방광암 1-1강. 수술이 불가능한 방광암 환자의 한방치료

위에서 다루었던 방광암 환자의 이후 record를 수록해 본다. 이 환자는 태음인으로 방광암 4기 진단을 받았고 수신증이 심한 상태였으며, 수술이 불가능하다고 서울대에서 고향으로 내려가서 항암치료를 받아보라고 권유받았던 환자이다. 그리고 위에 1강에서 다루었던 이 한약치료 후에 확연한 감소를 보이기 시작하여서 방사선 치료를 권유하였고, 2017년 6월 28일 다시금 내원하여   진단방사선과 초음파진단을 하였다. 1강에서 실었던 자료를 다시금 실어 본다.

이장호 1-3.JPG

2주간 한약치료를 받고 나서 다소 감소된 결과를 설명하였다.

이장호 1-4.JPG

한달간의 한방치료 약물 G0054를 사용하고 나서, 이후 방사선 치료 4일을 받았을 때의 결과이다.

이장호 1-5

그리고 한달간의 방사선 치료가 결합된 결과를 어제 보게 되었다.

캡처1.JPG

약 두달간의 치료에 대한  종합적인 결과를 수록해 본다.

캡처1-1.JPG

이 환자는 두달간의 한약과 한달 동안의 방사선 치료 결과 초기 종양은 대략 83% 정도가 감소되었고, 잔류 종양은 17 % 정도가 남아 있다. 아직 방사선 치료가 끝나지 않았고, 몇 번은 집중적으로 치료를 할 계획이다.

방사선 치료는 이전 시대에는 암치료에 있어서 주도적인 역할을 하였다. 하지만 화학치료가 발전하기 시작하면서부터, 암의 치료에 있어서 주치료보다는 부수적인 치료 방법으로 밀려 버리게 되었다. 하지만 암치료에 있어서 화학치료와 대등하게 중요한 치료방법이라고 본다.

방사선도 종류가 많은데 전문가가 아닌, 사상학의 입장에서 내가 겪은 환자들의 상태를 보면 감마나이프는 소음인에게 무리가 없이 잘 듣고, 일반 방사선은 태음인이 잘 적응한다. 태음인 환자들은 결과도 좋고 ㅡ 방사선에 의해 유도되는 암의 재발을 잘 보지 못한다. 하지만 소음인들은 방사선 치료 당시 비교적 힘들게 느끼는 사람들이 많고, 치료 이후에 암이 다발적으로 다른 부위에 번지는 것을 보게 된다. 이것이 꼭 암의 확산에 연관지어져 있는지는 연구가 필요하지만 내가 체질개념을 가지고 볼 때는, 뼈 전이 환자들이 통증을 느끼다가 방사선 치료를 한 후에 확연히 좋아지는데, 태음인은 몇 년을 지속되게 좋은 경우가 많고(물론 이는 사상학적인 치료법으로 관리를 하는 경우이다) 반면에 소음인 들은 일시적인 호전을 보이다가 이후에 갑자기 다발적으로 전신에 퍼지는 경우를 여러 번 보게 되었다. 방사선이 암치료를 하지만, 또한 암의 원인자가 된다는 것은 히로시마 원폭 이후에 알게 된 사실이다. 히로시마 원폭 이후에 일본에서는 많은 백혈병과 림포마 환자들이 발생하였다. 이후 이같이 방사선이 일부 종양의 기폭작용을 한다는 연구가 발표되었다. 그러나 체질의학적인 입장에서는 방사선도 여러 가지 속성을 띠고 있다고 본다. 사이버나이프는 태음인들은 별 무리 없이 잘 감당하는데, 내가 본 소음인 중에는 사이버 나이프 치료 이후에 체력이 확 고갈이 되면서 감당할 수 없이 악화되는 경우도 보게 된다.

그래서 나는 짧은 경험이지만 내 경험 속에서 태음인의 치료에는 방사선과 한약치료를 결합하여서 사용하는 것을 좋아하고, 이 같은 방법만으로도 항암에 의존하지 않고 좋은 결과를 보게 된다. 이 환자는 아직 두 달밖에 치료 받지 않았는데, 어제서야 비로소 선생님 약이 무슨 성분이며 무슨 작용을 하는지 묻는다. 처음에 너무 병원에서 충격적인 이야기를 들어서 그동안 정신이 없다가 이제서야 마음에 여유가 생겼는지 암을 대처하는 데 비교적 낙관적인 태도를 가지게 되었다.

나는 원래 taxol 치료도 생각하고 있지만 이번 경우 조금 더 운동요법을 높여서 결과를 기다려 보려고 한다. 그래서 환자한테 호흡을 통해서 체형을 바꾸는 운동요법을 가르쳐 주었다. 환자가 열심히만 한다면  항암보다도 더 놀라운 효과를 가져오게 될 것으로 본다. 항암은 좋기는 하지만 역시 여러 가지 부작용을 가져오기 때문에 가능하면 안 할 수 있는 것이 좋다. 자체 면역을 통해서 암을 이기는 것이 최선의 방법이고 이러한 방법만이 완치로 갈 수 있다고 본다.

나의 이 같은 약물 선택이나 방사선 치료는 환자 입장에서는 아무리 좋은 치료라 할지라도 피동적 치료이다. 환자는 스스로가 주체가 되어서 능동적 치료를 하는 것이 중요하다. 초기에는 암에 대한 전문가가 아니기 때문에 전문가들의 조언에 따른 치료를 해야 하는 것이 당연하지만, 이 역시 도와주는 것이지 스스로 몸과 마음을 관리하여서 주체적으로 자신을  바꾸지 않는다면 언제까지 보조적인 외부 치료방법으로만은 암의 완치는 어렵다고 본다. 그래서 항암이나 한약이나 여러 요법들이 몸에서 암의 빠른 성장을 막아주고 일시적으로 시간을 벌어주는 동안, 스스로를 관리 해야만 한다. 가끔은 이런 환자들도 본다. 선생님 시키는대로 약도 먹고 음식도 지키고 하여서 이제 약을 끊으려고 하였는데 재발을 하게 되었습니다. 그래서 이제는 열심히 하였는데도 결과가 이렇게 나오니 음식도 막 먹어 보고 못 해본 것도 해보겠습니다. 환자는 암이 재발이 되면 다시금 암에 대한 공포심이 생기게 되고 어떤 경우는 자포자기를 하거나 어떤 경우는 다 귀찮게 느껴지는 수도 있다. 그러나 정말 음식을 잘 지키고, 정말 열심히 운동도 하였을까? 스스로 마음관리도 잘 하여서 스트레스를 안 만들고 자신을 조절하였을까? 나는 많은 노력을 하는 암환자들에게는 외람되지만  아니라고 본다. 단지 약물만 쓰면 낫는다는 기대감을 가지고 자기관리에 소홀하였기 때문에 암이 재발을 하는 것이라고 본다. 약은 도와주는 것이지, 스스로 운동을 하지 않고 몸의 순환을 게을리 하면 약도 소변으로 다 빠져나가지 몸에 작용을 하지 못하게 된다. 그래서 암환자는 암이 천천히 자라다가, 멈추어섰을 때 이 시간을 빌려서 자신을 단단히 제련하는 것이 중요하다. 요가도 좋은 방법이요 탁구도 좋은 운동이요 여러 가지 할 수 있으면 등산이던 수영이던 가리지 말고 몸을 움직이는 것을 하여야 한다. 암환자는 휴식도 중요하지만  끊임없이 몸을 놔두지 말고 몸을 종부리듯이 부려야 한다. 적어도 3-4시간 이상을 쉬지 않고 움직이면 몸은 순환을 시작하면서 독소를 뱉어낸다. 땀으로 소변으로 호흡으로 나쁜 것이 배설되면서 건강을 회복시킬 수 있다.

 

몇일 전에 나는 한통의 메세지를 받았다. “원장님 안녕하세요 지난 9일 아버지께서 소천하셨습니다. 원장님 덕분에 방광암과 싸우시면서 지난 12년을 저희와 함께 할 수 있었던것 같습니다. 더 함께 할 수 없다는 것이 매우 아쉽기는 하지만 저는 그 시간에 아버지와 좋은 추억을 많이 만들 수 있었습니다. 원장님 늘 건강하십시요. 인술을 베푸시는 명의로서 더 많은 환자와 가족에게 희망과 추억을 가꿀 시간을 주시가 바랍니다. 감사하고 또 감사합니다. ”

이 환자는 태음인으로 서울대에서 방광암 수술을 여러 차례 하였고 거듭 재발을 하여 나의 clinic 으로 찾아 왔다. 나중에 시간이 되면 정리를 해보겠지만 ㅡ 한방 치료 이후에 매우 좋은 결과가 와서  5-6 년째 되던 해에 암은 거의 보이지 않았고 정상생활을 하셨다. 그리고 이후에는 이따금 한번씩 와서 약을 지어가고 하였는데 최근 2년간은  내원을 하지 않았다. 그래서 어떻게 다시 재발 하였는지는 자세한 정황을 모른다. 하지만 내가 아는 9년간은 거의 병에 대한 병식이 없이 지내셨고 최근에 어떻게 나빠져서 돌아가시게 되었는지는 모른다. 환자가 워낙 연로한 고로 체력이 다하고 투지가 약화되었을 것도 짐작이 된다. 조금 더 관리가 잘 되었으면 완치도 가능하였으리라고 생각한다. 한약을 쉬게 됨과 동시에 환자들은 해방감을 느끼고, 그동안 못 먹던 음식을 다 먹어 보려고 하는 환자들도 본다. 한약이 도와주다가 한약을 끊으면 오히려 음식을 더 잘 지켜야 하는데 그동안 체질에 맞게 음식을 가리다 보면, 못 먹는 음식에 대한 욕구도 생기고, 한 두번 먹어서 크게 당장 암이 재발하는 것을 보지 않으면, 환자들은 방심을 하고 암과 음식의 연관관계를 쉽게 망각을 한다. 그런데 결국 시간이 흐르면 이러한 체질에 맞지 않는 음식요법이 암의 또 하나의 재발 원인이 될 수가 있다. 환자가 오랜 투병을 하다 보면 가족도 짐이 되게 느껴지는 것을 나무랄 수만은 없다. 이 아드님은 편지에서 부친에 대한 절절한 심정을 느끼게 한다. 여러 종류의 가족관계 여러태도의 보호자가 있지만, 그 중에서 부친에 정성을 다했던 것으로 기억된다. 최근에는 나를 찾아와서 의논을 하지 않았기에 어떤 경과로 돌아가셨는지는 잘 모르겠으나 환자가 12년 중에 대부분의 시간은 암에 대한 인식이 없이 정상 생활한 것으로 안다. 나 역시 고인의 명복을 빌 뿐이다.

