고, 이 환자는 7월 초에 티센트릭과 방사선 요법을 같이 시행하였다. 그리고 좌측 폐에 이 약물 때문인지 방사선 때문인지 몰라도 약간은 종양의 감소된 부분을 볼 수 있었지만 전반적으로는 너무 말기적으로 종양이 확산된 것을 볼 수 있었다.

1-16.jpg

여기서 또 하나 주목할 것은  뇌전이 여부이다.  5월중에 촬영된 MR 과   7월 중에 두통이 심해져서 촬영된 MR 사이에는 매우 크다란 종양이  이해할  수 없을 정도로 퍼져있었기 때문이다.

1-17.jpg

여기서 두 가지 가정이 가능하다. 과연 나벨빈 한 차례로 이렇게까지 폐와 뇌에 종양이 빨리 퍼질 수가 있을까? 물론 말기암의 경우에는 속도가 빠르지만 5월 중에 전혀 보이지 않던 뇌의 종양이 갑자기 이렇게게까지 퍼지는 것은 내 생각에는 신약 덕분이라고 생각한다. 폐의 종양을 줄일 수 있었던 것은 방사선에 대한 일시적 효과였던 것이고 오히려 신약이 체질에 안 받아서 이같이 키웠다는 가정도 해 보지만 첫 case라 단언하기는 어렵다.

그래서 환자들에게 권유한다. 너무 최근에 몇몇 선생은 항암제가 안 듣는다며 돈이 있냐고 신약을 써보겠느냐고 권하는 것을 보는데, 이는 체질을 모르고 시행할 때는 정말로 악화되어서 뒤로 돌아갈 수 없을 정도가 된다. 그러므로 아무리 모험심이 강해도 함부로 신약을 마치 천사의 손길처럼   생각하고 시행해서는 안 된다는 점을 명심하기 바란다.

이 환자는 이같이 커다란 종양 때문에 뇌의 부종과 통증을 견디지 못하고 서울대로 가서 바로 사망을 하였으니 정말로 유방암 2기 환자가 1년만에 약물의 오류로 인하여서 이같이 빨리 자라서  불행을 초래할 수도 있다는 생각을 가지고 약물 선택에 신중해야 한다 .

유방암 13강 – 10강의 소양인 유방암 환자의 CT 비교

앞서 유방암 10강에서 표준치료를 거부하고 민간요법에 의존하고 수술을 하지 않았던 유방암 환자의 이야기를 다루었다. 소양인들은 몇 가지 특수한 암으로 – 예를 들어 sarcomatoid carcinomatosis 등의 – 특별한 암을 제외하고는 일반적인 암에 잘 걸리지 않는다. 그러나 폐암과 유방암 난소암 환자 중에서는 소양인들이 발견된다. 그리고 난소암 중에서는 일반적인 adenocarcinoma보다 leiomyosarcoma의 pathology를 진단받는 것을 보았다. 그리고 유방암에서도 좀 드문 pathology 진단을 받는다.

위의 10강에서 다룬 소양인 환자는 1년 전에 체질상담을 받은 바 있고. 일반적인 표준치료가 잘 안 받을 수도 있다는 나의 견해를 듣고, 수술을 거부하고 민간요법을 택하여서 악화되어 왔다. 그리고 2017년 1월부터 4월까지 한양방 통합치료를 받으면서 다소 암이 줄어들고 통증도 감소되는 경향을 보였고, 환자는 목조차 움직이지 못하고, 심한 통증에서 다행히 통증이 제어되고 암도 줄어드는 것을 보이자 열심히 믿고 따라 하였고,  4월까지  초음파로 추적한 결과를 10강에서 다루었다.

오늘 13강에서는 이 환자의 2017년 5월 24일자 CT 사진을 구득할 수 있었기 때문에 초음파보다 더 입체적으로 CT 비교를 통하여 그간 5개월 동안의 한양방 통합치료의 결과를 소개해 보겠다.

br 10-2

2016년 1월 유방암 초기 발견 때부터 PET 사진에서 보듯이 사나워 보이는 다발적인 유방암이 발견되었고  이후 소양인에게 않은 쑥뜸 등 치료를 받으면서 악화되어서 통증과 뼈전이 후에 더 이상 통증제어가 안되자 다시금 요꼬 선생님을 찾아왔고, 이후 나에게 치료를 2017년 1월 5일부터 시작하였다.

강정주2-1-000.jpg

위의 CT image에서 보듯이 2017년 1월 3일흉추와 요추에 보이던 뼈전이(bone metastasis )로 보이던 검은 음영들이  2017년 5월 24일 사진에서는 많이 엷어진 것이 눈에 띈다.

캡처.JPG

이 환자분은  몇 일 전에 내원하였는데 매우 환한 얼굴을 하고 내원을 하였다. CT 결과가 좋다는 것을 이미 요꼬 선생님한테 듣고 온 터라 더욱 투병에 대한 자신감을 알 수 있었다. 환자 분은 통증에 대해서 설명을 하였는데 이제는 누울 수가 있다고 하였다. 그래 무슨 말이냐 되물으니 “이전에는 등에 통증이 심하여 바로 누울 수가 없었고 바닥에 등을 대면 매우 심한 통증이 왔다”라고 하였는데 지금은 바로 누울 수가 있고, 눕거나 등이 닿아도 통증을 느끼지 못한다면서 상태가 좋아진 것을 내게 설명하였다. 아직 다 없어지지는 않았지만 CT 상으로 보아도 등의 척추에 보이는 검은 점들(종양의전이)가 매우 엷어지고 윗부분인 흉추 쪽에서는 소실되어서 잘 보이지 않는다.

또한 CT 를 통하여 그간 우측 유방의 종양과 겨드랑이 임파절 등의 감소를 알 수 있다.

강정주1-1-001.jpg

무제-1.jpg강정주1-1-003-1.jpg강정주1-1-007-1강정주1-1-009-1.jpg

이 환자분은 치료에서 나의 R0052라는 한방 처방약물과 더불어서 양약으로는 항호르몬제인 aromatase inhibitor와 metformin이라는 당뇨약을 사용하였고, 따로 뼈전이를 막는 zometa 를 주사를 하였다. 이 환자는 수용체 검사에서 ER(에스트로겐 수용체)와 PR(프로게스테론 수용체) HER2(허르셉틴 수용체)가 양성이라 만약 사용해야 한다면 taxol과 herceptin을 사용하고 난소가 아직 활동을 하는 폐경 전이라 tamoxifen을 먹어야 하는 게 양방적인 공식이다. 하지만 치료에 있어서 나의 체질분류 견해를 따라 항암제는 전혀 사용하지 않았고, 단지 한약과 아리미덱스라는 양방 견해로는 폐경 이후에 사용해야 하는 항호르몬제를 사용하였다.

Invasive ductal carcinoma. (ER/PR/HER2= +/+/+ )Lymph node. Right axillary aspiration cytology. Positive for malignant cells. Consistent with metastatic carcinoma

herceptin은 소음인 약으로 태음인 약인 taxol과 함께 사용하다 보면 결코 좋은 결과가 올 수가 없다. 기존의 her2 양성인 환자들의 치료 결과가 매우 빠르게 폐나 뇌로 전이되는 경우들을 보는데 이는 유전자 때문이기보다는 양방의 공식이 잘못 만들어져서 그렇게 되었다고 본다. 그리고  her2는 소음인 소양인 태음인 모두 수용체를 가지고 있는 경우들을 보기 때문에 체질특이성이 없다. 하지만 내가 분류해 보면 소음인에게만 맞는 약이므로 이의 적합성 여부를 따지는 검사는 불완전 하다고밖에 볼 수가 없다. 이는 아마도 여성의 생리주기의 변화에 따른 개인의 시간적 검체 채취의 차이에 의해서 나온다고 본다.

일반적으로 항호르몬제는 에스트로겐의 폭주를 막는 예방적 차원이지 치료적 차원이라고 보기는 어렵지만, 소양인 약물과 항호르몬제만으로 암이 역행하여서 줄어들고, 거기다가 소양인에게 맞는 zometa를 같이 사용하여서 뼈전이도 많이 감소되었다. 여기서 주의할 점은 조메타의 사용이다. 이는 잘못 사용되면, 많은 뼈전이 환자들 중에 소양인이 아닌 분들에게는 오히려 더 빨리 암을 진전시킬 가능성도 있다. 이는 biphosphate 제제로 이 같은 biphosphate (인의 두개의 결합)제제가 뼈전이뿐만 아니라 골다공증에서도 사용되는데 여러분들이 골다공증 치과치료 부작용이라는 제목으로 utube에 쳐보면 너무도 많은 자료들이 나와 있고 뉴스에서도 다른 자료들을 볼 수가 있는데 이는 모두 소양인이 아닌 사람들이 사용했을 때 나타나는 부작용이다. 즉 양인은 평소에 노화가 되던 암으로 인한 뼈의 문제가 발생하던 항상 Ca은 과도히 흡수되면서 P(인)이 빠져나가는 경향성을 보이지만, 음인들은 뼈전이 때 오히려 Ca이 과도히 빠져나가기 때문에 이와  대치되는 인제제를 사용하면은 Ca의 흡수가 더욱 방해되어서 뼈가 약해지는데, 암환자에게서도 역시 마찬가지이기 때문이다.  또한 이를 맞으면서 매우 통증을 심각하게 느끼는 사람들이 태음인들이다.

이 환자는 작년 한 해토록 쑥뜸을 하고 죽염과 유황오리 등을 먹으면서 치료를 받았다. 모두 소양인에게는 적합치 않은 방법이다. 소금 자체는 소양인 암에서는 최고로 금기되는 식품이고 음인들과는 달리 소양인은 소금을 매우 절제해야 한다. 또한 쑥이나 오리 등도 모두 음인 식품이라 적합치 않다. 이 환자 분이 받은 민간요법은 소양인 체질에는 적합치 않은 방법이었지만, 그래도 항암제가 체질에 맞지 않았을 때 나타나는 부작용에 비하면 훨씬 덜하기 때문에 그나마 다소 나빠졌어도 – 불행 중 다행으로, 다시금 소양인에게 맞는 한양방 방법을 택하자 이같이 순조롭게 줄어들기 시작하였다. 환자 분은 내게 와서 이야기하기를 ” 선생님 글을 읽으면서 많이 안심이 되고 위안이 된다”는 말씀을 하신다. 미래의 불확실성 특히 암에 관한 미래의 불확실성은 그저 사업이 망하고 흥하고와는 전혀 다른 문제이다. 다시금 실패를 되돌릴 확률이 없기 때문에 처음부터 잘 가는 것이 매우 중요하다. 이 같은 암환자들에게 아직 완성된 것은 아니고 많은 과학적 탐구를 걸쳐서 세련화시키고 객관화시켜야 하지만, 급한 대로 이제마 선생님께서 만들어 놓으신 사상의학을 이용한 서양약물의 분류방법의 tool을 치료에 적응시킨다면 비유컨데 그래도 껌껌한 밤중에 멀리서 희미하게나마 등불이 보이고 이를 지표로 방향을 잡을 수 있다고 본다.

나는 이미 환자가 통증이 매우 심하여서 고개도 돌리지 못할 2017년초에서부터 특별히 환자가 다른 문제만 없다면 나의 방법 즉 항호르몬제와 한약을 사용함으로써 얼마든지 좋은 결과가 올 것이라고 예측을 하였고, 반대로 그상황에서 택솔이나 허르셉틴을 사용했다면 다시금 되돌릴 수 없이 나빠질 것을 예측하였다. 그리고 환자는 나의 견해를 따라 치료를 시작하였고 통증이 바로 양약 조절로 가능해지자 쉽게 믿고 따라오게 되었고 이같이 좋은 결과가 올 수가 있었다. 그래서 암은 현재가 중요한 게 아니고 어떻게 잘 약물을 선택하여서 치료하느냐가 중요하다. 이 면에서 사상의학적인 방법론은 매우 유용하다.

나는 환자 분에게 끝까지 음식을 잘 지키고 방심하지 말고, 특히 이제부터는 운동을 강화시켜서 면역력을 높힐 것을 당부하였다. 그리고 또 최근에 와서 치료를 시작하는 환자 분의 이야기를 해주었다.

한 분은  2016년 작년에 유방암 수술을 하고 pathology가 좋지 않은 예후의 암이라고 하여서 소음인 환자가 3cm 유방암 수술 이후에  AC #4와 이후 태음인 약인 taxol을 매주  12차까지 하고 나서 뇌전이가 되어서 사경을 헤매는 환자의 이야기와, 또 한 분은 2005년도 유방암 수술 이후에 역시 소음인으로  2007년도부터 흉막전이가 시작되어서 지금까지 12년을 살고 있는 두 환자의 이야기를 해주었다. 이 case들은 다음에 소개를 해보려고 한다.

너무 빨리 나빠져서 뇌전이 폐전이가 되어서 사경을 헤매는 환자와 또 한 분은 그다지 양약을 잘 맞추지 못하여서 때로는 체질의학적 견해에서 맞지 않는 약이 들어가기도 하고 또 다시 재발하면 맞는 약도 들어가고 하면서 – 온갖 약을 다 쓰면서 약물의 시험대가 된 환자 분 이야기이다. 이 환자의 암은 멈추었다 나빠지고  또 멈추고 나빠지고 하였지만 내가 자료를 정리하면서 너무 궁금하였다. 이 환자는 벌써 나빠져서 회복되기가 어려운 상태를 여러 번 겪었는데 어떻게 이렇게 잘 버티고 지금까지 올 수 있는가 궁금하였다. 그래서 환자에게 실례되는 질문을 하였는데, “당신은 의학적 상식을 벗어나서 살고 있습니다. 그 비결이 무었입니까? ” 하고 물었더니 ” 특별한 것을 한약이든 건강식품이든 먹은 것은 없고요. 매일 7km씩 걸었습니다. ” 하고 대답을 하였다.

우리 몸은 본디 자가면역에 의하여서 병을 치료한다. 바이러스든 기타의 몸에 받지 않는 음식이나 약물 등이 들어왔을 때 면역계가 활성화가 되면서 이를 퇴치하여서 몸을 보호한다. 면역계는 일종의 방어군이다. 그런데 이러한 방어군대가 약화되면서 몸에서는 여러 가지 염증반응이 일어나고 이들이 암까지 성장할 수가 있다. 면역계의 대표적인 것이 림프구이다. 그런데 이러한 림프구와 운동과는 어떻게 연관지을 수가 있을까. 나의 개인적인 견해로는 림프구는 몸이 더워지면서 활성화가 된다. 즉 림프구가 떠다니는 림프관의 system은 혈관과 엇비슷하게 우리 몸 전체에 퍼져 있으면서 방어막의 역할을 한다. 그런데 이러한  림프관은 실로 지방질이 흐르고 있다. 혈액이 쉽게 표현해서 물이 흘러다닌다고 하면 림프액은 기름이 흘러다니고 있는 식이다. 그리하여 혈관은 죽기 전에는 얼어붙지 않지만, 림프관을 기름이 온도가 차가우면 굳어지듯이, 우리 몸이 냉해지면 림프액은 굳기 시작하고 그 흐름이 원활치 못하면서 여러 가지 방어기능을 활성화시키지 못한다고 본다. 이러한 림프액이 흐르게 하려면 결국 몸의 온도를 높이는 방법밖에 없고 이러한 몸의 온도를 높여서 기름이 굳지 않게 함으로써 림프액을 흐르게 하는 방법이 바로, 운동과 숯가마나 황토방 등등원적외선 요법이다.

나의 임상경험 중에 똑같은 약을 써도 잘 치료가 된 분이 있는 반면에 또 예측과 달리 결과가 좋지 않게 나오는 분이 있는데, 이러한 문제는 양약에서도 똑같이 대두되는 문제이다. 그런데 기실은 그 내면을 잘 들여다 보면 얼마나 운동이나 온욕 등을 통해서 몸을 덥히는 노력을 하였는가 아닌가에 따라서 확연히 약이 듣고 안 듣고의 길이 갈린다. 그래서 환자 분들에게 당부하건데 지금 나의 상태가 아무리 심하고 절망적이라도, 내가 노력을 통해서 림프체계를 활성화시키면 다시금 약이 듣고 기적이 일어날 수 있다는 것을 당부하고 싶다. 단지 내 노력 없이 어떤 좋은 약이나 음식만 먹으면 병이 기적같이 나을 수 있다고 생각하는 분들도 가끔은 보게 되는데 이런 분들은 결코 결과가 좋을 수가 없다. 아무리 약이 현재 잘 받아도 이같은 노력을 하지 않으면 그 약효는 한정적일 수밖에 없다. 그래서 치료는 의사나 약이 하는 게 아니고 본인이 하는 것으로 보아야 하는 게 암환자의 치료에 있어서 올바른 길이라 본다. 좋은 책과 좋은 스승이 있어도 학생이 공부를 안 하면 소용이 없듯이 환자는 스스로 노력이 제일 중요하다. 의존성을 버리고 주체적인 치료를 할 마음을 다져 먹어야 한다. 그래야 남들이 빠져나오지 못하는 수렁을 당당히 헤처나올 수 있다.

그래서 나는 개인적으로 환자들에게 움직일 것을 당부한다. 엉덩이 붙이지 말고 하루 종일 움직여서, 구르는 돌에 이끼가 낄 수 없듯이 하루 종일 움직이면서 순환이 되고 땀이 나고 하면 암세포도 더 달라붙을 수가 없다고 본다. 그래서 환자들에게 산행을 권유하며 그 방법 중에 하나로 산을 뛰어다니라고 권유한다. 이 방법은 산을 처음부터 끝까지 뛰라는 것이 아니다. 걷다가 한 백미터라도 경사진 산을 뛰어 오르면, 우리 몸은 갑자기 많은 운동량과 산소량을 요구하면서 심장이 터질듯 하고 맥박이 빨라지고 몸이 더워지고 하면서 새로운 적응을 하게 된다. 처음에는 힘들지만 하다 보면 이에 적응이 되어서 굉장히 많은 산소를 당기는 힘이 생기게 된다. 한 번 뛰고 심장이 터질듯 힘들 때 천천히 앉지말고 제자리 걸음이든 아니면 조금씩이라도 완만하게 갈지자로 지그재그 산을 오르면서 호흡을 가다듬고 호흡이 순조로와지면 또 한 번 백미터정도를 뛰어오르고 하는 동작을 반복하다 보면 어느새 근육과 폐가 강해지면서 몸의 면역계는 다시금 기능을 하게 되리라고 본다.

사슴캥거루.JPG

또 한 가지 음인들의 경우는 걸을 때 다소 요령이 필요하다. 양인들은 기가 위로 올라가서 기를 내리는 방법을 사용해야 하지만, 음인들은 복부를 집어넣어서 위로 당기면 가슴이 열리면서 마치 발레를 하듯이 가슴을 펴게 되는데 이러한 상태를 유지하면서 걷는 것이 필요하다  환자들은 체질에 맞는 항암이나 한약이 필요하지만 결국은 내가 얼마나 나를 매질하고 쇠를 달구어서 두드리듯이 나를 강하게 제련하는 게 필요하며 이같이 노력을 한다면 어떤 암이든 이기지 못할 리가 없다.

 

 

유방암 12강. 수술 전 항암으로 수술을 피해 갈 수 있는가? 수술 없이 치료할 수는 없는가?

12강에서 다루려고 하는 환자의 case는 이미 7강에서 다루었던 환자의 이야기이다. 이와 더불어서 유방암의 주 공식인 AC+ Taxol의 항암 방법이 체질에 따라서 연구되어서 바뀌어야 한다는 생각을 한다. 이 환자는 7강에서 이미 이야기하였듯이 수술 전에 태음인이 AC 항암방법을 사용하고 나서 더 종양이 커져서 내원한 분이다. 초기 유방암 발견을 한 2015년 9월부터 나름대로 민간 요법을 하였는데 종양이 커지자, 할 수 없이 병원을 선택하였고 수술 전 AC 항암방법으로 더욱 커져서 내원하였다. 그리고 나의 권고대로 한약을 사용하고 나서 바짝 줄어드는 기미가 보이자 AC 를 4차까지 진행하지 않고, 병원을 바꾸어서 방사선과 Taxol을 6차까지 마쳤다. 그리고 방사선치료를 2016년 8, 9월 동안 시행하였고 이제 본원에서 치료 시작한지 1년이 지났고, 작년 9월 방사선 치료가 끝나고 나서 10월달 종양의 흔적 정도가 남아 있었다. 그리고  2017년 5월, 몇 일 전에    7 개월만에 다시 초음파 체크를 하였다. 그간 이 환자는 본원의 한약과 tamoxifen 요법을 지속하였고, 현재 수술은 안 한 상태이다. 암에서 수술이 초기에는 중요하다고  하지만 수술을 안 할 수 있으면 안 하는 것도 좋은 방법이 된다. 다만 이는 권하는 의사에게 매우 부담이 된다. 꼭 결과가 좋을 수는 없기 때문이다. 이 환자는 치료가 1년밖에 안 되었지만 현재 결과는 매우 좋다. 이러한 결과에 대한 설명을 하기 전에 먼저 수술을 하고 항암과 한약을 결합하여서 완치까지 끌고 나가기 위해서는  몇 가지 전제가 필요한데 이 환자와 같은 태음인은 거의  좋은 결과를 가지고 오고, 완치될 가능성이 높다. 그래서 이러한 가능성의 여부와 체질별 문제점을  다루고 나서 이 환자의 이야기를 다시 해 보려고 한다.

