[카테고리:] 간암
간암 6강. 색전술로장기생존 의 간암환자 재발이후에 간이식을 기다리는상태에서 한방치료
간암에서의 색전술의 역할은 소음인에게만 적합하다. 왜냐하면 색전술에 사용되는 약물인 adriamycin 은 나의 경험으로는 소음인에게만 효과를 보이기 때문이다. 항암제는 체질이 있다. 오늘날은 표적치료제라는 개념이 나와서, 내가 분류하는 체질과 유사하게 개인의 적합성을 따져서 항암 약물을 선택하고 있다. 하지만 이러한 표적치료제가 나오기 전까지는 항암 방법은 인류 공통적으로 같은 방법을 사용한다. 그리고 이 방법은 이제껏 항암치료 전략에서 가장 좋은 방법을 통계적으로 골라내어서 적용하게 된다. 이러다 보니 개인 차이는 무시되고 통계의 표준에 적합한 사람만이 도움을 받게 된다. 간암 영역에 있어서 색전술에 사용되는 아드리아마이신은 태음인에게 적합치 못하다. 태음인은 이미 이전 강의에서 설명하였듯이 색전술을 받고 나면 급격히 악화되어서 사망에 이르게 된다. 하지만 소음인들은 색전술 이후에 장기 생존이 가능하다. 재발을 하더라도 다시 색전술을 하면 잘 듣는다. 물론 개인의 차이가 있다. 그리고 건전한 생활과 운동 등이 결합되면 몸의 상태가 좋아져서,색전술이 다시금 듣는다. 하지만 이 색전술로 영원히 끝나는 환자도 있는 반면에 지속적 재발을 통해서 색전술이 결국 영향을 주지 못하는 환자들이 대부분이다. 그래서 색전술로 완치가 되는 환자들을 제외하면, 색전술에 의해서 연장이 되는 환자들은 대개 5년에서 7년 정도 가장 장기 환자들이다. 그리고 많은 환자들이 이 같은 좋은 결과를 가져오지는 못한다. 나는 몇일 전에 외부 병원에서 간암 환자를 보게 되었다. 이 환자는 암이 13 cm 가량 커져 있었다. 3년 전에 암을 발견했는데 이 환자는 아무런 조치를 하지 않았다. 나는 왜 아무런 조치를 하지 않았는가? 라고 물어보았다. 환자는 내게 솔직한 심정을 털어놓았다. “사실 내가 암을 발견했을 때, 내 주위에 암환자가 둘이나 있었습니다. 한 분은 사촌형이었고, 한 분은 나의 형제였습니다. 나의 형제는 담도암을 양방 방법으로 치료를 받았고 사촌형님도 다른 암을 치료 받았습니다. 그런데 나는 불과 일년을 못 넘기고 두 사람이 죽는 것을 보았습니다. 그래서 암은 “서양의학으로 치료가 안되는 구나” 하고 생각했습니다. 그리고 “어차피 죽을 바에는 왜 고생하고 죽나 차라리 편안히 운명을 받아들이지” 하는 생각으로 아무것도 하지 않았습니다. 양의학적인 치료법을 거부했습니다.” 이 환자의 두려움은 환자를 3년 유지 시켰다. 나는 이 환자의 체질을 태음인으로 진단하였다. 이 환자가 만약 색전술을 하였다면 훨씬 더 빨리 악화되어서 나를 못 보았을 수도 있다는 생각이 든다. 그러나 넥사바 같은 약을 일찍이 사용했다면 다소 효과도 볼 수 있었으리라는 생각도 역시 겸해서 든다. 물론 이 방법이 완전하지는 않다. 체질이 맞아도 개인의 차이가 많다. 그리고 암이 자라는 환경을 억제하면서 양약을 사용하는 것과 그렇지 않은 경우는 많은 차이를 보인다.
작년 10월부터 내가 원고를 쓰기 시작하였기 때문에, 이전에 치료를 했던 많은 case 들은 나중에 정리해서 소개해 보려고 한다. 그리고 우선 손에 잡히는 대로 최근 환자들부터 소개해 보려고 한다. 내가 환자에 대해서 자세히 쓰는 이유는 환자들이 내 원고를 통해서 남들의 경험을 알게 하기 위해서이다. 암에 관해서는 많은 정보가 있다. 또한 많은 유혹이 있다. 그럴 듯한 거짓정보를 통해서 환자의 주의를 끌게 하는 잘못된 정보들은 환자들에게 정말 귀중한 시간과 노력을 버리고 결국 생명을 잃어버리게 한다. 그런데 내가 보기에는 이러한 거짓정보들이 인터넷상에 도배를 하고있다. 암에 관해서 진지한 노력을 하는 많은 좋은 의사들이 있지만 반면에 상업적인 선전을 하고 완치라는 단어를 내세우면서 뒤로 무수한 소송을 겪는 의사들도 그 중에는 꽤 있다. 사람들이 암이 완치는 드물다고 하지만 가능하면 우리는 완치를 향해서 노력을 해야 한다. 더 좋은 방법이 있으면 얼마든지 이를 받아들일 준비가 되어 있어야 한다. 나는 암을 치료했던 많은 기적들을 소개해 보고 싶다. 이는 내가 치료한 경험을 이야기하는 것이 아니다. 환자가 어떤 방법으로 어려운 암을 헤쳐나가고 성공할 수 있었는지에 대한 경험을 소개함으로써, 많은 환자들이 도움을 받기를 바란다. 또한 이러한 성공에는 반드시 본인이 인지하지 못하지만, 자신의 체질에 맞는 약물이나 건강식품 요법 등이 병행되었기 때문이다. 무조건 비싼 치료방법이 암을 성공시키지는 못한다. 하나라도 자신에게 잘 맞는 음식이나 건강식품 한약이나 양약 등의 치료가 유효하면 암은 비교적 서서히 속도를 줄이고, 급기야 암은 없어지는 경우도 많다. 그러나 이러한 기적에 대해서 무엇이 원인이고 무엇이 결과였는지를, 의사들조차도 잘 설명할 수가 없다. 하지만 사상학에서는 개인의 체질과 음식이나 약물을 – 그것이 한방약물이던 양방약물이던 – 연관지어 설명이 가능하다. 그래서 내가 전문가가 아닌 환자들에게, 환자들의 자료를 상세히 설명하려고 하는 것은 환자 입장에서는 부담이 될 수도 있다. 환자들은 이렇게 생각할 수 있다. “낫는 것만 보면 되고, 나아지면 되지 왜 과정에 대한 설명이 필요한가?”
암이 그렇게 쉽게 나아질 수 있다면, 왜 암을 두려워하고, 암은 죽는 병으로 인식하는 것일까? 그만큼 암의 치료나 완치는 어렵기 때문이다. 그래서 나는 – 암환자의 파묻혀 아무도 보지않는 기록을 다시 되살려서 쓸모 있는 기록으로 만들고, 이를 경계 삼아서 새로운 암환자들이 지표를 세울 수 있게 하기 위해서, 비전문가들인 환자들에게도 상세히 암의 변화를 설명하려고 한다.
그래서 나의 경험과 생각이 완전치는 않아도 암환자가 수긍하고 이해한다면 더 좋은 치료의 길이 보일 것이다. 등불 없이 막연히 길을 가는 것과 멀리 멀기도 하지만 등불이 보여 이를 목표로 찾아가는 것은 매우 다르다. 잘못된 정보는 캄캄한 밤에 등불도 없이 가는 것과 같아서 무수한 상처를 줄 수 있다. 희망이란 단어 하나를 암환자들은 마음에 두고 온갖 어려움을 참는다. 이러한 어려움을 참는 암환자들에게 진정으로 좋은 길이 있다면 얼마든지 소개하려고 한다.
이 환자는(M/57세) – 20대 초반 B형 간염을 발견하고 추적관찰 하였다. 그리고 간암이 발견되어서 색전술을 2차 하고 간에 조그마한 점처럼 씨뿌려져 있다고 하여서 주치의가 이식을 권유하였다. 그러나 가족의 간을 이식 받아야 하는 부담 때문에 망설이다가, 종격동림프절이 발견되어서 원격전이 상태임을 환자는 알게 되었다. 그래서 잠시 간이식을 기다리는 도중, 중지하고 본 clinic 에 내원하였다. 소음인으로 진단하여 본원의 약물을 사용하고 아직 치료가 끝나지 않은 상태이다.
- 2012년 5월 간암발견 색전술을 1차 시행
- 2015년 -3년뒤- 다시 재발 고주파 치료 시행
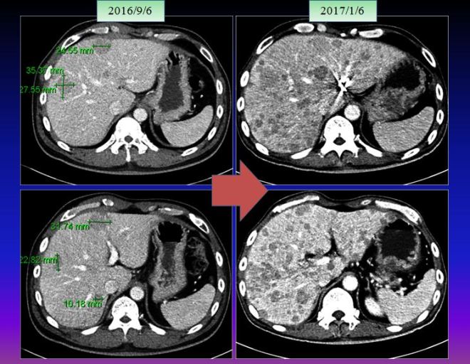
- 2016년 11월 – 고주파 시술 후 22개월 뒤 간에 4개 종양재발
- 2016년 11월 28일 – 새로이 1.7cm 종양 보임 – 모두 5개 종양 발견
- 2017년 1월 5일 – 최초 진단 5년 만에 2차 색전술 시행
- 2017년 1월 20일 – 종격동(기관지 앞쪽)에 림프절 2개 발견 – 방사선치료
- 2017년 3월 9일 반룡인수한의원 내원 약 3cm의 종양 두개 보임. 한방치료 시작
- 2017년 5월 18일 두개의 종양 중에 하나는 소실됨. 또 하나는 면적대비 58 %로 감소됨
- 현재 한방 단독요법으로 치료 지속 중인 환자임
| 20대 초 HBV carrier 발견 보훈 병원 follow | ||
| 2012/5 | 보훈 병원 HCC
TACE #1 liver S5 바라크루드 복용시작 |
2012년 1치 색전술하고 항바이러스약물 복용 |
| 2015/1 | RFA #1 liver S8 시행 | 3년 뒤 재발하여서 고주파치료 |
| 2016/11/7 | Four arterial hypervascular lesions in both lobes of the liver suggestive of recurrent HCC | 22개월 뒤
4개 재발 보임 |
| 2016/11/28 | APCT- newly appeared HCC nodules up to five in number (max : 1.7cm) | 22개월 만에 재발 5개 |
| 2016/12/26 | US liver. 1. liver cirrhosis. 2. A 2.1cm low echoic mass in segment V. Probable HCC | |
| 2017/1/1 | Chest CT no mets
CT liver 1. limited evaluatio of the HCC. 2. newly developed thrombosis in p5 portal vein . Tumor thrombus should be considered. 3. Patent extrahepatic portal vein. 4. adenomyomatosis in the GB fundus |
종격동 임파절전이 |
| 2017/1/2 | Bonescan. 1. no evidence of bone mets. 2. traumatic fracture of the left 9th rib posterior arc | |
| 2017/1/3 | PET. No significant HM-lesion in liver with MR noted recurrence HCC in both lobes. Possible isometabolic HCC. Healing fracture of left 9th rib | |
| 2017/1/5 | TACE #2 – CDDP infused | 2017년 1월 두번째색전술 |
| 2017/1/20- | RT to PVT 40Gy/10Fx | 1월 20일부터 방사선 / 종격동림프절 전이 치료 시작 |
| 2017/1/30 | CT liver 1. Two remaining viable HCCs in S2 and S4(SE 5 IM27.22)
Two new liiodolized lesions in S3 and S5 (SE5 IM27) Lipiodol uptakes in the P5 tumor thrombus with adjacent RT change (SE5 IM32) uncertain tumor viability on current CT. |
2개의 종양
S2. S4 2개의 리피돌흡수의 종양 S3.S5 |
| 2017/2/1 | Continue RT up to 40Gy | 종격동 전이 방사선 치료 지속 |
| 2017/3/9 | 반룡인수 한의원 초진
한방약물 B0052 가감방 사용 시작 |
한의원 초진 |
| 2017/3/9 | 강남 영상의학과 초음파 검사. S8. 2.1x 3.0cm S5 2.7x 3.0cm(WXD) | 초음파 검사 |
| 2017/3/31 | 강남 영상의학과 초음파 검사 com with 2017/3/9
2.1×3.0cm(WxD, S8) and 2.7×3.0cm(WxD,S5) -> 1.8 x 2.6cm(more regressed) and 2.7 x 3.2cm(no interval change) |
초음파 검사 |
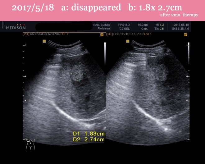
| 2017/5/18 | ABDOMINAL SONOGRAM : Comparison with2017-03-30
1. Known HCC, post-TACE state 2. Previously noted an irregular hyperechoic lesion in the right hepatic lobe is seen again with more regression; (2.7 x 3.2cm ->1.8 x 2.8cm). Previously noted another hypoechoic lesion is not identified in this study. |
초음파 검사
두개 중에 하나는 없어지고 작은 것은 줄어들음 |
- 치료 시작 전 (2017/3/9) ABDOMINAL SONOGRAM :
- Known HCC, post-TACE state
- 2.1×3.0cm(WxD, S8) and 2.7×3.0cm(WxD,S5) sized irregular hyperechoic lesions in the right hepatic lobe, compatible with HCC

2. 치료 20일 뒤 (2017/3/31)
한방약물 단독 치료 20일 후 – 식이요법 소음인 식이요법으로 – 짜고 맵게 식사지도
강남 영상의학과 초음파 검사 com with 2017/3/9
2.1×3.0cm(WxD, S8) and 2.7×3.0cm(WxD,S5) -> 1.8 x 2.6cm(more regressed) and 2.7 x 3.2cm(no interval change)
3. 치료 두달 뒤 (2017/5/18) ABDOMINAL SONOGRAM : Comparison with2017-03-30
- Known HCC, post-TACE state
- previously noted an irregular hyperechoic lesion in the right hepatic lobe is seen again with more regression; (2.7 x 3.2cm ->1.8 x 2.8cm).
- Previously noted another hypoechoic lesion is not identified in this study.