 

 

 

전립선암 4강. 전립선암 4기 폐전이 골반벽,복부임파절 전이 환자 Patient – prostatic cancer stage IV, with multiple lung metastasis, multiple pelvic and iliac metasis, complete remission

전립선암의 protocol은 항호르몬제(anti-androgen) bicalutamide와 GnRH agonist인 루푸론(leupron)이나  zoladex의 병행요법이다. 나의 주장에 의하면, 이러한 약물 사용을 체질에 따라서 달리 선택해야  한다 .

  • 태음인(autumn type- Tai  Yin type)- bicalutamide.
  • 소음인 (winter type- shao yin type)- finasteride (프로스카)
  • 소양인 (summer type-shao yang type)- GnRH agonist+ alpha adrenergic blocker (doxazocin, terazocin, etc)

1-3.JPG

이번 원고에서 소개하려는 환자는 74세의 남성으로, 2010년 10월 전립선암 4기 골반벽전이 폐전이(prostatic cancer IV stage  with lung metastasis)로 아산병원에서 진단을 받았다. 초기에   bicalutamide(상품명 casodex)를 복용하면서 초기에 GnRH agonist인 zoladex 주사를 한차례 시행하였다. 그리고  2010년 11월 초에 반룡인수 clinic으로 방문하였다.

이 환자는 당시 검사로 4기 폐전이 진단을 받았고, 주치의는 암의 상태가 현재 사용하고 있는     protocol로 1년 정도 억제시켜 줄 수 있지만, 1년이 넘으면 약이 안 들을 것이라고 하였다. 그래서 장기생존이나 완치에 대한 여부는 불투명하다고 들었다. 이같이 주치의 한테서 안 좋은 예후에 대한 설명을 듣고 나자 다른 방법을 찾아서 나의 clinic을 방문하였다. 그래서  2010년부터 2013년까지 나의 방법대로 한약과 양약을 결합하여서 치료를 하였다. 그리고 전립선암은 완치 판정을 받았다. 그리고 한약을 끊고 나서 이 환자는 주로 태국에 가서 살았는데 2014 년 3월 아주 조기위암 (early stage stomach cancer)로 진단을 받았다. 조기위암에 대해서는 수술을 받았다. 별다른 항암이나 방사선 조치는 받지 않았다. 그리고  2017년까지 전립선암이나 위암에 대한 재발이 없이 지내고 있다. 2014년이후에는 이 환자는 한약으로 전립선암을 치료할 때처럼 식이요법을 철저히 지키지는 못하였던 것으로 안다. 환자부부가 고령이라, 남이 해주 는 밥을 먹고, 직접다이어트 식단을 챙겨 먹지 못하였다. 그리고 인도네시아 태국에서 일년의 대부분을 지내고 있었다. 이러한 환경이 아마도 다시금 위암을 생기게 하였으리라고 본다. 다행히 조기수술을 받고서 위암도 완치가 되었다. 그래서 이번 원고에서는 이 환자의 치료과정을 소개하면서, 암을 자라게 한 환경과 나의 새로운 protocol의 치료효과를 설명하려고 한다.

우선 전립선암이 발생되게 된 요인 중에 하나로, 내가 주장하는 탈수를 유발하는 카두라(doxazosin)의 사용이다. 양성전립선 비대에 사용되고 있는 alpha adrenergic blocker는 소양인(shao yang type)에 적합한 약물이다. 이 환자는 이 약물을 발병하기 전에 6년간 장기 복용을 하였다.  이 약물과 전립선 암을 연관 짓는 것은 많은 연구가 필요하다. 하지만 체질의학적 입장에서 보면, 이 약물은 소양인에게 적합한 약물로, 소음인이나 태음인에게는 다른 부작용들을 일으킨다. 그리고 이 부작용의 뿌리는 바로, 이 약물을 복용함으로써 일어나는, 소변의 과다로 인한 탈수(dehydration과 소금농도의 저하) 때문이다. 앞서 3강에서 소개한 소음인 환자도 이 카두라와 유사한 하이트린을 줄곧 복용하고 있었다. 그리고 나의 clinic에 와서, 이 하이트린을 끊고서 치료를 시작하여서 몇 년간 좋은 결과를 보여주었다. 마찬가지로 이 환자도 역시 doxazocin이라는 상품명 카두라를 중단하고서 치료를 시작하였다. 이 환자는 전립선암을 나의 방법으로 완치가 되었지만, 만약 병원에서 권하는 GnRh agonist인 zoladex 주사를 맞았거나, 카두라를 지속적으로 사용하면서, 나의 치료를 받았다면 완치가 불가능했을 것으로 본다. 암을 일으키게 하고, 암의 성장을 도와주는 환경적 요인인 탈수(dehydration)를, 알파blocker를 중단함으로써 억제할 수 있었고, 카두라에 의한 순환혈장량의 저하(hypovolemic state)를, 카두라를 중지시킴으로써 개선시켰기 때문에 충분한 순환혈장량이 유지되면서 암의 치료가 가능했던 것으로 생각된다.

M/73세

  • 2010/10 : 건강검진 전립선암 발견 (biopsy proven prostatic cancer stage IV multiple lung and pelvic lymph nodes metastasis)
  • 2010/10 : casodex + #1 zoladex (goserelin)  injection
  • 2010/10/25 : 반룡인수한의원 초진 (banrong insu herbal clinic first visit)
  • 2010/11 : casodex + herbal medication ( after 1 time injection of zoladex- he stopped leupron by my recommendation ) – 2010년 11월 1차 zoladex 주사 이후에 주사 거부
  • 2012/10 : casodex reduce. 일주일에 한번 먹는 방법으로 casodex 용량을 줄임
  • 2013/10 : 완치로 한방치료 종결  complete remission. herbal therapy stop

1-5.JPG

2010/10/6  CT 복부와 골반부

  • 조직검사로 입증된 전립선암
  • 우측obturator muscle, 우측 external, common iliac, paraaortic, retrocavla and retrocrural 부위의 림프절 전이
  • 우측 폐의 하엽의 뒷벽에 전이로 보이는 폐의 덩어리들
  • 신장에 4cm에 이르는 단순 양성 물혹
  • 골반에 양성으로 보이는 뼈의 이상 부위

2010/10/14  CT 가슴사진

  • 여러 개의 작은 RML(우측중엽)과 RLL(우측 하엽)의 덩어리들로 전이로 보인다.
  • 우측 빗장뼈 위로 1.6cm 가량의 커져 있는 림프절이 보인다. 아마도 전이로 보인다.
  • 왼쪽의 신장에 물혹
  • 특별한 흉추의 뼈의 이상은 보이지 않음

정영기1-1.jpg

이 환자분은 전립선암 검진을 받고서 암을 발견하였다. 주위에서 여러 분들이 전립선암에 걸리는 것을 보고 나서 자신도 걱정이 되어서 건강검진을 신청하였다. 그런데 이미 전립선암 4기로 진단이 나왔다. pathology는 전립선암 adenocarcinoma (선암)으로  greason score는 9-10 사이로 높이 나왔다. 10개 이상 조직에서 모두 암세포가 발견되었다.

당시 환자의 CT를 간략하게 소개해 본다.

정영기1-2.jpg

  • 우측 폐의 우측 하엽에 보이는 하얀 점들(검은 화살표)이 폐전이 된 암임
  • 전립선은 비대되어 있다.
  • 좌측 골반뼈 주위에 림프절 전이(검은 화살표)가 보인다.

환자는 아산과 국립암센타 두 군데 병원을 찾아가서 진료를 받았다. 국립암센타에서 이미 다발성으로 전이(multiple metastasis)되었기 때문에 수술이 의미가 없다고 하여서 본인이 전립선암 수술을 안 받았다. 그리고 호르몬 치료와 zoladex 주사를 1차 시행하였다.

초기에 casodex 를 시작하고 나서 PSA는 113에서 (2010/10/9) 83으로 떨어졌다. 그리고 반룡인수한의원에 내원하여 나와 상담을 하였다. 그의  부인이 나의 오랜 환자이기 때문에, 쉽게 나의 주장을 받아 들였다. 그래서 한방약물치료(herbal medication)와 호르몬 요법을 같이 병행하기로 계획을 세웠다. 당시 부인은 주치의로부터 “1년 이상은 호르몬 요법이 소용이 없습니다. 이후에는 준비를 해야할 것입니다” 라는 이야기를 들었다. 이미 폐전이가 되어 있었고, 다발적으로 골반과 복부에 임프절이 전이가 되어 있었다.  리고 경추 옆의 소위 비쇼스 노드라고 불리우는 림프절 전이까지 되어 있었다.

그리하여 2010/10/25일부터 한방요법을 casodex 호르몬 요법과 병행하였다. 나는 zoladex를  사용하면 왜 안되는지 자세한 설명을 하였다. 그리고 전립선약으로 그간 사용해왔던 카두라도 끊게 하였다. 환자는 두번째 PSA 검사에서 83이 7로 떨어졌다.  2010/11/5일 검사에서는 PSA가 3.47 까지 내려갔다. 환자는 한방치료 이후에 급격한 PSA 수치의 정상회복을 보고 나서 나의 치료방법에 대한 믿음을 갖기 시작하였다.

이후 전립선암을 혈액학적으로 측정할 수 있는 PSA수치는 계속 감소되었다.

  • PSA  2010/11/6   1.3
  • PSA  2010/12/6   0.23

그래서 환자는 주치의가 강력히 안 된다고 이야기하는데도 불구하고,  zoladex 주사를 거부하였다. 그래서 만약 졸라덱스를 꼭 써야 한다면 “나는 다른 병원에 가서 치료를 받겠다고” 의사한테 이야기하였다. 의사 선생님은 환자가 너무도 고집을 하는 데다가, PSA 수치도 잘 떨어지자 이를 받아들였다. 그래서 환자는 이후 casodex를 복용하면서 한약치료를 3년간 하였고, 이후 완치 판정을 받고 한약을 중지하였다. casodex를 복용하는 동안 환자는 특별한 다른 부작용은 없었지만 가슴이 약간 부푸는 현상을 느꼈다. 젖꼭지가 커지자  2012년부터는 casodex를 일주일에 한 번씩 먹는 방법으로 바꾸었다. 그래서 적은 용량의 casodex와 한방요법을 병행하였다.

1-3.jpg

이 환자는 당시 1년 이상 치료를 한 후에 골반벽과 복부에 있는 임파절이 다 없어졌고 폐에도 multiple 하게 보이던 종양이 소실되었고 위에 사진에 보듯이 우측 하엽에 보이던 종양도 소실이 되어서 전립선암 완치 판정을 받았다. 이전 CT가 여러 군데 흩어져 잘 찾아지지 않아서, 여기서는 2016년도 신세포암을 발견하고 가져왔던 사진으로 비교를 해 본다. 위의 사진(2016/4/25)을 보면 전립선의 크기도 현저히 줄어들었다. 이전의 골반벽림프절들은 모두 소실이 되었다.