만약 수술을 피하고 한방요법과 양방요법을 결합하여 완치할 수 있다면, 유방암 환자인 여성분들에게는 매우 긍정적인 방법이 될 것으로 본다. 여성의 상징 중의 하나인 유방을 절제한다는 것은 미용 이상으로 여성의 존재감의 상실일 수가 있다. 나이가 많아도 마찬가지이지만 미혼여성에게는 정말로 심리적으로 치명적일 수가 있다. 살기 위해서 내 신체의 일부를 절제 해야 한다. 그래서 만약 수술을 안 할 수만 있다면 이러한 방법을 선택하고 싶은 것은 누구에게나 공통적인 바램이다. 그런데 그 방법이 나를 끝까지 지켜줄 수가 있느냐 하는 문제가 있다. 만약 결과가 나빠지고 수술을 차라리 할 것을 하는 후회가 생기는 결과가 올 바에는 먼저 수술과  항암이 오히려 안전한 것이 아닌가?

결과가 좋지만은 않다는 것은 약물이나 식이요법을 충실히 해도 좋은 결과가 나올 수 없다는 뜻인가?  그렇지 않다. 환자가 한약과 양약(항호르몬제)를 꼬박 챙기고 건강을 위한 운동과 충분한 휴식, 마음의 안정만 가진다면 얼마든지 선항암과 한약 식이요법으로 수술을 하지 않고도  나을  수 있고 완치로 끌고 갈 수 있다.

대부분의 환자는 두 종류로 크게 구별이 된다. 심리적인 문제는 크게 없는데 육체적으로 바쁘고 성격이 원만하면서, 음식이나 건강식품, 피임약 등을 장기 자신에게 맞지 않는 것을 먹었던 경우는 본인이 이를 교정하고 항암과 한약을 결합하면 완치가 그렇게 어려운 것은 아니다. 하지만 내 겅험으로는 이 경우는 태음인에게만 해당한다. 태음인은 한번 믿으면 오래 가고, 자신이 선택한 길에 대해서 후회하지 않는다. 한번 도박을 해 보는 성격들이 있다. 다만 상대방이 믿을 수 있는가를 가늠하는 데 조심스럽고 오래 걸리지만 상대방에 대한 확신이 있으면 믿고 꾸준히 가기 때문에대부분 다 성공을 한다.  2014년도에 양측성 유방암으로 내원한 태음인이 계신데 이분은 다소 연세가 높아서 60대말에 와서 이제 나이가 70이 넘어갔다. 이분은 내게 와서 항암치료도 하지 않았다. 수술을 하지 않고, 내가 권유하는 방사선치료를 거치고 한약과 타목시펜만으로 꾸준히 줄어서 현재 거의 안 남아 있는 상태이다. 한쪽은 완전히 없어지고 한쪽은 미세한 부분이 남은 상태이다. 양측성 유방암으로 발견이 되었는데 너무 의사 선생님이 유방절제를 무우 자르듯이 쉽게 이야기 한다는 데 실망하여서 한의원을 선택하였고, 마침  주변에 우리병원에 와서 잘 치료된 경우를 보았기 때문에 믿음을 가지고 시작하였다. 현재 만 3년이 지났는데 거의 다 없어져서 미세한 부분이 보인다. 이분은 아직도 양방 체크를 계속하고 있는데 유방암의사와 방사선과 의사의 말이 다르다고 한다. 방사선과 선생님은  우리병원에서 항암을 안 한 채로 환자가 고집해서 방사선 치료만 한 첫 케이스라고 한다. 그런데 결과가 좋아서 항상 가면 웃는 얼굴로 맞이하며 경과가 꽤 좋고 올 때마다 줄어든다고 위로를 해 준다고 한다. 그런데 유방암 선생은 언제 수술할 거냐 하는 얼굴로 챠트에 빨간 볼펜으로 표시를 해놓고 항상 화난 얼굴을 하고 얼굴도 잘 쳐다보지 않는다고 한다. 나로서도 모험이지만 나는 두 분의 믿음을 알고 있고, 또한 환자가 음식을 지키는 데 꼼꼼하고, 운동도 게을리 하지 않기 때문에 끝가지 잘 가리라고 본다. 또한 이분은 나이가 많아서 내가 택솔치료조차 권유하지 않고 한약과 호르몬제인 타목시펜으로만 끌고 가는데도 좋은 결과가 있다. 잘못 수술해서 퍼뜨리고 잘못 약을 사용하여서 악화되는 것보다 훨씬 안전하게 잘 가고 있다. 기회가 되면 이분의 사례도 소개를 해 보겠다. 이같이 태음인들은 한번 시작하면 좋은 결과가 오는 경우가 대부분이다.

하지만 소음인이나 소양인은 쉽지 않다. 또한 태음인도 환경적으로 매우 스트레스를 받는 환경, 경제적이나 주위의 인간관계에서 갈등이 심하고 정신적으로 매우 불안한 경우는 쉽지가 않다.

소음인은  논리적인 사람들이기 때문에 논리가 확실한 경우 즉 믿을 수 있는 경우는 누구보다도 더 잘 치료를 받는다. 하지만 두 가지 단점이 있다. 입맛이 밝아서 맛있는 것을 잘 못 참는 데다가 생각을 멀리까지 끌고 가지 않고 현재에 너무 집중을 하는 단점이 있다. 무슨 이야기냐, 소음인은   매번 똑같은 약물을 써도, 그 약맛이 다르다고 불평하는 경우가 있고, 본인이 음식을 잘 지키지 않으면 약과 반응를 하여서, 평소 몸이 약할 때는 그 잘못된 독성이 쌓이는데 한약을 체질에 잘 맞게 사용하면 틀린 음식이나 그 무엇이 들어왔을 때 금방 반응을 하여 몸에 쌓이지 않고 배설을 하게 된다. 이때 불편감을 느끼는데 금방 약이 바뀐 것 아니냐 하고 의심을 하는 경우가 꽤 있다. 소음인은 구미지방(입으로 지방을 맛본다고 한다),혀의 감각이 다른사람보다 백배 천배 예민하여서 조그마한 맛의 차이도 다 느껴진다. 그런데다가 자신을 돌아보고 생각하면 분명히 원인이 있는데, 이는 제껴 놓고 설마 그렇게 강한 약을 사용하는데 이런 음식 한 두번 잘못 먹었다고 탈이 날 수가 있나 하는 식의 생각을 한다. 이러한 문제와 더불어서 끊임없이 정보를 찾아다니는 소음인은 치료를 할 수가 없다. 자신이 이제껏 온갖 방법을 사용해 나빠져서 사형선고를 받고 와서, 내게서 치료를 하고 암이 확 줄고 하면 이제 이 방법을 믿고 계속해야 하는데 또 귀가 바깥으로 열려서 또 무슨 더 좋은 방법, 더 나은 방법이 있지 않나 하고 찾아다닌다. 문제점은 자신의 판단대로 의사에게 고지 안 하고 새로운 방법을 같이 병행하다 보면, 그 방법이 체질에 안 맞으면 당연히 좋아지다가도 나빠지는데 이때 소음인은 약이 안 듣나 생각한다. 전에 오랜 치료기간 동안 나빠졌다가 좋아진 생각이 나지 않고 현재의 나빠진 것이 훨씬 강하게 자극을 하기 때문에 의심이 들고 치료를 관두다 보면 결국은 치료가 될 수 없다. 이러한 변덕이 있는 소음인은 잘 치료될 수가 없다. 그리고 본인이 암의 상태가 좋아지면 소음인은 음식과 타협을 한다. 의사의 지시에 따르지 않고 먹고 싶은 밀가루 음식을 먹고  조금씩 맛있는 음식을 먹다가 결국 암을 다시 키우게 된다. 그래서 소음인 중에는 정말로 독한 사람이 완치가 된다. 또한 태음인은 인간 사이의 관계를 매우 중요시 여긴다. 그래서 자신이 무엇을 하던 주치의에게 반드시 이야기를 하고 허락을 받는데 소음인은 그렇지 않고 슬며시 말 안 하고  다른 방법을 쓰다가 나빠지면 이 약 탓이 아닌가 생각하는 경우도 꽤 본다.

최근에도  담도암 간전이가 되어서, 항암이 실패해서 온 소음인이 있는데 이분은 뼈전이는 아니고 몸의 상태가 안 좋다 보니 연세도 높고 하여서 뼈가 약화되고 협착이 온 분이 있다. 이분은 기존 항암이 소음인에게 잘맞는데도 간전이가 더 진행되어서 왔고 본원에 내원하여 한약과  gemcitabine 요법을 하자, 이전에는 듣지 않았던 약물이 잘 반응을 하게 되어서, 간에 있던 종양이 줄게 되었다.  4-5 달 간전이 종양이 잘 줄었는데, 어느 날 보니 너무 허리에 통증을 심하게 느끼고 있었다. 이야기를 들어 보니 잘 한다고 하여서 소문을 듣고 내게 상의를 안 하고, 다른 데 가서 척추 치료를 받은 모양이다. 그런데 양방에서 신경차단을 하기 위해서 lidocaine(국소마취제)를 심하게 사용했나 보다. 하루는 통증감각이 없지만 그 다음날부터 통증이 오히려 더욱 심한데 리도카인은 양인에만 듣지 음인에게는 오히려 염증반응을 일으키는 원인자가 된다. 허리를 움직이지도 못하고 일주일 사이에 아파서 못 먹고 하니까 체중이 10kg 줄어서 피골상접한 얼굴이 되었다. 그래서 같이 치료하는 요꼬 선생님께 부탁하여 체질에 맞는  양약을 쓰게 하였다. 다시금 통증이 사라져서 엊그제 보니 혼자 잘 걸어 다니면서 웃음이  얼굴에 가득하다. 완전하지는 않지만 그간 너무 아팠던 게 이제는 살만 하니까 환한 얼굴로 인사를 한다. 역시 이 시기에 초음파 체크를 하니까 그간 잘 줄었던 종양이 다시금 조금 커져 있다. 암환자는 몸이 약하기 때문에 암이 온다. 이는 몸이 평형성을 위한 회복을 못 한다는 뜻이다. 그래서 음성적인 약물이 조금만 들어가도 확 암이 나빠질 수 가 있다. 그래서 소음인은 불안정한 마음과 의심을 접고 확신을 가지고 매진하면 더 좋은 결과를 가져온다.

또한 소양인도 쉽지가 않다. 소양인 중에는 아주 공포심이 극대화 되면 정말 음식을 잘 지키고 100%로 휴식과 자신을 돌보느라 열심인 경우에는 정말 좋은 결과가 온다. 그런데 소양인은 성격이 조급하여서 자신에 대한 성찰은 잘 못하면서 앞으로 진행만 하려고 하는 단점이 있다.

무엇이든지 열심히 해서 극복하려고 하지, 무엇을 내가 빠뜨려서, 무엇을 놓쳐서 잘못 됐나 생각은 잘 못한다. 즉 양으로 나가는 쪽은 잘 하는데 음으로 성찰하고 빠뜨린 것을 채우고 보완하는 것은 잘 못한다.

그리고 성격이 꼼꼼치 않다 보니까 100% 음식을 지켰다고 하는데 피검사를 해 보면 엉망이다. 잘못 먹은 음식 때문이다. 그런데 소양인은 우려가 많은 사람이라 앞일을 걱정은 잘 하는데 걱정은 꼼꼼한 정도가 넘어서 과도하게  없는 일도 발생할 것처럼 걱정을 하지만, 실제로 현실을 살피는데는 전혀 꼼꼼하지가 않다. 그리고 남을 살피는 일은 잘하는데 시각이 내향하지 못하기 때문에 자신을 살피는 일은 잘 못한다. 태음인처럼 마음이 한가지로 꾸준히 연속 되지 못하고 이 생각 저생각 떠올리고 만다. 또한 활동적인 사람들이기 때문에 가만히 앉아서 몸만 가꾸느라고 집중하지 못한다. 활동적인 소양인들은 활동을 통한 체력소모가 많고, 경쟁심이 많아서 열심히 하다 보면 몸의 신호를 무시하게 된다. 충분한 휴식을 취하지 못하면서 일을 진행하기 때문에 일은 잘 할지 몰라도 안에서 몸이 도끼자루 썩는 줄 모르듯이 망가지는 것을 감지 못한다. 그래서 소양인은 마음을 비우고 일을 놓고 충분한 휴식이 필요하다. 휴식을 통해서 마음의 안정과 몸의 회복의 여유를 가진다면 치료가 그리 어려운 일이 아니다.

또한 사회생활에서 분노가 많기 때문에 암의 원인인 화기 – 인체 내에서는 에스트로겐이 바로 이러한 화기의 성향으로 인하여서 일어나는데 – 화가 쉽게 끓어 오르면 그간 치료해 놓은 것이 물거 품이 된다.  그래서 소양인들은 수술을 하는 게 좋다고 본다. 수술 이후에 한약과 항 호르몬제는 아리미덱스 페마라를 사용하면서 진행하면 대부분 재발 없이 성공을 한다. 아마도 유방의 절제가 본인으로 하여금 정신적인 안정을 주는 것 같다. 암의 뿌리가 남아 있는 채 투병하는 것보다, 암의 뿌리를 없애버렸다는 생각이 소양인에게는 많이 안정을 준다. 그리고 에스트로겐의 상징인 유방의 절제가 어떤 의미에서 소양인을 확 정신적으로 쇠약하게 만드는데 이 쇠약은 약하게가 아닌 들뜨던 마음을 가라앉히는 효과를 가져온다. 에스트로겐은 여성호르몬이라고 하고 안드로겐은 남성호르몬이라고 한다. 그러나 이를 사상학적인 해석을 가하면 반대이다. 실제로 불기운 화기 즉 남성적인 호르몬이 에스트로겐이고, 여성적인 음성적인 호르몬이 안드로겐이다. 그래서 안드로겐은 음의 부위인 아래쪽의 혈류를 증가시키고 아래로 치모나 다리털은 많이 나게 하지만 위쪽의 혈류가 감소되어서 머리털이 빠지게 된다. 그래서 최근에 사용되고 있는 여성형 탈모에  쓰이는 제제는 에스트로겐 유사제제이다. 에스트로게닉한 성향으로 인하여서 위로 올라가는 혈류를 증가시키기 때문에 유방도 발달하고 젖의 분비도 많아지고 머리털도 나게 되는 것이다.  그런데 이러한 에스트로겐이 높으면 활력적이 됨과 동시에  화도 많아진다. 즉 소양화가 되는 것이다.

1-4.jpg

나는 이가 잘못 되어서 송곳니를 빼고 새로 임프란트를 하게 되었는데, 이후에  송곳니를 빼자마자 내 안에 굉장한 변화를 느끼게 되었다. 화내는 것이 귀찮은 일이라는 것이 느껴졌다. 평소같으면 분노할 일들이 “왜 화를 내지 귀찮게 “하는 정도로 마음의 변화가 일어나는 것을 알았다. 그야말로 이빨 빠진 호랑이가 돼버렸다. 그래서 송곳니가 발달한 사자나 호랑이들을 송곳니를 빼면 양순해진다는 사실이 이해되었다. 이유는 잘 몰라도 어떤 기관이 가지는 힘이 기관을 제거함으로써 약화되고 변화될 수 있다는 생각을 하였는데, 소양인에게서 유방이 이러한 역할을 하는 것이 아닌지 모르겠다.

이야기를 본론으로 돌아가서 다시 해 보자. 이미  7강에서 실었던 원고를 그대로 옮기고 마지막 5월 중의 검사와 비교해 보겠다.

 7-001

오늘 다루려고 하는 환자는 이전 6강에서 이야기하였듯이 항암제를 수술 전에 잘 사용하였을 때 종양을 잘 줄일 수 있고 이렇게 종양이 줄어든 상태에서 수술이든, 아니면 여타의 치료로 좋은 결과를 모색해야 하는 문제를 다루어 보려고 한다.

  • 2015년 9월 유방암 발견  3.9 cm. 민간요법
  • 2016년 2월 유방암 더욱 커짐  3.9cm  —-> 4.5 cm
  • 2016년 2월 – 3월  #2차  AC  (adriamycin+cyclophosphamide) 요법 시행
  • 2016년 3월 29일  본원 내원 종양  5cm 가량 약간 커졌음
  • 2016년 4월 14일  본원  한약조치 이후  5cm의 종양  3.9 cm로 줄어들음
  • 2016년 4월 15일  tamoxifen + 한방약물조치
  • 2016년 5월 9일  1차  taxol  항암 시작함.  3.9cm(2016/4/4)  —-> 2.3cm (2016/5/26)
  • 2016년 7월 8일  3차  taxol  항암 마침.  방사선 치료 의뢰
  • 2016년 8월 – 9월 방사선 치료
  • 2016년 9월 8일  2.3cm(2016/5/26) —-> 1.13cm(2016/9/8)
  • 2016년 10월 13일 약 10mm  x 2mm의 종양의 괴사된 흔적 남아 보임
  • 2017년 1월 16일 종양 완전소실  4.4×2.1mm의 흔적남음
  • 2017년 5월 26일 초음파상 종양완전소실  2.4mm의 양성으로 보이는 흔적남음
  • 수술 시행하지 않고 한약과 tamoxifen 요법을 지속함

7-002

이 환자는 2015년 9월 우측 유방에 약 3.9cm 가량의 종양을 발견하였다. 미혼인 이 환자는 유방암 발견 후에 당장 항암이나 수술을 결정하지 못하고 민간요법을 하면서 추이를 보았는데 5개월 뒤 종양은 3.9cm에서 4.5cm 정도로 자라 있었다. 2016년 2월 양방병원을 찾아 조직검사를 다시 하였고 당시 겨드랑이와 주변에 여러 개의 림프절이 보였는데 PET 상 악성으로 보여서 조직검사를 하였지만 다행히 림프절은 양성이 나왔고  main mass 외에 주변에 daughter nodule들이 몇 개 보였다.

주치의 선생님은 비록 양성이지만 여러 개의 림프절과 주위의 여러 개의 위성병변(satellite nodules)이 보이자 바로 수술하는 것보다는 항암으로 줄여서 하자고 하여서 태음인인 이 환자는 소음인에게 적합하다고 생각되는 AC 요법을  2차 하였다. 2차 후에 다니던 한의원의 권고로 본원에 내원하였는데

2월 11일부터 본원에 내원하여 3월 29일까지 종양의 초음파상 크기는 오히려 4.5cm에서 5cm 가량으로 커져 있었다. 환자의 동의를 얻어 먼저 한약치료를 해 보고 잘 줄면 내가 제시하는 방법대로 체질에 따른 항암 방법을 해 볼 것을 권유하였다. 본원의 한약 GO500을 사용하고 나서 보름 사이에 종양의 길이가 다시금 5cm에서 3 cm 정도로 빠른 감소를 보였다.

이러한 경우는 환자들마다 다르다. 모든 환자가 한약을 바로 사용하고 종양이 줄지는 않는다. 나는 기본적으로 한양방 협진을 권유하지만 환자의 체질을 확인하고 또한 환자의 체력이나 면역상태를 가늠하기 위해서 먼저 한약부터 사용해 본다. 초기 한약치료에서 크게 줄지 않는 경우는 체질 판별이 옳았다면 환자의 주변 환경이 좋지 않다는 뜻이다. 여기서 말하는 주변환경이란 정신적요인, 음식에 관한 습관, 운동습관 등을 말함이다. 그래서 이런 경우는 좀더 세심하게 이를 살펴야 한다.

하지만 이 환자는 매우 빠른 반응을 보였기 때문에 내심 이 환자는 수술까지 가지 않을 수도 있겠다 생각 하였다. 그리하여 tamoxifen 요법을 권유하여 잘 아는 양방 선생께 보내 tamoxifen과 taxol로 항암을 바꾸었다. 기실 AC는 소음인에게 매우 잘 듣지 태음인은 잘 듣지 않는 경우가 많다. 오히려 커지기도 한다. 수술 전 항암에 대해서는 내가 이제껏 본 경우를 종합하면 다음과 같다.

AC #4 차 이후 종양이 줄었다가 Taxol #4 차 이후 종양이 다시금 커진다

이 경우는 소음인의 경우이다. 초기보다 AC에 의해서 줄었더라도 이후 taxol #4 차로 다시 커진 상태에서 더 이상 줄지 않아서 수술을 하는 경우는 소음인의 경우 결과가 좋지 않다.

AC #4 차 이후 종양이 커진 상태에서 수술을 한다

이 경우는 태음인 경우이다. 태음인이 AC만을 시행하고 종양이 안 줄거나 다시금 커지면 기다리지 않고 수술을 하는 경우에 종양이 독이 올라 있는 상태로 수술 이후에 재발 가능성도 있지만, 대부분 taxol이나 방사선 요법 tamoxifen 요법이 이후 병행되기 때문에 태음인들은 재발 확률이 낮다.

하지만 태음인이 2기가 아니고 1기 환자라 AC #4만 혹은  #6 차 시행하고 나서 종양이 안 줄은 상태에서 수술 후에 호르몬 수용체가 안 나오거나 본인이 거부해서 tamoxifen 요법을 안 하는 경우, 혹은 aromatase inhibitor를 사용해서(소양인에게 적합하고 외국인에게 많음) 호르몬 요법을 하는 경우는 재발 위험이 높다.