간암 5강 소음인 항암약물을 사용한 태음인
간암 4강에서 넥사바는 태음인 약물이지만 side effect가 심하여서 사용하는 데 문제가 있다는 이야기를 하였고 태음인에게는 adriamycin의 색전술이 잘 듣지 않는다는 설명도 하였다. 이번 5강에서는 최근 간암 환자가 소음인 약을 사용하고 나서 얼마나 빨리 퍼졌는지에 대한 사례를 통해서 항암제는 꼭 체질에 맞게 사용해야 한다는 당부를 하고 싶다. 이 환자는 이제 본원에서 치료를 시작하였기에 한 두달 뒤에 follow up을 정확하게 해 보고 독자들에게 설명해 보려고 한다. 말기 간암 환자가 과연 어떻게 반응할는지? 우리가 낙망만 하고 있으면 더 이상 갈길이 없다. 이 환자는 아직 젊기 때문에 매우 나쁜 상태이지만 치료를 시작하였는데 동서양의 결합치료가 어떤 결과를 가져올지는 나도 궁금하다.
47세의 남자인 이 환자는 젊어서부터 담배를 피기 시작하였는데 20년간 거의 하루 한 갑이상을 피웠고 최근에 경제사정이 나빠지자 스트레스로 하루 2 갑씩을 피웠다고 한다. 그런지 1년이 되어서 복통을 느껴서 검진 결과 간암(hepatocellular carcinoma)으로 복부에 임파전이가 있고 여러 개의 작은 암덩이와 함께 제일 큰 간암의 크기는 약 11cm 정도로 판명되었다(2016/7/9).

이후 8월 7일 MR상 거의 간의 우엽에 14cm 가까이 되는 종양이 보이는데 그 사이에 암이 3cm 이상 자랐다는 이야기가 된다. 이후 K 의료원에서 넥사바라고 불리우는 sorafenib을 2달 동안 사용하였다. 이후 결과는 간의 종양은 약간 자랐다고 볼수 있고 간암의 수치는 많이 떨어졌다고 하였다.
가족들은 간암의 수치가 좋아져서 간의 종양도 많이 줄었을 것으로 기대하였으나 크기는 오히려 약간 커지는 경향을 보이자 많이 실망을 하였고, 이후 주치의는 소음인약인 5-fu. leucovorin.cisplatin 등 folfox 공식을 사용하여서 2016년 11월부터 12월까지 한 달간을 사용하였다.
sorafenib은 바이엘과 오닉스사에서 함께 개발한 약물로 kinase inhibitor이다. 신세포암과 간세포암 그리고 방사선요법에 저항하는 갑상선암 등에 사용되고 있다.
Sorafenib (co-developed and co-marketed by Bayer and Onyx Pharmaceuticals as Nexavar),[1] is a kinase inhibitor drug approved for the treatment of primary kidney cancer (advanced renal cell carcinoma), advanced primary liver cancer (hepatocellular carcinoma), and radioactive iodine resistant advanced thyroid carcinoma.Sorafenib is a small inhibitor of several tyrosine protein kinases, such as VEGFR, PDGFR and Raf family kinases (more avidly C-Raf than B-Raf).[2][3][4]
Liver cancer[edit]
At ASCO 2007, results from the SHARP trial[14] were presented, which showed efficacy of sorafenib in hepatocellular carcinoma. The primary endpoint was median overall survival, which showed a 44% improvement in patients who received sorafenib compared to placebo (hazard ratio 0.69; 95% CI, 0.55 to 0.87; p=0.0001). Both median survival and time to progression showed 3-month improvements. There was no difference in quality of life measures, possibly attributable to toxicity of sorafenib or symptoms related to underlying progression of liver disease. Of note, this trial only included patients with Child-Pugh Class A (i.e. mildest) cirrhosis. The results of the study appear in the July 24, 2008, edition of The New England Journal of Medicine. Because of this trial Sorafenib obtained FDA approval for the treatment of advanced hepatocellular carcinoma in November 2007.[4]
In a randomized, double-blind, phase II trial combining sorafenib with doxorubicin, the median time to progression was not significantly delayed compared with doxorubicin alone in patients with advanced hepatocellular carcinoma. Median durations of overall survival and progression-free survival were significantly longer in patients receiving sorafenib plus doxorubicin than in those receiving doxorubicin alone.[4] A prospective single-centre phase II study which included the patients with unresectable hepatocellular carcinoma (HCC)concluding that the combination of sorafenib and DEB-TACE in patients with unresectable HCC is well tolerated and safe, with most toxicities related to sorafenib.[15] This is the only indication for which sorafenib is listed on the PBS and hence the only Government-subsidised indication for sorafenib in Australia.[13] Along with renal cell carcinoma, hepatocellular carcinoma is one of the TGA-labelled indications for sorafenib.[10] (wikipedia 인용)
2007년도 SHARP trial에 의하면 placebo와 비교할 때 중앙생존값이 44%나 증가했다고 보고되었다. 또한 중앙생존값과 진행을 멈춘 기간은 3개월 정도가 더 늘어났다고 하였다. 그러나 그 독성때문에 삶의 질에서는 차이가 없다고 하였다. 이 결과는 2008년 7월2 4일 뉴잉글랜드 의학저널에 실렸고, FDA는 2007년도에 간암치료제로 승인을 하였다. 이는 간경화를 예측하는 child-pugh score A환자를 대상으로 하였다. child-pugh score는 만성적인 간경화를 예측하는 기준으로 A에 속하는 환자는 1년 생존률이 100%, 2년생존률이 85%에 해당되는 환자군을 의미한다. 무작위적인 이중맹검법을 사용한 phase II trial에서 소음인약인 독소루비신과 소라페닙을 결합한 치료는 독소루비신 단독 치료에 비해서 큰 차이가 없었지만 전체 생존률(overall survival)과 무진행생존률(progression-free survival)에서는 독소루비신 단독보다 같이 시행한 군이 월등히 길었다고 보고하였다. 또한 전향적인 (prospective single-centre) phase II trial은 절제할 수 없는 간암환자군을 포함하였고 색전술과 sorafenib를 결합치료를 하였는데, 환자들은 비교적 안전하고 잘 견디었는데 부작용은 모두 넥사바로 인한 것이었다. 이로 인하여서 오스트랄리아에서는 오로지 이 같은 색전술과 함께하 는 방법에 한해서 정부 보조를 하고 있다.
이 환자는 넥사바에서 약간은 종양이 증가 하였지만 암수치는 떨어졌고, 다만 위점막의 자극이 심하여서 먹는 데 매우 심각한 부작용이 있었다고 하였다. 이는 내가 해석하길 환자가 체력이 안 좋을 때는 전체 혈장량이 준다. 이런 경우 체중은 평소와 비슷하여도 혈장량이 줄기 때문에 약이 고농도로 작용을 하게 된다. 그러면 이러한 부작용이 나타난다. 또한 싱겁게 먹는 것이 대부분 간암 환자에게 권유되는 식이요법이다. 그러면 오히려 산분비를 자극하게 된다. 이 경우 알마겔 같은 제산제를 높혀 먹이면 문제가 해결되는데 tiropa 같은 소양인 위장약이나 요새 많이 사용되고 있는 스티렌 같은 쑥제제인 소음인 위장약이나, cimetidine, 잔탁 같은 h2 blocker를 사용하면 오히려 점막자극이 심해진다.
이후 주치의는 folfox 공식에 준하는 cisplatin 5-fu. leucovorin을 결합 사용하였는데 이는 모두 소음인 약물로 소음인에게는 유효하지만 태음인에게는 반응을 하지 않거나 더 빨리 암을 진행시킬 수있다. 암은 유지시키는 것만으로도 중요한데 암 크기가 다소 늘어났다고 하여서 소음인 약으로 바꾸고 나서 결국은 매우 악화되어서 며칠 전 본원에 내원하였다. 이를 비교해 보면 다음과 같다.


9월 사진만 해도 약간씩 증가된 것으로 보이는데 한 달간 소음인 약물로 추론되는 항암제를 사용하고 나서 간 전체가 무수히 많이 보이는 점들로 꽉 차게 되었다. 여기다가 또 무슨 약침이니 하는 요법을 하는 도중에 본원에 내원하게 되었다. 환자는 나이가 아직 젊다는 것 빼놓고는 무엇하나 건질 것이 없는 정도로 상태가 나빴지만 어느 한의사 선생님이 소개해 주어서 내원하였다 한다.
한의학이든 양의학이든 무슨 약물 하나로 낫는 것은 없다. 말기 환자가 되다 보면 병리적으로 생리적으로 많은 문제점을 안고 있다. 이런 것 하나 하나를 해결하면서 넘어가야 한다. 하지만 나는 아직은 긍정적으로 생각하고 이 환자에게 치료를 권유하였다. 환자나 가족의 투병의지를 보면 어느 정도 예측을 할 수가 있다. 정성 없이 무슨 약만 가지고 나을 수 있다고 생각하는 가족들도 가끔은 보인다. 말기라는 소리를 듣고 나면 기운이 빠지고 좌절이 되고 투지조차 없는 경우도 많다. 하지만 가족들이 정성을 보이고 주변에서 용기를 북돋아주면 환자는 의외의 결과를 보이는 경우도 많이 있다.
나같이 말기 암을 다루는 선생님들이나, 말기암 환자들을 위해서 이분의 자료를 상세히 적어보겠다.

아래의 그림과 같이 folfox 3차에 다발성으로 전간에 작은 nodule들이 퍼지는 것을 볼 수 있다.

이 환자는 몇 일간 한약을 복용하고서 연락이 왔다. 약은 억지로 먹었지만 소화가 너무 안되서 힘들다고 하였다. 나는 약국에서 가스제거제인 시메티콘과 Mgo (마그밀) 또한 알마겔 등의 복용을 지시하였고 clonixin이라는 진통제를 사먹게 하였다. 이후 환자는 이를 복용하고 나서 깊은 잠을 자고 나서 속이 편해졌다고 하였다.
태음인의 생리는 간대 폐소이다. 동무 공께서는 간수열리열병과 비수한표한병의 두 항목으로 태음인 병의 대강을 나누었다. 태음인은 머리에서 부터 내려오는 뜨거운 열인 청음이 잘 내려오는 체질이다. 앞으로 양기가 내려오지 못하여서 온음이 위완이나 소장국을 덮히지 못하고 반대로 상초의 열이 등을 타고 아래로 내려와서 폐국과 간국이 모두 뜨거워지는 체질이다. 반면에 아래서 시작하는 찬기운인 양기가 앞쪽으로 올라갈 때는 청양이라고 표현하고 뒤쪽으로 등으로 올라갈 때는 온양이라고 표현되는데 청양은 잘 상승하여서 소장 위완국이 차가워지지만 등으로 올라가는 찬 기운인 온양은 잘 오르지 못하여서 간과 폐가 모두 열국에 빠진다. 이로써 간수열리열병이 발생하는데 이의 궁국이 간암으로 볼 수 있다. 열이 배부인 간국으로 모두 가고 소장국이 비기 때문에 소장에서는 한증이 발생한다. 이는 오늘날 서양적인 개념에서는 장에 있는 nicotinic한 신경총인 auerbach plexus의 기능이 원할치 못하여서 발생하는 것이다. 태음인은 nicotin성의 cholinergic한 운동이 부족한 사람으로 볼 수 있다. 자연 소장에 한기가 침범하면 소장의 연동운동을 주관하는 nicotinic 운동 즉 motoristic한 auerbach plexus의 활성화가 안되면서 장의 운동이 느려지고 가스가 차고 복부를 압박한다. 가스는 위로 올라오면서 분문 (esophageal gastric junction )의 이완과 함께 산을 역류 시켜서 흉통을 초래한다. 이때 마그밀을 사용하면 장운동이 되면서 장에 오래 저류돼서 차던 가스가 나가게 되고 이로 인하여서 산역류의 원인이 없어진다. 또한 이미 역류한 산은 알마겔이나 따스한 우유와 설탕을 섞어 마셔도 쉽게 해결된다. 이 환자는 내게 오기 전에 morphin 계열의 약물을 진통제로 복용하였다. 이는 간담도계 환자로 하여금 매우 빨리 악화시키는 정말 말기가 아니면 사용치 말아야 할 약물이다.
모르핀보다는 내가 제시한 clonixin lysnate 성분이 훨씬 임상적으로 잘 듣는다. 암환자의 통증은 무시무시한 것처럼 표현되어서 쉽게 모르핀 유사제제들을 사용한다. 이는 태양인 약물이다.
Like loperamide and other opioids, morphine acts on the myenteric plexus in the intestinal tract, reducing gut motility, causing constipation. The gastrointestinal effects of morphine are mediated primarily by μ-opioid receptors in the bowel. By inhibiting gastric emptying and reducing propulsive peristalsis of the intestine, morphine decreases the rate of intestinal transit. Reduction in gut secretion and increased intestinal fluid absorption also contribute to the constipating effect. Opioids also may act on the gut indirectly through tonic gut spasms after inhibition of nitric oxide generation.[30] This effect was shown in animals when a nitric oxide precursor, L-arginine, reversed morphine-induced changes in gut motility.[31] (wiki 인용)
모르핀은 장의 신경총에 작용하여서 장운동을 억제하며 변비를 유발한다. 이는 장에 있는 μ-opioid receptors의 수용체에 작용한다. 장이 비는 것과 장의 연동운동을 억제함으로써 장의 수송을 감소시킨다. 장의 분비를 억제하고 장에 오래 멈추어 있게 함으로써 장의 진액흡수를 증강시킨다. 그리하여 변비를 일으킨다. 암환자가 일으키는 복통중에는 장운동이 덜되다 보면 가스가 많이 저류되면서 가스가 위로 오르면서 함께 산을 역류시켜서 산에 의한 자극과 가스에 의한 복부압박등을 느끼는 경우가 자주 있는데 이때 무작정 모르핀계열을 주면 장운동은 더 억제되어서 안움직이고, 가스는 더차고 거기다가 저혈당이라던지, 담즙분비를 억제하므로써 황달이나 간수치도 오르게 하고 환자로 하여금 멍하고 정신없이 휘둘리는 등의 증상이 나타나는데 이때 잘 모르면 당장 어떻케 될 것 처럼 보인다. 게다가 구갈감이 심하여져서 입이 마르니 식욕도 뚝 떨어지고 체력은 급격히 악화된다. 그래서 뼈로 가는 전이 나 어쩔수 없는 신경압박으로 인한 통증을 제외하고는 쉽게 사용해서는 안되는 약물이다. 또한 많은 환자들이 대체 약물, 양방 선생들이 너무 약해서 안듣는다고 생각하는 대체 약물들에 의해서 쉽게 문제가 해결되는 경우도 많다.
여기서 말하는 연동운동이나 분비의 억제는 변비를 일으키는데 소위 한방에서 말하는 조증에 해당하는것이다. 소음인 편에도 위가실 비약증과 같은 조증이 있고 태음인 편에도 조열증이 간수열 리열병에 등장한다. 이는 모두 한편으로는 차가운 기운인 온양이 등을 타고 오르지 못하여서 땀으로 배부로 나가면서 신국이나 간국이 조열에 빠지는 병으로 모두 변비가 특징이다. 반면에 청양이 잘 오르지 못하는 태양 소양인은 위수열 리열병 즉 대장수열 리열병이나 소장수열 표열병의 변비를 동반하는 증상을 일으킬 수가 있다. 여기서 위의 환자의 증상은 뜨거운 온음이 복부를 타고 위완 소장으로 내려오지 못하여 일으키는 소장수한병으로 이의 실체는 장에서의 연동운동 부족으로 인한 가스팽만과 식도역류등의 증상을 동반한다. 그리하여 위의 MGO 같은 연동운동제제와 알마겔과 같은 제산제 혹은 한방의 지장수와 같은 스멕타 등으로 정장을 시키면서 편하게 되었다. 이 경우 듈코락스는 사용하면 안된다. 다 같은 변비약이지만 듈코락스는 meissner 신경총에 작용하여서 주로 secretion을 일으킨다. 양의 두 가지 속성 중의 하나인 태양성의 운동과 소양성의 분비중에 마그밀은 운동성을 증가시키는 약물이며 듈코락스는 한방제제의 파두와 같이 점액분비를 자극하는 약물이다. meissner 신경총은 submucosal 신경총으로 주로 장액인 mucin 분비를 자극한다. 태음인은 분비는 비교적 잘 되지만 운동성이 떨어지기 때문에 만약 마그밀 대신에 듈코락스를 사용한다면 장에서 분비만 항진이 되어서 대변은 운동성이 떨어져서 안 나오면서 물설사만 하게 된다. 또한 소음인의 변비는 muscarinic한 소양성의 진액 분비가 떨어지는 쪽이므로 소음인에게 MgO를 사용한다면 운동만 항진이 되어서 배만 연동운동의 항진으로 아프지 변은 나오지 않게 될 것이다.
태음인들에게는 한방의 대계 소계 등이 훌륭한 간장약물이다. 이는 엉컹퀴라고 불리우는데 서양에서도 일찍이 간에 관한 질환에 silymarin이라는 약명으로 사용하고 있다. 또한 동무 공께서 말씀하신 건율 제조탕의 건율과 제조 (굼벵이) 또한 간을 치료하는 훌륭한 약물이다. 엉컹퀴는 동양에서도 역시 서양처럼 일찍부터 간장을 치료하는 약물로 사용되었다.
대계는 명태조의 아들인 주왕주숙이 편찬한 구황본초에 따르면 다음과 같다.
大薊(救荒本草卷一明周王朱橚撰)
大薊舊不著所出州土 云生山谷中 今鄭州山野間亦有之 苗高三四尺 莖五稜 葉似大花苦苣菜葉 莖葉俱多刺 其葉多皺葉 中心開淡紫花 味苦性平無毒 根有毒 救飢採嫰苗葉煠熟水淘去苦味油鹽調食
대계는 이전에 어디서 나는지 기술된 바가 없다. 산곡 중에서 나는데 오늘날 정주산야간에도 많이 있다. 높이는 3-4 척이 되고 잎은 대화고거채와 비슷하다. 줄기와 잎에는 가시가 많고 잎은 주름이 많이 져 있다. 가운데 담자색의 꽃이 피는데 맛은 쓰고 평하고 독이 없고 뿌리는 독이 있다. 구황식물로 사용하는데 어린 잎을 데쳐 따스한 물에 씻어서 쓴 맛을 없앤 후에 기름이나 소금으로 조리한다.