정영기1-5.jpg

이분은 2014년 한약을 중단하고 나서  1년 지나서 위장에 매우 초기 종양이 발견되어서 수술로 제거하고, 방사선이나 약물치료 없이 추적관찰 중이었는데  2016년도에 또다시 신장에 신세포암이 발생하였다.  2014년 이후에는 본원의  치료를 받지 않았지만 위암은 무사히 지나갔고,  2016년 4월 사진에서 좌측 신장에 작은 암이 발견되어서 복강경으로 제거를 하였다.

1-5.jpg

정영기1-4.jpg

환자는 전립선암은 마쳤지만 다시 위암이 발생하고  또 위암은 끝났는데 연이어 신세포암이 발생하여서 아직 투병이 끝나지 않은 상태에서  2017년도 3월에 CT를 가지고 찾아왔다. 이전에 전립선암 때 한때 다 사라져서 보이지 않았지만 , 2017년 C 에서는 매우 미세한 nodule들이 폐에 몇 개 보였는데, 나름대로 생각이 있어서 그런지 한방치료를 택하지는 않았다. 이 신장에 보이는 작은 종양은 위에서 보듯이  2016/4/25일 검사에서 신세포암일 가능성을 시사하였고, 위벽이나 위 혹은 복부에 다른 임파절은 없다는 설명이다. 이전 전립선암 때 열거되었던 수많은 복부와 골반벽임파는 다 소실이 되었고  폐에 위의 사진에서 보듯이 작은 점이 하나 남아있는데, 이는 양성인 granuloma로 보인다는게 아산병원의 그간 추적의 소견이다. 이 환자도 중간 과정을 CT를 찾아보니 다른 콤퓨터에 흩어져 있어서 바로 1년 뒤에 소실되었을 때를 비교해서 시를 못한다. 그래서 2016년도 복부사진을 통해서 초기 2010년 사진과 비교해 보았다. 이를 보면 이전 종양들은 다 사라진 것을 알 수 있을 것이다.

내가 돌이켜 생각해보건데, 암환자가 암에서 벗어나려면 꽤 많은 노력과 행운이 따라야 한다. 이분은 나름대로 열심히 지켜서 전립선암 4기는 벗어낫지만 다시금 조기 암들이 찾아온 것은 내나름대로는 두 가지 생각을 한다. 이분은 이미 나이가 80 줄에 들어서서 실버타운에서 거주하다 보니, 음식을 이전처럼 100% 지키는 것이 쉽지 않았고, 또한 복부사진을 보면 매우 복부지방이 많은 편이다.

또 한가지 이분은 계속 인도네시아에서 장기체류를 하였다. 암환자 중에 음인들은 동남아에 가서 재발을 해서 오는 분이 많다. 내가 생각해 보건데 이는 물 때문이라고 생각한다.  동남아는 거의 석회암 지대라 물에 석회질이 섞여서 많이 나온다. 석회란 음성적으로 한의학에서 백호라고 하여서  소양인 약물로 사용된다. 내가 일전에 인도네시아 쪽을 여행하면서 아쿠아라는 그곳의 정수된 물을 몇 일간 마셔본 적이 있는데, 나는 당시 이 물을 마시고 다리와 허벅지 쪽으로 엄청 힘이 생기는 것을 느꼈다. 양인들은 상체가 발달하고 하지가 약한 편이고 움직이는 것은 잘하지만  가만히 서있으면 다리를 뻗뻗하게 디디는 힘이 약해서 잘 서 있지를 못한다. 그런데 아쿠아를 마시고 나니까 허벅지에 힘이 생겨서 자리에 앉고 싶은 생각이 없어졌다. 평소 내게 실습을 오는 제자 중에 태음인들은 자리에 앉으라고 해도 그냥 서 있는데, 겸손한 탓도 있겠지만 그것보다 그저 서 있는 게 힘 안들고 편하고, 즉 허벅지의 힘이 좋기 때문이다. 그런데 아쿠아를 마시면서 나는 태음인의 서있는 게 편하다 하는 그 심정을 이해 할 수 있었다. 즉 아쿠아를 위시한  인도네시아 동남아 지역의 석회질 물은 소음 태음에게는 해롭다고 본다. 여러 번 잘 치료해 놓은 분들이 동남아 여행만 갔다오면 재발하는 경우가 많았고, 최근에도 내게 온 폐암 환자가 이레샤를 잘 사용하고 암이 줄어들다가 동남아 여행을 갖다 와서 확 나빠져서 할 수 없이 한방치료를 하고자 내게 왔다. 나는 이레샤가 놀라울 정도로 잘 들었는데 무엇이 이분 생활에서 갑작스러운 악화를 가져왔나 이것 저것 살펴보았더니, 다른 것은 안 보이고 동남아 여행을 갖다 온 후에 나빠진 것을 발견하였다. 그래서 성급한 추론이지만 석회질 물을 먹음으로써 생긴 문제가 아닌가 한다.

그래서 암환자는  서양의학에서는 전혀 거론되지않는  암의 환경, 즉 음식이나 물등의 섭생요인이 고려되어야  암의 완치를 이룰 수 있다고 본다.  단지 항암제와 암만의 투쟁이 아닌 생활습관을 고치고  누수되는 물줄기의  구멍을 찾아서 메우므로써  암의 완치가 가능하다고 본다.

전립선암 3강. PSA 2400 상승했던 환자 이야기 – 전립선암 다발성 뼈전이 환자

전립선암  2강에서 나는 양성전립선비대에 사용되는 약물들 – 알파 blocker라고 분류되는 약물들이 태음인 소음인에게는 사용되서는 안 된다는 이야기를 하였다. 여기서 소개하려는 이 환자는 역시 최근 환자가 아니기 때문에 자료가 소홀하지만, 이전 외부 강의 때 만들어둔 원고를 그대로 사용하고 나중에 보충해 보려고 한다. 2007년 삼성의료원에서 강의할 당시 역시 소개했던 환자이다. 이 환자는 연세가  80 가까이 되셨던 분이다. 이 환자는 서울대에서 3년 전립선암을 치료 받았다. 이 환자는 전립선암 발견 초기부터 뼈전이가 되어서 방사선치료를 받았다. 그리고 3년 만에 척추 전체에 뼈전이가 매우 심해져서, 통증이 어가 되지 않았다. 유명한 제약회사 회장을 지내신 분이라 자서전을 써 놓으시고 우리 clinic에 휠체어를 타고 오셨다. 이 환자는 당시 PSA는 2420으로 상승이 되었고, 모르핀을 하루에 5 대를 맞았는데도 통증이 제어되지 않자 보름 안에 사망할 것이라는 이야기를 주치의로부터 듣고, 마지막으로 우리 병원에 휠체어를 타고 오셨다. 이분의 아드님은 가형과 친구이고, 개인적으로도 나의 고등학교 선배님이 되신다. 그러다 보니 엄격히 환자와 의사와의 관계로 자료를 요구하기가 어려워서 자료가 미비되었다. 그래서 있는 자료로만 소개를 해 본다. 본인이 제약회사 회장을 지내셔서 나름대로 판단을 하시고 자료제출을 잘 안 해 주었고, 자료를 강요하기도 어려운 상태였다. 그래서 초기에 MR 사진만 가져왔고, 이후에 간간이 PSA 수치에 대한 lap을 가져오셨다. 전체가 구비되었으면 나도 전모를 더 알 수 있을 터인데, 그렇지 못한 게 아쉽다.

Prostate  cancer multiple bone metastasis.

  • 전립선암  다발성골전이
  • M /80
  • 2002 :  증상발견
  • 2002. 2 : 전립선암 4기 뼈전이 진단
  • 2002. 2 –  2004. 1 – Palliative  Radiotherapy. 방사선치료 총 4회
  • 2004. 11. 25 : Date of first visit 반룡인수한의원 초진(초진 시 pSA 2420)
  • 2005. 5. 9 PSA 20
  • 2007 년 사망

캡처.JPG

환자 분은 2002년 전립선암 발견 시부터 총 4회에 걸쳐서 방사선 치료를 흉추와 요추 골반 등에 보이는 전이된 종양 부위에 받았다.

1-1.jpg

위에서 보듯이  2003년 12월 24일 사진에서 전신에 뼈전이가 되어 있는 것을 알 수가 있다. 마지막 방사선 치료를 2003년 12월부터 2004년 1월까지 환자는 받았다.

1-2.jpg

위의 사진은 2004년 1월 방사선 치료를 마쳤을 때의 MR 사진이다. 화살표의 하얀 부분은 정상뼈이다. 나머지 검은 척추뼈는 모두 암의 전이로 인하여서 검게 보여지는 부분이다. 하얀 부분 외에는 거의 남아 있지 않을 정도로 전 척추뼈에 암이 전이가 되어 있었다.

2004년 말 이 환자 분은 자서전을 써 놓고 내원하였다. 자서전에는 서울대에서 그간 3년의 수명을 연장받는 복을 받았다고 하며 이제 마지막으로 인생을 정리한다는 회고록을 쓰시고 나서, 통증이 너무 심해지자 양방에서 호스피스로 가서 정리하라는 이야기를 듣고, 본 clinic에 내원하였다. 당시 PSA는 2420으로 높아 있었다. 그리고 이분은 통증으로 인해서 트리돌과 가바펜틴을 사용하였다. 모르핀도 같이 복용하였고 주사제로도 맞으셨다. 그러나 통증에 대한 효과가 전혀 없었다. 그래서 모르핀을 하루 동안 5 대를 맞았는데도 통증 제어가 되지 않자 병원을 포기하고 한의원에 내원하였다. 또한 이분은 전립선암에 사용되고 있는 casodex를 그간 쭉 사용하고 있었다. 양성 전립선비대에 사용되는 하이트린도 지속적으로 복용하고 있었다. 나는 이러한 약물들을 다 체질에 맞는 약물로 바꾸어 주었다. 그리고 통증이 잡히고  PSA 수치도 떨어지기 시작하였다.

전립선암에 사용되고 있는 항호르몬제인 bicalutamide – 상품명 casodex는 나의 견해로는 태음인 약물이다. 이는 소음인 환자에게는 효과를 나타내지 못한다. 또한 아래의 글에 있듯이 이를 GnRH agonist와 병행요법을 시행하는 것은 매우 잘못된 것이다. 이 상품명 루푸론의 GnRH agonis는 소양인 약물이다. 이는 에스트로겐을 억제하는 약물이다. 산부인과 영역에서 에스트로겐의 억제목적으로, 프로게스테론 제제와 함께 사용되는 약물이다.