수술 이후에  AC #4  taxol #4 차 시행하는 경우

태음인의 경우는 수술을 해서 종양본부가 없어졌기 때문에 종양이 있는 상태에서 AC를 4차 시행하고 나서 수술 후에 택솔을 사용하는 경우보다는 오히려 이 경우가 더욱 결과가 좋다. 초기 수술로 어쨌든 본부가 없어져서 나머지 흩어 뿌린 것이 AC의 자극을 받더라도 미미하고 이후 taxol과 tamoxifen으로 지속되어서 종양을 억제하기 때문이다.

소음인의 경우는 이 경우  tamoxifen을 사용하건 안하건 재발 확률이 높다.

7-002

이 환자는 한방요법과  타목시펜 그리고 2차 택솔요법 이후에 초음파상에서 장경 3.9cm (2016/4/14)이 2.3 cm(2016/5/26) 이후 7월, 8월 사이에  방사선 치료를 권하였다.

방사선을 해 주시는 교수님께서 내심 원격 전이가 없고 림프절 전이도 없는 초기 환자라 부담을 안고서 환자에게 “거의 완치율이 높은 경우인데 수술을 하고 와서 방사선 치료를 받는 것이 어떠냐” 라고 권유하였지만 다음날 환자가 마음이 굳어서 수술 전에 방사선을 해 보겠다고 이야기하니 환자 마음이 굳은 것을 확인하고 방사선 치료를 해 주셨다.

이후 방사선이 끝나고 내원하여 9월 달 보니 종양의 거의 괴사되어서 1.13×0.58cm의 크기가 남아 있었고 한달 뒤인 2016년 10월 13일에는 1.03×0.2cm 정도의 괴사된 흔적만 보였다.

이 환자는 아직 치료 시작단계이지만 앞으로 3년 한약과 tamoxifen 을 병행하고 이후에 5년까지는 겨울 3개월 한약을 권유하고 tamoxifen 은 총 8년 도 복용할 것을 권유하였다. 아마도  나의 이제껏 경험으로는 재발은 없으리라고 예측한다.

계속 – 

이 환자는 1년간 내 치료를 잘 따라 주었고 마음이 안정이 되어서 현재 사회생활도 하고 있다. 5월중에 초음파를 다시 비교하였다. 2017년 1월달에 추적검사를 하였고 다시금 5개월 뒤에 추적검사를 하였다. 

  1. 2017년 1월 16일 초음파 추적검사

우지연 1-3-1.JPG

우지연 1-5.jpg

이미 알려진 우측하부의 유방암으로 화학치료와 방사선 치료를 끝낸 상태

특별히 설명할 만한 잔여 종양이나 재발된 종양은 우측유방에 보이지 않는다. 그러나 조그마한 미세석회화 부분이 6방향에 보인다.

작은 3mmx4mm 크기의 저밀도로 보이는 부분이 7시 방향에 보이는데 이는 위성종양인지 의심이 된다.

좌측유방과 우측의 겨드랑이 부분에 특별한 것이 보이지 않는다.

2017년 5월 26일 초음파 추적검사

우지연 1-1.JPG

우지연 1-6.jpg

이미 판명된 우측 아래쪽 바깥 사면의 유방암으로 화학치료와 방사선을 받은 상태.

특별히 설명할 만한 잔여의 종양이나, 재발된 종양은 보이지 않는다. 조그마한 미세 석회화와 비정형의 낮은 조영증강의 부분이 보이는데 이는 아마도 방사선 치료 후의 변화로 보인다.

조그마한 정형을 가지지 않는 저밀도의 부분이 오른쪽 7시 방향에 여전히 보이는데 이는 이전 초음파 상에서 보였던 것과 변화가 없다. 아마도 양성의 부분으로 보인다.

양쪽 겨드랑이와 왼쪽 유방에는 특별한 것이 없다. 6개월 뒤에 다시 추적할 것을 권유한다.

그래서 초기 자료와 비교를 해 보면 다음과 같다.

7-001

이후한방치료와 tamoxifen 요법을 병행하면서 위의 결과와 같이 양성의 흔적만 보인다.

1-8.jpg이 환자는 현재 사회생활을 시작하였고, 변함없이 좋은 콘디숀을 유지하고 있다. 본인이 조심스럽게 식이요법도 잘 지키고 있고,  또한 운동도 하고 있다. 특별한 문제가 없는 한 내 생각으로는 지금처럼 수술 없이 없어진 상태가 5년을 지나면 완치로 가리라고 본다.

그래서 개인적인 견해로는 양방에서 무조건 수술을 하려고만 하지 말고  case가 되는경우에는 선항암과 방사선  호르몬요법을 한방과 같이 결합하면 수술에 부담을 갖는 미혼여성들에게는 매우 좋은 선물이 되리라고 본다.

우지연 1-9

유방암 11강 – 수술 후 tamoxifen을 사용한 소양인 유방암 환자 이야기

45세 되는 소양인 환자는 2015년 12월에 난소에 5cm 가량의 혹을 수술한 병력이 있다. 이후에 미레나를 삽입하여서 2016년 12월까지 1년 가량을 무월경 상태로 지냈는데,  1년여 미레나를 사용하고 있는 동안에 유방에 혹이 생겨서 검사를 해보니 유방암으로 판명이 되었다.

양측에 침윤성 유방암으로 수술을 하게 되었고(2017/12/26) 병기는 1기였다. 이후에 2017년 1월 말부터 방사선 치료를 양측 수술 부위에 시행하였다. 당시의 자료를 보면 다음과 같다.

0-3

수술 전의 초음파 자료에 양측에 각기 1.92×0.7cm(right breast 12시 방향 5cm 거리)와 0.69×0.51cm(left breast 7시 방향 4cm 거리)의 두개의 크지 않은 종양이 보였다.

0-2.jpg

또한 호르몬 수용체가 에스트로겐과 프로게스테론 모두 강력한 양성으로 판명되어서 tamoxifen을 복용하는 도중에 2월 중순쯤 본원에 내원을 하게 되었다. 자궁내막증의 소견도 있었기 때문에  미레나를 하면 유방암 난소암 등이 오히려 예방이 된다는 이야기를 듣고 일년, 미레나를 하였는데, 오히려 유방에 침윤성 종양이 발생하였다. 그리고 미레나 착용을 중지하고 나니까 생리를 시작하였는데 두 번째 달에는 태어나서 그렇게 많이 생리를 해 본 적이 없다고 하였다. 이후에  tamoxifen을 12월부터 시작하고 나서 생리가 다시 없어졌다. 그리고  tamoxifen을 복용하는 도중에 내원을 하였는데 나의 이론에 의하면 소양인은 tamoxifen을 사용하면 안된다. 유방암은 에스트로겐 과다로 일어난다고 보는 게 양방의 이론이다. 이러한 에스트로겐의 과다를 억제하는 방법은 앞서 나의 여러 글에서 설명을 이미 하였지만 – 두 가지의 방법이 있다. 에스트로겐은 androgen으로부터 시작되는데 aromatase라는 효소가 androgen을 에스트로겐으로 만든다.  음성적인 androgen을 양성적인 에스트로겐으로 만들 때 이 양화를 가능하게 하는 효소가 작용을 하는데  arimidex. femara라는 약은 이러한 androgen에서 즉 씨앗의 상태에서 발아하여서 꽃이 피기까지의 과정인 수(水)가 화(火)로 변화하는 과정을 차단하는 약물이다.

반면에 tamoxifen에 의한 에스트로겐 억제방법은 이같은 과정이 아닌 경쟁적 길항관계를 이용하는 것이다. 여성은 달의 주기에 따라 생리를 하는데 처음 15일은 에스트로겐에 의한 과도한 혈관 확장이 일어나면서 자궁이나 유방, 뼈로가는 혈관들이 매우 확장되어서 성장을 하게 되고  이후 15일 동안은 에스트로겐이 억제가 되면서 대신 프로게스테론으로 대체가 되어서 혈관은 다소 수축한 상태로  더이상 자라나지 못하고  분화가 되는 것으로, 하나는 사과를 꽃에서 자라게 하는 여름 햇볕과 같은 성장 호르몬이고(에스트로겐)  또 하나는 다 커진 퍼런 사과를 붉게 익히는 가을 햇볕과 같은 성숙 호르몬이다. 프로게스테론의 단계에서는 더이상 성장은 없고  분화 유지를 하는것으로, 프로게스테론을 인위적으로 주입함으로써 경쟁적 길항관계인 에스트로겐이 억제되는데, 이 방법이 잘 받는 사람들은 태음인이다. 태음인은 프로게스테론의 level이 낮기 때문에 에스트로겐의 독주를 변화시켜서 프로게스테론의 단계로 바꾸지 못하여서 에스트로겐이 지속되어서 에스트로겐에 반응하는 여러 조직들이 자라는 것이지, aromatase의 과잉으로 자라나는 것은 아니다.

그런데 태음인에게는 타목시펜인 일종의 합성 progesterone 제제가 에스트로겐을 전환시킴으로써 에스트로겐의 유지를 억제하지만, 소양인에게는 이러한 타목시펜은 오히려 나무와 불의 관계처럼 에스트로겐을 항진시키는 효과를 가져온다. 그래서 이전에 낀 미레나라는 루프도 프로게스테론의 일종인 levonorgestrel을 장치를 통하여서 지속적으로 자궁 내에 분비시켜서 에스트로겐의 성장을 억제하는 장치이다. 원래 월경은 에스트로겐 level이 제로, 프로게스테론 level이 제로가 되어야 하는데 프로게스테론이 그대로 유지가 되면  feedback으로 0-0 신호가 안 오기 때문에  자궁은 에스트로겐 생산을 멈춘다.

이 환자는 프로게스테론이 tamoxifen을 사용하는 중에 본원에 오게 되었고 나는 이 환자의 초음파를 의뢰하였다. 여기서 덧붙이면 소양인에게는 엽산이 적합하지 않다. 엽산의 결핍으로 임신에 문제를 일으키는 체질은 소음인이다. 최근에도 내게 온 소음인이 인공수정을 계속 실패하여서 임신이 되었다가 7주부터 12주 사이에 3회나 유산이 되었다고 하였다. 그리하여 엽산에 관한 유전자 검사를 하였더니 전혀 엽산흡수가 안되는 체질이라고 하여서 엽산을 보통 농도의 10배 정도를 섭취하고 나서야 임신유지가 되어서 넷째 때는 성공을 하였다고 하였다. 나의 생각으로는 엽산은 estrogenic한 작용이 있다고 본다. 에스트로겐을 높이는 역할을 한다고 추론된다. 그래서 에스트로겐이 부족한 소음인들은 사용하면 좋은 결과가 오지만 기타 체질은 엽산의 사용이 오히려 문제가 될 수가 있다. 이 환자도 이전에 임신시에 엽산을 복용하자 너무 구토가 심하게 올라와서 할 수 없이 엽산을 중지한 경험이 있다. 이는 엽산이 도와주는 에스트로겐의 역할이 소양인은 항진 되어 있어서 더 보태면 이 같은 부작용이 나타날 수가 있다.

1-1

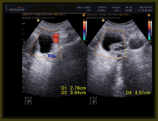
환자는 1년 전에 난소의 양성종양으로 수술을 받았던 경험이 있고, 이번에도 유방수술 이후에 초음파를 보니 83mm x 61 mm x 58 mm의 약 8cm x6cm 정도의 격벽으로 분리된 cystic mass 즉 액상의 종양이 보였고, 또한 13mm, 15 mm의  mass도 발견되었다(2017년 1월 26일 검사).

내원 후에 본원 의뢰하여서 초음파 검사를 하였는데 초음파상의 결과는 이전 병원과 약간의 차이가 있지만 역시 8cm가 넘는 종양이 발견되었다.

1-2

1-3

유방초음파

  1. left lower inner quadrant와 right upper outer quadrant의 유방암을 수술한 병력이 있고
  2. 불균질하고 뾰족한 경계를 가지는 저음영의 부분이 RUOQ(우측 상방바깥쪽면-right upper outer quadrant)에 보이는데 이는 수술 후의 섬유화된 흔적으로 보인다.
  3. 선과 같은 액상의(cystic) 7mm 크기의 동그란 근육 내의 결절이 이전 수술부위인 좌측하부내쪽 1/4 부위에 보이는데 이는 수술 후의 흔적일 수도 있고  종양이 다 제거되지 않고 남아있을 가능성도 있다.

골반초음파

  1. 6.8cm x 5.9cm x 8.1 cm 크기의 여러 개로 갈라진 격벽을 가지고 있는 액상의 부위가 왼쪽 자궁주위 조직에 보이는데 양성의 혹으로 보인다.
  2. 자궁내막의 비후가 관찰된다.
  3. 약 3cm 크기의 근종으로 의심되는 부분이 자궁의 아래쪽에 보인다.

이 환자는 일 년여 프로게스테론 유사체인 미레나와  또 수술 이후에 잠시간 tamoxifen을 복용하였는데 이들은 모두 프로게스테론의 합성제제로서 소양인에게는 오히려 에스트로겐을 상승시키는 효과를 가져온다고 본다. 또한 본인은 그간 체질을 잘못 이해해서 소음인으로 자신의 체질을 알고서 오메가 3와 청국장환 등을 1-2 년 먹었고 닭고기 등도 많이 먹었었다. 이들은 모두 소음 태음인 것으로 청국장환도 콩종류로서  에스트로겐을 높이는 효과가 있다. 이같이 잘못된 체질에 대한 이해와 잘못된 식이요법이 화기(火氣)가 많은 소양인에게 한의학적으로는  화기를 조장하였고 양의학적으로는  에스트로겐을 높여서 유방이나 자궁에 종양을 초래하게 되었다고 본다.

나는 요꼬 선생님께 이 환자를 의뢰하여서 그간 사용하던 tamoxifen을  aromatase inhibitor 의 한 종류인 arimidex와 metformin 합성요법을 2월 16일부터 시작하였다. 그리고 치료시작과 더불어서 이 환자의 에스트로겐 수치를 점검하였는데 에스트로겐수치가 무려 1000 이상으로 높이 나왔다.

1-4

유방암 환자에게 유방암에 특별지표인 CA -15-3을 체크를 하는데 이의 증가는 유방암의 악화나 발병을 의미한다. 하지만 모든 유방암 환자에게서 지표가 되지는 않는다. 특히 소음인 환자들은 종양의 진전과 상관없이 CA 15-3이 낮게 나타나는 경우가 많이 발견된다. 나는 소양인이 일반적인 에스트로겐 수치만 체크하여도 분명 병의 진행과 에스트로겐의 상관관계가 있으리라는 생각으로 체크를 시켰는데 역시 결과는 위에 보듯이 기준치가 평소에 배란기인 11-20일 사이가  437 로 가장 높은데 이의 두배가 넘는 1000 이상의 수치가 나왔다.

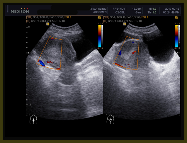
이 환자의 영상을 자세히 살펴보자

유방초음파

1-51-6

  1. 선과 같은액상의(cystic) 7mm 크기의 동그란 근육 내의 결절이 이전 수술부위인 좌측하부내쪽 1/4 부위에 보이는데 이는 수술 후의 흔적일 수도 있고 종양이 다 제거되지 않고 남아있을 가능성도 있다.

골반초음파

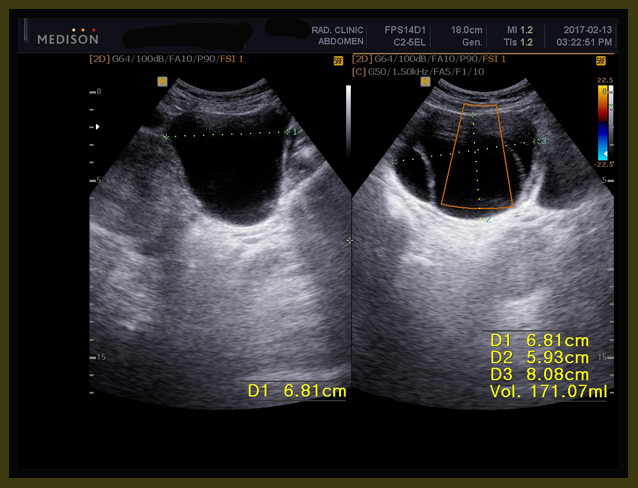
1-7

  1. 6.8cm x 5.9cm x 8.1 cm 크기의 여러 개로 갈라진 격벽을 가지고 있는 액상의 부위가 왼쪽 자궁주위 조직에 보이는데 양성의 혹으로 보인다 (volume 171 CC).
  2. 자궁내막의 비후가 관찰된다.
  3. 약 3cm 크기의 근종으로 의심되는 부분이 자궁의 아래쪽에 보인다.

I000012I000013

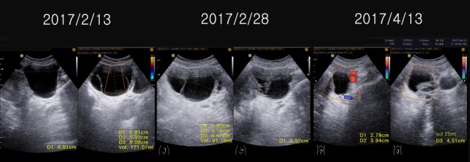
이후에 이 환자를 본원의 한방 항암약물로서 소양인에게 적합한 R0052와 위에서 설명했듯이 양방의 소양인 치료법인 femara+ arimidex 요법과 더불어서 철저한 식이요법을 시행시켰고, 약 12일 뒤인 2월 28일 다시 초음파 체크를 하였다. 이같이 빠른 체크를 2주 내에 하는 이유는 약물의 방향이 맞는가 약물의 농도가 맞는가를 알기 위해서이다. 그 결과는 다음과 같다.

1-8

2주간의 한양방 결합요법의 결과 3항에서 보듯이 약 7mm 정도의 전에 잔류 종양으로 보이던 부분이 약간 줄어들었고, 자궁주위에 있던 난소의 종양은 6.8×5.9x 8.1cm의 크기가 5.5×4.7×6.7cm 로 체적대비해서 171 cc가 91 cc로 100%의 종양이 53%로 절반 가량이 줄어들었고, 자궁내벽의 비후는 여전히 보이고, 3cm 크기의 근종으로 보이는 종양은 차이가 없었다.

I000009

I000015

이후 환자는 2017년 4월 13일 치료 시작한지 2달 만에 다시 에스트로겐 수치와 초음파 검사를 하게 되었다.

1-9

4월 13일 초음파 결과에 의하면 이전에 보이던 우측의 수술부위와 우측 액와림프절 수술부위의 섬유화가 많이 줄었고(2), 선 같은 액상의 7mm 크기의 근육 내의 nodule도 섬유화처럼 변모되었고(3), 골반에 있던 이전이 91cc의 다격벽의 난소종양도  25CC로 줄어들었다. 또한 자궁하부에 보이던 근종으로 의심되는 부분도 3cm에서 2cm로 줄어들었다. 또한 에스트로겐 검사도 이전에 1000이 넘던 수치가 40대로 떨어져서 확연한 에스트로겐의 감소를 알 수 있다.

1-4-1

  1. A multiseptated cystic lesion in the left parametrium, cystic ovarian tumor, muchmore regressed(5.5×4.7×6.7cm/91ml ->2.8×3.9×4.5/25ml)

I000008

  1. Linear cystic lesion with 7mm sized rounded intramural nodule in the previous op. site at the LLIQ, post-op. change, subsided with fibrotic scar change.

I000007

이를 종합해서 정리해서 독자들의 이해를 도우려 한다.

171 ml                                               91 ml                                           25ml

종합1

종합2.jpg

결론)

이 소양인 환자는 유방암의 발생 전부터 소음인 체질로 오인하여 오메가3나 닭고기 청국장환 등과 함께 난소종양 수술 후에 에스트로겐 과잉을 막기 위하여서 사용한 미레나(levonorgestrel)이나, 유방암 발발 이후에 종양을 제거하고 같은 방법으로 에스트로겐 과잉을 억제하기 위하여서 사용하였던 tamoxifen이 모두 일종의 프로게스테론 제제로, 소양인 체질에게는 오히려 종양을 억제시키기 보다는 더 크게 만들었다고 볼 수 있다. 그리고 짧은 시간이지만 두 달여에 본원에 내원하여서 본원에서 권유하는 양한방 병합요법으로 이 같이 에스트로겐에 관여하는 종양인 근종이나 난소종, 유방의 잔류 종양으로 의심되던  조직이 모두 감소되거나 사라진 것은  앞으로 이러한 방법의 한양방 결합치료는 이 환자가 유방암 수술 후에 재발의 가능성을 막아줄 수 있다고 볼 수있다. 이 환자가 타목시펜을 지속적으로 사용하였으면, 본인 생각으로는 비록 1기 유방암 수술을 하였지만 결코 좋은 예후를 가지지 못했을 것이라고 생각된다.