대화고거채는 가시상추로서 lactuca serriola이다. 이는 태양인 약물로서 혼동하면 안 된다. 흰 유액이 많고 쓴 맛이 있는데 태양인들에게는 매우 식욕을 돕는다.
엉컹퀴와는 잎이 비슷하게 보이지만 가시가 억센 것이 다르다. 그리고 가시상추는 줄기가 무른 반면에 이는 뻗뻗하다.실로 위의 모습을 보면 큰엉컹퀴와 잎새가 매우 비슷하게 보인다.

또한 silymarin 혹은 밀크시즐로 불리우는 서양의 엉컹퀴 격인 Silybum marianum은 형태적으로 유사하다.

송대의 유명한 당송팔대가의 한 사람인 소동파 소식과 심괄의 책을 함께 모은 소심양방에서는 이러한 대계에 대한 간병의 증상에 사용을 수록하고 있다. 토혈 타혈 뉵혈 등 피를 토하거나 가래에 섞여 나오거나 코피를 쏟거나 하는 증상에 사용하고 있는데 이는 모두 간경화나 간암 등에서 발생하는 식도정맥류의 출혈을 의미한다. 특히 대계와 상사자를 같이 사용한 것은 더욱 절묘하다.
(蘇沈良方巻五宋蘇軾沈括撰)
治吐血唾血
阿膠剉碎㣲炒 卷柏去塵土 生乾地黄乾山藥大薊獨根者更佳曰影乾 五味子淨各一兩 柏子别研 茯苓百部逺志去心各五錢 右擇好藥材依方修製羅為末煉蜜丸如彈子 大不拘時用濃煎小麥并麥門冬湯嚼下半丸加至一丸若覺氣虚空心不用服
治鼻衂
大薊根一兩 相思子半兩 右每服十錢水一盞煎至七分去滓放冷服王朝散女子大衂一日已昬不識人舉家發哭用藥皆無效有人傳此方一服止
송대의 당신미의 증류본초에서도 이전 서책에서 간병에 대계나 소계가 사용된 기술을 보이고 있다.
대계는 잎은 차가운 성질로 장옹(간암)과 뱃속에 고인 어혈을 치료한다. 성혜방에서는 심열로 인한 토혈과 입이 마르는 증상에 자계옆(刺薊葉)과 (cirsium crispus지느러미엉겅퀴) 뿌리를 사용한다 하였고, 매사방에서토 갑작스러운 토혈과 선혈을 쏟는 데 소계옆(cirsium setosum)을 사용한다고 하였다. 간요제 중에서도 구규출혈에 지느러미 엉컹퀴를 사용하는 기록이 나와 있다. 이 중에 소계는 우리나라의 식물 중에 조뱅이와 유사하다.
(證類本草卷九宋唐慎微撰)
大薊葉凉治腸廱腹藏瘀血
聖惠方治心熱吐血口乾用刺薊葉及根擣絞取汁每服一小盞頓服
梅師方治卒吐血及瀉鮮血取小薊葉擣絞取汁温服
簡要濟衆治九竅出血以刺薊一握絞取汁以酒半盞調和頓服之如無清汁只擣乾者為末冷水調三錢匕


(世醫得效方卷七元危亦林撰)
熱證大薊散治飲啖辛熱熱邪傷肺嘔吐出血一合或半升許名曰肺疽 大薊根洗 犀角鎊 升麻 桑白皮炙 蒲黄炒 杏仁去皮尖 桔梗去蘆炒各一兩 甘草半兩
右挫散毎服四錢水一盞半生薑五片煎不拘時温服
특히 원대의 위역림은 세의 득효방에서 이러한 토혈병증에 대한 즉 식도정맥류 출혈에 대한 거의 완벽한 태음인 처방을 구사하고 있는데 대계근 서각방 승마 상백피 포황 행인 길경 등 감초를 제외하고는 모두 태음인 약물로 폐를 보하면서 혈열을 치료하는 대계 서각 포황 등을 사용하였다.
한의학도들은 모름지기 널리 살펴 고인의 처방을 본으로 하고 연구를 깊히 하면 한걸음 한걸음씩 치료의 경계에 이르게 될 것이다. 시간과 젊음을 아껴서 연구에 몰두 해야 의사로서의 삶에 후회가 없을 것이다. 이미 고인들이 모두 같은 병을 연구하였고 고심 궁구 끝에 이러한 처방을 이루어 놓은 것이니 고맙게 생각하고 이를 개발하는 데 힘써야 할 것이다. 거짓으로 선전을 일삼고 자신의 영업에만 힘쓰는 가짜들이 한의학의 다양한 보고와 귀한 체험을 오염시킨다. 노력으로 가면 반드시 사람을 치료할 수 있는 길이 열리리라고 본다. 또한 오늘날도 좋은 약들이 많은데 역시 이를 연구 하여서 같이 응용하면 훨씬 더 좋은 결과가 있으리라고 생각한다. 開而不達即思는 동무 공께서 가르치신 바이다. 열심히 두드려보고 아니되면 또 생각하고 생각하라 궁구- 아홉 번을 무릅치는 경지에 도달하면 즉 열릴 것이라는 이야기는 참으로 깊은 체득에서 우러나온 말씀이라고 새겨진다.
간암 4강 태음인과 색전술
위의 간암 3강에서는 암에서 물의 흡수가 중요하며 이를 위해서는 다소 짜게 먹는 것이 필요하고 체질에 따라서 소음인들은 맵게도 먹어야 한다고 하였다. 또한 간암의 색전술에 사용하는 약은 국내에서는 adriamycin을 사용하는데 이는 소음인만이 듣는 약이고, 태음인들은 사용해서는 안 된다는 주장을 하였다. 많은 예를 보지 않았지만 치료 도중에 한번 taxol을 가지고 색전술에 사용한 예를 보았다. 주치의가 어떤 생각으로 이를 사용하였는지는 모르지만 태음인 환자였고 꽤 효과가 있었던 것으로 생각되는데, 간암영역에서 개인적인 주장이지만 taxol 을 사용해 보면 많은 태음인들이 좋은 결과를 얻을 것으로 생각된다.
본장에서는 태음인이 색전술을 통하여서 얼마나 빨리 나빠지는가를 예를 들어서 설명해 보려고 한다. 간암은 한의원에 잘 오지 않는 병 중에 하나다. 한약이 간독성을 유발한다는 이야기를 귀따갑게 의사 선생들한테서 들은 간 계통의 환자들은 와서 설명을 듣고서도 , 그래도 나쁘다고 그렇게 당부하였는데… 하면서 선뜻 치료에 응하지 않는다. 또 한 가지 이유는 색전술 때문이다. adriamycin이 색전술에 사용되는데 이를 시행한 소음인들은 초기에는 대부분 경과가 좋고, 또 잘만 몸 관리를 한다면 완치하는 사례도 많이 있기 때문에 올 리가 없다. 그리고 색전술을 거듭하는 분들은 중간중간 효과를 발휘하기 때문에 기대감을 가지고 있다가 몇 년 지나고 아주 나빠지면 그제서야 방문하는데 이미 간이 다 암으로 뒤덥힌 상태에서 더 이상 해줄 게 없기 때문에 치료에 좋은 결과를 보기가 어렵다. 또한 색전술이 듣지 않는 태음인들은 너무 빨리 색전술 후에 암이 진행되어서 몇 달 안에 바로 사망하기 때문에 중환자실 들락거리다 사망하므로 한의원에 올 리가 없다. 처음부터 양방을 아예 포기한 사람들이 오지만 이런 분 중에는 진지한 치료보다 무어 힘 안 들이고 치료되는 방법이 없나 하면서 자연요법을 바라는 분들이 많으니 이 또한 한방치료에 적합치 않다. 그래서 내게 오는 암환자 중에 가장 많은 환자가 유방암이고 가장 적은 환자가 간암환자이다. 그래서 많은 case를 소개하지는 못한다. 그리고 태음인들은 색전술 후 너무 빨리 진행하기 때문에 손쓸 겨를이 없고 항암 독성이 체질에 맞지 않으므로 급격히 나타나서 응급으로 가서 사망하는데, 의사나 환자, 보호자나 모두 병이 원래 그런 것이라 그런거겠지 하면서 그냥 받아들이고 만다. 여기서 소개하는 환자는 내 주변 분과 가까운 지인이었는데 그 누이가 소음인으로 서울대에서 색전술을 시행받고 초기 간암이 3년 동안 재발이 없이 완치라고 판명을 받았다. 암이 걸리고 나서 주변 분들이 우리 병원으로 가 보라고 하였는데 당시 이미 집안에 양방치료로 좋은 결과가 있어서 이를 거부하였다. 나는 와서 색전술을 시행하기 전에 체질에 적합한지 여부를 좀 알고 가서 해보라고 말을 건넸는데 환자는 혹시라도 치료가 안 되면 그때 가 보겠다고 하였다. 결국 색전술을 2차 시행하고 나서 암 발견 석달 만에 내원하였다. 너무도 급격히 암이 퍼지고 복수가 차서 크게 조치할 겨를도 없이 응급으로 다시 입원하여 중환자실에서 간부전으로 사망하였다.
- M/55 체질 태음인
- 2005년8 월 간암 발견
- # 2차 TACE
- 2005/11/29 초진
- 2005/12 말 사망