전립선암은 안드로겐의 과잉으로 나타난다. 이는 상대적으로 에스트로겐의 결핍을 의미한다. 그런데 에스트로겐 억제 약물인 GnRH agonist를 사용한다는 것은 매우 우매한 방법이다. 오히려 에스트로겐을 높여 주어야만 전립선암의 원인인 안드로겐이 억제될 수 있다. 이 약물의 사용에 대해서는 많은 논쟁거리가 있다. 전립선암 환자들이 갑자기 GnRH agonist 제제를 사용하고 나서 flame이라고 불리우는, 즉 불꽃같이 PSA 수치가 확 높아지는 현상이 보고 되고 있다. 만약 소양인 전립선암 환자라면 사용해도 된다. 하지만 우리나라에 많은 소음인이나 태음인 전립선암 환자들은 절대 사용하면 안 되는 약물이다.  또한 전립선암의 치료에 대한 결과가 안 좋은 이유 중의 하나도 바로 이 약물 때문이다.

앞선 전립선암 2강에서 주장했듯이 알파 blocker와 함께 주사제로 사용되는 GnRH agonist 제제는 모든 병원에서 사용되고 있다. 나는 내가 치료하는 전립선암 환자들에게 절대로 이 주사를 맞지 못하게 한다. 그리고 태음인에게는 casodex를 한약과 함께 복용시키고, 소음인에게는 양성 전립선에 안드로겐 억제제인 프로스카(finasteride)를 사용시킨다.

Bicalutamide, sold under the brand name Casodex among others, is an antiandrogen medication that is primarily used to treat prostate cancer.[12] It is typically used together with a gonadotropin-releasing hormone (GnRH) analogue or surgical removal of the testicles to treat metastatic prostate cancer.[13][12][14] Bicalutamide may also be used to treat excessive hair growth in women,[15] as a component of hormone therapy for transgender women,[16] to prevent priapism,[17] and to treat early puberty in boys.[18] It is taken by mouth.[12]

Common side effects in men include breast enlargement, breast tenderness, and hot flashes.[12] Other side effects in men include feminization and sexual dysfunction.[19] While the medication appears to produce few side effects in women, its use in women is not recommended by the Food and Drug Administration.[20][12] Use during pregnancy may harm the baby.[12] Bicalutamide causes elevated liver enzymes in around 1% of people.[21][22] It has been associated with rare cases of liver damage[12] and lung toxicity.[6] Although the risk of liver damage is small, monitoring of liver enzymes is recommended during treatment.[12]

Bicalutamide is a member of the non-steroidal antiandrogen (NSAA) group of medications.[6] It works by blocking the androgen receptor (AR), the biological target of the androgen sex hormones, such as testosterone and dihydrotestosterone (DHT).[23] It does not lower androgen levels.[6] Bicalutamide is well-absorbed, and its absorption is not affected by food.[1] The terminal half-life of the medication is about six days.[12] It is believed to cross the blood–brain barrier and have an effect on both the body and brain.[1]

Bicalutamide was patented in 1982 and approved for medical use in 1995.[24] It is on the World Health Organization’s List of Essential Medicines, the most effective and safe medicines needed in a health system.[25]Bicalutamide is available as a generic medication.[26] The wholesale cost in the developing world is about US$7.07 to US$144.22 per month.[27] In the United States it costs about US$10 and above per month.[28]The drug is sold in more than 70 countries, including most developed countries.[29][30] It is the most widely used antiandrogen in the treatment of prostate cancer, and has been prescribed to millions of men with the disease.[31][32][33][34]

나의 임상적인 결과가 이러한 주장이 맞다는 사실을 뒷받침 해준다. 앞으로 쓸 원고에서는 이렇게 내가 만든 공식으로 한방과 결합해서 말기 전립선암 환자들이 치료된 경험들을 소개하려고 한다.

또한 최근에 전립선암에서 docetaxel이 사용되고 있는데, 이러한 택솔제제의 치료에 실패 이후에 현재 신약으로 사용되고 있는 약 중에 자이티카라는 약물이 있다. 이 약물은 치토크롬 산화효소인 CYP17A1을 억제함으로써 안드로겐으로 진행을 막는 약물이다. 이 약물에 대한 설명을 보면 에스트로겐을 높이는 agonist로 작용한다는 설명이 있다. 아래 인용에 밑줄 그어진 부분을 보면, abiraterone은 유방암 세포를 성장시키는 에스트로겐을 도와주는 역할을 한다는 설명이 있다. 즉 전립선암의 안드로겐과 유방암의 에스트로겐은 서로 반대 작용을 하고 있는 것이다. 동양의 음양학은 이를 전체로 설명하고 있다. 음양학의 이론을 빌어서 이들의 대칭성을 파악해 보면, 이러한 안드로겐 과잉은 에스트로겐을 높여줌으로써 억제될 수 있다. 또한 이 약물은 소음인에게 효과가 있다.

Mechanism of action (wiki인용)

Abiraterone, the active metabolite of abiraterone acetate.

Abiraterone, the active metabolite of abiraterone acetate, inhibits CYP17A1, which manifests as two enzymes, 17α-hydroxylase (IC50 = 2.5 nM) and 17,20-lyase (IC50 = 15 nM) (six-fold more selective for inhibition of 17α-hydroxylase over 17,20-lyase)[12] that are expressed in testicular, adrenal, and prostatic tumor tissues. CYP17 catalyzes two sequential reactions: (a) the conversion of pregnenolone and progesterone to their 17α-hydroxy derivatives by its 17α-hydroxylase activity, and (b) the subsequent formation of dehydroepiandrosterone (DHEA) and androstenedione, respectively, by its 17,20-lyase activity.[13] DHEA and androstenedione are androgens and precursors of testosterone. Inhibition of CYP17 activity by abiraterone thus decreases circulating levels of androgens such as DHEA, testosterone, and dihydrotestosterone (DHT).

Abiraterone also acts as a partial antagonist of the androgen receptor (AR), and as an inhibitor of the enzymes 3β-hydroxysteroid dehydrogenase (3β-HSD), CYP11B1 (steroid 11β-hydroxylase), and other CYP450s (e.g., CYP1A2, CYP2C9, and CYP3A4).[10][14] In addition to abiraterone itself, part of the activity of the drug has been found to be due to a more potent active metabolite, Δ4-abiraterone (D4A), which is formed from abiraterone by 3β-HSD.[15] D4A is an inhibitor of CYP17A1, 3β-hydroxysteroid dehydrogenase/Δ5-4 isomerase, and 5α-reductase, and has also been found to act as a competitive antagonist of the AR reportedly comparable to the potent antagonist enzalutamide.[15] However, the initial 5α-reduced metabolite of D4A, 3-keto-5α-abiraterone, is an agonist of the AR, and promotes prostate cancer progression.[16] Its formation can be blocked by the coadministration of dutasteride, a potent and selective 5α-reductase inhibitor.[16]

There has been interest in the use of abiraterone acetate for the treatment of breast cancer due to its ability to lower estrogen levels.[17] However, abiraterone has recently been found to act as a direct agonist of the estrogen receptor, and induces proliferation of human breast cancer cells in vitro.[17] If abiraterone acetate is used in the treatment of breast cancer, it should be combined with an estrogen receptor antagonist like fulvestrant.[17] In spite of its antiandrogen and estrogenic properties, abiraterone acetate does not appear to produce gynecomastia as a side effect.[18]

Abiraterone acetate, via its metabolite abiraterone, has the capacity to lower circulating testosterone levels to less than 1 ng/dL (i.e., undetectable),[12][19] and these concentrations are much lower than those achieved by castration (20 ng/dL).[19] The addition of abiraterone acetate to castration was found to reduce levels of DHT by 85%, DHEA by 97–98%, and androstenedione by 77–78% relative to castration alone.[19]

In accordance with its antiandrogen action, abiraterone acetate decreases the weights of the prostate gland, seminal vesicles, and testes.[20]

나는 이 환자에게 프로스카를 복용하도록 하였고, 한방약물 A2를 사용하였다. A2는 내 약물을 연구한 대만의 최고 종양학자인 Gi ming lai 나기명 박사가 이 약물의 전립선암에 대한 효과를 연구하여서 어느 정도 윤곽을 밝혀 놓았는데, 최근에 나의 개인사정으로 이를 발표까지 이르지 못하였지만 이미 세포학적으로 매우 이 처방이 전립선암에 유효하고, 특히 줄기세포를 억제한다는 데에 까지 연구를 해놓았다. 또한 나의 임상경험의 성공이 이를 뒷받침하고 있다.

이렇게 양약을 체질에 맞게 바꾸고, 한약 처방을 하자 환자의 통증은 사라지고  pSA 수치는 확연히 좋아졌다. 아래에 보듯이 초기 내원 시에 pSA(2004/11/15) 2420에서 반룡인수한의원 내원하여 11월 25일부터 한 달간 치료한 후에, 환자의 통증이 사라짐은 물론이고  pSA는 1660으로 떨어졌다. 또 25일 뒤인 2005년 1월 17일에는 1230으로 떨어졌다. 이 환자는 3개월 뒤에 지팡이를 던지고 혼자 걸어 다닐 수 있을 정도로 좋아졌다. 우측의 자료는 1년 뒤인 2005년 11월 3일 pSA가 6.5까지 떨어진 것을 보여주는 자료이다.

1-3.jpg

이 환자의 1년간 PSA의 변화를 보면 다음과 같다.

1-4.jpg

이를 도식화 해 보면 우리는 뚜렷이 PSA가 나의 방법으로 치료한 후에, 감소된 것을 알 수가 있다.

1-6.jpg

이 환자 분은 3년간 통증이 없이 거의 정상 생활을 하시고 살았다. 그리고 한약을 복용하는 동안 몇 번 한의원에 고령인 관계로 내원을 하지 않으셨다. 그래서 자료도 간간이 받았는데, 결국 3년 뒤에 폐렴 합병증으로 사망을 하셨다. 그래서 더 상세히 쓰고 싶지만 현재로는 불가능한 이야기이다. 당시 분당서울대의 혈액종양 선생님이 이 환자가 갑자기 너무 좋아져서 걸어다니자 환자를 통해서 내게 편지를 전하였다. 나는 이 선생님께 자세히 양약과 체질에 대한 나의 견해를 설명을 한 편지를 보냈다.