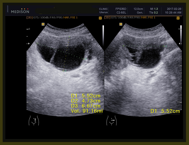
유방암 10강 – 유방암3기 – 양방치료를 거부한 소양인 유방암 환자이야기 – 양측성 종양과 겨드랑이 림프절 전이

이 환자는  2016년 1월 양측성 유방암을 발견하였고, 당시에 본인과 조우한 적이 있다. 짧은 시간이어서 유방암의 표준치료와 소양인에게 표준 항암약물이 잘 받지 않는다는 이야기를 해주었고, 어떻게 대책을 세워야 한다는 이야기를 나름대로 해주었다.  양방에서는 체질을 보는 개념이 없기 때문에 유일하게 oncogen 검사를 하는 것이 소양인들에게 항암을 피해가게 하는 방법이라고 생각하였다.  내게 오는 유방암 환자 중에서 oncogen 검사를 하면 항암이 별로  듣지 않는 타입으로 나온다는 이야기를 하는 분들을 보았다. 자세한 것은 전문가가 아니니 알 수 없지만 소양인들의 암성 조직에서 이러한 항암적합성 여부에서 크게 반응을 하지 않는 무언가가 나오는 것인듯싶다. 항암제가 반응할 확률이 10% 미만이라는 검사결과를 듣고서 환자들에게 항암을 권유하지 않게 된다. 그래서 내가 표준항암인 adriamycin cyclophosphamide. taxol 요법을 지향하고  aromatase inhibitor 단일 제제만 사용하라는 이론을 펼치기 전에 양방적 방법으로도  소양인들은 항암 비적합성이 나오기 때문에, 유방암의 치료대책을 세울 때 나는 비용이 들더라도 꼭 oncogen 검사를 해보라고 권유한다. 앞선 원고에서도 말을 했지만 표준항암방법은 오히려 소양인에게는 암을 억제 못 할 뿐 아니라 더 악화시킬 수도 있다는 생각 때문이고, 실제로 그런 경우를 많이 보아왔기 때문이다. 또 aromatase inhibitor인 femara arimidex 등의 약물과 나의 한방요법으로 여러 사람이 완치를 하여서 잘 지내고 있기 때문이다. 오늘날  aromatase inhibitor를  난소의 여부나 난소기능이 약화된 폐경기 여성에게만 사용하는 것은 잘못된 기준이다. 이는 젊은 늙음이 아니고 소양인이냐 비소양인이냐의 문제이다. taxol이 점유하고 있는 시장에 어떻게  aromatase가 진입하는가 하는 방법론에서 나온 억지 주장일 뿐이다. 소양인은 젊고 난소기능이 있어도  tamoxifen을 사용하면 안되고, 태음인은 나이가 들었어도 aromatase inhibitor를 사용하면 안된다. 그 부작용 역시 소양인은 나타나지 않고 태음인이나 소음인은 뼈골이 쑤시고 아프고 등등 통증으로 인하여서 본인이 중지하는 경우도 많이 본다.

그런데 이 환자는 당시 내 이야기를 듣고서 나름대로 걱정이 되었는지 이후에 한번 병원을 방문하라고 하였는데 오지 않고 민간요법을 선택하였다. 이후에 2016년 1월 암 발견 때부터 한 해 동안 (2016/1월 – 2017/12월 ) 집에서 쑥뜸을 하고, 무우청즙 마시는 것을 하였고 죽염을 복용하는 치료를 민간요법 치료사한테 받았다. 본인의 말을 그대로 빌어서 적어본다  “쑥뜸을 하다가 보니까 가슴이 답답한데 전중을 뜨라고 하였다. 유황오리를 먹고 하였다. 한 달 정도 먹고 나서 죽염도 많이 먹었다.  11월말에 어깨를 올렸는데 등뒤가 찟어지듯이 아팠다. 죽염을 먹고, 유황오리 진액도 먹고 마늘도 먹고 하니까 머리도 빠지고 손발이 노랗게 되었다. 숨쉬는데 가슴이 아프고 하였다. 뜸 선생이 일시적인 현상이 있을 수 있다고 하였다.  3개월 정도 치료했을 때 이같은 증상이 나타났는데 이전에 없던 증상이 나타나서 잘못된 것 같다고 하니까 6월까지 보자고 하였다. 뜸을 뜨니까 눈도 나빠지고 가슴도 답답하고 숨이 가쁘고 하였고 온몸에 가려운 기운이 나타나고 하였다”

일 년 기간을 민간치료사한테 쑥뜸  무우청 달여 먹는 야채효소요법 죽염 유황오리 등을 복용하면서 낫기를 기대하였는데 이전에 없던 증상인 등이 아파지고 탈모가 되고 손발이 노랗게 되고 숨이 잘 안 쉬어지고 등등의 증상이 나타났다.

이분은  표준치료에 실패를 하기도 전에 치료거부를 한 경우이지만, 양방과 마찬가지로 한방의 방법도 다 체질이 있는데 이 환자가 선택한 방법은 소음인에게나 적합한 마늘이나 소금 쑥뜸 등을  전혀 반대의 체질인 소양인이 시행하였기 때문에 암은 억제되지 못하고 꾸준히 자랐으니 사상학적 해석을 하자면 조금 더 키웠을 가능성도 있다고 본다. 선풍기와 에어콘을 넣어 주어야 하는 뜨거운 여름에 불을 때 주었으니 나을 리가 만무이다.

이 환자분은 뜸을 통해서 암이 없어지리라고 기대하였는데  오히려 더 악화시킨 꼴이 되었고   2017년 1월 내가 왕진을 갔다가 다시 보게 되었다. 당시 나와 치료를 협진을 하는 요꼬 선생님께서 환자를 다시 보아달라고 부탁을 하였는데, 심한 통증이 벌써 뼈전이가 되고 암도 매우 커져 있었다. 이후 소양인 양약에 대한 권유를 하면서 바로 심하던 통증이 잡히게 되자 치료에 대한 마음이 생겨서 내원하였고 이미 수술이 불가한 상태에서 소양인 치료를 1월부터 5월 현재까지 하고 있다. 그래서 본고에서는 이 환자의 5 개월간의 치료 과정을 통해서 소양인들이 어떤 치료책을 세워야 하는가에 대한 방법을 제시하고자 한다. 아직 치료가 끝나지 않았지만 사상학적인 한양방 약물의 선택이 말기 환자에게서 어떤 행운을 가져다 줄 수 있는지를 알게 될 것이다.

br 10-1

이 환자는 초기 양측성 유방암을 발견하였다. 크기는 우측에 약 28x14mm 정도 약 3cm 정도의 종양과 더불어서 주위에 미세 석회화된 부분이 쫙 깔려 있었다. 우측도 7mm, 6mm 정도의 1cm 미만의 종양과 더물어서 미세 석회화가 주변으로 번져 있었다. 또한 우측 겨드랑이쪽으로 여러 개의 림프절이 커져 있었다. 림프절은 전이성 암으로 판명이 되었고, 특별히 뼈나 복부에 전이된 흔적은 없었지만, 양쪽의 대퇴골 부위와 치골 부위에 골경화의 소견이 있었다. 당시 MR에서는 조영방식이 달라서 넓게 microcalcification(미세석회화) 된 부분까지 다 포함시켜서 약 8.1cm의 우측 유방과 약 6.2cm 좌측 유방에 병변을 이야기 하였다. 우측에 유방 외에도 겨드랑이(액와)와  쇄골하에 림프절쪽으로 검은 점들이 조영이 증가된 영상이다.

br 10-2

br 10-3

이후 1월부터 7월까지 치료 후에  7월달에 환자는 CT와 초음파를 찍어서 비교를 하였다.

5-15-2.jpg

당시 CT 상에서는 이전의 종양과 크게 변화가 없고 다소 증가하거나 줄어들어서 마찬가지라고 판독을 하였는데 실제로 초음파 상에서는 1월보다 크기가 증가한 상태로 판단이 되었다.

우측에 보이던 28mm x14mm의 종양은 34mm x 14.6mm로 커졌고 왼쪽 유방에 보이는 두개의 종양은 크기가 각가 7.6mm와 6.2 mm(2017/1/21sono)에서 6.3mm와 14.5mm로 하나는 1.3mm 정도가 줄었고 나머지 하나는 7.3mm 정도가 늘어났다.

이같은 이유로 줄은 것도 있고 늘어난 것도 있다고  CT 상 소견을 보인 것이다.  또한 이밖에도  9.6mm와 6mm의 새로이 보이는 종양이 왼쪽 유방에 나타났다. 환자는 이 기간 동안의 체험을 다음과 같이 이야기하였다.

#”뜸뜨면서 원래 없던 통증이 한 달 반 지나니까 딴딴한 것이 아팠다. 손을 만지지 못할 정도였고  아픈 부위가 움직였다. 움직임을 따라서 뜸을 떴다. 그때부터 아프기 시작하였는데 나중에는 하루종일 아팠다. 등도 아프고 , 죽염 먹으니까 눈도 노랗게 되고 등에 무엇이 났다. 왼쪽은 겨드랑이로 당기는 느낌이 있었다. “환자는  낫는다는 믿음을 가지고  또한 어려운 항암이나 수술을 피해 보려고 이같은 여러 가지 통증이나 부작용에 대해서도 묵과 하면서 치료를 계속하였다. 결국 1월달에  가서야 통증이 극도로 심해져서 참을 수 없을 정도가 되어서 다시금 경과를 촬영을 통하여서 파악을 하고 양방을 다시 찾기 시작하였다.

5-8

5-6.jpg

환자는 1년 만에 초기의 오른쪽 28mm x 14mm의 종양이 57m x 26mm 정도로 커졌고 좌측의 종양도 4시 방향의 0.7cm가 3cm 정도로  0.6 cm가 1.2cm로 커지고 그밖에도 자잘한 종양이 더욱 많이 생겼고 림프절도 역시 악화되었으며 유방은 염증성 상태로 부풀어 올라 두꺼워졌다. – 대략 어림잡아서 말하면 초기 오른쪽의  3cm 정도의 종양이 1년 사이에 6cm 가량으로 늘어났고 좌측의 1cm 못미치는 종양이 3cm 정도 또 6mm가 12mm로 늘어났다고 생각할 수 있다. 또한 CT의 결과로는 흉추뼈와 척추뼈의 여러 군데에 종양이 전이가 된 것으로 판명되었다.

# 위의 초음파사진에 좌측의 3cm 2.8cm의 종양은 양약을 시작하고 나서 10일 뒤인 2/10 일자 본원 의뢰 방사선과에서 측정했을 때는 벌써 현격히 줄어들어서 2/10일 초음파에서는 각기 10mm /11mm 정도로 차이가 보였다. 그래서 아래에 초음파 비교에서는 약간의 차이를 보인다.

5-7

또한 CT 에서 보듯이  2016년 1월에 척추에 보이지 않던 종양이 1년 뒤인 2017년 1월 사진을 보면 여러 군데 검은 점으로 표시되는 곳에 보이게 되었다. 환자는 극심한 뼈에서부터 유발되는 통증을 여러 군데 느끼게 되었고 숨도 잘 쉬지 못하게 되었다.

2017년 환자를 다시 만나고 나서 요꼬 선생님과 상의하에 소양인 약물로 분류되는 양방진통제와  유방암에 사용되는 aromatase inhibitor인 femara를 권유하였고. 통증은 한양방 협진으로 다음에 만났을 때는 100%가 10% 정도로 감소되었다. 다음은 일주일 쯤 뒤에 내원하였을 때 환자가 한 통증에 대한 이야기를 그대로 옮겨 본다. ” Femara 하고  metformin을 복용함 (다이아벡스)

처음에 약(femara와 metformin)을 먹으니까 혈압이 머리로 피가 다 올라가는 느낌이 들고 혈관이 좁혀지는 느낌이 들고 갑자기 괜찮았다가 앉아서 혈압을 안정시켰는데 운동하고 나서 몸의 온도가 확 떨어지는데 가슴에서 열이 터질듯이 났다. 열을 재보니까  37.6도였고 한 시간쯤 위에만 열이 나고 눈이 빠질듯하다가 그 열이 발끝까지 퍼지면서 몸이 따스해졌다. 약이 편한데  오늘 안 먹으니까 몸이 쑤셨다. 3일 동안 그 약을 먹고 처음에 바늘로 찌르듯이 아프고 이후 열이 나고 나서 열도 내려가고 통증이 없었다.” 환자는 소양인 약물인 femara와 당뇨약으로 개발되었지만  유방암에서 병용요법에 효과가 있는 소양인 당뇨약 metformin 합성 요법을 하기 시작하였고 체질에 맞는 진통제도 주었는데 당시의 통증이 사라지는 과정을 위와 같이 설명하였다. 양방에서는 통증이 열이나면서 사라졌다고 표현하지만 한의학적 개념에서는 청양이 오르지 못하여서 비국인 유방쪽에 화기로 인하여서 여러 가지 대사의 항진이 일어나고 차가운 청양이 비국인 유방쪽을 식히지 못하다가 청양이 오르면서 비국의 흉격열을 식히고 상초에 머물렀다 양의 기운인 하지로 골고루 퍼지면서 발까지 따스하게 된 것이다. 일반적으로 양인들은 기가 위로 머물러서 오히려 여름에는 상승하는 기운 때문에 더욱더 기가 위로 오르니 발이 시렵고 무릎이 시려우면서 찬바람이 들고 등짝이시렵고 하는 증상이 있다. 이때 잘 못 이해하면 나는 몸이 차가워서 여름철에도  춥게 느껴져서 양말을 신고 자야 한다면서 음인이 아니냐고 질문하는 이들이 많다. 이는 열이 상승하여서 위로 올라 머리쪽으로 지나치게 올라가면 하지로 내리는 순환이 되지 않아서 아래는 차갑게 느끼지면 위는 뜨거운 것이고 복부는 뜨겁게 느끼지만 등짝은 시렵게 느껴지는 것이다. 그래서 이러한 양약이라도 다 맛을 지니고 있고  그 작용부위는 음양을 벗어날 수가 없으니 상승하는 기운을 하강시킴으로써 이러한 변화를 가져오게 되었다.

이후 1월 10일부터 한약을 같이 복용하기 시작하였고, 한 달여가 지난  2017년 2월 9일 초음파 결과는  다소 감소되기 시작하였다. 증상의 안정과 통증의 소실이 역시  종양의 감소와 상관이 있었다.

5-9

2017년 1월 10일 본원 내원하여서 방사선과 의뢰 초음파와 비교해 보면 한 달여에 right breast 의  mass 크기는 약간의 변화를 보여서 체적 28cc가  24cc 로 줄어들었고 left breast의 종양의 크기도 11mm가 약 9.3mm로 감소를 보였다. 이후 두달이 지나고  2017년 4월 10일 2차 초음파 검사결과는 더 확연한 차이를 보이게 되었다.

5-11

3 달간의 치료에 초기에 우측의 가장 큰 5cm 크기의 종양은 3.6cm로 줄어들어서 체적 대비하면28cc가 16cc로 100 % 체적이 57%로 감소되어서 43% 정도의 크기가 줄어들었고, 좌측은 3시 방향의 11mm x.6.3mm x8.7mm이 9.0mm x 6.4mm x8.4mm로 약 80 % 정도로 감소되었고, 4시 방향의 10mm x 6.6mm x 11mm가 8mm x 5mm x 7mm로 체적이 100에서 38%로 감소되어서 62% 정도가 감소되었다.

5-10

이 환자는 아직 뼈에 관한 촬영을 해 보지 않았기 때문에 척추와 흉추의 종양이 얼마나 줄어들었을지는 모르지만 통증의 완화가 진통제를 사용하지 않고도 가능한 것으로 보면 많이 줄어들었으리라고 생각한다. 환자는 까다로운 식이요법과 한약의 불편함을 감수하면서 통합치료를 하고 있지만 결과에 만족하고 잘 치료를 하고 있다. 뼈에 관해서는 zometa라는 소양인들에게만 적합한 약을 병용하고 있다.

이 환자는 호르몬 수용체가 ER+/ PR+로  aromatase inhibitor를 복용하고 있는데 만약 이를 사용치 않고 나이가 젊다고 (41세)  tamoxifen을  사용하였으면  이같은 효과가 오지 않았으리라고 본다. 그래서 다음편에서는 소양인 유방암 환자가 수술 직후에 약 3 개월 정도 tamoxifen을 복용하고 나서  자궁과 유방에  양성 혹 악성의 종양이 생겨서 본원에 내원하여 치료받고 호전을 보이는 환자의 사례를 소개하겠다.

암과 병기 무엇을 선택해야 하나? 수술, 항암, 한방치료, 민간요법, 자연요법

암환자에게 있어서 병기란 매우 중요하다. 환자 스스로 어떤 선택을 해야할지 고민하게 되는데 이때에 병기가 때로는 희망과, 때로는 절망을 주기도 한다. 여기서 내가 쓰려고 하는 것은 양방에 의한 암의 stage를 말하는 것이 아니다. 이는 조금만 책을 보거나 인터넷을 뒤져 환자들이 더 잘 알고 있다. 그러나 이 병기를 내 나름대로의 논법으로 설명해 보려고 한다.

처음 암을 발견하고서 주변에 소문을 듣고 오는 분들은 “선생님 꼭 수술해야 됩니까? 나는 한약이나 자연요법으로 할 수만 있다면 이렇게 치료해 보고 싶습니다. 몸에 칼을 대지 않고 무서운 항암제에 시달려서 사는 게 죽는 것과 다름없이 지내는 것보다는 다른 방법을 택해 보고 싶습니다.” 하고 묻는다. 그리고는 “꼭 한방으로 완치될 수 있습니까?” 하고 묻는다. 그리고 완치는 내가 할 수 있는 이야기가 아닙니다 하면, 치료를 선택하지 않고 잘 설명을 들었습니다 하면서 또 다른 완치시켜 주겠다고 하는 의사나 민간요법 자연요법을 찾아 나선다. 이는 모든 환자가 배웠던 안 배웠던 마찬가지이다. 이렇게 이야기 할 수 있는 환자들은 아직 암은 발견되었지만, 암이 당장 어떤 심각한 통증이나 문제를 일으키지 않고 여유가 있는 경우이다. 이렇게 묻는 분 중에는 평소 생활을 매우 정확하게 하는 분들이 많다. 자신이 예측 가능한 일만 하고, 평소 실수를 안 하는 분들이다. 그래서 암에 대해서도 실수 안 하고 정확하게 나을 수 있는 방법을 찾는다. 또 이런 분들은 누가 항암제는 무지하게  독이 심하고 써도 결국 죽는다던지, 항암제에 대한 나쁜 반응을 이야기 하면 공포에 젖어서, 항암 외에 다른 방법을 찾으려고 한다. 이러한 것은 잘못하면 환자들에게 귀중한 치료의 시간과 기회를 놓치게 한다

그러나 처음 발견했을 때부터 의사 선생님들이 4기 특히 4기말이라고 한다던지, 아니면 항암 이후에 재발을 하여서 기존 항암요법이 더 이상 나를 지켜주지 못한다라고 생각하면 쉽게 치료를 선택한다.

또 간혹은 이런 경우도 본다. 나이가 많은 분들이 암을 발견하고 나서는 묻는다. 몇 년 전분 자료에 조금 의심되는 바가 있다고 하였는데 선생님들이 나를 소홀히 해서 미리 조치하지 못하고 이렇게 크도록 놔둔 것 아니냐면서 내 의견을 묻는다. 나이가 많은 분들은 그야말로 천수를 다 한 것이다. 쉽게 회복되기가 어렵다. 가장 편하게 여생을 보내실 수 있는 방법을 찾아드려야 한다.

내가 겪었던 한 환자의 이야기를 해 보겠다. 이 환자는 신세포암을 아주 말기에 발견하였다. 신세포암은 최근에 들어서 몇몇 약물들이 연구되기 전까지 양방에서는 별다른 치료방법이 없는 암이었다. 방사선에도 잘 반응 안 하고 인터페론 인터루킨 등 약물을 시도하지만 시도뿐이지 이에 대한 좋은 결과에 대한 근거가 없는 암이다. 한 노인분이 오셨는데 4 년전에 신장에 조그마한 종양이 보였다. 주치의는 아직 작으니 관찰하면서 지켜보자고 하고 별 조치 없이 놔두었는데 어쩐 일인지 매년 그 병원 다니면서 비뇨기 문제로 치료를 받았는데도 암이 자라는 것이 체크가 안 되었다. 그래서 4년 뒤에는 종양이 매우 크게 자라서 거의 한쪽 복부를 꽉 채울 정도로 암이 커져 있었다. 족히 손바닥 크기만큼 종양이 커졌다. 이렇게 크기 전까지는 환자는 통증도 없고 잘 모르고 생활하였다. 그러다가  옆구리에 통증이 느껴지면서 결국 신장암인 것을 발견하였다. 외국에서라면 엄청난 의료소송감이다. 환자 보호자가 나에게 견해를 물었다. 나는 이렇게 대답했다. 그 선생님한테 감사 해야 합니다. 어머니가 알고 수술했으면 더 나았을 수도 있지만 그렇지 않고 오히려 폐로 전이되거나 약물치료 과정에서 고통을 받고 훨씬 더 빨리 돌아가실 수도 있었습니다. 오히려 그간 모르고 지내다가 갑자기 말기가 되어서 당황스럽겠지만, 좋은 세월을 지낸 것으로 생각하십시요. 뾰족하게 좋은 치료방법이 없을 때는 모르는 게 약일 수도 있다. 사형선고는 받아 놓고 언제가 집행일일지 몰라서 불안해 하면서 지내는 것에 비하면 얼마나 마음 편히 지내셨겠는가라고 내 견해를 이야기 하였다. 암환자 입장에서는 빨리 수술을 하고 조치를 하면 완치 될 수 있으리라 생각한다면 내 생각은 잘못된 것이다. 하지만 암이 수술로 완치 될 수 있다면 왜 수많은 환자들이 수술 후에 재발을 하고, 항암의 고통을 받다가 죽어가는가? 왜 암은 불치 내지 난치병으로 아직도 사람들에게는 암이 걸렸다고 하면 죽는 것으로 생각하게 되는가?  그만큼 치료가 어렵기 때문이다.