위에서 보듯이 간우엽에 보이던 large mass가 대충 어림잡아도 길이로 2배가 색전술 뒤에 커졌으니 체적으로 따져 본다면 2x2x2 =8 로 적어도 색전술 이후에 40일만에 체적대비 8배로 종양이 커졌다. 또한 아래에서 보듯이 우측에 흉수가 급격히 차오르는 결과가 나타났다.
결국은 이 환자는 11월초 내원하여서 약도 써보지 못하고 응급으로 가서 중환자실에 있다가 12월말 사망을 하게 되었다. 나는 이러한 경우를 꽤 많이 보았다. 대부분 나빠진 다음에 오지도 못하고 가족이 CT를 가지고 와서 상담을 하는데, 입원해서 당장 흉수 복수가 처리가 되지 않으니 병원을 나올 수도 없고 하다가 사망을 하는 경우이다. 흉수나 복수는 암환자에게서 매우 심각한 문제이다. 암 자체가 크지 않아도 흉수나 복수가 차면 매우 좋지 않은 경우이다. 암이 비록 많이 자라 있어도 흉수나 복수가 없다면 비교적 좋은 예후로 치료가 가능하다. 왜냐하면 흉수 복수는 매우 말기적 현상이기 때문이다.
간혹 초기 흉수와 복수가 찰 때 항암제가 잘 반응을 하여서 흉수나 복수가 저절로 해결됨으로써 좋은 예를 보이는 경우도 있지만 그렇지 않은 경우는 이를 drain 으로 빼는 것도 한계가 있고 주사로 제거하여도 바로 다시 흉복수가 차기 때문에 급격히 다량으로 흉수나 복수가 차서 장을 압박하고 불편을 주기 전까지는 양방에서도 일단 기다리며 관찰을 한다. 또한 불편하다고 하여서 흉수나 복수를 빼고 나면 바로 다시 차는 것은 물론이거니와 결국은 체액이 그만큼 유실되므로 혈장량이 줄어들어서 잘못하면 shock 가 올 수 있기 때문이다.
여기서 또 한 가지 문제는 양방에서 소금의 제한이다. 양인들을 제외하고는 대부분 간암은 소음인 태음인 병이다. 간염은 다양한 체질에서 나타나지만 간암은 90% 이상이 음인 병인데 환자가 일단 흉복수가 찰 때는 혈액량이 줄어서 맥박수가 빨라진다. 이러한 맥박수가 빨라지는 현상에 대해서는 소금과 고혈압을 설명하는 편에서 Volume의 감소가 그만큼 보상성으로 pressure나 frequency (빈도)의 증가로 보상하는데, 환자들 대부분은 혈압이 오르는 것보다는 맥박수가 빨라진다. 그래서 맥박수가 95회 이상이 되면 조금씩 복수가 차오르는 것으로 심하면 100회 110회 120회 올라가다가 나중에는 130회가 넘어가면서 사망에 가까이 가게 된다. 환자는 흉복수가 차면 거북하여 역시 식사가 쉽지 않고 또한 혈액량이 복강이나 흉강 내로 들어가기 때문에 순환혈장량이 적어지면 장을 움직이는 혈액 자체도 줄어들어 장운동이 활발하지 않게 되면서 음식섭취가 줄어들고 소금과 알부민농도가 떨어지게 된다. 이때 소금과 알부민이 떨어지면 삼투압이 없어져서 조직으로 삼투압이 높아지면서 조직부종을 형성하게 된다. 앞 서 신부전 환자들에게 일어나는 소변불리의 현상은 혈장량이 줄어서 혈압을 유지시키느라고 소변을 안 내보낸다는 설명을 하였다. 이 편은 심장병과 소금에서 설명을 하였다.
그런데 양방에서 수액을 제한하고 소금을 제한함으로써 더욱더 복수는 악화된다. 이러한 흉복수의 원인은 전혀 다른 데 있다. 물론 한 가지의 원인은 아니고 말기적 현상이지만 흉복수를 해결하는 양약이나 한약은 없다고 본다. 일시적으로 aldactone이나 lasix 같은 이뇨성 약물로 조금 완화시키지만 끝까지 작용하지는 않는다. 실로 이러한 흉수(effusion)나 복수(ascites)가 차는 이유는 림프액 때문이다. 우리몸에는 혈관계와 림프계가 있다. 림프계는 지방의 수송에 중요한 역할을 하며 혈관계와 서로 맞물려서 돌아간다. 그리고 이러한 림프계는 그 흐르는 림프액이 지방으로 되어 있다. 암환자는 몸이 냉해지면서 혈액은 0도가 돼야 굳지만, 지방은 상온에서도 굳는 것과 마찬가지로 몸이 냉해지면 림프액의 흐름이 나빠지고 림프액이 부분적으로 굳게 된다. 이렇게 되면 흐름이 방해를 받고 심장에서는 계속 순환을 시키느라고 밀어내는데 일부 림프관의 라인이 응고가 되어 있기 때문에 흐르지 못하고 림프액은 압력으로 새 어 나오게 되어서 복강이나 흉강 내로 나오는 것이다.
나는 오래도록 이러한 흉수 복수에 대한 방법을 찾아보았는데 결국 쉬운 답이 있었다. 즉 원적외선요법이다. 가장 간단한 방법은 돌멩이 하나를 구하여서 가스렌지에다 달구는 것이다. 15 분 정도 약한 불에 달구면 돌은 매우 뜨겁게 달구어진다. 그 다음에 5분 정도를 식히면 겉은 식지만 내부 온도는 무척 고온이 된다. 이를 수건으로 감싸서 찜질을 하면 거기서 원적외선이 나오게 된다. 일반적으로 키는 빨간 등의 적외선등은 힘이 약하여 복수를 감당 할 수가 없고 이러한 돌멩이 요법은 그나마 조금 완화시킬 수 있어서 하루 종일 집에서 한다면 복수차는 게 멈추거나 줄기 시작한다. 그런데 심한 경우는 이것만으로 안 된다. 개인적 경험으로는 TDP라는 열원을 통해서 찜질을 하는 기계가 있는데 이것이 매우 효과가 있다고 인정한다. 환자가 많이 움직일 수 있으면 숯가마나 황토찜찔 등을 권유한다. 대형시설에 뜨거운 온도에서 원적외선이 나오기 때문에 수분의 탈수만 잘 막을 수 있다면 제일 좋은 방법이다. 하지만 무작정 해서는 오히려 탈수가 되어서 더 나쁘다. 나는 나름대로 이러한 기계를 만들어 보려고 여러 가지 시도를 해 보았고 아르곤 용접도 배우다가 늦게 눈이 나빠졌다. 그러던 차에 우연히 의료박람회에 갔는데 TDP를 이용한 찜질기(마치 작은 목욕탕 같은 나무로 구성된)를 보게 되었고 이를 사서 시험을 해 보았는데 정말로 유효하였다. 부피를 차지하고 비용도 1-200 만원대로 시중에서 팔리고 있는데 이 기계는 흉수 복수 환자에게 매우 도움이 된다는 것을 내 경험으로 인정한다.
내 환자 중에 췌장암 말기로 하루에 복수가 6000 CC가 차는데 드레인으로 3000CC를 매일 빼는 분이 있었다. 이분은 태음인으로 항암이 불가하였고 말기라서 더욱더 병원에서 권유치 않았다. 주치의가 친척이고 아산의 세계적인 간 전문의라 잘 care를 받았지만 크게 달라지는 것이 없었다. 우리집을 알게 되어서 매일 와서 TDP 찜통에 들어가서 쬐고 나면 배가 편해지고 복수가 줄고 하였다. 병원에서도 이를 인정하여서 선생이 매일 환자를 한의원으로 외출시켜 주었는데 결국 2달만에 복수가 완전히 말라버렸다. 그래서 1년 반 넘게 잘 유지가 되었었다. 하지만 연로한 분이라 결국은 사망을 하셨다. 물론 한방약과 같이 사용했지만, 내 생각으로 한약만으로는 이 같은 효과가 올 수 없다고 생각한다. 한방에서 쑥뜸을 이용한 방법도 역시 원적외선을 만들어서 속까지 깊이 림프관까지 열이 도달하게 하는 방법이지만 이는 체질에 제한이 있고 또한 그 열이 TDP만큼 유효하지는 않은 것으로 본다. 내가 TDP 기계를 구입하여 환자들에게 이를 권유하고 여유 있으면 웬만하면 집에도 사 놓으라고 하였는데, 그래서 그 기계 판매하는 분을 소개해 주었다. 그랬더니 환자들이 와서 하는 말이 선생님이 소개하는 집은 다른 데보다 유독 비싸고 나무도 편백나무같이 좋은 나무를 쓰는 것도 있는데 나무도 좋은 것도 아니라고 불평을 하길래 내가 그 사장한테 문의를 하였다. 왜 댁의 물건은 나무도 편백나무가 아니고 비싸냐 하였더니 사장이 말하길 선생님 내가 여러 가지 나무를 실험을 다 해보았습니다. TDP는 적어도 700도 이상의 열이 올라가야 원적외선이 나오는데, 일반 TDP라고 하는 것들은 200도도 안 됩니다. 보일러 수준입니다. 실제로 고열이 나면 웬만한 나무는 다 비틀어집니다. 그리고 유독 견디는 것이 삼나무뿐입니다. 그래서 각고의 실험 끝에 이로 만든 것입니다. 편백나무는 양체이다. 열에 자연 약하다. 이 사장은 물론 과학을 연구한 분은 아니다. 하지만 좋은 물건을 만들기 위해서 격물치지를 한 것이다. 삼나무(Cryptomeria japonica)나 메타세콰이어는 모두 taxodiaceae에 속하며 태음체이다. 메타세콰이어는 매우 오래 사는 나무로 유명하다. 양재동 천변을 걸어보면 메타세콰이어 숲이 잘 조성이 되어 있는데 봄 가을로 초록과 붉은 색으로 천변의 길을 너무 아름답게 장식한다. 이러한 메타세콰이어( Metasequoia glyptostroboides)는 삼나무와 성질이 유사하다. 특히 메타세콰이어는 불에 잘 견디어 불이 타면 열매 껍질이 타는 것이 아니고 싹을 티운다고 한다.
우리나라의 소나무도 마찬가지이다. 산불이 나고 나면 오히려 금기(金氣)로 이루어진 솔방울이 불에 의해서 터지면서 싹이 튼다. 유명한 고성 산불 뒤에 사진을 보니까 여기 저기서 소나무들이 싹이 터서 작은 소나무들이 올라오는 것을 본 적이 있다. 그래서 이 사장 말대로 열에 견디는 삼나무가 고온에 견디는 게 가능하므로 실제로 자신은 이를 선택하였다고 하는 말이 일리가 있다고 본다.
여기서 장황하게 복수와 TDP 기계를 설명하는 이유는 다음에 소개하려는 본원의 간암환자를 이해시키기 위해서 더욱 필요하기 때문이다.
이 환자는 태음인으로 연세가 꽤 있는 분이었다. 간암 말기로 발견이 되어서 우측간엽이 거의 다 암으로 퍼져 있어서 색전술도 불가하고 넥사바를 사용하였다. 내가 보기로는 넥사바가 태음인 약물인데도 불구하고 피부에 대한 부작용이 너무 심해서 한 달도 채 못먹고 포기를 하였다. 일전에 소음인 환자가 넥사바를 항문까지 다 헐어가면서 복용하였는데 암이 매우 급속도로 자라서 전신에 퍼지고 눈까지 퍼진 경우를 보았다. 이후에 협진하는 병원의 선생님이 체질 분류를 원해서 몇몇 태음인들을 분류해 주었는데 넥사바 사용으로 매우 좋은 결과를 가져왔다는 이야기를 들었다. 하지만 이분은 피부 손발에 부작용이 심해서 사용치 못하고 중단하고 내원하였다.
위에서 보듯이 한 달여 넥사바 사용 후에 종양은 더욱 진전이 되고 손발의 허물은 다 벗겨졌다. 이분은 70세가 넘는 분이었고 당시 복수흉수가 모두 심하게 차 있어서 내 생각으로는 얼마 못 가시리라 생각하였다.

PET에서 보이듯이 우측 간엽은 모두가 암이었다. 그래서 보호자들에게 내 생각을 이야기하였다.”나이가 젊으면 한 번 시도해 보겠고 연장이 되시겠지만 현재 흉복수가 모두 차서 알부민도 맞아야 하고 병원에서 심하면 복수를 빼가면서 영양제 공급과 함께 병원을 들락날락 해야 되니 요새같이 바쁜 세상에 가족들도 힘들고, 노인도 오히려 빨리 돌아가시는 게 도와주는 길이라고 이야기 하였다. “환자들에게는 잔인한 이야기로 들릴 터이지만 삶의 질이라는 차원에서는 너무 힘든 일이라고 생각되었다. 한데 이가족 형제들은 우애가 놀랍고 두 분 다 대단한 효자였다. 어머니가 우리를 고생해서 키우느라고 얼마나 애쓰셨는데 우리 가족은 어머니에 대한 보답을 해야 한다면 아무리 힘들고 경제적으로 어려워도 최선을 다 해 보겠노라고 하였다. 환자는 체중도 많이 나가고 무릅도 약하고 비만이었고 일반인처럼 운동이나 여러 가지 다른 요법을 하지 못할 것 같아 보였다. 그래서 바로 위의 TDP를 하나 집에서 사 놓고 아침 저녁하시면서 한약을 들게 하였다. 양약은 어차피 태음인에 맞는 넥사바를 쓸 수가 없었기에 한약 단독으로 치료를 시작하였다. 그런데 이분은 놀랍게도 복수가 빠져서 무사히 3년 넘게 견디셨다.

사진에서 보듯이 간은 위축이 되었지만 커다란 종양은 거의 없어져서 일부분만 남아 있다. 당시 의무기록을 보면,
- 20130119-Gl/IR11087 [AC201 DP
- Abdominp-Pelvic C.T 이전 CT (2011-06-09)와 비교함.
- Liver에 최대 11 x 11 x 10cm의 multiple heterogeneously enhancing mass는 크게 감소하여 약 2.5 x 4.5 cm 으로 남아 있으며 right hepatic lobe의 atrophic change 있음.
- Main and right portal vein에 tumoral thrombosis 양 감소하였으나 남아 있으며
- portal vein은 more contraction 됨.
- Liver cirrhosis with splenomegaly 있음.
- Distal esophageal, paraesophageal, gastric fundal, and perisplenic varix 있음.
- Scanty amount of ascites 있음.
- [CONCLUSION]
- Marked decreased HCCs in right hepatic lobe
- Decreased amount of tumoral thrombosis in main & right portal vein
- Liver cirrhosis with splenomegaly, port。systemic collaterals, and scanty
- amount of ascites
“2011년 년 6월 9일과 2013년 1월 19일 CT 를 비교함. 간에 있던 최대 장경 11x11x10cm의 균일하지 않케 조영되는 암은 크게 감소하여서 2.5x 4.5로 줄어들었다. 우측간은 위축되어 있고, main과 우측의 portal vein의 종양에 의한 thrombosis 양이 줄어들었으나 남아 있고, portal vein (문맥)은 더욱 수축되어 있다. 간경화와 비장종대도 있다. 식도와 위장 부근의 비장 옆의 정맥류가 보이며 약간의 복수가 있다.”
18 개월만에 간의 종양이 거의 체적대비하여서 4% 정도로 줄어들었고 2014 년도 3월에 통합의학대회에서 본인이 강의하기 전에 환자에게 CT 를 찍어볼 것을 권유하였다. 이분은 광주분이라 거의 내원을 하지 않고 전화상담과 약물만 꾸준히 지어서 복용하였는데 만 3년이 넘은 2014년 봄에는 더욱더 종양이 줄어들었지만 부분적으로 재발소견을 보였다.

간혹 한방에 대한 불신과 또 거짓사례들을 내세워서 환자를 속이는 분들도 있는 것으로 안다. 그래서 한 의학에 대한 암치료에 불신감이 대단하다. 이 경우도 우리 한방 선생들은 믿으실 터이지만 아닌 분들도 있을 것 같아서 의무기록을 그대로 공개해 보겠다.