1-7내가 하고 싶은 이야기는 한방에 대한 문제이다. 한약과 양약을 체질에 따라 결합시키면 비록 완치는 되지 못하였지만 이 같은 연장이 가능하다. 또한 이러한 방법으로 완치에 가까이 간 분들도 많다. 하지만 아직까지 체질을 유전자 차원에서 밝히지 못하는 문제점이 있어 체질을 판단하는 데 객관성이 결여된 점이 있고, 양약의 체질은 더욱더 논란거리가 된다. 하지만 임상적으로 내가 알게 된 양약의 체질분류는 급한 암환자들에게 적용해서 당장의 문제들을 해결할 수 있는 좋은 방법이 된다. 이러한 것이 더욱 연구되어서 유전자 기반으로 설명된다면 암환자들에게 더 좋은 혜택을 줄 수 있을 것이다.  또한 한의사 선생님들이 정말 확연히 한약에 의한 치료효과를 입증할 만한 근거 위에서 치료를 한다면 양방의 어느 선생님들도 편견을 갖지 않을 것이다. 100 번이라도 이 같은 편지를 받을 수 있을 것이다. 그러나 주의주장만 앞세우고 실제가 없는 허위자료를 가지고 한방 효과를 선전한다면 한의학과 한의학계 전체를 욕먹게 하는 일이 된다. 이 점에서 한의사들은 더욱 진실해지고 더욱 분발해야 할 것이다.

다음 전립선암 4강에서는 전립선암 뼈전이 다발성 폐전이가 된 환자로 현재 치료 중인 환자의 사례를 소개함으로써 나의 양약에 대한 주장을 서술해 보겠다.

방광암 1강. 수술이 불가능한 방광암 환자의 한방치료

수술 불가능한 방광암 환자 태음인(太陰人 autum type)의 한양방 결합치료

  • 비타민C – 6000IU 6년간 복용함
  • 2017/4 : 혈뇨 발생하여 방광암 진단
  • 2017/4/18 : CT와 조직검사(papillary urothelia carcinoma, high gradeT4)
  • 2017/4/26 한의원 내원 – 한방약물 G0054 시작
  • 2017/4/26 영상의학과 초음파 검사 62.9 ml 체적
  • 2017/5/12 영상의학과 초음파 검사 56.6ml 체적- 종양 10% 감소
  • 2017 /5/2+  방사선 치료 시작
  • 2017/5/26 영상의학과 초음파 검사 41.6ml 체적 – 종양 33% 감소(방사선 치료 4일. 한약치료 30일결과)

나는 사상의학을 연구하는 한의학도이지만 양약에 대한 분류나 일반식품에 대한 분류도 마찬가지로 사상으로 분류될 수 있다는 주장을 한다. 그리고 식품이나 양방의 약물 비타민까지도 이에 따라 먹지 않으면 독이 될 수도 있다는 주장을 한다. 내 분류에 의하면 비타민 C는 소음인 약물이다. 나는 소음인들, 건강한 소음인이나 환자 분들 또 암환자들에게는 비타민 C를 적정량 섭취할 것을 권한다. 하지만 기타의 체질에게는 비타민 C를 권유하거나 비타민C의 치료법을 권유하지는 않는다. 그럼 나의 주장은 소음인 외에는 비타민 C가 필요없냐는 이야기인가?

소음인을 제외한 다른 체질은 비교적 비타민 c의 흡수율이 높다고 할 수 있어서 특별히 필요가 없다고 생각한다. 소음인들은 한마디로 비타민 C가 잘 흡수되지 않는 체질이라고 보면 된다. 반면에 소양 태음 태양인들은 이러한 비타민 c의 흡수율이 낮지 않으므로 과잉의 비타민C의 섭취는 오히려 상대적으로 다른 문제를 유발하게 된다.

나의 치료경험으로 볼 때, 내 환자 중에는 비타민 C를 장복한 경우에 유방암이나 난소암이 발생한 환자들이 많이 있다. 여기서 소개하려고 하는 이 방광암 환자도 비타민 C를 장기 복용하였다. 서울대에서 검진을 계속해 오던 환자로 서울대 선생님의 권유로 비타민 C를 하루에 6알씩 무려 6년을 복용하였다. 그리고 아주 말기 방광암이 발생하였다. 방광을 반 이상 차지하는 종양이 발생하였다. 수술이 불가능하다. 그리고 주변 임파로 전이가 되었다. 서울대에서는 항암 외에 다른 방법이 없다고 하였다. 종양이 항암을 통해서 줄어들면 그때 가서 수술이 가능하다고 하였고, 주소지인 제주도에 가서 항암을 할 것을 권유하였다.

이  환자의  초기 병원 검진 상태는 다음과  같다.

이장호 1-7

이의 CT 자료는 다음과 같다.

이장호 1-8.JPG

unresectable  bladder  tumor

수술이 불가하며 방광의 좌측 윗벽 후벽 아래벽을 모두 침범한 방광암으로 요관과 방광의 이음부까지 침범하여서 수신증이 심하였다. 조직검사는 papillary urothelial carcinoma로 high grade의 종양으로 판명되었다.

2017년 4월 26일 반룡인수한의원에서 초기 진료를 하였다. 그리고 한달 동안 한약을 복용하였다. 나는 방사선종양학과에 의뢰하여서, 이 환자는 방사선 치료를 4일 정도 받았다. 그리고 한달 만에다시금 체크를 하였다. 초기에 혈뇨로 인하여서 방광암을 발견하였다. 그리고 초기에 조직검사시에 피가 나왔다. 이 피는 일주일 만에 그쳤다. 그리고 한약 G0054(herbal medication)을 복용한 후에 소변이 차차 깨끗해지고 맑아졌다. 이후 한 차례 정도 피가 나오고 그쳤다.

태음인은 방사선 치료가 매우 잘 듣는다. 물론 한달 만에 추적검사는 방사선 치료를 4일밖에 안 받았기 때문에 엄밀하게는 방사선 치료의 효과는 아니라고 본다. 그동안 한달 동안 한약(G0054)을 사용한 효과라고 생각한다.

초기의 한의원 방문 시에 검사한 방사선 자료와 한달 뒤의 자료를 비교해 보겠다.

이장호 1-3.JPG

초기에 한의원을 방문할 당시의 전문영상의학과 초음파 검사 자료에 의하면 요관은 수신증 때문에 12mm 정도 확장이 되어 있다. 그리고 종양의 전체 면적은 62.9cc로 측정되었다.

이장호 1-4.JPG

이 환자는  2주간 한약치료(herbal medicatio G0054)를 받았다. 다른 양약의 조치는 없었다. 그리고 서울대에서 조직검사 결과를 기다리는 중이었다.

2주 뒤에 초음파 검사의 결과는 다음과 같다. 약 4mm 정도의 종양이 감소를 보였다. 그래서 전체 volume의 10% 정도가 감소되었다. 2017/4/26일에 62.9ml의 체적이 2017/5/12일에는 56.6 ml 로 감소되었다. 이렇게 빠르게 검사하는 데는 특별한 이유가 있다. 나의 개인적인 견해로는 방사선 치료는 태음인(太陰人 autumn type)에게는 적합하지만, 소음인(少陰人winter type)에게는 오히려 해로울 수도 있다고 생각한다. 많은 경우에 소음인 암환자들이 방사선을 치료 받은 후에 일시적으로 종양의 괴사를 가져온다. 하지만 한 두달이 지나면 오히려 암세포를 자극하여서 종양이 다시 재발하거나 무섭게 다른 곳으로 퍼지는 경우를 나는 많이 겪어 보았다. 그래서 꼭 필요한 경우, 방사선 조치로 암을 물리적인 억제를 해야 하는 경우가 아니라면, 소음인에게는 방사선 치료를 권유하지 않는다. 또한 소음인은 방사선 치료에 대해서 잘 견디지 못한다. 매우 힘들어하고 체력이 떨어지고 한다. 항암에서 부작용이 적게 나던 소음인들조차도, 방사선 치료가 훨씬 어렵다는 이야기들을 자주 한다. 반면에 태음인들은 거의 부작용이 나타나지 않는다. 일상생활을  다 하면서도 태음인(太陰人 autumn type)들은 방사선 치료를 받으러 다닌다. 그래서 약 2주간의 한방약물 G0054의 치료 후에 결과를 살펴 보았다. 이는 체질에 대한 분류에 오류를 좁히는 방법도 된다. 나의 분류가 맞았고, 약물이 정확하게 반응했다면 종양은 조금이라도 감소를 보일 것이다.  그러나 나의 체질 분류가 틀렸다면 종양은 오히려 더 커지거나 나쁜 영향을 줄 것이다. 이러한 연유로 인하여서 나는 빠른 추적검사를 하였다. 또한 이러한 결과를 통해서  앞으로 어떻게 치료를 할 것인지에 대한 생각을 정리할 수 가 있다. 이 환자는 한방 단독요법만 할 것인가? 아니면 항암치료도 병행할 것인가? 다행히도 이 환자는 종양의 체적이 10% 가량 줄어들었다. 이로써 나는 더욱 체질분류에대한 확신을 할 수 있었다. 그래서 환자에게 자신있게 방사선 치료를 병행할 것을 권유하였다.

이장호 1-5

그리고 환자는 아직 방사선 치료는 4일밖에 받지 못 하였고, 한약(herbal medication G0054)은한달간 복용하였다. 그리고  2017년 5월 26일 나의 clinic에서 한달간 치료 후의 결과를 다시 추적검사를 하였다. 종양은  41.6ml로 감소되었다. 초기의 종양 크기인 62.9ml에서부터 약 33 %의 체적의 감소를 보였다.  또한 환자는 방사선치료를 하는 동안 아무런 부작용도 느끼지 못하였다.  그래서 말하길 “이렇게 아무렇지도 않으면 과연 치료효과가 있을까”라는 의심을 하였다고 한다.

나는 앞으로 한달 가량 방사선 치료가 끝나고 나서 이 환자를 다시 검사할 예정이다. 그리고 그때의 결과에 의해서 한방단독요법(herbal medication only)으로 치료를 진행할지 아니면 taxol과 함께 진행할지를 결정하려고 한다. 항암제는 매우 강력하고 좋은 결과를 만들지만, 우리 몸이 고유의 면역기능이 약화되므로 외부 면역인 항암제를 빌려서 사용하게 되는 것이다. 이 결과 우리 몸의 자체 면역이 오히려 항암제 때문에 게을러질 수가 있고, 항암을 하다가 중지하면 갑자기 줄기세포(stemcell )들이 자극을 받아서 종양(tumor)이 다시 더 커질 확률도 있다.

그래서 다음의 결과를 기다려 보고 판단을 하여서 환자에게 가장 좋은 방법을 찾아주려고 한다.