환자가 수술을 꼭 해야 되냐고 묻는다면 나는 대부분의 경우 이렇게 대답한다. 선생님이 수술을 하자고 한다는 것은 환자의 복입니다. 아직까지는 수술로 제거가 가능하기 때문에 병기가 낮은 것입니다.수술을 못한다고 하는 것이 문제입니다. 의사선생님들이 수술을 권유한다면  그야말로 치유 가능성이 높은 것이다. 그래서 병기에 대한 나의 견해를 써보려고 한다. 이는 TNM 병기의 분류가 아닌 환자의 이해를 돕기 위한 나의 설명방식이다.

6-1

양방에서 병기를 나누는 기준은 TNM 병기이다. 병소의 크기인 T와 주변 림프절에 전이 여부를 따지는 N과 다른 장기로 암이 전이가 됐는가를 따지는 M-metastasis의 세 가지를 조합하여서 병기를 정한다. 이러한 병기는 종양마다 차이가 있지만 그래도 병의 예후나 치료에 대한 가이드라인을 제시한다. 1-2기는 잘 치료하면  완치가능성이 높은 경우일 것이고  3-4기는 연장치료가 될 가능성이 완치보다는 더 높은 것으로 본다. 3-4기는 이미 주변에 또는 원격전이가 되어서 다른 장기로 퍼져 있기 때문이다. 앞서 내가 설명한  민들레 이론이 있다. 민들레 씨앗을 가만히 놔두면 그 주변에만 퍼지겠지만 이를 뽑으려고 건드리면 씨앗이 도처에 날아가서 퍼지게 된다. 암도 마찬가지이다. 암세포는 1cm의 크기에 5-10억 개의 세포가 있다. 이 세포가 마치 민들레 씨앗처럼 한번 건드리면 오히려 주변으로 쫙 퍼져 나갈 수가 있다.  squamous cell이라고 불리우는 편평상피암은 주로 상부 표피조직에만 종양이 있어서 혈관이나 림프관을 타고 퍼질 확률이 적지만  adenocarcinoma로 불리우는 선암의 경우 gland라고 불리우는 선 내부에는 혈관과 림프관이 퍼져 있어서 이를 잘못 건드리면  혈관과 림프관을 타고 암이 파종된다. 그러다가 환경이 적절하면 확 자라나는 것이다.

1기란  빨리 수술로 제거하면 완치가 될 가능성이 높지만, 내 생각으로는 그런 경우라도 먼저 체질에 맞는 항암이나 방사선이 가능하다면 이를 시행한 후에  수술이 더 안전하다고 생각한다.

1기 환자도 역시 수술을 통해서 가끔은 완벽치 않게 제거되거나 보이지 않는 씨앗이 역시 퍼지기 때문이다. 암종에 따라 다르고 선생님들의 견해에 따라 다르지만 외과 선생님들과 혈액종양 선생님들간에 약간의 견해 차이를 가지고 있는 것 같다. 수술을 하고 항암을 했는데도 재발을 하는 것을 보는 외과 쪽에서는 먼저 항암해 보아야 소용없다는 견해를 이야기 하는 분들도 계시다. 어차피 재발하면 그때 항암을 해야지 왜 먼저 체력 떨어뜨리고 괴롭히냐 그거 해도 재발하는 분은 다 재발한다고 생각한다.

1기라고 암이 완벽히 제거되는 것은 아니다. 환자들은 내게 와서 선생님들이 암이 완벽히 제거되었으니 이제 한방치료로 좀 더 보완하겠다고 하는 분들도 있다. 혹은 항암을 권유 받았는데도 본인이 선택을 안한 경우도 있다. 나의 생각은 이렇다. 1기라도 이미 씨앗은 다 퍼진 것이다. 그러나 1기는 장마철에 습기가 차서 눅눅한 상태라 볼 수 있다. 곰팡이 씨앗이 포자가 터져서 수술로 흩어져 버렸다 하더라도 눅눅한 습기를 몇 일 불때고 말리면 씨앗이 자라날 가능성이 거의 없다. 민들레 씨앗을 가만 놔두면 그 자리에서만 떨어져서 싹이 트는데 툭하고 건드리면 날아가서 도처에 씨앗이 퍼진다. 하지만 왜 수술을 하는가. 1기라 암이 없어진 것이 아니고, 환자의 면역상태가 나쁘지 않기 때문에 조금만 건강에 유의하고 운동하고 면역을 키우면 암이 못 자라는것이지 암이 없다고 볼 수는 없다. 암은 내 개인적 생각으로는 적어도 3년에서 5년을 지켜보아야 한다.

2기는 장마철에 눅눅한 데다가 창문을 열어놓아서  비가 좀 들이쳐서  한 두군데가 젖은것이다. 부지런히 불때고 말리면 아무리 씨앗이 퍼졌다 해도 자라나지 못할 것이다. 즉 아주 많이 운동을 하고 건강한 사람이 아니면 항암이나 한방요법 방사선 요법 등을 통해서 방을 말리고 불을 때야 한다. 그래야 암이 자라나지 못한다.

3기는 장마철에 창문을 하루 종일 열어 놓아서 방이 온통 비가 들이쳐서 젖은 상태이다. 양방에서조차도 당장 폐색되거나 순환에 문제를 일으키지 않으면 우선은 항암이나 방사선을 시도해 보고 이후에 가능하면 수술을 권유하는 상태이다.

4기는 장마철에  홍수가 나서 방이 온통 침습된 상태이다. 민들레 씨앗을 건드려 놓으면 오히려 다 퍼져서 이곳 저곳에서 암이 자라나니 오히려 가만히 놔두면서 강력한 약물요법이나 한방요법을 결합하여서 치료하는 게 당연하다.

암환자는  수술을 하거나, 이후에 항암을 마치고 나서 암이 몇 개월 뒤에 재발이 없어 보이면 다소 안심을 하고 긴장을 푼다. 이렇게 1-2년이 지나면 방심하고 이전 생활로 돌아가는데 어느 날 보면 암이 다시 솟아있는 것을 발견한다. 암은 무조건 5년의 세월을 지켜보면서 조심스럽게 가야 한다. 유방암은 일반암과 달라서 이 주기가 곱절이다. 즉 10년을 지켜보아야 한다. 하지만 일반암은 5년간 매우 조심하여 수양과 절제와 운동을 하여야 극복할 수 있다. 동양에서는 사주팔자라고 하는데 이는  cycle 이론이 있다. 동양에서는 60 갑자를 이야기한다. 60년을 주기로 해서 운이 바뀐다. 요즘으로 이해하면 생체리듬이 60년을 주기로 상승과 하강의 곡선이 바뀐다고 본다. 동양적인 시간개념은 12지이다. 하루를 이전 분들은  12시간으로 나누어서 시간을 정하였다. 자축인묘진사오미신유술해, 십간 십이지의 십이지(十二支)에  해당한다. 12지 중에 자시는 오늘날로 말하면 11시부터 1시이다. 하루 중에 태양이 넘어가고 양기가 가장 없는 음극의 시간이다. 자연은 양기를 잠장시킨다. 그래서 이 시간에 잠을 자게 된다.각 개인은 타고날 때부터 자신의 사주를 타고 나는데 이는 생체리듬이라고 보면 된다. 그래서 암이 발생하였다는 것은  60년 중의 12분의 1인 자시에 해당하는 5년의 극음의 주기에 들어갔다고 보면 된다.

6-2

즉  60 x 1/12 =5 라고 하여서 5년의 매우 추운 운이 지나간다.생체리듬에서 가장 극한 차가운 운으로 가는것이다. 물론 양인의 경우는 이와 다르다. 가장 뜨거운 운으로 들어가면서 병이나지만 태음인과 소음인은 가장 극냉한 운으로 생체리듬이 바뀐다. 체력도 떨어지고 눈도 어두어지고 생각도 잘 안된다. 겨울이 되어서 춥고 음식을 먹지 못해서 굶고 있다고 생각해 보면 된다. 생각이 나지 않고 머리가 안 돌아간다. 마찬가지로 암환자는 암의 시작이 이러한 5년 운 중에서 첫해를 만나게 되는 것이다. 첫해는 겨우 겨울을 만난 것이고 겨울이 지나고 나서 여름이 오면 몸에 에너지가 상승되었다가 둘째 해 겨울은 겨울에 옷을 벗겨 놓은 것처럼 추워진다. 둘째 겨울을 넘기고 나면 다시금 에너지가 상승되었다가 셋째 겨울은 겨울에 연못에 옷 벗겨 던져 놓은 것처럼 몸이 냉해진다. 3년의 극음의 시간이 지나고 나면  4년째는 이제 물 바깥으로 나오게 되고  5년째는 양지로 운이 옮겨져서 따스한 햇볕을 다시 만나게 되는 것이다.   6-3

6-8

암환자에게는 실망스럽게도 길고 지루한 시간이지만 봄이 다시금 찾아오려면  5년의 세월이 필요하다. 그래야 지뢰밭을 넘어서 안전지대로 가게 된다. 우리가 씨앗을 아무리 뿌려도 물을 아무리 주어도  봄이 되어서 대지가 따스해져야 싹이 터오르듯이 자연의 운은 어쩔 수가 없다. 5년의 세월의 수양이 필요하다. 그래서 실례를 들어서 이 같은 병기에 대한 설명을 해보려고 한다. 물론 이는 모든 사람에게 해당하지는 않는다. 면역이 약하고 체력이 약한 경우일 것이다.

내가 겪은 환자 중에 대장암 2기 환자가 있었다. 이분은 미국에서 친척이 유방암 4기 뼈전이가 되어서 치료 실패하고 와서 거의 몇 년 동안 암이 다 사라진 상태로 유지되자 이 소식을 듣고서 우리 한의원에 오게 되었다. 그 유방암 환자가 존스홉킨스 병원에서 수술 이후에 재발하였는데 내 치료를 받고 좋아지자 내게 오게 되었는데 대장암 수술 후에 아무런 조치도 하지 않았다. 그래서 의아해서 물어보았다. 의사선생님이 왜 항암을 권유치 않았냐고 하였더니, 당시 수술하여준 집도의가 말하기를 “항암으로 좋아질 확률은  20% 밖에 안 됩니다. 항암에 의존해서 재발 하지 않을 확률은 20%이고 나머지는 아닙니다”라고 하였다고 한다. 이 환자는 의사가 “50% 정도는 항암으로 재발이 막아집니다”라고만 하였어도 자신은 항암을 선택하려고 하였다고 한다. 하지만 20% 라는 말에 어차피 재발해서 항암을 하나  항암을 하고 재발을 하나 마찬가지라고 생각하여서 항암을 하지 않았다고 한다.

정말 다른 의사들의 태도이다. 한국 같으면 어림도 없는 이야기이다. 당연히 항암을 해야 하고 그렇지 않으면 큰일 나는 것처럼 이야기 하는데 이를 듣는 환자들은 항암이 극소수의 환자를 제외하고는 완치로 끌고 간다고 착오하게 한다. 오늘날처럼 아직까지 항암과 체질의 문제가 밝혀지지 않는 경우에는 항암이 오히려 더 나쁘게 작용 할 수도 있다. 아무런 조치를 안 하다가 재발해서 체질에 맞는 항암과 한약으로 치료해서 좋아지는 경우와, 틀린 항암제를 사용하여서 재발하여서 다시금 체질에 맞는 항암과 한약을 선택하는 경우는 굉장한 차이가 있다. 틀린 항암제를 안 사용한 경우는 거의 치료가 예측 대로 잘 되지만, 이미 체질을 고려하지 않고 체질에 맞지 않는 항암제를 사용하여서 이후에 재발한 경우는 치료가 쉽지만은 않다. 그야말로 반반이다.

그래서 여기서는 1기에서도 재발한 경우와  4기에서도 치료가 잘 된 두 경우를 소개해서 환자 분들의 이해를 도우려 한다.

사례1)  1기 유방암 환자 1년만에 폐로 전이되고 다발성 골전이가 된 상태

대부분 1기 환자들은 수술 후에 건강에 유념하면 재발이 드물겠지만 그래도 1기 중에서 재발과 전이 되는 경우가 있어서 예를 들어보겠다.

나이가 50대 후반인 여성 환자 분이 옆구리의 통증으로 한의원을 찾았다. 이분은 암환자들에게 등록할 때 필요한 서류를 작성하라고 하였더니 한사코 이를 거절하였다. 두 부부가 똑같이 나는 암환자가 아닌데 왜 암환자로 취급하느냐 하고 간호사 선생님들하고 말다툼을 하였다. 나는 바깥이 시끄럽길래 무슨 사연인지하고 직접이야기를 들어보았다. 사연인즉 2012 년 2월 오른쪽 가슴에 몽울이 생겼는데 큰병원에서 유방암 1기 초이고 임파전이가 없다고 하면서 선생님이 부분절제와 전절제의 두가지 방법이 있다고 하셨다. “부분절제를 하면 방사선과 항암을 해야 합니다. 그리고 만약 전절제를 하면 이런 조치는 필요가 없습니다.”  Y 대학 병원에서 치료를 받았는데 항암제의 부작용을 익히 들어오던 터라 환자는 전절제를 택하였다. 그리고 암이 완치된 줄 알고 지냈는데 여름철이 되자 옆구리가 아프기 시작하였다. 그래서 담당선생님한테 이야기하고 bonescan (뼈의 전이를 보는 촬영방법)을 하였는데 정상소견이 나왔다. 그래도 본인이 아파하자 정형외과 재활외과 신경내과 등을 전전하였다. 몇 달간 치료를 해도 증상이 나아지지 않았다. 그래서 결국 11월쯤 되어서 본원에 찾아오게 된 것이다.  8월달 시행한 bonescan 에서 이상이 없다 하니, 환자는 암에 의한 통증이 아닌 줄 생각하고 있어서 다른 치료법을 찾았지만  뾰족한 개선이 없게 되자 한의원까지 오게 된 것이었다. 당시 내 경험으로는 환자가 호소하는 통증이 벌써 뼈전이 내지 흉막전이가 된듯 하였다. 그래서 방사선과에 의뢰하여서 폐사진을 찍게 하였는데 폐에도 의심스러운 점이 보였다. 그래서 환자에게 pet-scan을 추천하였고, 환자는 결과를 가지고 다시 방문하였다. 결과는 다발성 폐전이와 뼈전이가 된 상태였다. 이러한 당황스러운 결과가 나오자 수술하였던 선생님에 대한 믿음이 사라졌고 우리 쪽의 치료방법을 따르기로 하였다.

이 환자는 소음인 체질로서 herceptin 수용체가 있었다. 하지만 herceptin은 시행하려면 현재 taxol 이라는 태음인 약물을 같이 병행해야만 시행이 가능하다. 그래서 D 대학의 종양 선생께 부탁하여 소음인에게 적절한 항암을 먼저 시행해 주십사 부탁하였고 한방치료를 같이 하였다.

6-4

그림1 좌측 사진은 bonescan으로 별 다른 이상이 보이지 않는다. 우측 사진은 내원 초기에 찍은 PET로밝은 음영이 척추에 보이는 부분이 종양이 전이된 부분이다. 폐에는작은 nodule이 수많이 점점으로 있는데 이 사진에서는 보이지 않는다. 이 환자는 herceptin 수용체가 있는 경우여서 초기에 taxol과 herceptin을 생각하였으나 나의 권고에 의해서 taxol은 사용치 않고  CAF 이후에 herceptin을 사용하기로 하고 협진하는 병원에 의뢰하여서 이 방법을 한방치료와 같이 시행하였다. 내원 초기에 CT에서  소견서에 따르면 multiple small nodules both lungs hematogeneous metastasis likely –수많은 작은 종양들이 양쪽 폐에 보인다. 혈행성전이로 판단된다. 이밖에도 척추에도 전이가 되어 있었고 골반부위에도 전이가 되었고 임파절도 여러 군데 전이가 보였다. 그리고  4개월 뒤에 결과는 다음과 같이 좋아졌다.

6-5

그림2  위의 사진은 역시 PET 사진으로 척추 아래 왼쪽으로 간이 보이고 그 아래에 검은 음영은 조영제가 신장으로 내려가는 부분으로 정상 부위이다. 여기를 제외한 제일 우측 사진에서 보이는 오른쪽 어깨의 점이 목의 림프절 전이이고 이밖에도 좌측 골반 부위에도 자세히 보면 검은 점이 나타나는데 이 부분 역시 종양이 전이된 부분이다. 중간에도 오른쪽으로 간 위에 점이 보이는 부분이 7th갈비뼈에 전이가 된부분이다.  2012년 12월 4일에 비해서 치료초기 2013년 1월 24일 아래의 중간 사진을 보면 음영이 많이소실이 되어 있고 치료 5개월 뒤인 제일 우측 사진에서는 종양의 흔적이 잘 안 보인다. 환자는 한양방 통합치료 한 달 뒤에 종양이 확연히 줄어들기 시작하였다. 두 달 뒤 PET에서 흉추 7번과 왼쪽 갈비뼈 7번의 뒤편 그리고 흉추 6번 등에 아직은 조영증가 소견을 보이지만 2012년 외부 필름에서 보이던 오른쪽 경부의 림프절과 양쪽 폐의 종양과 왼쪽 골반은 호전되어서 보이지 않게 되었고 이후에도 더욱 종양이 줄어들었다

6-6

이 환자는 이 당시 2013년 4월 사진에서 보듯이 전신에 종양이 다 사라진듯 하자 한방치료를 중단하고 양방에만 의존하였다. 그래서 이후의 결과에 대해서는 이야기하지 못 한다. 환자 자신이 양방치료가 작용을 하였다고 생각해서인지 어떤 생각을 가졌는지 몰라도 이같이 한양방을 결합을 하여서 잘 치료가 되면 금방 한방을 포기 하는 분도 많다. 아마도 양방의 치료 효과가 이러한 결과를 가져오는 게 아는가 생각하는 것 같다. 그만큼  한방에 대한 일반인의 불신이 크다. 아쉬우면 와서 일시적으로 찾지만 숨통이 트이면 이게 잘못된 길이 아닐까 하고 우려하고 중단을 한다. 그런데 몇 달이 지나고 나면 다시금 재발을 하여서 찾아오는 분들이 대부분이다. 그래서 양방에 의한 종양의 억제와 한방의 면역치료가 항상 함께 가야만 된다. 이 환자도  1년여 만에 다시금 재발하였다는 이야기를 소개한 주위 분을 통해서 듣게 되었다.

이는 드문 예라고 할 수도 있지만 암환자 입장에서는 1기라도 안심할 수가 없다. 처음에 와서 나는 절대 종양은 다 제거하였다고 주장하였는데 그 1년간 이미 폐전이 뼈전이가 다 되었던 것이다. 이후 통합치료로 줄어들었지만 이분이 만약 1기라도  항암 등을 체질에 잘 맞게 하였으면 이렇게 빨리 재발하는 법은 없었으리라고  본다. 위의 사례처럼 1기라고 안심할 수만은 없는데 크게 의학적 지식이 없는 사람들은 이렇게 생각하거나 이렇게 믿고 싶어한다. 반대로 4기 환자라도 희망은 있다. 오히려 4기 환자가 종양을 더 잘 대처하는 경우도 많다.

1기 환자들은 수술조치 후에 태풍은 오지 않을 것이다 생각한다. 하지만 4기 환자들은 태풍이 곧 몰려 올텐데 어떻게 이를 피해 갈 수 있나 하고 더 근신 하고 조심한다. 방심하는 1기보다 근신하고 조심하고 대처하는 4기가 더 좋은 결과를 가져 올 수도 있다. 그리고 집도의의 전절제를 하면 항암이 필요 없다는 말은 암이 얼마나 많은 세포로 이루어졌는지를 무시하는 전적으로 믿어서는 안 되는 말이다.

사례2)  편도암 4기 – 병원 예측 수술 하면 2-3년연장 – 한양방 결합으로 완치되어서 현재 9년 넘게 생존하고 있는 사례

6-7

이 환자 분은 편도암 4기로 진단을 받고 본원에 내원 하였다. 세브란스 병원 환자로 2008년 9월 사진에서 위에서 보듯이 하얀 부분이 전체가 암이다.  그래서 주치의께서 수술 안 하면 6개월, 수술하면 2-3년은 연장 할 수가 있고 수술 과정에서 여러 가지 문제가 파생할 수도 있다고 하였다. 그래서 본원에 내원 하여서 나의 견해대로 세브란스에서 권유하는 소음인 약물인 cisplatin 요법을 거부하고 태음인에게 맞는 항암인 택솔  6차와  방사선 요법 그리고 이후 3년 동안  MSG0500을 사용하여서 현재 9년이 지난 지금까지 재발 없이 수술 안 하고 완치된 사례이다.

환자들의 이해를 돕기 위하여서 이 환자와의 치료종결시 녹음 자료를 공개해 보겠다.