대북 대학의 나의 약물을 연구한 나기명 박사는 나의 case에 대해서 연구를 많이 하였고 몇 가지는 발표를 하여서 PUBMED에 실려 있다. 이 같은 사례에 대해서 매우 긍정적인 태도로 어떻게 한약으로 이 같은 좋은 결과를 가져올 수 있었는지에 대해서 세포학적인 기전연구를 많이 하였다. 그리고 한약이 줄기세포를 억제할 수 있다는 기전을 연구하여서 이에 대한 연구에 고무적이다. 한 case라도 가능하다면 결국은 그 기전을 밝히고 조금 더 확충하면 많은 암 환자들이 혜택을 입을 수 있을 것이라고 본다. 하지만 국내에서는 이러한 협진이 잘 이루어지지 않는 게 유감이다.
이 환자는 2014년 겨울이 들어서면서 체력이 떨어지고 다시 복수가 차고 간기능의 위축으로 인하여서 결국 사망하였는데 나는 이분의 좋을 결과에 대한 요인을 세 가지로 생각한다.
우선 내가 사용한 한약이 효과가 있음은 물론이지만, 체력이 받쳐 주지 않으면 흡수가 낮아서 효과를 볼수가 없다. 그런데 TDP에 의해서 복수 흉수가 감소되고 혈액량이 늘어남으로써 이러한 약물의 흡수가 가능하여 치료효과를 보았다고 본다. 하지만 더 중요한 것은 두 효자와 효부들이 있어서 아낌없이 부모를 향한 정성을 쏟았기에 이러한 생명의 연장이 있었지 그렇지 않았다면 단지 약만 들이켜서는 어림도 없는 일이라고 생각한다.
시간이 되면 태음인의 색전술 부작용의 사례를 더 첨가해 보겠다.
간암 3강
http://slideplayer.com/slide/5768842/ 인용함.
위에서 간암에 대한 체질적 견해를 설명하였다. 일반적으로 간암에 쓰는 대표적인 치료방법은 색전술이며, 색전술에 사용되는 항암제는 adriamycin이다. 그리고 이 adriamycin은 소음인 약물이므로 대부분 간암에 색전술로 효과를 보는 분들은 소음인이다. 하지만 소음인 중에는 색전술 한두 차례에서 간암이 소실이 되어서 몇년 동안 유지하는 분들도 있고, 처음에는 색전술이 잘 듣지만 자꾸 재발하여서 몇 년동안 지속하는 경우도 있는데 5년까지 색전술을 거듭하면서 견디는 분들도 있다. 태음인은 이 경우 색전술을 하면 얼마 견디지 못하고 급격히 사망하는 예가 많다. 그리고 최근에 나온 넥사바는 태음인 약물이며 소음인들은 오히려 이를 사용하자마자 부작용이 너무 심하고 암도 멈추지 않고 급진전 되는 경우가 많다.
위의 주장이 나의 견해이다. 또한 여기서 색전술이 잘 듣고 안 듣고는 음식을 적절히 짜게 먹고 안 먹고와 개인의 면역차이가 결정적인 요인이다. 그래서 위에서 몇 가지 사례를 통하여서 색전술을 시행한 소음인들이, 전혀 반응을 안 하다가 본원에 내원하여서 색전술과 한약, 짜고 맵게 먹는 방법을 통하여서 호전된 사례를 설명하였다. 본고에서는 이 부분 소음인에게 해당하는 색전술이 맵고 짠 식이요법을 해야만 효과를 볼 수 있다는 사실을 보여주는 극단적인 사례를 소개하겠다.
case : 말기 간암 간경화 색전술을 시술한 소음인 사례
이 환자 분은 2004년도 환자로서 내게 방문한 것은 2006년도이다. 환자가 치료 목적으로 온 것이 아니고 단지 체질을 알고 식이요법을 해 보고자 하여서 내원하였으므로 자료를 다 구비해 가지고 오지를 않고 CD만 몇 장을 가지고 왔다. 그래서 자세한 병력을 설명하지는 못한다. 이 환자의 당시 병력을 간단히 소개하면 B형 간염 보균자로서 활동성이 없다는 결과를 받고서 방심을 하면서 술 담배를 한 분이다. 20년 뒤인 2004년도에 간경화 말기와 간암 말기로 병원을 찾은 분이다.
- 80년대 초반 B형간염 발견 80년대 후반에 음성으로 되어서 믿고 있었다.
- 서울대에서 색전술 해 보아야 조금 연장한다고 하였다.
- S병원: 2004. 10월부터 #TACE 5차
- 식사: 짜고 맵게 먹었다. 하도 짜게 먹었다. 소금을 아주 많이 먹는다.
- 등산을 매일 3시간씩 하였다.
이분은 소음인 체질로 당시에 내게 와서 식이요법을 알고자 하였다. 그런데 가지고 온 자료를 보니 너무 놀라웠다. 2004년도 색전술을 이미 시행한 당시 CT인데 자료를 소략하게 가지고 와서 내가 본 처음 자료만 수록하여 설명하겠다. 위에서 보듯이 간 전체에 다발적으로 (multiple) 암이 퍼져서 정상 간세포가 군데 군데 보이지 모두 암이라고 할 수 있다. 그리고 간도 경화로 위축이 되어서 간의 경계선이 모두 우둘두둘하다. 참고적으로 하얀 염색이 된 부분이 색전술을 시행한 다음에 항암과 리피오돌(lipiodol)이라는 접착제가 함께 들어가서 퍼져 있는 암세포의 부분이다. 한마디로 간 전체가 다 암이다. 그런데 이분이 2년 뒤인 2006년도에 나를 찾아왔다. 나는 어떻게 이 정도에서 2년을 견디었는가 궁금하였다. 그래서 병력을 물으니 간염을 1980년도에 발견하고 보균자인 것을 알았고, 후에 음성이라고 활동성이 없다고 하여서 평소대로 알코올을 즐기면서 살았다고 한다. 그리고 2004년도 간암을 발견했을 때는 너무 말기라 병원에서 치료를 거부 당하였다. 서울대에서 당시 한 보름 정도 살 것이라고 하였는데 삼성의료원을 찾아가서 또 진단하니 역시 같은 이야기를 하였다고 한다. 환자 생각에 그냥 죽기는 너무 억울하니까 색전술을 해달라고 졸랐다고 한다. 주치의는 색전술이 의미가 없다고 하였지만 환자 자신이 이를 해달라고 하였다. 보통 간에 점 한두 개에서 암이 발견되어서 색전술을 시행하여도 몇 달 뒤에 다시 재발하여서 무섭게 퍼지는 경우도 많은데 이분은 전체가 암일지라 색전술도 쉽지 않고 예후도 길지 않을 것이라는 게 일반적인 판단이다. 그런데 의외로 색전술이 이분에게 잘 반응을 하여서 2006년도까지 만 2년 넘게 생존을 하여서 나에게 찾아온 것이다.
다음은 색전술 1년 뒤인 2005년도 CT 사진이다.

간에 있던 암들이 현저히 소실이 되어서 암이 보이는 부분만 수록하였으므로 위와 level이 조금 다르다. 하지만 이전에 보이던 간 좌엽의 우들두들하던 경계면의 간이 약간 재생되어서 자라면서 매끈해졌고 리피오돌 uptake 된 부분이 현저히 줄어들었다. 다음은 2004년과 약 8개월 뒤인 2005년도의 비교 사진이다. 우리는 두 사진을 비교해 볼 때 색전술이 매우 잘 반응을 했음을 알 수 있다.
이후 내원 당시 2006년도 사진과 비교해 보겠다.

이 사진을 비교해 보면 level들이 약간씩 다르지만 가장 중점적으로 암이 보이는 부분을 담았다. 아래쪽사진에서는 2005년 10월보다 2006년 5월이 다소 더 증가한 듯이 보인다. 하지만 main인 위쪽 사진은 많이 종양이 감소되었고 2004년도와 비교해 보면 간 좌엽은 경화로 보이던 면도 매우 매끄러워져 있어서 간경화도 소실된 분위기이고 암도 잘 멈추어 있다고 볼 수 있다.
이분은 식이요법을 배우러 와서 치료를 안 했지만 매우 보기 드문 사례이다. 대부분 말기에서는 항암이 듣지를 않는다. 이유는 체력저하이다. 그리고 초기로 시작해서도 항암을 거듭하다 보면 나중에 항암이 반응을 하지 않는다. 이유는 역시 체력저하이다. 쉬운 말로 체력저하이지 조금 설명을 덧붙이면 몸의 혈액량 부족이다. 순환혈장량이 줄어들면서 항암약물을 몸에 퍼지게 하는 혈액량도 역시 줄어들어서 항암제가 소변으로 나가지 몸에 흡수되는 율이 적어지는 것이다. 이 환자가 이같이 좋은 반응을 보일 수 있었던 것은 색전술 덕이지만 대부분 환자들은 이 지경에서 이 같은 반응을 보여주지 못한다. 훨씬 작은 암일지라도 색전술 이후에 더 크는 경우가 많고 이 같은 사례는 간암 1강에서 소개하였다.
이 환자가 색전술이 놀랍도록 들었던 이유는 두 가지에 있다. 하나는 매우 맵고 짜게 먹은 것과 또 한 가지 하루에 3시간씩 등산을 한 데 있다고 본다. 그래서 바로 사망할 수도 있다고 한 예측과 달리 17 개월 뒤에 많이 호전된 상태로 내원한 것이다. 양방 선생님들은 여러 분야를 다루지 않고 전문화된 분야만 보기 때문에 매우 많은 사례를 본다. 그리고 그 중에서 평균적이지 않은 급격히 나빠지는 사례와 또한 예측을 벗어나서 정말 좋아지는 사례들을 볼 것이다. 하지만 대부분은 평균치를 넘지 못한다. 그래서 예후에 대한 설명은 매우 정확하다. 하지만 요새는 이와 많이 다르게 설명한다. 요새는 환자들의 반응 탓인지 몰라도 이전과 다르게 2-3 개월밖에 안 남아도 한 1년 정도 치료하면 연장된다고들 좋은 이야기를 많이 하는 것을 본다. 대충 얼버무리는 식인지 아니면 희망을 주는 것인지 몰라도 몇 달도 못 살 환자에게도 치료 안 하면 1년 안에 죽는다는 식으로 하여서 마치 치료하면 1년 이상 살 것처럼 이야기 하는 경우를 많이 본다. 이런 이야기를 들은 환자들은 희망을 가지기도 하지만 또한 엉뚱하게 자신의 상태를 좋은 것으로 착각하는 분들도 꽤 본다. 의학적인 지식이 깊지 않으므로 당장 몸이 심하게 통증이 오거나 불편하지 않으면 암이 매우 천천히 퍼질 것으로 생각한다. 그래서 힘든 항암보다 다른 편하고 고생 덜하고 완치 될 수 있는 방법이 없나 해서 이리 저리 기웃거린다.
하지만 간암환자 중에 소음인들에게는색전술이 최선의 방법이다. 다만 태음인들은 절대 시행해서는 안 된다. 치료의 최소한의 기회마저도 색전술로 잃어버리게 된다. 그래서 체질을 알고 색전 술을 시행해야만 한다. 이러한 태음인과 색전술의 관계는 뒤에서 설명을 하겠다. 그리고 먼저 왜 짜고 맵게 먹어야 하는지를 설명해 보겠다. 또한 왜 등산이 필요한지를 설명해 보겠다.
모든 암은 영양을 공급받는다. 과분화 하는 이상세포라고 보지만 내가 볼 때는 정상세포가 영양과잉으로 막 자라나고 있는 것이다. 그리고 이러한 영양을 공급하는 것은 바로 신생혈관이다. 오늘날 VEGF (vessel epithelial growh factor) 즉 혈관내피 성장인자가 암환자 몸에 높아서 암이 발생한다는 것은 누구나 잘 알고 있다. 
위에서 보듯이 신생혈관이 막 자라서 암을 먹여 살리고 있는 게 암의 성장원리이다. 이들은 하도 빨리 자라서 죽지 않는 세포라고 하여서 이를 소멸기전을 연구하는 apoptosis 아폽토시스를 연구하는 것도 암연구의 일환이다. 하지만 오늘날은 이러한 신생혈관을 키우는 단백질을 연구하여 이 저해제를 사용함으로써 암을 억제하는 연구가 매우 활발하다. 고전적인 화학적 항암제가 아닌 단백질 저해제 (protein kinase inhibitor)를 사용함으로써 암의 치료에 매우 놀라운 성공을 보이고 있다. 대장암 분야에서 아바스틴이 매우 유명하고 폐암 쪽은 너무 발달속도가 빨라 이제는 무섭지 않은 암이 되어버렸다. 이러한 단백질 저해제들의 특징은 수용체검사에 있다. 일종의 체질개념이다. 100% 맞지는 않지만 거의 대부분이 항암약물의 체질과 같은 체질이 수용체가 있다고 검사 결과가 나온다. 하지만 몇 경우에는 아닌 것도 보았다. 그런데 이러한 EGFR이 왜 암환자에게만 많은가 왜 정상인에게는 나타나지 않는가 연구를 하였더니 이는 산소공급과 연관이 있다는 사실이 밝혀졌다. 세포 내의 저산소증 hypoxia 산소결핍이 바로 이러한 혈관을 자라게 유도하는 자극제(trigger)가 된다는 사실이다.
위의 사진에서 보는 사진은 혈관조영술로 암의 혈관을 관찰할 수 있는 사진이다. 위의 CT에 검은 원형의 부분이 암세포이다. 암에는 검게 염색이 되어 있다. 이는 조영제가 그곳으로 많이 들어가기 때문이다. 주변의 담관도 확장되면서 암세포들이 부분 부분 보인다. 원형의 간에 보이는 암을 들여다보면 무수한 많은 혈관이 분포되어 있다. 옆의 정상 부분에는 별로 혈관이 보이지 않는다. 결국은 영양이 어디로 갈 것인가. 당연히 많은 혈관, 많은 pipeline이 있는 곳으로 영양이 갈 수밖에 없다. 암은 소모성질환이다. 암세포 주변의 수많은 혈관이 영양을 가져가서 다른 곳의 정상적인 세포들이 영양을 공급받지 못하고 죽는 현상이다. 자식이 10이 있는데 한 자식만 밥을 넉넉히 줘서 살찌게 하고 나머지 자식들은 밥을 굶겨서 말라 영양실조로 만드는 것이 암의 원리이다. 그런데 이렇게 신생혈관을 만들게 된 것은 결국 산소부족이다. 즉 체내에 산소를 공급하는 것은 적혈구이고 적혈구는 혈장 속에 떠서 다닌다. 즉 혈액은 쉽게 표현하면, 그래서 순환혈장량이 적으면 우리몸은 제일 취약한 곳에 혈액공급이 줄어들고 이렇게 혈액공급이 줄어들어서 정상적인 세포들이 산소와 영양을 못 받으면 그곳에서 신생혈관의 자극이 일어난다. 일종의 반란이 일어나는 것이다. 암은 처음에 어느 곳에서 발생하건 재발하면 원격전이가 되고 여기저기 다 생긴다. 이 이유는 처음에는 혈장량이 조금 부족해서 특정 지역 변두리만 세금을 못 주지만 나중에 국가 재정이 바닥나면 수도 근방까지도 세금을 주지 못하는 격이다.