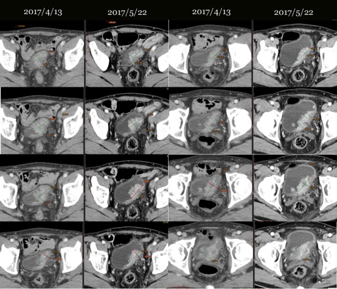
보충)

이 환자는 2017년 5월 31일 방사선 치료 전에 찍은 CT 사진을 가지고 왔다. 그래서  오늘 상담을 하고 이전 최초 발견한 2017년 4월 13일과 한방치료를 한달 가량 받고 아직 방사선 치료를 시작하기 전인  2017년 5월 22일 사진을 비교하였다. 내가 방사선 전문가가 아니기 때문에 전체 체적을 볼 수는 없고, 단지 CT 상 같은 부위를 불규칙한 방광을 침범한 종양의 두께를 재어서 비교를 하였다. 그리고 이는 나의 clinic에서 사용한 한약이 방광에 어떠한 영향을 주었는가를 알 수 있는 자료이다. 독자들은 참고 하시기 바란다.

이장호비교.jpg

전립선 2강. 알파 blocker의 문제점

Doxazosin

From Wikipedia, the free encyclopedia

본고에서는1강에서 이야기 되었던 알파 차단제를 소음인 태음인 전립선 암 환자들에게 사용시에는 주의를 기울여야 한다는 주장을 하였다. 이는 소음, 태음인과 같은 음인 체질에게 일어나는 모든 암은 dehydration으로 인하여서 일어나기 때문이다. 혈류부족은 허혈을 유발하고, 전신 순환하는 혈장량의 부족은 마치 보일라에 물이 적게 들어간 것과 같아서 집안 곳곳이 다 더워지지 못하고 일부 방은 물이 잘 돌아서 덥지만, 일부 방은 물이 돌지 않아서 춥게 된다.

이 추운 곳에서부터 몸은 그대로 견디지 않고, 이를 벗어나기 위해서 새로운 반응을 하게 되는데 자신에 순환하는 유량이 부족하면 방이 차가워지고 이 방의 온도가 일정 이하로 내려가면 그때부터는 이 방의 온도를 유지하기 위해서 비상대책을 사용한다.

다른 데로 가는 유량을 차단시키고, 가장 온도가 낮아서 정점에 이른 방부터 유량을 공급하기 위해 비상 파이프라인을 가동시킨다. 그래서이 방은 과도하게 유량이 주입되면서 뜨거워지고 다른 방들은 이 방에 물을 뺏겨서 차가워지게 되는 것이다. 이러한 원리가 암의 원리이다. 암은 신체 내의 약점인 부위에 – 사람마다 체질마다 혈액이 잘 가는 곳이 있고 혈액이 덜 가는 곳이 있는데 – 가장 혈액이 안 가는 곳부터 신생혈관을 만들어서 혈액과 산소공급을 받다보니 과잉의 혈액이 결국 과잉의 영양을 만들게 되고, 이것이 암의 성장을 유도하는 반면에, 다른 기관들은 혈액을 뺏겨서 면역이 떨어지고 기능이 저하되면서 소모성 질환으로 사망하게 되는 것이 암이다.

그래서 암환자에게는 혈액량 부족이 – 매우 중요한 암의 성장을 유도하는 요인이라, 이뇨제를 함부로 써서는 안된다. 그런데 이 알파차단제의 효능은 이뇨이다. 칼륨을 높이고 소금을 떨어뜨리고 혈압을 낮춘다. 소양 태양인은 상관이 없지만 소음 태음인은 탈수가 유도되어서 가볍게는 갈증과어지러움 무기력감 아침에 피로감과 일어나지지 않는 등의 증상으로 시작되지만 지속적인 사용은 결국 혈액량 부족을 유발하고 – 혈액량부족이 hypoxia를 유발하면서 – 암이 자라게 되는 한 가지 요인이 된다. 더더군다나 암환자들은 이러한 알파차단제로 탈수를 시키는 것은 암의 치료에 전혀 도움이 되지 않고 방해만 된다.


Doxazosin mesylate, a quinazoline compound sold by Pfizer under the brand names Cardura and Carduran, is an α1-selective alpha blocker used to treat high blood pressure and urinary retention associated with benign prostatic hyperplasia (BPH).On February 22, 2005, the US FDA approved an extended release form of doxazosin, to be marketed as Cardura XL.

독사조신은 퀴나졸린 유도체로서 화이자에서 만들어서 카두라라는 상품명으로 공급하고 있는 선택적인 a1- 알파 차단제이며, 고혈압을 치료하고, 양성 전립선비대와 연관된 소변저류를 치료하는 약물이다. 2005 년 2월22일 미국 식약청은 독사조신을 카두라 XL이라는 상품명의 승인을 하였다.

It is an α1 adrenergic receptor blocker that inhibits the binding of norepinephrine (released from sympathetic nerve terminals) to the α1 receptors on the membrane of vascular smooth muscle cells. The primary effect of this inhibition is relaxed vascular smooth muscle tone (vasodilation), which decreases peripheral vascular resistance, leading to decreased blood pressure.

이는 혈관의 평활근세포에 있는 a1 수용체에 교감신경 말단에서 방출되는 norepinephrine이 결합하는 것을 방해함으로써 알파 아드레너직 작용을 차단하는 약물이다.


주) a1 수용체에 norepinephrine이 결합하면 a1 교감신경의 흥분이 일어나는데 이는 한의학상의 화기 즉 소양성의 역할이다. 그래서 알파 차단제에 의해서 이를 차단하여서 노르에프네프린을종판에 붙는 것을 방해함으로써 a1 교감신경 흥분작용인 소양의 운동성을 방해한다. 즉 이는 소음화 시키는 원리로 소음이 과도하게 작용하면 신기능이 왕성해지면서 신주출(腎主出)의 이뇨작용이 활발해지고 몸은 겨울 상태로 들어가며, 겨울나무가 물을 다 배설시키고 탈수가 된 상태로 있듯이 인체는 dehydration 상태로 되게 된다.


Doxazosin and similar medications like prazosin have been found to help reduce the intensity of and/or stop posttraumatic stress disorder night terrors and nightmares. The full explanation for this effect is not understood.

In Egypt, tablet formulation sold as Duracin produced by Biopharm group for research and the drug industry, Dosin by Eipico and Doxazocine by Multi-Apex.

독사조신이나이와 유사한 약물인 프라조신은 외상성 스트레스로 인한 수면중에 일어나는 야경증(놀람이 공포 등)이나 악몽을 중지시키거나 강도를 약화시키는 효과가 있다는 것이 밝혀졌다. 그러나 이러한 기전은 아직 왜 그런지 잘 설명되지 못한다.


주)  소양인들은 고전적으로는 심화가 성하고 한의학적으로는 비주납(脾主納)의 기능이 왕성하여서 물의 과도한 흡수가 이루어지면서 전신 혈장량이 늘어나고  소금의 흡수가 쉽게 되므로  hypervolemia 즉 순환 혈장량의 과도한 상태가 되므로 고혈압과 더불어서 심장의 비대가 나타나게 되고 이러한 심비대가 가슴을 압박하면서 불안 우울증과 분노와 걱정거리 등이 머리 속을  떠나지 않게 되는데 이때 이러한 알파 차단제가 사상의학상에서의 비토의 기능, 고전으로 말하면 심화의 기능을 억제함으로써 신장으로 혈류를 증가시켜 이뇨를 유도하면서 흉격의 번열현상 (이는 실은 심비대로 인한 압박감)을 가라 앉혀서 마음을 안정시키게 된다.

Efficacy

In March 2000, the Antihypertensive and Lipid Lowering Treatment to Prevent Heart Attack Trial (ALLHAT) study stopped its arm of the trial looking at alpha blockers, because doxazosin was less effective than a simple diuretic, and because patients on doxazosin had a 25% higher rate of cardiovascular disease and twice the rate of congestive heart failure as patients on diuretics.[1] Pfizer, aware of the results before publication, launched a marketing campaign in early 2000, and sales were largely unaffected, despite the dangers highlighted by the study.

2000 년3월 – 고혈압을 낮추고 지방을 낮추는 약물들이 – 심장 급성적인 발작(심장마비)를 방지할수 있는 효과를 측정하는 임상실험(ALLHAT) 연구를 중지하였다. 이는 알파 차단제인 독사조신이 단순한 이뇨제에 효과보다 낮고, 독사조신을 사용한 환자들은 심혈관계 질환이 발생할 확률이  – 단순한 이뇨제를  사용한 환자에 비해서 25%나 높게 나타났으며 울혈성 심부전이 두배나 높게 나타났기 때문이다. 화이자는 이러한 결과를 2000년 초에 독사조신을 상용화 하는 런치 마켓 캠페인전에 알고 있었고 이러한 연구에 의해서 조명된 위험에도 불구하고 이의 판매는  크게 영향 받지 않았다.

Doxazosin shows potential for treatment of benign prostatic hyperplasia and erectile dysfunction.[4]Doxazosin has also shown some efficacy in treating chronic epididymitis.

독사조신은 양성 전립선 비대의 치료에 강력한 힘을 발휘하며 발기부전에도 효과가 있고  또한 만성 부고환염에도  효과가 있음을 보여 준다.


주) 독사조신으로 심근경색 발생을 억제할 수 있는가 하는 실험은 중도에 중단되었는데 이는 실험하는 동안 단순이뇨제 즉 라식스 등의 – 이뇨제를 사용한 것보다 많은 비율의 울혈성 심부전이 발생하고 심혈관계 질환이 발생하였기 때문이다. 이러한 울혈성 심부전은 소음 태음이 많이 일어난다. 본인이 이전에 심장병과 소금이라는 글에서 소음인의 심비대와 심장이식을 해야 하는 환자를 짜게 먹이고 한약으로 치료한 결과를 쓴 적이 있는데, 독자들은 이 글을 참조하여서 자세한 전해질 관계를 유추해 보면 알게 될 것이다. 음인이 만약 저염식을 통해서 소금농도가 낮아지면 이는 결국 hypovolemic(순환혈장량의 부족) 상태를 만들게 되고, 이러한 혈류 부족은 그만큼  보상적으로 심장으로 하여금 과수축을 하게 하다 보니 심근의 활동이 많아져서 나중에는 운동을 오래 하면 쥐가 나는 것처럼 심장근육도 수축력을 잃게 되면서 울혈성 심부전이 오게 되는 것이다. 이는 양인의 심비대와는 전혀 다른 기전이다.

독사조신과 유사한 약물로 프라조신이 있는데 FDA에서 제공하고 있는 Drug 정보를 인용해 본다. 이 prazocin도 똑같은 양성 전립선비대에 사용하고 있는 알파 차단제이다. 한의학으로 말하면 신장의 배설기능인 신수 (腎水 신장의 수기)를 강화시키는 약물이다. 신수를 강화시키면 비토가 약화되어서 몸 안에서 수분을 대사시키고 흡수시키는 능력이 떨어지게 된다. 수기가 화기를  누르기 때문에 소음인이나 태음인은 소화에 장애를 유발한다.