세브란스 김모 박사가 저를 이렇게 진찰하시더니 그냥 그날로 입원을 시켰읍니다. 편도선암 4기 그래서 그대로 두면 6개월, 자기가 수술하면은 2년 내지 3년은 더 생명을 연장할 수 있다- 그러니 저는 사형선고 받은 것입니다. 그래서 선생님이 지시하는 대로 입원을 했어요. 그래서 거기서 시키는대로 MRI도 찍고 CT도 찍고 다 찍었는데, 제 조카사위가 어느 교회 장로님인데 금요일마다 교회에서 철야기도를 하잖아요 거기 갔다가 커피 먹는 시간에 “아 우리 외삼촌이 돌아가시게 되었데 그러니 왜-아 편도선암 4기로 6개월밖에 못 산다고 진단이 났다고” 그런 얘기를 하니, 거기 누가 계셨나면 최모 박사라고 영동세브란스 이비인후과 선생님이 계세요. 그분이 장로님이세요  그 교회에 저도 알아요 그분을 그분이” 아 그럼 영동세브란스나 신촌세브란스나 같으니까 우리 병원에 한번 오시라고 그래라 그럼 내가 보고서 도울 수 있는 것은 돕겠다”. 그러시더래요. 그래서 신촌병원에 말씀드리고 퇴원해서 영동병원에 입원했어요. 그래서 그분의 진단을 받는데  그분이 저를 진단하시더니 신촌에서 검사한 게 다 맞다 이거예요 근데 이제 자기 생각에는 제 목구멍이 너무 콱 막혔으니까 4기니까 거의 다 목구멍을 메웠잖아요? 그러니까 이대로 수술하면 목구멍이 너무 뚫리니까 내 생각은 치료해서 이 암부위를 적게한 다음에 수술을 하면 조금 낫지 않겠습니까 그러시더라고요 그래서 저도 그게 좋을 것 같아서. 왜 그러냐면 신촌세브란스에서는 김박사가 수술을 8시간 하고 성형외과 담당이 6시간을 수술해야 한데요. 목구멍이 확 뚫리니까 너 무뚫리니까 이 살이(팔뚝) 제일 근사치니까 팔에 살을 떼어서 목에 메꾸고 허벅지 살을 떼어서 팔에 메꾸는 수술을 성형외과에서 6시간 자기가 내 목구멍 수술을 8시간 해야 된다고 그래요. 신촌에서  – 아 그렇게 해서라도 2년 살면 좋지요. 근데 이제 문제는 제가 나이가 있으니까 회복이 느릴 수도 있고 또 이것을 너무 많이 뚫으니까 말을 못할 수도 있고 회복된다고 해도. 또 이게 잘 봉합이 안 되면 재수술해햐 한다 그래요. 그래서 이제 신촌서는 죽었다고 생각하고 있었는데 근데 영동에서 오라 그래서 가서 최모 박사한테 진료를 받는데 제가 여기 또 목에 갑상선 암이 또 있었어요. 2개가  최박사가 “이 갑상선 암은 저더러 친구삼아 죽을 때까지 잘 지내세요 그러고 그러면서 정 거북하면 그때 나중에 편도선이 중하니까 이것부터 잡고 나중에 이거 수술합시다 “그래요. 그래서 이 편도선 암을 줄이는 방사선과 항암치료를 하는데 아 원장님이 저더러 나는 태음인이니까 시스프라틴을 절대 쓰지 말라고 그래요.시스프라틴 항암 하지 말라고 그래요. 나더러 그리고 다른 항암제를 쓰라고 그렇게 이야기 하더라고요. 그래서 내가 방사선 치료를 하러 가니까 그 방사선 담당 의사선생님이 내가 미국에 학회를 가니까 그동안 항암치료를 먼저 하시라고 그러고 가요. 사람은 6개월밖에 못 사는 사람을 놔 두고 가는거야요. 그래서 영동세브란스 항암치료를 받으러 갔더니 내 기억으로는 정모 박사가 날 보더니 항암 하자고 그래요. 그래서 선생님 그 항암 무슨 약이니까 하고 물었더니 시스프라틴이라고 그래요. 그래서 죄송하지만 제가 아는 분이 그것은 하지 말라고 그리고 다른 것을 가르켜 주고 그것을 해달라고 그랬어요 그랬더니  – 세상에 돌팔이 의사한테 뜬 구름 잡는 이야기 듣고 다니면서 그것을 여기 와서 써먹느냐고 그래요 나더러 하면서- 나도 이 논문을 쓰느라고 논문을 학회에 많이 발표하는데 이 시스프라틴이 얼마나 잘 듣는데 그러냐고, 그래서 – 저는 아무리 그래도 그 택솔로 해달라고 부탁을 했어요  – 아 그럼 나는 안 한다고 세브란스에서는 시스프라틴만 한다 이거예요. 그럼 나도 안 하겠다고 관두라고 하였어요 그래서 와서 말씀드려가지고 원장님이 소개한 다른 병원에 가서 항암치료를 받는 거예요. 근데 이제 그게 항암치료 받으러 가는 기간이 방사선 이모 박사님이 학회에 갔다 오실 때까지 항암치료를 안 받았어요. 이 박사가 이렇게 나를 만나더니 일주일에 한번 만나는데 왜 항암치료 안 받았는냐고 그래요.  – 자기가 듣기로 어디 신학대학에서 가르친다고 들었는데 우리가 하나님을 믿으면 100 %  믿어야지 어떤 것은 믿고 어떤 것은 안 믿는 게 그게 믿음이냐고 – 그래서 제가 아 그것은 그렇지만  제가 아는 분이 시스프라틴 하지 말라고 그래서 그랬습니다. 지금이라도 선생님이 시스프라틴 하라고 하면 나는 하겠다 (보증한다면)  근데 재발하는 경우에는 어렵다고 들었는데 그래서 내가 망설인 것이라고  하였더니 그 애기 듣고 자신도 생각하더니 그러면 항암은 다른 데서 하라고 그랬어요. 여기서는 방사선만 받으라고 항암은 원장님 소개한 데서 받고 여기는 방사선만 받았어요.

근데  방사선을 33회 받아야 하는데 월화수목금 일주일마다 하는데, 사람은 싹 빠졌어요 체중이 암 걸린다음에 63kg가 49kg이 되었어요. 한참 방사선치료 받으러 다닐 때는 기운이 없어서 나흘을 병원에 가서 링거를 맞았어요. 그러면서 항암도 맞고 방사선도 받는데 그런데 25회 받았을 때 팬티에서 피가 막 묻었어요. 그래서 피가 나오면 좋지 않찮아요 그래서 영동세브란스 비뇨기과를 가서 내가 왜 오줌에서 피가 나냐 그랬더니 – 조금 기다려 보자 하였는데 – 내가 방사선 받고 월요일마다 이모 박사를 뵈러가는데 그 피를 쏟은 다음 월요일날 뵈러가니까  나를 이렇게 보더니 목을 만져보시고, 어  자기가 놀래요 암이 다 없어졌다 이거예요. 나를 이렇게 여기를 만져보더니 아니 암이 없다 이거야 암이 없어졌네 그리고 갑상선 암도 없어졌다고 하면서 자기가 놀래는 거예요 그래도 방사선 치료를 33회까지는 받으라고 하여서 받았어요. 저는 원장님도 애쓰시고 거기서도 다 애쓰셨지만 하나님이 살려주신 게 아닌가 하고 감사하고 살아요 .

이분은 편도암 4기로 병원에서 절망적인 수술에 대한 이야기를 하였고 대부분 이런 경우에 목소리를 잃을 수 도 있고 연세가 있으셔서 수술 후 회복이 어려울 수도 있는 상태에서 본원에 오셨고,나의 권고를  받아들여서 항암제 선택을 소음인 약물인 cisplatin을 선택하지 않고 taxol을 선택하였다. 그리고 수술 없이 한약 항암제, 방사선 또 본인 말씀으로는 하나님의 은혜로 나쁜 피가 소변으로 배출되면서 완치가 되어서 2011년 치료 3년 종결하고  2017 년 현재까지 종양재발 없이 사시고 있다. 이 얼마나 좋은 일인가. 돌팔이 이야기를 듣고 꼭 나았는지는 신만이 아시는 일이지만 나는 태음인 편도암 환자들이 cisplatin을 단독으로 시행하거나 taxol과 함께 시행하였을 때 수술 후 편도암이 재발하는 경우를 보았고 그때마다 체질에 적합치 않은 cisplatin사용이 재발을 유도한 것이 아닌가 생각하였다. 이분은 신학대학 총창님이셨는데 하나님에 대한 믿음도 있지만, 체질이 태음인의 특성도 있다.

대부분 태음인은 자신의 의사와 틀리면 치료하는 의사에게 이야기를 하는 편이다. 소음인과 대단한 차이가 있다. 만약 소음인이 이러한 치료를 받았으면 그리고 내가 권고해 준 방법이 맞다고 하면 의사 선생님한테 이야기 안 하고 자신이 옳다는 것을 관철했을 것이다. 이제마 공께서 소음인은 겨울에 비유하였다. 소음인은 겨울의 나무뿌리와 같아서 보이지 않으나 계책을 좋아하고 비밀을 감추고 있을 수가 있다  (好計策易能秘密  如冬藏之根). 소음의 에너지는  겨울에 뿌리로 양분을 내리고 땅 밑에 꼭꼭 감추어서 영양이 소실되지 않게 저장하여 새봄을 준비하는 에너지이다. 그래서 소음인들은 열매가 떨어지고 나면 겨울에 뿌리로 영양분이 돌아가듯이 잘 저장하고 감추는 능력이 있다. 그래서 때로는 바깥으로 전혀 자신의 의지를 표현 안 하고 다른 일을 구사하고 실행해 나간다. 남들 보이기에는 속뜻과 다르게 위장을 할 수가 있다.

그래서 소음인은 자신의 뿌리가 보이지 않는다고 생각하고 착하고 단정하고 소심해서 자신을 드러내는것을 수줍어하고 겸손한 사람도 있는 반면에 정치적인 소음인들도 있다. 게 중에 수양이 안 된 사람들은  착한 일을 하듯이 보이는 일을 하면서 남들을 돕는 것같이 보이는 일을 하면서 계책을 잘 꾸며서 진정으로는 자신의 목적을 이루려고 하는 사람도 있다고 하였다.

대부분의 소음인들은 착한 소시민으로 산다. 남을 속이지 못하고 돈도 빌려주지 않고 빌려오지도 않고높은 자존심으로 자신이 남에게 손을 내밀지 않고 남의 것 거저 먹으려고 안 하고 소심하고 세심하고 착하다. 하지만 정치적이고 권력적인 소음인들은 조금 다르다. 섬세한 느낌이 발달하여서 대중이 무엇에 기뻐하고 무엇에 분노하는가를 잘 알기 때문에 이런 것을 이용하고 자극하는데, 자신은 어둡기 때문에 자신의 속마음이 잘 보이지 않는다고 생각하고 속으로는 딴짓을 하면서 겉으로는 착하게 보이는 일을 한다. 착한 일을 하는 게 아니고 착하게 보이는 일을 하는 것이다. 기독교에서는 내가 오른손으로 하는 일을 왼손이 모르게 하라고 하였는데 이는 진정으로 이렇게 거짓을 꾸미는 사람들에게 한 경고라고 할 수가 있다.

태음인들의 인성은 많이 다르다. 태음인들은 관계를 매우 중시 여긴다. 내가 상대방에게 내 뜻을 감추고  그와 관계를 한다면 이는 신뢰에 위배된다는 생각을 한다. 소음인들은 모르면 그만이라고 생각하고 보이지 않는 데서 자신의 의지대로 하고 또 혹은 상대방이 민망할까봐 자신의 생각과 상대방이 다를 때는 이를 표현 안 하고 넘어가지만, 태음인들은 나와 너의 관계를 중요시 하는 사람들이다. 즉 당여를 정제하는 사람들이다. 자신과 뜻이 같은 사람들과 어울리기를 좋아하고 마음 편한 사람들과 술마시고 이야기 하는 것을 좋아한다. 이러한 태음인들은 의사에게 와서도 솔직하게 말한다. 자신이 안 받아들이면 못 받아들이겠다는 이야기를 하는데 직설적은 아니면서 잘 우회해서 이야기 한다. 그래서 적어도 나중에 상대방이 속았다고 오해를 안 하도록 인간관계를 맺는다. 만약 태음인이 신뢰하지 않는다면 묵묵히 듣고 그 자리를 떠나버린다. 이러한 성격때문에 태음인인 환자는 의사 분에게 자신의 이야기를 하였고, 어쨌든  돌팔이 이야기를 믿었기 때문에 통합치료에서 완치되기 어려운 4기 환자가 목소리도 잃지 않고 칼도 대지 않고 항암 방사선 한약의 효과로 완치가 되었으니 얼마나 좋은 일인가.

위에서 두 가지의 극단적인 사례를  설명하였다. 한분은 유방암 1기에서 전절제하면 암이 다 없어지리라는 생각에 전절제 이후에 재발하였으나, 이후에 사상의학의 치료와 체질에 맞는 항암에 의해 현저히 좋아진 결과를 가지고 유지하던 분과 두번째 예는 예측가능한 시간이 2-3년의 연장이라는 최고의 전문가의  판단을 듣고서 – 본인 나름대로 사상의학의 치료법을 믿고 수술 전에  양을 줄이기 위해서 시도한  체질통합치료가 암을 다 소실시켜서 현재까지 재발 없이 정상생활을 하는 두 환자의 이야기이다.

암의 stage별 분류에서 본인은 항암이나 방사선이 가능하다면 하고 나서 수술을 하는 게 더 좋다고 의견을 제시하였다. 이렇게 생각하는 이유는  많은 1-2기 환자들도 나중에 실패해서 본원에 찾아오는 경우를 보기 때문이다. 선항암이나 방사선 조치가 암의 세력을 약화시킨 다음에 수술이 가능하다면, 수술과정에서 떨어진 암세포들이 쉽게 뿌리를 내릴 수 없으리라고 보기 때문이다.

그러나 이런 치료는 항암이나 방사선만 의존해서 된다고 보지는 않는다. 알게 모르게  암환자들이 새로운 각오로 몸을 다스리고 운동하고 산소를 들여마시고 정신을 수양하고 음식을 절제하고 등등의 여러 가지 좋은 바탕 위에서 이루어질 수 있다. 이러한 노력 없이 즉 주체적인 노력 없이 남이 해주는 치료에 의해서 약물이나 치료에 의해서만 암을 이기려고 하면 이는 반드시 실패한다. 똑같은 1기라도 주체적 노력- 즉 건강을 위한 시간을 보내는 사람은 성공하지만, 아무리 1기라도 내가 수술했으니까 하면서 주체적 노력을 안 한다면 실패 확률이 더 높다.

그래서 나는 암환자에게 당부를 한다.

암환자는 건강을 위한 시간을 들여 아까워 해서는 안 된다. 가끔 이런 환자들이 온다. 선생님 내가 국장까지 올라갔는데 조금만 더 노력하면 장차관도 바라보는데 내가 여기서 관두기는 너무 아깝습니다. 개인적인 사업을 하는 분들도 일을 잔뜩 벌여 놓고서  한참 잘 되고 있는데 내가 시간을 쪼개서 일을 하면 안될까요? 내가 있어야 이 세상이 있는 것이고, 내 몸이 온전해야 내가 있는 것이다. 환경이 어떻던 나의 건강회복을 위하여 최고의 시간을 들여야 하는데 최소의 시간만 들이고 바깥물사에 사로잡혀서 있으면  보약이나 항암제나 잠시 암을 유지시켜줄 뿐 커다란 급류에 휩쓸려가는 것은 마찬가지이다.

이전에 나에게 왔던 간암환자가 있었다. 이분은 매우 젊고 건강한 분인데도 B형간염이 결국 간암까지  진행되었다. 평소에 실천력이 강하고 계획을 세운 대로 자신의 행동을 끌고 가는 분이었다. 내가 이분에게 하루에 적어도  3-4시간은 산을 타던지 운동을 해야 합니다. 그래야 면역이 강화됩니다 하였다. 이분은 이를 실천하느라고  하루에 3시간을 산을 탔는데 너무 무리를 하였다. 애를 좋은 유치원에 넣어서 이 학비를 벌어야 합니다 그 다음에 이런 이런 앞으로 장래를 위해서 돈도 저축하고 마련해야 합니다 그래서 이분은 2 job을 뛰었다. 그리고 운동을 하려니까 아침 출근시간을 새벽으로 당겨서 새벽 4시에 차를 타지 않고 산을 넘어서  이웃에 있는 직장으로  갔다. 매일같이 운동은 하였지만 꼭 운동을 해야된다는 생각에 사로잡혀서 다른 모든 생활을 포기하지 않고 잠시간을 줄이면서 운동을 하였다. 그리고  2 job을 뛰었다. 몸이 언제 회복될 것인가. 항암제는 전쟁을 하는 것이다. 적군을 죽이고 적군이 빼앗아가는 우리의 식량을 도로 찾아야 한다.적군이 내몸에 와서 헤집고 다니면 우리는 적군에게 물자를 빼앗기고 굶어 죽을 수밖에 없다. 그래서 맹렬한 항암제나 방사선 치료 혹은 수술로 적군을 도려내거나 약화시키고  괴멸시키는 것이다. 그런데 적군이 뚫고 들어온 우리몸은 내몸의 방어군이 다 휴가가고 없어졌기 때문이다. 이 방어군을 키우는 것은 한약의 보할 수 있는 역할이나, 식품이나 비타민류도 도움이 되지만, 제일 좋은 것은 운동이다.

동양은 음과 양의 기초 위에서 모든 사유와 언어가 이루어져있다.이를 테면 정치라는 말을 분석해보자.  서양에서는 일체의 통치 행위로 politics라는 말을 사용한다. 그런데 우리는 정과 치라는 두 단어를 사용한다. 형태라는 말을 보자. 여기서도 똑같이 꼴이라고 안 하고 형태라고 하였다. 일정한 틀을 가진 형과 틀의 움직인인 태즉 자태 두 가지로 보았다.

동양의 언어는  음성적인 것과 양성적인 것의 두 가지 관점을 가지고 사물을 규정한다.

정이라는 것은 올바른 것을 기루는 것이다. 봄 여름에 자연이  비를 뿌리고 햇볕을 쬐어서 나무를 자라게 하고 꽃이 피도록 하는 것이 바로 정이다. 즉 잘 먹고 운동도 열심히 해서 튼튼한  장기를 강하게 하고 심혈관의 기능을 강화하고, 근육을 키우고 하는 것이 정이다. 치란 다스리는 것이다. 나쁜 것을 잘라내고  곪은 것을 제거하는 것이다. 어지러운 것을 형벌로 다스리는 것이 치이다. 정은 인재를 키우고 국가가 좋은 제도를 만들어서 백성을 이롭게 하는 봄 여름의 따스한 햇볕과 같은 것이고 치란 가을 겨울의 숙살한  찬기운이 약한 것을 도태시키고 나쁜 것을 베제시키고, 좋은 열매를 익게 하여 다음의 세대로 넘기게 하는 것이다. 국가가 좋은 데 투자를 해서 사람을 기르고  새로운 사업을 만들어서 백성을  배불리하는 것이 정이고  탐관오리를 색출하고 도적질과 강도를 잡아내고  사회에 해적요소들을 없애는 것 치이다.세상이 좋아지려면 가장 높은 위에 있는 정치가들부터 다스려야한다. 자신들의 배만 불리려 하고 이권에 개입하고 당쟁만 일삼고 민생에 무엇이 필요한지 애를 쓰지 않으면 바로 이게 병이다.

동무 공께서는 국지대병은 투현질능(妬賢嫉能)이라고 하였다. 어진 사람을 미워하고 능력 있는 사람을  질시하는 것을 나라의 대병이라고 하였다. 민생을 위해 힘쓰는 진짜들은 남에게 기준이 되기도 하고 돋보이기도 하는데 이러한 기준때문에 가짜들은 자신의 잘못이 드러나기 마련이다. 그래서 가짜가 진짜를 죽이기위해서 참소와 온갖 비방을 한다. 겉으로는 기득권을 포기한 자신들의 행동이 진보라고 떠들어도 속으로는 온갓 이권에 눈이 멀고 파당질을 하는 것부터 먼저 다스려야 한다. 몸에서도 마찬가지이다. 항암제나 방사선은 치(治)를 하는 것이다. 나쁜 기운을 몰아내고 외적을 소탕한다고 해도 농사를 짓지 않으면 굶어죽을  밖에 없다.  바로 이러한 정(政)을 하는 것은 좋은 약물 한약과 몸에 맞는 성분의 건강식품 또한 운동이다.

많은 의사 분들이 종양이 줄어드는 것과 생명연장하고는 큰 상관관계가 없다고 이야기 한다. 이는 경험에서 우러나온 것이다. 통계적인 사실로도 역시 이렇다고 본다. 즉 종양을 억제하는 것만으로는 생명이  연장되고 완치로 갈 수가 없다. 적군을 소탕한 틈을 타서 부지런히 몸농사를 지어야한다.