이 부분은 산소결핍(hypoxia)이 신생혈관생성( angiogenesis)을 유도한다는 논문인데 나중에 자세히 다르고 여기서 알 수있는 것은 산소부족이 결국 신생혈관을 만든다는 것이다. 담배가 암에 해로운 이유, 즉 오랫동안 담배를 피웠던 분들에서 암이 많이 발생하는 이유도 마찬가지이다.

http://www.fasebj.org/content/17/9/1150/F3.expansion
결국은 산소가 세포 내로 공급이 안 되면서, 이를 보상적으로 신생혈관을 만드는 것이다. 이를 쉽게 비유로써 설명해 보겠다.

위에서 보듯이 나무에 물을 많이 주면 뿌리가 안 자란다. 가만히 있어도 영양이 오기 때문이다. 나무에 물을 안 주면 물을 찾아서 뿌리가 깊이 내려간다. 정주영씨가 아산만을 막아놓고 소위 정주영 농법이라는 방식으로 쌀농사를 지었다. 물을 대지 않고 씨를 뿌리니 벼가 물을 찾아서 2-3 미터씩 뿌리가 땅속으로 뻗은 것이다. 이후에 물을 대니 태풍에도 벼들이 넘어가지 않는 튼튼한 벼들로 지탱하는 소위 정주영 농법이다. 암도 같은 원리이다. 물을 안 먹어서 혹은 물을 많이 먹어도 다 소변으로 나가서 암이 생기는 것이다. 그래서 암환자는 소변을 관찰함으로써 암의 진행을 알 수가 있다. 체내의 혈액이 유실되면-여기서는 혈장량을 의미한다- 소변이 과도하게 나온다. 밤에 소변이 여러차례 나오면 체액이 줄어드는 것이다. 밤에 소변이 안 나와야만 암환자는 혈액량을 유지시킬 수가 있다. 그래서 이전에 오줌싸게들은 키를 뒤집어쓰고 소금을 얻으러 다녔는데, 이는 즉 소금기가 부족하면 소변이 많이 나온다는 이전의 NA K atpase의 설명을 참조하면 알 수 있을 것이다.
생명현상은 물이다. 여름나무는 물이 충분하여 부드럽고 휘어지는데 겨울나무는 딱딱하고 휘면 부러진다. 즉 내부의 수분이 없어서 유연성이 손상되었기 때문이다.

그래서 암환자나 자연이나 마찬가지로 물이 중요하다. 수많은 사람들이 산에 올라가서 운동을 하면서 암을 극복하는 이유가 무었인가? 즉 운동을 통해서 몸이 더워지므로 물이 당기기 때문이다. 물을 마시는 데 있어서는 무조건 마셔서는 안 된다. 오히려 겨울나무에 물을 주는것처럼 나무가 추워서 물을 주면 얼어버린다. 암환자는 적어도 하루에 2000 CC 이상을 마셔야 되지만 물을 당기게 몸을 덥히고 마셔야지 그냥 물만 마시면 소변만 줄줄나온다. 찬 겨울에 물을 들이붓는 것이다.
여름나무는 왼쪽 사진처럼 뜨거운 기운 때문에 팽창을 하고 내부에 물을 흡수하여서 가지 끝까지 물이 충분하다. 혈액량이 늘어나 있는 것과 마찬가지이다.
겨울나무는 기온이 추워서 대사를 안 하므로 아무리 물을 주어도 오히려 얼어 죽지 물을 흡수하지 못한다. 암환자들은 몸이 냉하여져서 겨울나무처럼 물이 흡수가 되지 않는다. 그래서 겨울과 여름의 차이처럼 열을 내면서 물을 마시게 해야 한다.

그래서 암환자는 여름처럼 몸을 덥혀야 한다. 그러면 땀이 나지 물이 소변으로 배설되지는 않는다.
암환자는 몸의 운이 겨울로 간 사람들이다. 자연은 주기가 있는데 항상 겨울이 제일 춥다. 1년 중에는 겨울이 춥고 하루 중에는 자시가 제일 춥다. 사람은 60년 주기로 운이 오는데 이 60년 주기의 1/12인 자시격인 5년이 환자의 몸에 지나간다. 이때는 몸이 냉하여져서 아무리 물을 마셔도 소변으로 빠져나간다. 특히 암을 만나고 2년이 지나면 가장 추운 정점인 동지에 도달한다. 그래서 암이 이 시기에 몸이 냉해져서 탈수가 됨으로써 재발 하는것이다. 그래서 아래에 암을 극복하는 그림을 제시한다. 나중에 항목을 들어서 자세히 설명하겠지만 몸을 겨울운에서 건져내서 여름으로 만드는 방법이다.

운동하고 등산하고 숯가마 등을 통해서 몸을 덥히고 짜고 맵게 먹으면 몸에 화기가 생기고 뜨거워진다. 이를 통해서 혈액량을 늘이는 것이 암의 치료방법이다. 수많은 자연요법이 통하는 이유도 이러한 때문이다. TV나 지면을 통해서 암을 극복한 사례들이 소개되는데 과학의 상식을 뛰어 넘는다. 과학은 너무 미소한 것만 보기 때문이다. gross 하게 보면 이러한 등산 목욕이 몸을 덥게 함으로써 혈액량이 증가가 되면 암의 촉발인자인 산소부족이 없어지기 때문에 암은 스스로 없어지는 것이다. 여기서 짜고 매운 것이 항암효과가 있다고 하였다. 항암제는 내가 보는 관점에서는 고추가루보다 100배 매운 것이다. 그래서 그 성질로 인하여서 몸이 일시적으로 더워지면서 물이 당기는 것이다. 그래서 입이 헐고 매운 것을 못 먹고 손발이 터진다. 고추가루를 만지면 손이 허는 것과 마찬가지이다. 한약도 역시 양기를 더하여서 몸을 덥히는 것이다. 그래서 위의 환자는 우리집에 오기 전부터 이같이 짜고 맵게 먹고 운동과 등산을 열심히 하였기에 혈액량이 늘어서 색전술이 들었던 것이지 그 같은 노력이 없었다면 결코 보름 한 달을 못 넘겼을 것이다. 또 다른 간암 환자도 한 분이 색전술 이후에 잘 견디다가 5년 뒤에 재발을 해서 내원을 하였다. 이분이 하시는 말씀이 주치의께서 “당신처럼 5년만에 재발해서 오는 분은 5%도 안 된다”라며 잘 관리가 된 것이라고 하였단다. 즉 이는 대부분 색전술을 해도 5년보다 훨씬 전에 재발을 한다는 이야기로 이분도 하시는 말씀이 병원에서 시키는 대로 싱겁게 먹지 않고 짜고 맵게 먹었다고 하였다.
그래서 암환자들에게 당부한다. 표준치료를 거부하고 사는 예들이 있지만 부단한 노력이 필요하다. 산에 가서 땀 흘리고 농사짓고 운동을 하고 하루종일 더워져서 물을 마시면 살지만 산에 가서 한적하게 독서나 하고 있으면 필패이다. 명심하기를 바란다.
4강에서는 태음인 간암색전술과 위의 운동과 식이 등에 대해서 좀 더 자세히 설명해 보겠다.
간암 2강 한약과 말기 간암사례 – 소음인
위에서 간암에 색전술이 소음인에게 매우 잘 반응하지만 태음인에게는 크게 효과를 보지 못하고 항암제의 부작용으로 오히려 복수나 흉수가 차고 문제가 되는 경우도 보았다고 설명하였다.
이 장에서는 소음인 암환자로 s 의료원에서 간암 절제술을 시행하고 나서 1년만에 다시 새로 간에 암이 발생하여 고주파 치료를 하고 재발하여 폐와 간에 전이된 환자의 경우를 소개해 보겠다.
이 환자는 당시 s 의료원에서 더 이상 해줄 것이 없다고 하여서 미국의 MD anderson 암센타를 방문하여 진료를 받은 환자이다. 당시 미국에서 약 2개월 정도 예후로 본다는 말을 듣고서 간암환자들이 절대로 오려고 하지 않는 한의원을 찾게 되었다.
그래서 나의 설명을 듣고 한약과 나의권고로 Xeloda라는 항암제를 같이 복용하였다. 환자는 주치의에게 한약과 항암제를 먹겠다고 하니 당시 주치의가 “간이 나쁜데 무슨 한약을 먹고 항암제를 먹는가”” 당신은 항암제가 오히려 간상태가 나빠서 악영향을 줄 수가 있다” 라고 하여, 내게 항암제를 복용하는 것에 대해 거듭 확인을 하였다. 나는 “아니 세계 최고의 의술을 가진 병원에서 두 달밖에 못산다고 하였으면 더 이상 서양의학으로는 방법이 없는 것 아닙니까?” “남은 길은 해 보고 돌아가시든지 아니면 앉아서 죽기를 기다리는 길밖에 더 있겠습니까?” 하여서 한약과 항암제 복용을 같이 시작하였다.
이 환자가 본원에 오기 전의 자료부터 검토를 해 보겠다.

이 환자는 2002 년 10월 간암 수술 이후에 간에 나쁘다는 짜고 매운 것을 피하고 병원에서 시키는 대로 식이요법을 하였다. 그리고 9개월만에 다시금 절제한 간우엽에서 종양이 자라서 고주파로 이를 치료하였다.

이후 2개월 뒤에 종양이 폐로 전이가 되고 절제한 부분에서 다시금 종양이 자라나기 시작하여서 2004 년 1월 아래와 같이 종양이 자라나서 매우 빠른 속도로 커졌다.

이후 3개월 뒤에 사진에서는 더욱더 종양이 자랐다. 그리하여 환자는 그간 수술과 고주파 치료 이후에 다시 재발하여서 담당 주치의로부터 더 이상 해 줄 것이 없다는 이야기를 듣고 나서 MD anderson의 암센타를 찾았고 거기에서도 약 두달 정도 예상한다고 하는 이야기를 들었다.

다음 사진은 내원 당시의 사진이다.


6개월 뒤에 이같이 종양이 자라났고, 폐로도 여러 개의 1-2cm의 종양이 양쪽으로 보였다. 그래서 내원하여서 소음인으로 체질진단을 받고 한약과 더불어서 xeloda 요법을 시작하였다. S 의원 선생의 생각과는 다르게 잘 반응을 하였다. 생각이 근거와 논문에만 갖혀 있으면 여러가지의 가능성에 대한 의문을 품게되고 시도도 안 하게 된다. 당시 제로다는 신약으로 간암에 사용하는 것은 드문 일이었고, 일반적인 프로토콜에 따르는 방법이 아니지만, 나는 이 제로다라는 약의 기전이나 쓰임새를 생각해 보고 소음인에게 주사제와 다르게 잘 반응하리라고 예측을 하였다. 양방 선생들이 보는 각도는 개발한 회사에서 시험한 자료와 임상을 거친 과정에서의 통계적 수치에 의해서만 의사결정이 이루어진다. 그리고 안전성과 유효성 때문에 새로운 시도를 하기가 쉽지 않다. 이는 항상 통계에 의존하는 훈련에 의한 결과이다. 하지만 어떤 화학물질이건 자연물이고 사상철학의 입장에서는 해석이 가능하다. 제로다는 매우 훌륭한 약이지만 손 발에 수포가 잡히고 태음인들의 경우에는 짧은 시간에 사용을 하여도 손톱 발톱이 다 뒤집어져서 중지를 하게 된다. 그리고 구역감이 매우 심한데 여기서 우리는 두 가지로 생각해 보아야 한다.
태음인은 제로다에 견디기가 매우 힘들다.
소음인은 제로다에 잘 견딘다.
태음인은 제로다를 먹는 내내 구역감이 심하여서 잘 식사를 하지 못한다. 항구토제로 약간은 견디기는 하지만 거의 못 먹는경우가 대부분이다. 또한 물집과 수포가 수족 발가락에 잡히고 심하면 발톱 손톱이 뒤집어진다. 손끝도 새까맣게 된다.
소음인은 위와 같은 증상이 거의 안 나타나면서 일년 가까이 잘 유지되는 분들이 많다. 그렇지만 손끝이 검게 변하는 증상은 역시 마찬가지이다. 그리고 소음인에게도 예외는 있다. 양방에서 항암제의 용량을 결정하는 것은 체중에 비례해서 이다. 그런데 체중이란 결국 혈장량과 나머지 부분으로 나눌 수 있다. 똑같이 몸무게가 나가더라도 암환자들은 혈장량이 줄어있다. 이를 비유로써 설명해 보겠다.

좌측의 CT 사진은 우측 환자의 CT 사진에 비해서 내장지방이 현격하게 적다. 우측 환자의 복부에는 검은 부분이 내장지방인데 좌측 A 환자에 비해서 매우 두텁다.
즉 A 환자는 소음인으로 똑같은 항암제에 대해서 크게 힘들어 하지 않지만, 몸무게는 똑같더라도 B 환자는 혈장량은 훨씬 줄어 있는 입장이기 때문에 항암제가 고농도로 작용하여서 매우 힘들게 반응한다.
즉 항암제가 체질에 안 맞는 경우도 있지만, 체질에 맞아도 혈장량이 너무 줄어들어 있으면 고농도로 항암제가 작용해서 역시 유사한 부작용이 일어난다. 이러한 경우를 잘 살펴서 체질 판단을 해야 한다.
이 환자는 다행히도 약이 잘 반응하여서 다음 사진처럼 확연히 종양이 줄어들기 시작하였다. 그리고 폐도 변화를 보이기 시작하였다. 그리고 다음 달에는 정상적인 장이 회복되고 아주 적은 부분이 남아 있게 되었다.