프라조신은 알파 차단제이다. 아드레 날린성 α 수용체에서의 작용을 특이적으로 차단하는 약물로서 천연의 알파 차단제는 바로 ergotamine, ergotoxin이라고 불리우는 파킨슨 병에도 응용되는 맥각 알칼로이다. 이 맥각 알칼로이드에 대해서는 나의 원고 – 약물과 건강항목에서  MISOPROSTOL 2부 – 자궁에 대한 효과 라는 제목으로 맥각균으로부터 발생되는 ergotism을 다루었다. 이를 참조하길 바란다. 천연 알파 차단제는 맥각 알칼로이드와 (에르고타민, 에르고톡신) 요힘빈이 있고, 합성품으로 펜톨라민, 톨라졸린, 페녹시펜자민, 다이베나민, 프라조신 등이 있다. 알파 차단제 중에 신경 시냅스 전 수용체를 a2 차단제라고 하고 신경 시냅스 후를 차단하는 약물을 a1 차단제라고 한다. 요힘빈은 a2 차단제이고 페녹시벤자민은 a1과 a2에 같이 작용하며 이러한 맥각 알칼로이드와 유사한 합성 약물이 바로  프라조신이다(간호학대사전).

다음은  FDA에서 제공하는 프라조신의 부작용에 대한 글이다. FDA drug 정보

In Summary

Commonly reported side effects of prazosin include: dizziness. Other side effects include: syncope and drowsiness. See below for a comprehensive list of adverse effects.

프라조신의 복용으로 가장 많이 호소하는 것이 어지러운 증상이며, 이외에도 갑작스러운 실신이나 졸음이 보고된다. 프라조신을 복용하고 나서 원치 않는 부작용이 난다면 의료적인 주의를 기울여야 한다.

For the Consumer

Applies to prazosin: oral capsule, oral tabletAs well as its needed effects, prazosin may cause unwanted side effects that require medical attention.

Major Side Effects   –If any of the following side effects occur while taking prazosin, check with your doctor immediately:  주요 부작용 만약 아래의 부작용이 이약물을 복용하고 일어난다면  즉각 의사에게 자문을 구하십시오 
More common: Less common: Rare Incidence not known:
Dizziness or light headedness, especially when getting up from a lying or sitting position

눞거나 앉아 있다가 일어날 때 어지러움증

fainting (sudden)   갑작스러운 졸도

Loss of bladder control

방광조절장애pounding heartbeat심장의 두근거림swelling of the feet or lower legs

발이나 다리의 부종

Chest pain

trouble breathing

흉통과 호흡곤란

Painful or prolonged erection of the penis

고통스럽게 지속되는 발기

Minor Side Effects   Some prazosin side effects may not need any medical attention. As your body gets used to the medicine these side effects may disappear. Your health care professional may be able to help you prevent or reduce these side effects, but do check with them if any of the following side effects continue, or if you are concerned about them:

부수적인 부작용 – 일부 프라조신 부작용은 치료를 필요로 하지 않으며, 몸에 약이 익숙해지면 이러한 부작용이 사라질 수 있습니다. 귀하의 건강 관리 전문가는 귀하가 이러한 부작용을 예방하거나 줄일 수 있도록 도울 수 있지만, 다음과 같은 부작용이 계속되거나 귀하가 우려하는 경우 그들과 확인하십시오 :

More common: Less common: Rare
Drowsiness headache             lack of energy

 졸음 두통, 기력저하 

Dryness of the mouth   nervousness unusual tiredness or weakness               구갈, 신경과민 흔하지 않는 피로감이나 쇠약감 Frequent urge to urinate           nausea

소변이 잦음과 구역감

 

For Healthcare Professionals

Applies to prazosin: compounding powder, oral capsule

Cardiovascular  심혈관계 부작용

Although all patients are susceptible to prazosin-induced postural hypotension, risk factors include higher doses, coadministration of beta-blockers, and preexisting serum sodium depletion. 모든 환자가 프라조신에 의해 유도된 자세를 이동하면서 오는 저혈압이 나타나기 쉽지만, 위험 인자에는 고용량, 베타 차단제의 동시 투여 및 기존의 혈장의 저 나트륨 상태일 때 잘 나타 납니다(싱겁게 먹을 때).
Animal studies have revealed that prazosin exerts a negative chronotropic action on the sinus node of the dog. Rare evidence of associated bradycardia in man has been reported. A 50-year-old man with benign prostatic hypertrophy developed presyncope, described as “lightheadedness within 45 minutes after taking prazosin”. The patient was referred for pacemaker placement. The patient was convinced that the drug was the offending agent, so he stopped it and became asymptomatic. A follow-up electrocardiogram revealed normal sinus rhythm at 55 beats per minute, and the pacemaker placement was cancelled. The author of this case report has located two other such cases that were reported to the United Kingdom Committee on Safety of Medicines over a 30-year period.[Ref]

동물 실험에 따르면 prazosin은 개의 심장의 박동의 주관하는 동방결절에 부정적인 심박수 변동을 나타내었다. 사람에서 맥박이 느려지는 서맥과 관련된 증거가  소수 보고 되었습니다. 양성 전립선비대증을 가진 50세 남자 환자가 “프라조신 복용 후 45 분 이내에 정신을 잃을 것 같은 실신전 상태로 묘사된 몽롱한 상태로 되어서, 환자는 심장박동기를 달았다. 환자는 그 약이 문제점이 있다고 확신하여 그 약을 중지하니 증상이 사라졌다. 심전도를 측정하니 분당 55 로 정상적인 박동을 보여주어, 심장 박동기를 떼게 되었다. 이 사례보고의 저자는 30 년 동안 영국 의약품 안전위원회에 보고 된 또 다른 두 가지 사례를 찾아냈다.

Cardiovascular side effects are common during initial therapy. A postural hypotension “first dose effect” has occurred in up to 10% to 70% of patients. For this reason, it is recommended that therapy be started with the patient supine, preferably at bedtime. Syncope has been reported in approximately 1% of patients. Other side effects have included palpitations in 7% to 14% of patients, fluid retention in 5% of patients, and rare case reports of angina and sinus bradycardia. Palpitations may have been due to reflex tachycardia secondary to prazosin-induced decreased peripheral vascular resistance and systemic blood pressure.[Ref심혈관 부작용은 초기 치료 동안 흔하다. 앉거나 누었다가 일어날때 나타나는 혈압이 떨어지는 듯한 증상인 “초기 복용 효과”는 환자의 10 %에서 70 %까지 발생했습니다. 이런 이유로 약물복용 환자가 누웠을 때 복용하는 것이 좋습니다. 취침 시간에 하는 것이 좋습니다. 실신은 환자의 약 1 %에서 보고 되었습니다. 다른 부작용은 환자의 7 %에서 14 %가 심계항진, 5 %의 환자의 체액 저류로 인한 부종이 나타나며 및 협심증과 동방결절성 서맥의 드문 사례보고를 포함합니다. 심계항진은 프라조신에 의한 말초 혈관 저항의 감소와 전신 혈압에 이차적 인 반사성 빈맥으로 인한 것일 수 있습니다.

주)  음인들에게서는 프라조신의 복용이 탈수를 유발하여서 혈액량이 저하되므로 주로 저혈압증상이 일어나므로 어지러움증 몽롱함 기력저하 무기력감 등이 일어나는데, 그래서 이를 복용하는시간을 갑자기 어지러움증이 일어나는 것을 방지하기 위하여 침대에 누워 있는 잠자기 전에 복용하라고 경고한 것이다.  또한  부종이 일어날 수 있는 것은 소금농도를 떨어뜨려서 혈장삼투압보다 조직삼투압이 높으면 혈액이 조직으로 가는 조직부종이 일어날 수 있고, 말초혈관의 이완으로 인한  혈관수축의 저하가 혈액공급을 못하다 보니 보상적으로 맥박이 빨라지는 빈맥현상이 일어날 수가 있다. 이는 양인들에게는 드물지만 프라조신을 복용하는 소음인들은 매우 예민하게 느끼고 무기력감에 빠져서 바로 중지하는 사람들도 많다. 그래서 먹어서 안 좋은 사람은 스스로 끊기 때문에 (힘들고 어지럽고 무기력해서) 부작용이 적게 보고 되는 것이며 이러한 것은 약물에 대한 본인선택(약이 안 받는다고 생각해서 환자 스스로 끊는 것)으로 인하여서 크게 문제가 없는 사람만 먹다보니 케이스가 적게 나타난다고 한 것이다. 그러나 맹목적적으로 의사의 권유를 꼭 따르는 사람들은 이러한 부작용을 간과하므로 인해서 문제가 일어난다.

Ocular  안과적 문제점

Ocular side effects including Intraoperative Floppy Iris Syndrome (IFIS) have been observed in some patients undergoing phacoemulsification cataract surgery while being treated with alpha-1 blockers.[Ref]Most reports were in patients treated with an alpha-1 blocker at the time IFIS occurred, but in some instances the alpha-1 blocker had been stopped prior to surgery. The manufacturer recommends that patients be questioned to determine whether or not they have taken alpha-1 blockers prior to being considered for cataract surgery. If it is determined that the patient has taken an alpha-1 blocker, the patient’s ophthalmologist should be prepared for possible modifications to their surgical technique that may be necessary should IFIS be observed during the procedure.[Ref]

α-1 차단제로 치료하는 동안 백내장 수술을 받는 일부 환자에서 수술 중 플로피 아이리스 증후군 (IFIS- 수술중 홍채긴장저하 증후군)을 포함한 안구 부작용이 관찰되었습니다. 대부분의 보고는 IFIS가 발생한 당시 alpha-1 blocker로 치료를 받고 있었던 환자들이었지만 일부 경우에는 수술 전에 alpha-1 차단제가 중단하였지만 발생하였다. 제약사는 백내장 수술 전에 알파 -1 차단제를 복용여부를 의사에게 문의할 것을 권고 한다. 환자가 알파 -1 차단제를 복용했다면 환자의 안과 전문의는 수술중에 IFIS가 나타날 수 있는 가능성을 염두에 두고 이를 방지하기 위한  준비를 해야합니다.

Nervous system  신경계

Hallucinations, irritability, and confusion have been reported in less than 1% of patients. A rare case of hypothermia has been associated with the use of prazosin.[Ref]Nervous system side effects have included headache in 8% to 18% (more common in patients with a history of migraine), fatigue in 8%, and blurred vision in less than 5% of patients.[Ref]

환각, 과민성 및 혼란이 환자의 1 % 미만에서 환각이나 예민해지는 과민성이나 정신혼동 등의 증상이 보고 되었고, 드물게 저체온증이 나타났으며 신경계 부작용으로 인해 두통이 8%에서 18 %(편두통의 병력이 있는 환자에서 더 흔함), 8%는 피로감, 5% 미만의 환자에게서는 시력이 흐려지는 현상이 나타났다. 