養正氣治亂邪 (양정기 치난사)

좋은 기운을 기르고 사기에 의한 어지러움을 다스려야한다. 양방에서의 항암제가 바로 어지러운 사기를 다스리고 억제시키는 것이라면 한방의 약물은 몸의 정기를 보하는 것이다. 항암제로 적사(賊邪- 몸에 기운을 뺏는 나쁜 도적과 같은 사기, 독성물질)를 누르고 억제시켜도 몸을 키우지 못하면 생명연장은 되지 않는다. 반면에 몸에 암종이 있고 완전히 제거되지 않아도  암이 천천히 자라지 못하는 경우는 상당기간 생명연장이 된다. 그래서 암과 더불어서 산다고 하는 말이 나온다. 마음을 편하게 두고 몸을 부지런하게 움직임으로써 – 몸을 나쁜습관에 빠뜨리지 말고  좋은습관을 키움으로써  – 제 때 음식먹고 제때 휴식하고 제 때 운동하고 – 좋은 글을 읽으면서 마음을 다스리고 욕심과 분노와 원망을 가라앉히면- 절로 정기가 사기를 누르고 면역이 강화된다. 하루도 밥을 먹지 않으면 안 되듯이 암환자는 좋은 습관을 만들어서 매일 밥먹듯이 해야 한다.

유방암 8강. GnRH agonist 졸라덱스 aromatase inhibitor -femara 페마라 arimidex 아리미덱스는 소양인 약물로 본다.

소양인은   동무공(이제마) 께서  우리나라의 인구 비례에서   점유율이  태음인 다음으로   보았고  소음인이  드물고  태양인은 더더욱 드물다고 보았다.  그런데 본인의 견해에  의하면  -이는 한 달간  내원 환자를 비교해서 볼 때  100%  중에  45 % 정도가  태음인이고  또 40%  정도가 소음인이다. 거의  15%  정도의 나머지 환자들이 소양인으로 본다.  태양인은 매우 드물게 온다.

太少陰陽人 以今時目見 一縣萬人數大畧論之則 太陰人五千人也 少陽人三千人也 少陰人二千人也 太陽人數絶少 一縣中或三四人十餘人而已

태소음양인은  오늘날 보면, 한 고을에  만인이라고 하면 태음인이 오천명이고 소양인이 삼천명이고 소음인이 이천명이고  태양인은 매우 드물에서 한 고을 중에 혹 3.4 인 혹 10여 인일 뿐이다.

오늘날  이같이 변한 것은  체질은 유전을 하는데  이전에 환경이  오늘날보다  음식이 다양하지 못하고  특히  육류는 더더욱 그렇지 못하므로,  채식위주의 식사가 적당한 소양인 태양인들이  환경이 열악한 북쪽에서  더욱 잘견디었을 터이고, 오늘날은  단백질 식품이  많아 음식들에게  좋은 음식이 식품문화에서  더욱 흔한데  아마도 질병에  약했던 소화장애가 많은 소음인들은 이전 채소만 먹던 시절에는  일찍 사망하였고.  오늘날은  환경이 바뀌면서 소음인들의 수가 늘어난 것이 아닌가 생각한다. 오늘날도  북쪽은  음식이 풍요치 않아서 옥수수를  주식으로 먹는데 이를 잘 견디는 사람은 태양인 소양인이다.

나는  개인적으로  양친이 모두 함흥분이다. 아버님은  고향이 함흥 천서면(함주군 천서면) 이고 어머니는 상조양면이다 . 동무공께서 바로 천서분이다. 나의 이모부 맞은편 댁이 동무공 댁이어서 문을 열면 동무선생 집이 보였다고 하였다. 동수세보원의 서문을 쓰신 성당한교연(誠堂 韓敎淵 1868) 의  부친은  준현(韓駿鉉-1837-1919) 이고 조부는 용수(韓用遂) 이다.  용선과 용근 용수는 사촌지간인데  용수는  딸만 셋이라  아들이 없어서  용선의 아들인  준현을  계자로 삼았고,  준현은  동무공과  처남매부지간인 상현의 사촌형님이다.  용근의 아들이  구현 (龜鉉 1831) 봉현(鳳鉉1843) 상현(象鉉 1849)이 있었고  이 중의 상현이 동무공의 누이와 결혼하여서  그 아들이 창연(昌淵1876)이다. 그리하여  동무공께서는 친조카인 창연과 더불어서 구현의 아들인 직연(稷淵1863)과  준현의 아들인 교연(敎淵1868)을 가르친다.  동의수세보원의 서문을 쓰신 한교연선생의  손위 사촌누이(1858) (준현의 친누이의 딸) 박씨가 나의 증조모 이고  나의 조부께서는 (철언喆彦1874)  당시 천서면에서 동생 각언(珏彦1874) 과 함께 고종 때  사마시에  어린 나이에 합격해서 천서의 쌍둥진사댁이 우리집이다.  조부께서도 동무공 문하에서 직접 수학하셔서 이러한 인연이  나로 하여금 오늘날 사상의학을  매진하게 한 이유이다.  사촌 중에서 제일 나이가 많았던 직연선생의 자제가 두 분이 있었는데  형이  병무(韓秉武 1893)이고 동생이 병도(韓秉道1900)이다.  여기서 동무공의 제자였던 한직연선생의  아들인 병도가 필명을  설야(雪野)로  좌파프로레타리아 문학동맹의  한설야로  이북 문단의 최고위까지 올랐는데  나중에 숙청되지만, 한설야의 소설 중의 탑에  한설야가 아버지께 들었던 동무공 이야기를  많이 써 놓으셨다. 또한 문하에서  공부한 분들에게 동무공의 활동에  대한 이야기를  많이 전하였다.

그리고  내가 들은바로는  할아버지는 자연 선비였지만 그 당시 직접 약 처방을 쓰고 하였는데  사상의학이라고 하지 않았고  사상학이라고 하였다.  이는  사상학이 철학인 성리학에서 나왔고  문하제자들이 모두 이 성리학을 공부한 것이지 일반 의생과는 달랐기 때문에  이를 사상학을 하였다고 불렀다.

자연 나는 함경도 억양만 들어도 이북사람인 줄 아는데  함경도 사람들의 독특한 골격이 있다.  얼굴이 다소 길쭉하면서 아래턱이  그다지 길지 않으면서 튀어나오는 골격비례인데  환자들이 오면 금방 알아낸다. 전라도 소양인들은  광대뼈가 크면서도  아래턱이 뒤로 물러가고 하관이 매우 짧고 박한 데  반해서 함경도 소양인들은  얼굴이 길면서 아래턱이 튀어나오는데  이는 유전자풀에서 소양인들이 많이 점유한다는 뜻이다.  내력으로 보면,  만주나 여진족의 몽고족들의 유목민에 양인들이 많은데  이러한 피가  유전자 속에 많이 섞여서 소양인들의 골격이 함경도 얼굴에 많이 나타난다. 그래서  동무공 당시에도  북쪽은 남쪽에 비해서 소양인 비례가 많았던 것이 아닌가 생각한다.

사상의학에  익숙치 못한 분들을 위해서  사상학의 개념을 간단히 이해시키도록  소개한다.  사상학은  봄 여름 가을 겨울이라는  자연의 큰 변화로  알 수 있듯이  자연의 상대성을  음양을  통해서 설명한 것이다.  가장 쉽게 이해하기 위해서  춘하추동과  한서온냉으로 비유해 보겠다.

8-001

양의  기운은  위로 오르고  음의 기운은  밑으로 내린다.  양은 올라가서 흩어지고  음은 모여서 내려온다.  양은 에너지가 인력을 이기고  분열과 운동성을  만들어서  마치 수증기가 올라가듯이 형체가 없어진다.  음은 인력이 에너지보다 승하여서  운동성을 형태 속에  가둔다.  마치 물이  얼어서 얼음이 되듯이

양의 체질은 위가 성하고  음의 체질은 아래가 성하다.  양은  태양과 소양  음은 태음과 소음으로 나뉜다.  중간을  기준으로 해서 상승하는 직승하는 기운이  태양이요 (목-나무와 같이 위로 자라는 형상)   횡승하는 기운이  소양이다 (화-불의 성질처럼 옆으로 흩어진다) .  중간을 기준으로 해서 아래로 함강 (함몰되듯이 떨어지는 것) 하는 것이  소음이요(수- 물이 모여서 아래서 흐르듯)  중간을 기준으로 해서  천천히  방강(옆으로 퍼지면서 거두어들이는 것) 하는 것이 태음이다 (금金- 금이란  왕 자에다가 입(ㅅ) 자가 들어간다  = 왕이란 지극한 양기인데 이를 말아넣는 상이다).

그래서 태양인  봄체질은  직승하는 기운으로  목이 발달하고  소양인  여름체질은  불처럼 옆으로 흩어지는 기운으로  가슴이 발달한다.  태음인  방강하면서 허리가 발달하고  소음은  함강(바로 내리는 것)하면서  엉덩이가 발달한다.

8-002

이러한  음양이라는 속성과  이의 운동원리인 오행- 이 중에  토는 음양평균의 중용상태라 빠지고  네가지의 편파된 기운  오르고 내리고  뜨고 가라앉는 기운의  에너지가  우주 만유에 존재한다고 보았고  이러한 원리를 타고  사람의 오장도  만들어지고  사상인의 체질도 만들어진다고 보았다.

동무공께서는  황제내경에 있던 삼초설에서 출발하여 이를 사초설로 바꾸고  이러한 사초의 에너지가 서로 다르다는 것을  사상철학에 의해서 설명하였다.  여기서 사초는  상초 중상초  중하초 하초로  이미 황제내경에 설명되었던  삼초설이 후대에  난경(편작이 지었다는)에서는  사초설로 바뀌는데  나지제에 의해서 확립이 된다 (나지제-금원사대가의 한 사람인  유완소의 제자로  당시 이동원과 장종정의 학설을 모두 흡수하였고  후에  단계 주진형이 나지제를 스승으로 모시고  의학을 배운다).

여기서 말하는

  • 상초를 관장하는 기운은  폐에서 나오고    폐국이 발달한 사람이  태양인이며
  • 중상초를 관장하는 기운이 비에서 나오고  비국이 발달한 사람이  소양인이며
  • 중하초를 관장하는 기운이  간에서 나오고  간국이 발달한 사람이  태음인이며
  • 하초를 관장하는 기운이  신에서 나오고  신국이 발달한 사람은 소음인이다.
  • 폐국이란 해부학적으로  cervical  – 비국은 thorax – 간국은  lumbar – 신국은 sacrum and coccyx  부위를  말한다.

이를 쉽게 이야기하기  위해서  목이 발달한 태양인  가슴이 발달한 소양인  허리가 발달한 태음인  엉덩이가 발달한 소음인을 가지고  동물에 비유해 보면 쉽게 이해 할 수 있다.

8-003

이 강에서  설명하려고 하는 소양인은  항에스트로겐 제제 외에  아직까지 발견된  항암제가 없다고 본다.  왜냐하면  소양인들도  암이 생기는 데  반해 치료약이 없는 암이 걸린다.  최근에  스페인에서 나온 우렁쉥이에서 뽑은  욘델리스 (Yondelis ) 외에는 소양인 항암제는 하나도 없다. 항암제는 99% 가  소음인과 태음인 약물이다.  왜 그런가 하면  항암제를 만들때  동물 시험을  거치는데,  이 때 사용되고 있는 mice 나 모르모트 등이 각기  소음체  태음체이기 때문이다.  양체들은 동물계에서도  출산이  한 두마리로 적은 반면에  음체들은 출산이 다산이다.  특히  mice 가  가장  출산을 많이 하기 때문에  세대교체가  빠르고  자궁이 튼튼해서  이를 시험 동물로  사용하다 보니 대부분의 항암제가  소음인 약과 태음인 약물이다. 소양인 약물이 나올 수가 없다.

8-005

여기서 소개하는  case 는 소양인 경우로   항암제가  없는 소양인은 zoladex 나  femara, arimidex  등으로  처음부터 출발해야지  항암제를 사용하게 되면 오히려 암세포를 자극해서 극히 빨리 퍼지는 경우가 많다.  물론  암은 수술로  제거하면 본부가 없어져서 퍼진다 해도  1, 2해를  걸리면서 퍼지기도 하고   그렇지 않은경우는  수술 이후에  혹은  먼저 항암 이후에  수술을 하려고  화학치료를 하는 도중에  흉격으로 퍼지고 폐로 퍼지며 급격히  퍼져 나가는 경우가 있는데  이같은 경우가 소양인의 경우이다.

다만  최근 소양인들은 자비를 들여서 oncogen 검사를 하는데  여기서  대부분  항암제가 안 듣는다는  결과가 나와서  이러한 위험을 피해가는 경우가 있다.  여기 소개하는 환자는 소양인으로 S 대에서 표준치료를  받았다. 2 년 뒤에 종양이 전신에 퍼졌는데  본인은 이러한 사실을 가볍게만 인지하고 있었다.

case 1. 소양인 33세 여환

8-004

위에서 보듯이 pet 상 전신성으로   종양이 수술 후 2년 즉  24개월 만에  퍼진 모습이다.  아래서 보듯이  노란 점들이  폐와 간 전체에 퍼진 종양이다.

초기에  소음인 태음인에게 맞는  약물을 사용함으로써  수술 전에  종양세포들이  독이 오른 데다가 이후 수술 후에도  femara 나  arimidex 를 사용하였으면  이처럼 되지 않았을 터인데  tamoxifen 으로  1년 여 사용하고 나서  전신성을  종양이 퍼졌다.  간, 폐  갈비뼈 흉추뼈 척추뼈 장골  흉벽전이 등  몸 한군데도  퍼지지 않은 곳이 없었다.  이 환자는 1년간 중간 체크를 안 했다고 한다.  초기에 자료를 미비하여 병기가  얼마였는지 잘 모르겠지만 적어도  2기 이상이라 선항암 후 수술을 했을  것으로 보는데 표준치료에도 불구하고  너무 심하게 재발을  하였다.  내가 환자에게  매우 심하다고 하였더니  환자는 “주치의 선생은 뼈에 조금 퍼졌다는 식으로 심각하게 이야기 안 했다” 라고 하면서 나를 의심하는 눈초리였다. 당연  나의 치료를  받을 생각이 없었기 때문에  의심하고  이후 오지 않았다.  이와 유사한 경험을  나는 진료과정에서 많이 하였다.  소양인 들은  종양을 줄이려고 하는 사이에  다발성 폐전이 흉막전이가 되는 경우가 많다.

그래서  이를  이해하기 위해서 사상학에서 보는 여성호르몬과 체질에 대한  문제,  왜  이약물들이  소양인에게  유요한가를  설명해 보겠다.

유방암 7강. 수술 전 항암 암을 어디까지 줄일 수 있는가 ? 수술은 꼭 필요한가? 수술이 확고하게 믿을 수 있는 방법인가?

7-001

오늘 다루려고  하는 환자는  이전 6강에서 이야기 하였듯이  항암제를 수술 전에  잘 사용하였을 때  종양을 잘 줄일 수 있고   이렇게  종양이  줄어든 상태에서  수술이든, 아니면 여타의 치료로  좋은 결과를 모색해야 하는 문제를 다루어 보려고 한다.

  • 2015년  9월   유방암 발견   3.9 cm . 민간요법
  • 2016년 2월   유방암  더욱 커짐   3.9cm  —-> 4.5 cm
  • 2016 년 2월 – 3월   #2차   AC  (adriamycin+cyclophosphamide) 요법 시행
  • 2016 년 3월 29일  본원 내원   종양  5cm 가량 약간 커졌음.
  • 2016 년 4월 14일   본원  한약조치 이후    5cm 의 종양   3.9 cm 로  줄어들음.
  • 2016년 4월 15일  tamoxifen + 한방약물조치
  • 2016년 5월  9 일   1차  taxol  항암 시작함.   3.9cm(2016/4/4)  —->  2.3cm (2016/5/26)
  • 2016 년 7월 8일   3 차  taxol  항암 마침 .  방사선 치료 의뢰
  • 2016 년  8월 – 9월    방사선 치료
  • 2016 년 9월 8일    2.3cm(2016/5/26) —->  1.13cm(2016/9/8)
  • 2016 년  10월 13일   약 10 mm  x 2 mm 의  종양의 괴사된 흔적 남아 보임.

7-002

 

이 환자는   2015 년 9월  우측유방에  약  3.9 cm 가량의 종양을 발견하였다. 미혼인 이 환자는 유방암 발견 후에  당장 항암이나 수술을 결정하지 못하고 민간요법을 하면서 추이를 보았는데  5개월 뒤  종양은  3.9 cm 에서 4.5 cm 정도로 자라 있었다.  2016년 2월  양방병원을 찾아 조직검사를 다시 하였고 당시 겨드랑이와 주변에 여러 개의 림프절이 보였는데  PET 상 악성으로 보여서  조직검사를 하였지만 다행히  림프절은 양성이 나왔고  main mass 외에  주변에 daughter  nodule 들이 몇개 보였다.

주치의 선생님은  비록 양성이지만  여러 개의 림프절과 주위의 여러 개의 위성병변(satellite nodules) 이 보이자 바로 수술하는 것보다는  항암으로  줄여서 하자고 하여서  태음인인 이 환자는 소음인에게 적합하다고 생각되는 AC 요법을  2차 하였다.  2차 후에  다니던 한의원의 권고로  본원에 내원하였는데

2월 11일 부터  본원에 내원한  3월 29일까지  종양의 초음파상 크기는 오히려 4.5cm 에서 5 cm 가량으로 커져 있었다.  환자의 동의를 얻어 먼저 한약치료를 해 보고  잘 줄면 내가 제시하는 방법대로 체질에 따른 항암 방법을 해 볼 것을 권유하였다.  본원의 한약 GO500 을 사용하고 나서  보름 사이에  종양의 길이가  다시금  5cm 에서  3.9 cm 정도로 빠른 감소를 보였다.

이러한 경우는 환자들마다 다르다. 모든 환자가  한약을 바로 사용하고 종양이 줄지는 않는다. 나는 기본적으로 한양방 협진을  권유하지만  환자의 체질을 확인하고  또한  환자의 체력이나 면역상태를 가늠하기 위해서 먼저 한약부터 사용해 본다.  초기 한약치료에서 크게 줄지 않는 경우는  체질 판별이 옳았다면  환자의  주변 환경이  좋지 않다는 뜻이다. 여기서 말하는 주변환경이란 정신적요인, 음식에 관한 습관, 운동습관 등을 말함이다.  그래서  이런 경우는 좀더 세심하게  이를  살펴야 한다.

하지만 이 환자는 매우 빠른 반응을 보였기 때문에  내심  이환자는 수술까지 가지 않을 수도 있겠다 생각 하였다.  그리하여  tamoxifen 요법을 권유하여 잘 아는 양방 선생께  보내  tamoxifen 과 taxol 로 항암을  바꾸었다.  기실 AC 는  소음인에게 매우 잘 듣지  태음인은 잘 듣지 않는 경우가 많다.  오히려 커지기도 한다.  수술 전 항암에 대해서는  내가 이제껏 본 경우를 종합하면  다음과 같다.

AC #4 차 이후  종양이 줄었다가   Taxol #4 차 이후 종양이 다시금 커진다

이 경우는  소음인의 경우이다.  초기보다  AC 에 의해서 줄었더라도 이후 taxol #4 차로  다시 커진 상태에서  더 이상 줄지 않아서 수술을 하는 경우는  소음인의 경우  결과가 좋지 않다.

AC #4 차  이후  종양이 커진 상태에서 수술을 한다.

이 경우는  태음인 경우이다.  태음인이 AC 만을 시행하고  종양이 안 줄거나  다시금  커지면  기다리지 않고 수술을 하는 경우에  종양이 독이 올라 있는 상태로  수술 이후에 재발 가능성도 있지만,  대부분 taxol 이나  방사선 요법 tamoxifen 요법이 이후  병행되기 때문에  태음인들은  재발 확률이 낮다.

하지만 태음인이 2기가 아니고 1기 환자라  AC #4 만 혹은  #6 차 시행하고 나서 종양이 안 줄은 상태에서 수술 후에  호르몬 수용체가  안 나오거나  본인이 거부해서  tamoxifen  요법을  안 하는 경우, 혹은 aromatase inhibitor 를 사용해서  (소양인에게 적합하고 외국인에게 많음) 호르몬 요법을 하는 경우는 재발 위험이 높다.

수술 이후에  AC #4  taxol  #4 차  시행하는 경우

태음인의 경우는   수술을 해서 종양본부가 없어졌기 때문에  종양이 있는 상태에서 AC 를 4차 시행하고  나서  수술 후에 택솔을 사용하는 경우보다는  오히려 이 경우가 더욱 결과가 좋다.  초기 수술로 어쨌든 본부가 없어져서  나머지 흩어 뿌린 것이  AC 의 자극을 받더라도 미미하고 이후 taxol 과 tamoxifen 으로 지속되어서 종양을 억제하기 때문이다.

소음인의 경우는  이 경우  tamoxifen 을 사용하건 안하건  재발 확률이 높다.

7-002

이 환자는 한방요법과  타목시펜  그리고 2차 택솔요법 이후에  초음파상에서  장경  3.9cm (2016/4/14)이   2.3 cm(2016/5/26)  이후  7월 8월 사이에  방사선 치료를 권하였다.

방사선을 해주시는  교수님께서  내심  원격 전이가 없고 림프절 전이도 없는  초기 환자라 부담을 안고서 환자에게  “거의 완치율이 높은 경우인데  수술을 하고 와서 방사선 치료를 받는 것이 어떠냐” 라고  권유하였지만   다음날  환자가  마음이 굳어서 수술 전에  방사선을 해 보겠다고  이야기 하니  환자 마음이  굳은 것을 확인하고  방사선 치료를 해주셨다.