20014년 8월 사진을 보면 간우엽에 보이던 재발된 두 개의 커다란 종양은 6월 당시 자라서 양쪽이 하나의 종양 덩어리를 형성하였는데 한 달 치료 후에 줄어들기 시작하여 두 달 치료 후에는 아래쪽만 조금 남고 정상 장으로 회복되어서 장이 쭈굴쭈글하게 보이는 모습을 하고 있다.
이후에 7개월 병행 치료에서 간에 종양이 약 3% 정도 남아 있고 폐에 있었던 7개의 종양은 모두 사라진다. 이후 이 환자는 2005년 6월경에 CT 결과 폐와 간의 종양이 모두 사라진다. 여기서는 그 당시 CT 결과지에 당시 CT 상에 종양이 모두 소실 되었다는 것을 소개한다. 이 글을 쓰면서 이전 환자라 아직 다 기록을 찾지를 못하여서 나중에 정확한 것을 찾아서 보충하려 한다.
내 기억으로는 이 환자는 아마도 한두 달을 더 치료를 받고서 내원하지를 않았다. 이 환자가 올 당시 담도암 4기 환자가 같이 내원하였다. 이 분은 복통이 심하여서 대한민국의 main 병원인 4개의 병원을 모두 다 찾아 다녔는데 morphine으로 통증 제어가 안되어서 한 달 안에 모두 사망할 것이라고 이야기 들었다. 폐와 복부에 전이가 있었고 담낭 절제를 한 상태였다. 이 담낭암 환자는 여기서 사례를 든 환자와 같은 시기에 와서 거의 3일 간격으로 항상 환자가 겹쳤다. 한 분이 월요일날 오면 다음 분은 목요일날 오고 하기를 1년 가까이 하였는데 어느날 여기서 소개한 간암 환자가 오는 날이 슬슬 멀어지더니 나중에 병원에 발을 끊었다.
당시 S 의원의 주치의가 “이제 암 다 없어졌으니 한약 오래 먹으면 간이 나빠질 수가 있다”고 하여서 이분이 나와 상의를 안 하고 약을 끊어 버렸다. 이후에 8개월 정도 뒤에 다시 재발해서 왔는데 그때부터 고전하여서 얼마 못 가서 복수가 차고 사망을 하게 되었다. 자세한 것은 나중에 이전 자료를 찾아서 보충해 보겠다. 이 분은 원래 알콜리즘이 있었던 분인데 좋아졌다 하니까 식이요법을 중단하고 다시금 술도 많이 마셨다고 들었다. 그리고 재발하여서 사망하게 되었다.
그러나 같이 왔던 담도암 환자는 성실하게 3년을 치료받았고 지금은 10년 세월이 지나지만 아직껏 식이요법을 지키고 운동도 열심히 하고 있다. 이 분은 당시 하루에 3시간을 꼭 등산을 하고 운동을 하라고 하여서 산에도 가고, 태극권도 배우고 하면서 노력을 하였는데 지금은 완치되고 10년이 넘었다.
이 담낭암 환자는 역시 똑같은 S 의원 환자인데 병원에 가면 선생님이 하시는 말씀이 “당신처럼 살아 있는 사람은 100에 한 명도 없습니다” 라고 하신다. 나중에 이 환자의 사례도 소개해보겠지만 내가 치료한 간담도계환자 중에 물론 제일 잘 성공한 경우이다 . 이 같은 경우가 양방에도 많겠지만, 이 분의 성공은 완전히 습관을 바꿈으로 인한 것이었다. 일 이년 전에 내게 유사한 환자가 왔을 때 마침 우리 병원에 내원하였기에 내가 환자에게 그간 어떻게 생활했는지를 이야기 해주십사 하고 청하였다. 이 분이 하시는 말씀이 “나는 암이 걸리고 나서 깊은 반성을 하였다, 죽을 병에 걸리고 나니까 생각이 번뜻 아 내가 잘못 살았구나, 이제껏 살아온 방식이 잘못되었구나” 하고 깨달았단다. 이 분은 대기업의 회장으로 사회적으로는 매우 성공을 한 분이었다. 그리고 높은 관리자답게 자기 생활도 매우 잘 절제를 하는 분이었다. 그래서 삶의 방식을 고치지 않고는 내가 나아질 수가 없다는 것을 생각했다고 하였다. 먹는 습관 자는 습관 일 하는 습관 생활하는 습관 모든 것을 다 바꾸려고 노력했다고 한다. 나는 아 저분이 저렇게 좋아진 것이 약물 때문만은 아니었구나 하는 것을 당시 알게 되었다. 이 담낭암 환자는 원래 나의 계획으로는 양방 약물을 같이 사용하려고 하였는데 초기 한약에 대한 반응이 너무 좋아서 단지 한약만으로 3년 여를 복용하고 완치되었다. 이 분의 자료는 아주대 전미선 교수께서 정리한 복지부위탁연구 사례에 당시 2009년도 이미 6년 넘어 완치된 자료가 이미 기록이 되어 있다.
즉 이 환자는 아래서 제시하듯이 2005년 6월 CT 결과 모든 종양이 사라지지만 후에 다시금 재발하여서 사망하는데 이는 암이 눈에 보이지 않아도 항상 잠재해 있으며 매우 강한 면역체계에 의해서 눌러지지 않으면 언제고 다시 자라날 수 있다는 말이다. 그리고 한방과 양방의 두 가지의 결합이 이러한 좋은 결과를 가져올 수 있었지 어느 하나의 장점만을 가지고는 이렇게 말기에서 종양이 줄어들기가 슆지 않다. 그래서 다음 원고에서는 1강에서 말했던 소음인은 짜고 맵게 먹어야 한다는 나의 주장에 일치하는극단적인 사례를 더불어서 설명해 보겠다.

간암 1강 hepatoma 색전술과 소음인
간암은 다른 암과 마찬가지로 쉽게 극복할 수 있는 암이 아니다. 그리고 나의 경험으로는 여러 체질이, 태양인까지도 걸리는 것을 본 적이 있지만 일반적으로는 태음인과 소음인의 병이다. 그리고 간암이 밀가루를 먹는 서양인들보다는 쌀을 먹는 동양인들에게 더 많이 발생한다.
간경화와도 연관되며, 바이러스성으로 시작되어 암까지 가기도 하며, 어머니가 간염을 보균하고 있을때 자제들 모두가 바이러스에 감염되므로 보균자가 되어서 일정한 나이가 되면 나타난다.
간암과 간경화의 특징 중에 하나로 한 가계에서 한 사람이라도 걸리면 차곡 차곡 나이순대로 사망하는 경우도 발생한다. 그래서 본고에서는 이러한 간암에 대하여 사상학적인 의미에서 분석을 해보고자 한다. 그리고 여기서는 양인들의 간암을 배제하고 소음인과 태음인 위주로 설명해보려고 한다. 그리고 간암에 대한 한의학적인 래원과 치법에 대해서는 본장과 달리 항목을 마련해서 설명해보려고 한다.
현재 양방에서는 간암이나 간에 관한 질환에서는 절대로 한약을 먹지마라고 당부한다. 본인이 미발표한 본원에 대한 연구자료 중에 – 복지부에서 특별자금을 조성하여서 아주대 치료방사선과의 전미선 교수 중심으로 혈액종양의 이현우 교수, 병리학의 주희재 교수의 검증을 거쳐서 본원의 사상의학적인 치료방법을 연구한 보고서가 있다.
2010년 4월 30일 사상의학을 기반으로 한 동서의학 암 진료 협진사례분석 “말기 췌장담낭 담도 폐암 사례분석” 복지부위탁연구 한국의학연구소 아주대학교 산학협력단
당시 임상간호사 한 분을 본원에 파견하여 1년 동안 본원의 암환자들의 기록을 정리하고 진료에 참여 시켰다. 난치성 간담도계의 말기암 환자들에 대하여, 양방과 결합하여 양약도 체질에 따라 사용하고 더불어서 한약을 같이 사용한 본원의 말기 췌장암 담도암 담낭암 폐암의 치료 효과를 연구하였다.당시 300 case 정도를 정리하여서 이 중에서 자료로 사용할 만한 67 case 를 골라서 평가하였다. 본원은 개인 병원이라 제때에 와서 주기적으로 혈액검사를 하고 CT 를 찍고 하지 못하였고 환자의 상태에 따라 급하면 사진을 찍고 좀 좋아지면 늦추고 하다 보니까 학술적 평가를 하기 어려운 자료들이 많아서 결국 67 case만 통계에 넣었다. 하지만 전체 case 모두 평가한 결과에 의하면 “한방과 양방을 같이 병용한 경우에도 간독성을 보고한 예는 한례도 없었다“라고 기술하고 있다. 이 본원의 경우들은 대부분 중병으로 3년 이상 한약을 먹은 분들이다. 그것도 지속적으로 끊지 않고 암 치료를 받기 위해서 한약을 먹었는데 주기적인 간기능 검사상 단 한 case 도 간수치의 상승이 없었다. 그래서 한약을 먹고 가끔 간이 나빠져서 응급으로 가게 되면 양방에서 “한약 먹지 않았어요? “하고 묻는데, 이는 체질에 따라 약이 잘 받지 않으면 이런 경우가 생기지만, 양약도 역시 마찬가지로 간독성을 발한다. 차이는 약 설명서에 써 있는가 아닌가 하는 차이일 뿐이며 항암제나 양약에서 간독성은 이미 설명서에 조심하라고 고지 했기 때문에 면피 하는 것이지 개인의 체질에 적합치 않은 약을 복용하게 되면 한양방 할 것 없이 모두 이러한 문제는 발생할 수 있다.
한의학에서 간암이나 간경화를 치료한 기록은 이미 후한대로 거슬러 올라간다. 장중경 선생은 간경화 간암에 대한 보고와 더불어서 약물을 구성하여 치료의 대강을 세워 놓았다. 하지만 이는 소음인 병 위주의 증상이다. 이러한 간암으로 추론되는 질환은 황병 달병으로 명명되었다. 그리고 이러한 기록은 이미 황제내경에도 나온다. 하지만 황제내경은 이론서이지 처방서는 아니다.
편작의 저술인 난경은 시대가 오래되어서 후대에 와서 정리되었는데 원의 활수가 지은 난경본의(難經本義卷下) 에 의하면 56난에 묻기를 “오장의 적(기운이 뭉쳐서 쌓이는 것)이 각기 다른 이름이 있는가? 또한 어느 달 어느 일에 병이 나는가?” 하고 묻는다.
간의 적은 비기(肥氣)라고 하여서 좌측 옆구리 아래가 술잔을 엎은 것처럼 두둑하고 머리와 발이 만져질 듯한데 오래도록 낫지 않으면 기침이 나고 추웠다 더웠다 한다. — 비의 적을 비기라고 하는데 위완 (식도부위) 명치 아래가 두드러진 것이 소반을 엎은 것처럼 불룩하다 오래도록 낫지 않으면 수족을 못 쓰고 황달이 나타나는데 음식을 먹어도 살이 되지 않고 마른다.
五十六難曰五藏之積各有名乎 以何月何日得之然
肝之積名曰肥氣 在左脇下如覆杯 有頭足乆不愈 令人發咳逆 㾬瘧 連歲不已以季夏戊巳日得之 何以言之 肺傳於肝 肝當傳 脾脾季夏適王 王者不受邪 肝復欲還肺 肺不肯受故 畱結為積 故知肥氣以季夏戊巳日得之
脾之積名曰痞氣在胃脘覆大如盤乆不愈令人四肢不收黄發疸飲食不為肌膚以冬壬癸日得之 何以言之肝病傳脾 脾當傳腎 腎以冬適王 王者不受邪 脾復欲還肺肝不肯受故留結為積故知痞氣以冬壬癸日得之
위의 글을 보면 이미 편작시대에 (Bc 407년 ~ BC 310년) 간암이나 간경화에 대한 증상을 명확하게 보고하고 있다. 간적에서 비기를 묘사한 구절에 왼쪽 옆구리가 불러오는 것은 비장종대를 말하는 것이고간비종대가 되면 늑막이 위로 종대된 비장이나 간의 압력에 의해서 치받히므로 폐를 압박하여서 기침이 나는 증상을 본 것이고, 비기(痞氣)로 묘사된 비적은 식도근위 명치 부위가 소반처럼 불러오면서 황달이 오고 음식이 흡수가 안되고 사지가 말라가는 증상으로, 간이 종대되면 간 좌엽이 명치 쪽을 누르면서 압박을 가져오고, 간병에 알부민 합성기능이 떨어지면 체내에서 단백질 합성이 안돼서 마르면서 황달이 나타나는 증상을 명확하게 표현하고 있다.
한대의 장중경 선생은 금궤요략에서 (金匱要畧論註卷十五) 황달병 맥증병치(黄疽病脉證并治)라는 편목을 정하여서 곡달 주달 여로달 등 황병을 설명하고 있다.
- 榖氣不消胃中苦濁濁氣下流小便不通陰被其寒熱流膀胱身體盡黄名曰榖疸
- 額上黒㣲汗出手足中熱薄暮即發膀胱急小便自利名曰女勞疸腹如水狀不治
- 心中懊憹而熱不能食時欲吐名曰酒疸酒疸下之乆乆為黑疸目青面黒心中如噉蒜虀狀大便正黒皮膚爪之不仁其脉浮弱雖黒㣲黄故知之
- 脉沉渇欲飲水小便不利者皆發黄腹滿舌痿黄燥不得睡屬黄家
- 곡기 즉 음식이 소화되지 않으면 위중에서 청탁이 분리가 안된다. 원래는 청기는 소변으로 나가고 탁기는 대변으로 나가야 한다. 한데 이러한 청탁이 분리가 안되어서 청기가 대변으로 탁기가 소변으로 나가게 되면 대장은 차가워져서 변이 물러지면서 소장은 뜨거워져서 그 표부인 방광이 열을 받아 뜨거워지면서 소변이 잘 안나오고 온몸이 모두 노랗게 되는데 이를 곡달이라고 한다.
- 소음인은 온음이 내려와야 하는데 온음이 복부를 타고 내려오지 못하면 안으로 대장으로 설사를 일으킨다. 이 병이 위수한 리한병이다. 청음은 등을 타고 내려오고 온음은 복부를 타고 내려오는데 청음이나 온음이나 정상적으로 내려오지 못하면 모두 안으로 설사를 일으킨다. 그래서 소양인에게는 청음 장망의 비수한 표한병이 생기고, 소음인에게는 온음 장망의 위수한리한병이 생긴다. 이것이 바로 동무 공께서 말씀하신 태음병설사에 간병을 넣게 된 연유이다. 이와 반대로 청양이나 온양은 모두 상승을 하면서 복배를 차갑게 만드는데 이러한 청양이나 온양이 상승하지 못하면 음기가 안으로 달아나는 것과 다르게 양기(이는 오른다는 뜻이지 뜨겁다는 뜻은 아니다)는 위로 오르지 못하고 땀으로 달아나 버리니 소음인에게는 신수열 표열병의 망양증이 생기는 것이고 즉 땀나는 증상, 소양인에게는 위수열리열병의 훙격번열과 상초로 과도한 땀의 증상이 생기는 것이다.
- 이 원고에서는 환자 중심의 설명을 하려고 하기 때문에 이는 다음에 한의학도를 위해서 다시금 자세히 설명을 하겠다.
위와 같이 이미 소변이 나오지 않으면서 황달이 오는 곡달의 증상이나, 색을 밝혀서 이마가 까맣케 되면서 땀이 촉촉히 젖고 손발이 뜨겁고 황달이 발하면서 소변을 참지 못하며 배가 불러지는 여로달, 가슴이 답답하면서 뜨겁고 음식을 먹지 못하고 구토증상이 나타나는 주달, 주달이 오래되어서 나타나는 눈이 파랗고 얼굴이 시꺼멓게 되면서 가슴은 마치 마늘 씹은 듯하고 대변은 검게 나오고 피부와 손톱이 쪼그라지고 맥이 뜨고 약하면서 검으면서도 노란색을 띠는 흑달, 그리고 맥상이 가라앉고 갈증이 나면서 물을 찾고 소변이 나오지 않으면서 황달이 오고 배가 부르고 혀가 마르고 가슴이 답답하고 잠을 못자는 황가의 병등, 이 모든 증상은 간경화 간암의 증상을 묘사하고 있다.
여기서 한가지 덧붙이자면 음인들은 상초보다 하초로 기가 많이 주입이 된다. 자연 아래쪽으로 기운이 주입이 되어서 수족장심이 열을 발생한다. 수족장심의 땀은 다른 부위의 땀과 달리 교감신경의 흥분에 의한 땀이다. 교감신경은 음성이고 부교감 신경은 양성이다. 간혹 환자들이 오면 손발이 더워서 잠을 못 자고 발을 찬물에다 담궈야 한다면서 자신은 열이 많으니 양인이 아닌가 물어오는 환자가 있다.
수족장심은 음성적이기 때문에 기가 아래로 내려가면서 땀이 아래로 난다. 양인은 손등으로 땀이 날 때 안 좋은 것이고 음인은 손바닥으로 땀이 날 때 안 좋은 것이다.