Genitourinary

Genitourinary side effects have often been due to alpha-adrenergic blockade of the urinary sphincter muscle.[Ref]Genitourinary side effects have included urinary frequency and incontinence. Impotence has been reported in less than 1% of male patients. Priapism has been reported in a few cases, and may be more likely in patients with renal insufficiency.[Ref]

비뇨 생식기

비뇨 생식기 부작용은 방광의 근육을 이완시켜서 나타난다. 빈뇨와 절박뇨도 나타날 수가 있고 발기 부전은 남성 환자의 1% 미만에서 보고 되었고, 일부 경우에는 장경증이 보고 되었는데 이는 신부전 환자에게서 더 흔했다. 

주)  신부전은 음인들에게 나타나는 병이다. 너무 싱겁게 먹으면 땀과 소변으로 체액이 줄다 보면 몸에서 체액손실을 방지하기 위해서 보상현상으로 소변의 배출을 억제시키는데 이때 사구체 여과율이 줄었다고 하여서 신장이 나빠진 것으로 해석한다. 이러한 음인들이 음성적인 약물을 먹음으로써 신장으로 과도한 혈류가 증가 되어서 발기가 꺼지지 않는 장경증이  보고 된다.

Gastrointestinal   위장관계 질환

Rare cases of fecal incontinence, thought to be due to alpha-adrenergic blockade of the anal sphincter due to prazosin, have been reported.[Ref]Gastrointestinal side effects have included nausea in about 5% of patients. Constipation or diarrhea has occurred in less than 4% of patients. Xerostomia has been less common than with less selective alpha-adrenergic receptor blockers.[Ref]

prazosin 복용으로 인한 항문 괄약근의 실조로(아드레날린성 차단으로 인한) 대변 실금이 드물게 보고 되고  5% 정도가 구역감을 호소하였고 4% 미만의 환자에게서 변비나 설사가 발생하였으며, 구강건조증(xerostomia)의 발생은 선택적 알파 차단제보다는 덜 나타났다.

Hypersensitivity

Hypersensitivity reactions have been rare, and have included urticaria and a serum sickness-like reaction manifest as fever, arthralgias, and cold sweats.[Ref]

과민 반응은 드문 게 나타지만 두드러기 등이 발생하고 발열, 관절통 및 차가운 땀과 같은 혈청병양상의 반응을 나타낸다.

Respiratory

Respiratory side effects have been limited to nasal congestion in less than 4% of patients.[Ref

호흡기 부작용은 환자의 4% 미만에서 비강 충혈이 나타나는 데 그쳤다.

Musculoskeletal

Musculoskeletal side effects including rare cases of musculoskeletal complaints and acute febrile polyarthritis have been associated with the use of prazosin. The suspected mechanism is immunologic hypersensitivity.[Ref

근골격계의 부작용으로 드물게 근골격계의 증상 및 급성 열성 다발성 관절염이 나타났는데 이는  면역 항진때문인가 의심이 된다.

결)

위와 같이 알파차단제가 가지는 음인에게서의 전해질상의 Na (소금농도) 저하가 일으키는 여러 증상들 어지러움증 갈증 무기력감 쇠약감이나 면역학적 이상으로 인한 염증반응의 항진- 관절염  두드러기와 더불어서 가장 심각한게 체내의 혈액량 저하로 장기적 사용이 음인체질에게는 암과 연관 될 수 있다는 것을 이야기 하고  다음 3강에서는 이러한 알파차단제를 끊고 치료했던 환자들의 경험을 살펴 보겠다.

 

 

전립선암 1강. 4기 전립선암 소음인 사례 – 뼈전이 림파절 전이 방광 대장벽 전이

남자들이 나이가 50이 넘어가면서 비대가 오고, 잦은 소변감을 느끼게 되고 참지 못하게 되면서 전립선 비대를 알게 되면 양방에서 흔희들 양성 전립선 비대에 알파 브로커라는 하루날 하이트린 카두라 등의 prazocin, doxazocin 등의 약물을 사용한다. 이는 이전 약물로 오늘날은 훨씬 많은 약들이 개발되어서, 전립선 환자들은 쉽게  빈뇨에 도움을 주고 양성 전립선비대를 억제하는 데 유용한 약물로 a-adrenergic antagoinst의 범주에 해당하는 약물들을 복용하기 시작한다. 그런데 이러한 전립선 환자들에 사용하는 약물은 크게 두 가지로 나뉜다. 하나는 소변의 급박함이나 야간빈뇨를 없애는 a-adrenergic antagonist(알파길항제)와 더불어서 전립선이 androgen의 과다에 의한다는 이론에 따라 androgen을 억제할 수 있는 finasteride 등 프로스카 등 약물이 사용된다.

이중의 알파길항제는 소양인 약물이고 항안드로겐으로 양성 전립선비대에 사용되는 prosca는 소음인 약물이다. 양성 전립선비대가 아닌 악성 전립선암에는 이러한 prosca 대신에 casodex라는 상품명의 bicalutamide를 사용한다.

프로스카라는 상품명의 finasteride는 에스트로겐인 양성물질을 안드로겐인 음성물질로 변화시키는 효소인 5-alpha reductase라는 효소를 억제함으로써 안드로겐의 과잉을 막는 약물이다.   그런데 이 약을 사용하다 보니까 환자들이 머리털이 검게 되고 머리털이 나기 시작해서 오늘날은 바르는 약물인 minoxidil과 함께 이 프로스카의 용량을 줄인 약물이 프로페시아라는 대머리 치료제로 사용되고 있다.

그런데 본인의 주장은 이러한 양성 전립선비대의 약물이 환자들마다 달리 사용되어야 한다는 주장이다. 전립선 암환자들조차도 이 알파차단제를 지속적으로 복용하는데, 대부분 양성 전립선비대를 거쳐서 전립선암으로 진행한다. 아무리 잘 치료해도 이러한 알파 차단제를 끊지 않으면 결코 좋은 결과가 올 수가 없다. 이는 소음인이나 태음인의 전립선암에 매우 안 좋은 방향으로 작용을 한다.

이러한  이론은 나중에 상세히 기전과 함께 설명하기로 하고 이 원고에서는 전립선암 환자들의 사례에 대해서 써보려고 한다. 물론 매우 말기 환자들의 자료이다.

사례1)  전립선암 뼈전이, 골반벽림프절 전이, 방광및 대장벽전이 – 수술 불가한 4기 환자

이 환자는 소음인 전립선암 환자로 당시 일산 백병원에서 전립선암 발견 이후 수술하려고 열었다가 고환절제술만 하고 수술을 못 하고 닫아버린 사례이다. 당시 병원에서 약 2개월 정도 생명연장이 가능하다고 사형선고를 받은 경우이다.

전립선암이 열어 보니 방광 대장을 다 침범하여서 거의 9cm 이상의 종양이 퍼져 있었고, 주변 ischial lymph node(골반 주위의 림프절)의 다발성전이가 있었던 분이다. 이후 본원에 와서 양방에서는 사용치 않는 양성 전립선비대를 억제하는 프로스카와 본원의 한방요법을 결합하여 전립선암이 거의 없어진 상태로  3년 이상을 정상생활을 하였고 그 후 술 담배를 다시 하기 시작하고 일년만에 다발성 폐전이가 되어서 폐렴합병증으로 사망한 사례이다. 자료를  2000 년도의 자료라 찾기가 어려워서 나중에 더 보충 자료를 넣어 보려고 하지만 본고에서는  2007 년도 본인이 삼성의료원의 산부인과 배덕수 과장 소개로 한의학의 암치료에 대한 강의를 초청받아서 갔을 때 자료를 가지고 이 환자의 사례를 설명해 보겠다.

case 1   전립선암 4기  뼈 전이 방광대장벽전이  골반벽림프절전이

1-3.jpg

1-2.JPG

나이는 74세로 당시 뼈전이와 골반벽전이 대장방광전이가 있어서 열었다 바로 닫아버리고  2달선고를 받고 나서 한방을 찾았다. 위에서 보듯이 경추에 전이가 있었고, 아래 사진과 같이 약 9cm 정도의 종양이 방광벽을 침범하여서 방광이 일그러져 보이고(하얀 소변이 찬 부분 아래쪽면) 대장도 밀려서 화살표에서 보는 작은 점이 남아 있는 대장의 크기로 대변을 거의 못 보다시피 가늘게 나왔다.

1-4.jpg

가족 중에 따님이 나와 교우가 있는 사이라, 또 병원에서 두달 남았다 하니 우리 병원에 찾아와서 치료를 시작하였다. 나는 당시 양방 선생님께 부탁하여서 양성 전립선비대에 사용하는  프로스카와 한약 A2로 명명 지어진 종합한방약물을 투여하였다.

1-5.jpg

위의 CT에서 보듯이 왼쪽 사진에 흰 화살표와 검은 화살표로 경계 지어지는 부분은 왼쪽 골반뼈에 접한 림프절인데 거의 10cm 이상을 육박하고 우측 사진에서는 위쪽은 방광벽, 아래로는 대장을 침범한 사진을 볼 수 있다. 워낙이 복부에 퍼져 있어서 바로 보고 닫았다고 한다.

이후 나의 방법대로 A2라는 약물과 프로스카를 병행하여서 두 달여를 치료하였다. 양방에서는 이 프로스카라는 약물은 양성 전립선비대에만 사용하는 약물로 암에는 효과가 없다고들 양방 선생님들은 이야기 하지만 내가 보는 견해는 그와 다르다.

1-6.jpg

이 환자는 두 달여의 치료에 좌측 사진에서 보듯이 왼쪽 골반벽의 종양이 모두 소실이 되어서 아래 사진에서 보이지 않고, 우측도 마찬가지로 이전 검은 화살표에서 보는 방광벽의 침범이 아래 사진에서는 정상 소변이 차서(조영제가 하얗게 보임) 면이 매끄럽게 다 없어지고, 아래 대장쪽도 다 소실이 된 상태이다.

1-7.jpg

이 환자는  이후  9 개월간의 사진을  이전 발표본을 그대로  수록해본다.

1-9.jpg

1-10.jpg

위에서 보듯이 환자는 종양이 거의 소실된 상태에서 정상생활을 2년여 하시고 나서 약을 소홀히 하면서부터 술과 담배를 다시 하기 시작하였고 3년째 되던 해에 다시금 종양이 폐로 전이 되어서 lymphanagitic 양상을 보이다가 폐렴 합병증으로 사망하였다. 이 환자가 당시 관리가 좀더 잘 되었더라면 하는 아쉬움이 있지만 한양방 협진으로 두달을 3년 넘게 고통 없이 정상생활을 하며 유지시킬 수 있는 가능성을 보여주는 사례이다.  2강에서 또 유사하고 더 심한 환자의 사례를 설명해보겠다.