이후 방사선이  끝나고  내원하여  9월 달  보니 종양의 거의 괴사되어서 1.13x  0.58 cm 의 크기가 남아 있었고  한달 뒤인  2016년 10월 13일에는  1.03 x 0.2cm 정도의 괴사된 흔적만 보였다.

이 환자는  아직 치료 시작단계이지만  앞으로  3년 한약과 tamoxifen 을 병행하고  이후에 5년까지는  겨울 3개월 한약을 권유하고  tamoxifen 은 총 8 년 정도 복용할 것을 권유하였다.  아마도  나의 이제껏 경험으로는 재발은  없으리라고 예측한다.

그럼 여기서  설명한 좋은 경우와 다른 위의 내가 제시한 경우를  예시를 들어서 설명해 보겠다.

양방은  회고적 논문이 많이 나와 있다.  retrospective (회고적) 관찰을  통하여서 유방암을  병기와 나이와  항암 공식의 차이에 따라 나누어서  일정한 기간 동안  언제 다시금 종양이 재발하였고  평균 생존률이 얼마이고  하면서 따진다.  이러한 회고적 고찰을 통한 논문은  단지 통계적인 논문이다.

무작위적으로   A B C 방법으로 나누어서  이들 중에 어떤 조합이 평균치가 가장 좋았는가를  따지는 것이다. 이는 아직까지 체질 개념을 갖지 않고 있기 때문이다.  내가 제시하는 체질에 대한 약물 반응은  앞으로  많은 이들이 이를 연구할 때 굉장히 쉽게 편리하게  연구속도를 줄일 수 있는  가교역할을 할 수가있다.  그리고  이러한  주장이  연구를 통해서 검증되는 시간을 기다릴 수 없이 환자들은  자신에게 적합한  항암 공식과 치료를  못 만나기 때문에  나빠지고  생명을 잃는다.  그래서 나는  나의 한계적인 지식이지만  최선을 다해 환자에 대해 이러한 설명을 하고  실천을  권유한다. 그리고  많은 분들이  항암 공식을 바꾸고  한방치료를 더 해서  훨씬 좋은 결과가 나온다. 이는 주장이 아니라 앞으로 시간이 되는 대로 많은 사례들이  어떻게  항암공식을 체질에 따라 바꾸고 좋아졌는지를  수록해 보려고 한다.

또한  나의 검증체계를 통해서  환자가 나빠져서 오는 경우, 무엇이 잘못되어서 이러한 결과가 왔는지 설명해 보려고 한다.

앞서 1강에서 설명하였던  이 환자는  바로  수술 후에  2기가 아닌  1기라  AC 요법만 함으로써  택솔의 혜택을 못 받은  경우이다 (2부터는 선생님들에 따라 다르지만 AC #4 차 이후에 taxol #4 차 를 시행하지만 조기 유방암에는 AC #4-6 차를 시행한다). 그렇더라도  이후 방사선이나  tamoxifen 이 든든히 막아줄 수 있었는데  goserelin 이라는 GnRH agonist 인 소양인 약물을 지속적으로  사용함으로써,  에스트로겐 억제 효과가 전혀 없었는지  이 환자에게는 고세레린인 zoladex 가 반응을 하지 못하고,  종양이  24 개월만에 전신에  퍼지게 된 경우이다.  이 환자가  만약  2기여서 taxol 을  AC 이후에  사용하였고  goserelin 대신에 tamoxifen 을 사용하였더라면  아마도 이 같은 결과가 오지 않았을  것이다.

goserelin

7-004

여기 또 다른 case 의  태음인 유방암 환자를 소개해 보겠다.  이 환자도  역시  유방암 초기 IIa 로 진단을 받아서  수술 이후에  FAC (5-fu. adriamycin. cyclophosphamide) 만을 시행하였다.  이 세가지 모두 소음인에게 적합하여서 수술 이후의 종양억제효과가 미미하였고,

7-005

tripple negative(E/P/H=-/-/-)  호르몬 수용체도  없는 삼중음성으로 나와서  수술 이후에  tamoxifen 의 보호도  받지 못하였다.  또한  2기초라 택솔을  사용치 않아서, 대부분 태음인들이 AC  이후에  면역이 약화되어도  연이은 taxol 4 차에  줄어드는 데 반해  이 분은  택솔을 사용치 않고, 타목시펜도 안 먹었기 때문에  수술 후  세가지의 소음인 약물에 의해서 종양이 자극을 받았다.  더더군다나 zoladex (gnRH agonist 는 소양인 약물인데)  이를  사용함으로써 종양과 에스트로겐 억제효과가 전혀 나타나지 않고  폐전이가  되었고  이후  1년 동안도  2차례 택솔을 사용하였을 뿐  강력한 소음인약인 cisplatin 과 마지막약으로  소음인에게 매우 좋은 효과를 나타내는 eribulin 을  사용하고 나서 매우 악화되어서 내원한 경우이다.  환자가 폐에 흉수가 찼다고 하여서 오늘 내일 하다가 치료를 못 받은 경우이다.

위에서 보듯이  2013년 11월 사진을 보면 전폐에  솜뭉치같이 뭉글 뭉글하게 보이는  하얀 원형의 점들이 모두 암이 퍼진모습이다.

반면에  태음인들은  표준치료는 AC #4 차  taxol #4 를 받으면  비록  zoladex 를 사용하더라고  종양이 쉽게 재발하지 못한다. 그리고  zoladex 를 사용하여서 에스트로겐을 억 하는 방법은 소양인에게 적합한 방법이다.

여기서  가장 나쁜  2 경우를 살펴보았다.  초기 유방암 환자로  태음인들이  taxol 이나 tamoxifen 의 치료를 받지 못하고 수술 이후에 종양이 자라서 전신에 퍼져서 사망 직전까지 간 경우 이다.  첫째 환자는  2년 만에  전신으로 다 퍼졌고. 이후 뇌까지 전이가 되었다.

둘째 환자는  불과 2년이 안 돼서  전체 폐에  다 전이가 되었으니 역시  살기가 쉽지 않았을 것이다.

앞서 소개한   아래의 도표를 다시 보자.  5년 생존율이 1기는 95에서 100% 라고 하였고,  2기는 86% 라고 하였는데  5년 생존은 커녕 2년 안에 거의 사망할 지경에 이르게  되었다. 이런 환자들이 내가 제시하는  사상의  잣대를 가지고  항암을  한다면  아마도 이렇게 되지는 않았으리라 생각한다.

breast-stage

 

 

 

유방암 6강. paclitaxel과 태음인 유방암 – 꼭 수술을 해야 하는가

나의 개인적인 생각으로는  유방암 환자들이 수술 전에  항암과 한방방법을 결합시키면  암을 빨리  줄여서  수술까지 안 갈 수 있는 가능성도 있다고 본다. 하지만 현실적으로  매우 불가능한 방법이다.  대부분 초기 환자들은 수술과 표준치료로 완치된다고  생각하고, 암이 있는데 빨리 도려내야지 잘못하면 더욱 악화될 수 있는데  하는 생각 때문이다.  그리하여  수술을 권하지 않고  치료하다가 악화되면 부담이 매우 크다.  하지만  여성의 관점에서 특히  미혼인 분들은  할 수 있다면  수술을 피하고  낫는 방법에  대해서 생각해 볼 필요가 있다. 또한 앞선  항암제가 적절하게  사용되지 못하여서  종양이 재발하였을 때의 문제를  생각해 본다면  다른 생각을 해 볼 수 있다.

여기서 소개하는 사례는 매우 독특한 사례이다.  또한  이 환자를 통해서  암이 수술을 안했을 때 꼭 빨리 퍼지지는 않는다는 것을  생각해 볼 수 있다.  하지만 모든 사람에게  가능한 것은 아니다.  대장암 특히 직장암 같은 경우는  빠른 수술과 치료로 회복되는 경우가 대부분이다. 하지만  대장암 쪽에서 사용하는 약물인  FOLFOX (5-fu. leucovorin oxaliplatin) 는 역시 소음인약물의 조합이라  소음인들에게는 매우 유효하지만  태음인들은  이 약물이 종양억제에  별반 도움이 되지 않으므로  재발을 심각하게 하는 경우를 본다. 이전에  치료 받았던  환자 중에  직장암 수술 후에   FOLFOX 를 1차 하고 도저히 못하겠다고  우리 의원에  찾아온 태음인 분이 계셨다. 나는 당시 한방치료에 앞서  빠른  항암 치료를 할 것을 권유 하였다.  이 분은 항암제에 대해 매우 부정적 이었다.  당시의  항암에 대한 반응을  그대로 적어 본다.

“수술한 지 8일째 되는 날  항암을 하였습니다 (FOLFOX). 그런데  항암을 맞고 나서 , 완전히 비실비실하고 먹지도 못하고  구토만 하고 매운 것만 먹었어요. 음식은  다른 것들은  병원에서 처다보기도 싫고 병원에서 못 나가게 하는 것  3일 맞고 이틀 있다가 퇴원을 해버렸어요.  퇴원을 하고 집에 와서 있으면서 – “

6-002

몇일 동안이나 구토를 하셨습니까?  “첫날은 괜찮아요. 둘째 날부터 시작해서  삼일째부터는 아예 음식을 못 먹어요. 그냥 그래서 그때는 매운 것 쫄면 냉면 그것으로 하루  한끼 두끼 때우면서 – 집에 와서도 한 일 주일 넘게 힘들었어요. 굉장히 오래 갔어요. 중간에 또 고생을 했어요.”

이분은  매우 체력이 좋아보이는 태음인 여자 분이었는데  항암에 대한 매우 부정적인  생각을 가지고 있었다.  태음인은  경험적인 사람들이다. 소음인들은  비교적 논리를 따지고  정확한 근거나  원인 결과를  살피면서 합리적인 것을  받아들인다.  그런데  태음인들은  아무리 말이 좋아도  겪어 보지 않은 것에 대해서는 조심성을 가지고  접근을 한다.  선뜻  다가서는 소양인들과 달리  사람에 대해서도  태음인들은  그 주위를 살피면서  저사람이 어떤사람인가?  남들과의 관계를 어떻게 하는가 ?  나에게만 잘 해도  다른 이들과의 사이에 관계가 좋지 않다면  경계를 하고 두고 본다.  이 경계심은 매우 오래간다.  반면에  나에게 못해도  남들에게  다 잘하는 것 같으면, 오히려 궁금해 하고 왜 나에게만 못할 . 무슨 오해가 있는 것 아닌가 하고 기다려본다. 반면에 소음인들은  매우 섬세한 감각을 가지고 있어서  오랜 시간을 겪어보지 않아도 인상과 느낌으로 판단하고 대부분 이 판단이 맞아들어간다.  태음인도 역시 이런 경우가 있는데  이는 학습에 의해서이다.

그래서 경험을 믿는 태음인이  주변에 항암에 대한 부정적인 소리를 듣고 읽고 또한  자신이 직접 겪다 보면  겁이 나고  절대 두번 다시 같은 실수를 반복하려고 하지 않는 게  태음인의 마음이다. 이 환자는 너무도 힘들어서 항암을 포기하고  본원에 왔다.   나는 앞서 주장하였듯이 수술 전이라면 모를까  수술을 통하여  잘못하면  퍼뜨려질 수 있는 종양을  항암을 통해서  막는  것도 중요하다고 생각하였다.  하지만 태음인에게는  FOLFOX 가  별로  좋은 반응을 보이지 않는다는 것을 누차 보아 왔던 나는  이분에게  이 소음인에게 적합한 FOLFOX  대신에  택솔을 할 것을 권유하였다. 그래서  이를  해 주실 수 있는 양방선생님을 소개하였다.  그리고  택솔을  6 차 시행하고  한방치료를 받았고  5년정도 왕래하는 동안 재발이 없었다.  당시 택솔을  하고 나서의 반응에 대해서 역시 환자에게  물었다.

“이번에  항암 택솔한 것은 어떠세요?  아무렇지도 않아요 . 저 거기서 항암 맞고 오면서  밥 먹고 왔어요. 식당에 들러서 지난번에도 그랬고 이번에도 계속 그랬어요.”

이렇게 항암을 하면 얼마든지 할 수 있겠지요?

“이거야 뭐 아무렇지도 않으니까  지금은 맞고 아무렇지도 않아요.  병원에서 항문에다가 우유 같은 것  넣고  사진을 찍었어요. 그런데 좋다고 하더군요.”

나는 항암제는  체질이 있지  암 발생부위와 상관 없다고 생각한다. 대장암에서도 폐로 가고, 신장암에서도  폐로가고  유방암에서도  부신으로 가고,  암을 억제하는 항암제는  암의 발현부위가  어디인가 보다  그 암의 숙주요인인 체질에 기인한다고 본다. 이것이 오늘날  암을  발생시키는 유전자를 따져서 항암을 선택해야 한다는  앞선 소개한 글과 같은 맥락이다. 이 환자는 그렇게 힘들다고 표현했던 FOLFOX 에 대한 반응과 달리 택솔은 전혀 힘들지 않다고 하면서  6차를 무난히  마쳤다.  당시는 오래된 시절이라  지금처럼  항구토제가 발달하지 못하였다. 그럼에도 불구하고  택솔에 대해서는 저항감이 전혀 없었다.

이번에 소개하는 유방암 태음인 환자도 유사한 경험을 한 분이다. 이 분은 내게 와서는 하는 말이 “선생님  나는 치료 받으러 온 것이 아닙니다. 체질을 알고 싶어서 왔어요.” 치료에는 전혀 관심이 없었다. 그럼 왜 왔냐고 물으니까  ” 체질을 알아서 식단을 가려보려고 해요” 하였다.

이 분은 유방암 발견(크기 3cm. 액와임파전이)  이후에  전혀 병원을 찾지 않았다.  자신만의 방법을 찾아서 식이요법과 운동을 하면서 3년 세월을 보냈다. 그런데  초기에 3cm 정도 되던 암이 점차 커지자 식이요법을  해보려고  내원하였다.  이 분은 소금도 제한하고 설탕도 안 먹고  밀가루도 안 먹고  일반적인 암치료에 관한 책에 써있는 모든 금기를 다 지키고 있었다. 나쁘다는 것은 하나도 먹지 않았다.  태음인들의  사고 중에 종합하는 것이 있다.  여러 책을 비교해서  나쁘다는 것을  다 안해 보는 것이다. 질과 논리를 따지지 않고,  나쁘다고 하는 말이 이 책 저 책에서 겹치면  마치 여러 사람이 같은 소리를 한  것처럼 경험이 만들어지고  이를 지킨다.   내가  지금 상태를 알기 위해서  방사선 체크를 해보자고 권했는데  절대 못한다고 버텼다.  방사선도  암을 유발하고 항암도 나쁘다는 소리를 듣고서 한사코  사진을 찍지 않겠다고 버텄다.  나는  내일  보호자인  남편과 같이 오시라고 돌려 보냈다.  다음날  남편과  같이 왔는데  남편도 어쩌지 못한다.  환자 고집이 대단하다.  내가 물으니   친정 어머니가  대장암 수술을 하고 바로  항암을  하였는데   하자 마자 바로 돌아가셨다고  한다.  항암 부작용인지  패혈증이 오셨는지 복막염이 왔는지 모르지만  수술 후 항암을 하고  얼마 못가서 돌아가신 체험을 가지고 있었다.  태음인은 경험을 믿는다.  내 눈으로  직접 보았는데 무슨 소리냐?  수술 들어갈 때는 이것 저것  도장 찍으라 해놓고   돌아가실  정도는 아니었는데  수술 후 항암 직후에  사망하는 것을 본 환자는 그 뒤로부터  아예  의사들에 대한 불신이 와서  본인이 알아서 연구를 하고  자신만의 방법으로 암과 투병하며  3년 세월을 보냈다.  그런데  조금씩 암이 커지는 것이 느껴지니 본원을 찾아온 것이다. “선생님 한약 먹으면 암이 자란데요. 항암제도 절대 못 믿어요 . 방사선도 찍으면 암이 자란답니다.” 하고 사진찍기를 거부하였다.

나는  환자에게  이렇게  이야기 하였다. “선생님  오늘부터 내가 가르쳐 주는 식이요법을 지키고  암이 자라면  나를 원망할 터인데  내 방법을  지킨후에  커졌는지  줄 었는지 평가하려면  지금 출발점부터 사진을 찍어 놓고  비교해 보아야  알 수  있으니  사진을 찍지 않으면  나도  체질에  대한 이야기를 해 드릴 수가 없읍니다” 하고  버텼고  결국 사진을  찍었다.  그간  3cm 의 종양이  5 cm  이상으로  자랐다.

이 환자는 앞선  소음인 유방암 환자가 표준치료 후에  3년만에  전신으로  다 퍼진 경우의 환자와 거의 같은 시기에  병발했고  같은 시기에  우리 의원에 왔다.

앞선  2005년도 진단 수술 이후 표준치료를  받은 소음인 환자  2008 년 본원 내원함.

.3-006

표준치료를 받은 소음인은  이미 전신에  다 퍼졌는데  수술을 하지 않은  태음인은  그 자리에서  조금 더 자랄 뿐이지  다른 데로  크게 진전 된게 없었다.  내원 초기  CT 를 찍었는데  결과는 다음과 같다.


6-003.jpg


이 환자는 유방암 발견 후  3년간  아무 조치도 안 했는데  위의 표준치료를  받은 소음인과 비교하면 누구의 결과가  나쁜지는 독자들이  판단할 수 있을 것이다. 표준치료를 받은 환자는 3년 뒤에 전신에 다 퍼졌는데  아무것도 안 한 환자는  3cm 가 직경 2배인 6 cm 로 자랐을 뿐  다른 데로 원격전이가  전혀 없었다.   우리는 이 시점에서  한번 생각해 볼 필요가 있다.  무조건 수술, 무조건 항암 치료가 꼭 옳은 것인지, 물론  이 환자처럼 다행히도  조금만 퍼지는 사람만 있는 것은 아니다.  이 환자분이  3년 세월 동안  암을  별로 키우지 않은 것은  자신이 나름대로 면역을 강화시키고 . 육식을 금하고 절제하면서 운동을 하였기 때문이다.  가만히 산에 가서 독서나 하고 걱정거리만 생각하고 있으면 결코 이같은 결과가 오지 않는다. 일을  하나도 포기 하지  않고  몸을 위한 시간을 들이지 않는다면 결코  이런 결과는 오지 않는다고 본다.  이 환자는 자신보다 늦게 출발한  환자들이  벌써 재발해서  다시 고생하는 것을 보고  자신의 방법이 더욱 옳다고 생각하여서 병원 근처도 안 갔는데 결국은 조금씩 종양이 자라서 내게 오게 되었다.

나는 환자 분에게  체질에 맞게  항암치료와 한방치료를 할 것을 권하였는데  완강히 거절하였다.  자신이 수많은  경우들을  보았는데  항암치료는 절대  믿음이 안 가서 안 받겠다고 하였다.  항암치료 하고 나서 고생하고 나빠지는 경우를 얼마나 많이 봤는데 하면서 거절하였다. 한약도 마찬가지였다.

나는  내가  치료 했던 여러 경우의  case 들을  보여주고  나름대로 이론을 펴서  환자를 설득하였고, 다른치료가  다 싫으면 타목시펜이라도 먹어보라고 하였다. 환자는 이 제안을 받아들여서 양방선생께 소개하여 타목시펜을 처방 받았다.  한달 후에  종양이  1cm 가량 초음파상에서  줄어들었다는 결과를 보고 환자는 치료를 받을 마음이 생겼다.  그래서  taxol 하고  한약을 같이 사용하겠다고 하였더니  항암제는 죽어도 안 하겠다고 버텨서 결국  방사선치료로  가닥을 잡았다.  알고 있는 S 병원의 박선생님한테 편지를 써서  수술을  안 하겠다고 하니 방사선 치료를 해주십사 부탁을 드렸고  한 달여 방사선 치료 이후에  종양은  매우 조금 남아 있게 되었다.

6-004

이후 이 환자는  마음이  열려서  화학치료를 받겠다고 하였다.  그리하여 양방 선생님을  소개하여서 taxol 을  6차를  힘들지 않게 받았다.

6-005

그리고  2009년도부터  타목시펜과  한방요법을  겸하여 받고  2013년도  2-3mm  정도로 남아 있던 종양이  완전히 소멸된 상태로  지금까지  재발 없이 잘 지내고 있다.

이와 유사한  또 다른 태음인의 사례를 들어 보겠다.  그 전에  당부하지만  환자 분들이 정말로 자신이 노력해서  암을 줄이겠다는 주체적인 적극성을 가지고 습관을 고치고  생각하는 방법도 긍정적으로 고치고 운동과 절제를  할 수 없다면  그런 분에게는 이러한  동서결합 방법을 권하지 않는다.  많은 분들이  이렇게  스스로 주체가 되어서 움직이는 것보다  정보를 찾아다니고  누가 무엇 했더니 나앗대 하면서 = . 무슨 약물이?  무슨 음식이?  무슨 건강식품이?  무슨 약침이?  하면서 이런 데  온통 의존하여 자신의 노력을 게을리 한다면 아무리  좋은 방법도  성공하기가 쉽지 않다는 것을  명심하시기 바란다.