음인들이 수족장심에 땀을 많이 일으키면 몸이 안 좋은 것이요 양인이 수족장심에 땀이 나면 건강한 증상이다. 우리 속담에 개발에 땀난다는 말이 있다. 소양체인 개가 기가 위로 오르기 때문에 음성적인 장심에 땀이나지 않는데 개발에 땀이 났으니 얼마나 음기가 많이 내려온 것인가? 그래서 음인은 수족이 덥거나 더워져서 땀으로 어리면 몸이 좋지 않은 증상이다. 내가 하루는 구두를 고치러 갔는데 구두 수선하는 아저씨가 나보러 선생님 공부하시죠 하고 묻는다. 나는 생각나면 차를 타고 가다가도 산으로 가는 습성이 있어서 그냥 구두를 신고 산을 타는 게 편안하다. 그래서 내 구두는 항상 마구잡이로 신기 때문에 주인을 잘 못 만나서 성할 리가 없다. 또한 바위고 흙이고 나무뿌리고 막 차고 다니니까 굽이 쉽게 달아서 새 구두에 익숙하려면 시간이 걸리니 그냥 굽만 갈아서 신기를 여러번 한다. 그런데 구두수선하는 아저씨에게 물었다. “어떻게 아세요” 하니 “나는 신발만 봐도 다 알아요”한다. 거듭 물으니 나에게 하시는 말씀이 “오입장이들은 구두는 깨끗하고 새 것처럼 보여도 안에는 땀으로 다 헤어져서 안이 흐물흐물해요. 그래서 안창만 바꾸러 오는데 겉은 말짱해요.” “선생님 은 바깥은 다 떨어졌는데 안창은 새 것처럼 깨끗하게 땀이 없으니 이는 공부한다는 애기지 뭐예요?”한다. 무엇이든지 한가지에 전념하다 보면 물리를 트기 마련이다. 그 순간은 보통 인간의 경지를 넘어서 초인이 될 수 있다. 구두 하나를 깊이 관찰하면서 사람을 알아본다.
기를 하초로 쓰면 기가 아래로 내리면서 과도하면 땀으로 풀어낸다. 이 땀이 안 나면 뜨거워지면서 병이난다. 뜨거운것 도 병이요 땀나는 것도 병이지만 땀이 차라리 낫다. 기를 상초로 쓰면 위가 뜨거워지지 아래로 내려가지 않아서 하초가 냉해지면 발에 땀이 날 리가 없다. 내가 군대생활 할 때는 보급도 시원치 않을 때다. 겨울에 물이 없어서 빨래도 쉽지 않았는데 나는 군대생활 하면서 무좀이라는 것을 알지 못했다. 신은 양말을 다시 꺼내 신어도 항상 건조 하였는데, 후각 기능이 약해서 인지 냄새도 나지 않았다. 하루종일 뛰고 하여도 발바닥에 땀이 나는 법이 없었다. 내 옆의 태음인들이나 소음인들을 보면 게으른 것 같아도 꼭 양말은 빨아서 널어놓는다. 밤사이 널어서 다음날 마른 양말을 신는데 그러지 않으면 하루종일 땀나는 것을 감당치 못한다. 여기서 여로달에 손발이 뜨겁다는 말은 참으로 잘 관찰한 결과이다.
본론으로 돌아가서 동양은 이미 2000 년 이상에 간암이나 간경화에 대한 치료 경험을 가지고 있다. 그래서 200 년 역사밖에 안되는 화학의 발달로 인해 급 발전하게 된 서양의학에 비해서 훨씬 깊은 임상경험을 가지고 있다. 내가 대만에 갔을 때 이전에도 한 이야기이지만 한국에서 한약을 가지고 약을 제품화 하려면 독성 실험이 필요하다고 하였더니 나와 같이 있던 라기명 박사와 그의 형인 라동연 박사 (대만 중의약학원의 교수이면서 양의이자 한의)와 옆에 행정사무직 모두 5명이 있었는데 동시에 터져나오는 말이 눈을 똥그랗게 뜨면서 중약이 어디 독이 있어 라고 한다. 그만큼 자신들의 문화, 자신들의 경험에 대한 자부심을 가지고 있는 것이다. 우리도 일본에 의한 패망이 없었고 남북이 갈라지지 않았으면 이런 문화적 전통에 대한 자부심이 남아 있었을 터인데 역사적 고초가 스스로 자비 (스스로를 낮추고 쓸모없이 생각하는)심을 만들어 뿌리 깊게 뇌리 속에 남아 있는 것이다.
간암에 사용하는 PROTOCOL은 현재 색전술과 넥사바라는 신약 이 두가지 방법이 있고 그밖에도 고주파로 태우는 방법, 알코올을 주입하여서 녹이는 방법 등이 임상적으로 시도된다.
나의 그간 경험으로는 항암제가 체질이 있고 색전술에 쓰는 아드리아마이신도 역시 유방암에서 설명했듯이 소음인 약으로 분류된다. 소음인 들은 색전술을 통해서 비교적 좋은 결과를 얻는다. 그래서 색전술을 몇십 번까지 하는 경우도 있다. 초기 색전술에서 아주 완치 되는 분도 있지만 색전술을 거듭하면서 조금씩 나빠지고 재발하고 결국 이식을 하거나 사망을 하는 분도 있다.
소음인은 색전술을 하는 게 도움이 되지만 태음인 들은 색전술 이후에 급격히 사망하는 것을 보게 된다. 이는 워낙 빨리 암이 진행되기 때문에 주치의나 환자들도 갈 사람이 간 것이지 하고 넘어갈 수가 있다. 하지만 태음인들은 색전술 약이 안 맞기 때문에 색전술 1-2 차에 급격히 복수가 차고 나빠진다. 하지만 소음인들은 색전술이 효과를 보는데, 색전술만으로 암이 치료되지는 않는다. 소음인들은 짜고 맵게 먹어야만 색전술이 듣는다. 내게 온 환자 분이 5년만에 암이 재발하여 초기 1차 색전술을 받고 나서 5년 뒤에 다시 색전술을 받았는데, 주치의 선생께서 하는 말씀이 ” 5년만에 재발해서 오시는 분은 한 5% 밖에 안됩니다” 라고 하였단다. 그분이 말하기를 “나는 선생님들이 싱겁게 먹으라는데 소화가 안되서 정말 맵고 짜게 먹었습니다. 싱겁게 먹으면 식욕도 나지 않고 해서 반대로 했는데 오년만에 재발 한것을 보면 꼭 싱겁게 먹는 게 좋은 것 같지는 않아요” 한다. 오늘 간암 1강에서 하고 싶은 이야기는 소음인들은 색전술이 필요하지만 태음인은 색전술을 하기 전에 체질을 알고 접근할 것을 권유한다. 태음인들에게는 오히려 넥사바가 잘 듣는다. 이는 2강에서 다시 기술하기로 한다.
다만 소음인들은 색전술을 하면서 짜고 맵게 먹어야지 싱겁게 먹으면 빨리 재발해서 색전술을 거듭하게 될 것이다. 이러한 예로 내게 온 몇 환자의 사례를 들어보겠다.

이 환자는 형제 6분이 모두 간암으로 사망하였고 자신이 7 번째였다. 형들이 양방치료를 받아도 결국 사망하는 것을 보고 “간은 양방으로는 안되는구나 ” 생각하고 모 한방병원에서 1997 년 간염 보균판정 이후로 지속적으로 몇 년 동안 한약을 복용하였다. 8년 뒤인 2005년에 증상이 악화되어 CT 를 찍어보니 간 전체에 암이 퍼져서 기능도 나쁘고 항암치료가 불가능하였다. 그래서 이식밖에 방법이 없다고 하여 중국에서 간이식을 하였다. 1년 뒤 2006년 9월 이식한 간에 암이 다시 재발하였다.
그래서 2007년 2월부터 5월, 6월까지 3차 색전술을 하고 내원하였다. 이 환자는 소음인이었다. 당연히 색전술이 받아야 한다. 하지만 항암제가 체질에 받는다고 모든 사람이 다 암이 줄어들지는 않는다. 독자들 중에 암환자가 있다면 이점을 명심하고 노력을 해야 한다. 아무리 영양가 있는 밥을 주어도 체력이 약해서 소화흡수가 안되면 살이 찔 수가 없다. 마찬가지로 항암제가 아무리 체질에 맞아도 이를 흡수하는 능력이 떨어지면 항암제가 작용할 수가 없다.
3차 색전술 이후에 이 환자는 매우 종양이 급속도로 자라서 병원에서 이제 한 보름밖에 안 남았다고 판정을 받았다. 다음은 3차 색전술 이후의 사진이다.

위와 같이 초기에 2-3mm 밖에 안 되는 3군데 점으로 보이던 암세포가 색전술 이후에 불과 4개월만에 전간으로 퍼졌다. 그래서 이제 보름밖에 안 남았다는 이야기를 듣고서 내원하게 되었다.
이 경우 우리는 두 가지 생각을 해 보아야 한다. 색전술은 아드리아 마이신과 리피돌이라는 접착제를 같이 사용하여서 항암제의 주입과 더불어서 간의 암세포로 가는 혈관을 막아 버리는 기법이다. 과연 항암제의 부작용인가? 이 경우는 그지치 않고 항암제를 못 받아들인 경우였다. 그래서 판단 할 때 항상 두가지 가능성을 열고 보아야 한다.
환자는 이미 6년 이상을 한방치료를 꾸준히 받았는데도 암인 줄도 몰랐다. 그래서 한방은 더더욱이 안 믿고 불신하다가 부인 손에 이끌려서 왔는데 문턱을 넘어오지 않고 문 앞에 서서 인상을 쓰고 있다. 답답한 부인만 내 앞에 앉았다. 나는 이미 자료를 다 봤기 때문에 짐작하고 있었다. 그래서 환자에게 손을 저으면서 “내가 한약 안 줄 터이니 안심하고 이리와 앉아보세요” 라고 말했다. 그리고 설명을 하였다. “선생님은 색전술이 안 들은 것이 아니고 싱겁게 먹어서 혈액량이 줄어서 아무리 색전술을 해도, 혈액을 통해 항암제가 전달이 되는데 혈액이 없어서 항암제가 들어가지도 못한 것입니다” 라고 설명을 하였다. 그리고 두 가지를 당부했다. 우선 짜고 맵게 드시고 또 한 가지는 현재 사용하고 있는 라파뮨이라는 면역 억제제를 끊어 보라고 하였다.
이식환자는 면역억제제를 사용한다. 자가면역에 의해서 일어나는 문제점을 보완하기 위해서이다. 면역억제제의 대표적인 것이 스테로이드고 사이크로 스포린 라파뮨 등이 대표적이다. 그런데 이 중에서 사이크로 스포린은 소음인 약이고 라파뮨은 태음인 약이다. 라파뮨의 독성은 이미 회사에서 공지를 하였다.

면역억제제 라파뮨은 이를 만든 와이어스사에서 간동맥 혈전증을 일으키는 위험이 있어서 이식된 간에 문제를 발생시키므로, 간이식 환자에게는 사용치 말라고 권고하였다. 하지만 이 환자는 왠 연유인지 이를 사용하고 있었다. 나는 식이요법과 이 약물을 중지할 것을 권유하였다. 그리고 한달 넘어 다시금 환자는 그간의 결과를 가지고 나에게 찾아왔다.
다음은 나의 권유로 식이요법과 라파뮨을 중지하기 전까지 단지 색전술만 하였을 때의 결과이다. 암은 처음에 2월 사진에서 점에 불과 하던 것이 3개월 뒤 주먹만큼 커졌고 또 한달 뒤에 3차 색전술을 하였는데도 불구하고 전체에 퍼졌다.

이 환자는 한 달여 동안 짜고 맵게 먹었다. 워낙 꼼꼼한 소음인 성격이라 나름대로 철저히 하고 라파뮨도 끊었다. 다음은 이후 8월달에 가지고 온 사진이다.

이 환자는 소음인 중에서 조금 의심이 많고 자신의 계획을 철저히 실행하는 성격으로 보였다. 나의 지도를 받고 이렇게 좋아졌는데도 한약에 대한 불신은 여전하여서 한방치료를 받지는 않았다. 그래서 그 뒤 결과에 대해서는 자세히 알 수가 없지만 이 사례를 비추어 볼 때 아무리 약이 받아도 체력이 안 되고 흡수력이 떨어지면 항암제가 작용할 수 없다는 것을 이야기해 둔다. 또한 기존의 암에 대한 생각은, 암을 예방하거나 암을 치료하는 분들이 간암에는 짜게 먹지 마라고 당부하는데 이는 크게 잘못된 생각이다. 섬유화나 지방이 쌓이는 것도 역시 Na +이 이를 억제할 수 있다. 싱겁게 먹음으로써 장내에서 지방의 흡수를 재촉하게 되고 혈중에서 지방의 분해를 억제하게 된다. 이 환자는 한약을 먹은 것이 아니고 단지 소음인에게 맞는 식이요법과 음식을 짜게 먹음으로써 무섭게 진행되던 암이 멈추고 거꾸로 줄어들기 시작하였다는 것은 세포들이 그동안 시든 나무 처럼 죽어 있다가 짜게 먹음으로써 물이 돌기 시작하고 나무에 물뿌려진 것처럼 정상적인 반응을 하기 시작하자 암세포가 줄어들게 된 것이다. 그리고 이 환자가 왜 짜게 먹음으로써 다시금 듣지 않던 색전술이 효과를 발휘하게 됐나는 2강에서 설명하려고 한다.