간암 5강 소음인 항암약물을 사용한 태음인

간암 4강에서 넥사바는 태음인 약물이지만 side effect가 심하여서 사용하는 데 문제가 있다는 이야기를 하였고 태음인에게는 adriamycin의 색전술이 잘 듣지 않는다는 설명도 하였다. 이번 5강에서는 최근 간암 환자가 소음인 약을 사용하고 나서 얼마나 빨리 퍼졌는지에 대한 사례를 통해서 항암제는 꼭 체질에 맞게 사용해야 한다는 당부를 하고 싶다. 이 환자는 이제 본원에서 치료를 시작하였기에 한 두달 뒤에 follow up을 정확하게 해 보고 독자들에게 설명해 보려고 한다. 말기 간암 환자가 과연 어떻게 반응할는지? 우리가 낙망만 하고 있으면 더 이상 갈길이 없다. 이 환자는 아직 젊기 때문에 매우 나쁜 상태이지만 치료를 시작하였는데 동서양의 결합치료가 어떤 결과를 가져올지는 나도 궁금하다.

47세의 남자인 이 환자는 젊어서부터 담배를 피기 시작하였는데 20년간 거의 하루 한 갑이상을 피웠고 최근에 경제사정이 나빠지자 스트레스로 하루 2 갑씩을 피웠다고 한다. 그런지 1년이 되어서  복통을 느껴서 검진 결과 간암(hepatocellular carcinoma)으로 복부에 임파전이가 있고 여러 개의 작은 암덩이와 함께 제일 큰 간암의 크기는 약 11cm 정도로 판명되었다(2016/7/9).

5-1.JPG

이후 8월 7일 MR상 거의 간의 우엽에 14cm 가까이 되는 종양이 보이는데 그 사이에 암이 3cm 이상 자랐다는 이야기가 된다. 이후 K 의료원에서 넥사바라고 불리우는 sorafenib을 2달 동안 사용하였다. 이후 결과는 간의 종양은 약간 자랐다고 볼수 있고 간암의 수치는 많이 떨어졌다고 하였다.

가족들은  간암의 수치가 좋아져서 간의 종양도 많이 줄었을 것으로 기대하였으나 크기는 오히려 약간 커지는 경향을 보이자 많이 실망을 하였고, 이후 주치의는 소음인약인 5-fu. leucovorin.cisplatin 등 folfox 공식을 사용하여서 2016년 11월부터 12월까지 한 달간을 사용하였다.

sorafenib은 바이엘과 오닉스사에서 함께 개발한 약물로 kinase inhibitor이다. 신세포암과 간세포암 그리고 방사선요법에 저항하는 갑상선암 등에 사용되고 있다.

Sorafenib (co-developed and co-marketed by Bayer and Onyx Pharmaceuticals as Nexavar),[1] is a kinase inhibitor drug approved for the treatment of primary kidney cancer (advanced renal cell carcinoma), advanced primary liver cancer (hepatocellular carcinoma), and radioactive iodine resistant advanced thyroid carcinoma.Sorafenib is a small inhibitor of several tyrosine protein kinases, such as VEGFRPDGFR and Raf family kinases (more avidly C-Raf than B-Raf).[2][3][4]

Liver cancer[edit]

At ASCO 2007, results from the SHARP trial[14] were presented, which showed efficacy of sorafenib in hepatocellular carcinoma. The primary endpoint was median overall survival, which showed a 44% improvement in patients who received sorafenib compared to placebo (hazard ratio 0.69; 95% CI, 0.55 to 0.87; p=0.0001). Both median survival and time to progression showed 3-month improvements. There was no difference in quality of life measures, possibly attributable to toxicity of sorafenib or symptoms related to underlying progression of liver disease. Of note, this trial only included patients with Child-Pugh Class A (i.e. mildest) cirrhosis. The results of the study appear in the July 24, 2008, edition of The New England Journal of Medicine. Because of this trial Sorafenib obtained FDA approval for the treatment of advanced hepatocellular carcinoma in November 2007.[4]
In a randomized, double-blind, phase II trial combining sorafenib with doxorubicin, the median time to progression was not significantly delayed compared with doxorubicin alone in patients with advanced hepatocellular carcinoma. Median durations of overall survival and progression-free survival were significantly longer in patients receiving sorafenib plus doxorubicin than in those receiving doxorubicin alone.[4] A prospective single-centre phase II study which included the patients with unresectable hepatocellular carcinoma (HCC)concluding that the combination of sorafenib and DEB-TACE in patients with unresectable HCC is well tolerated and safe, with most toxicities related to sorafenib.[15] This is the only indication for which sorafenib is listed on the PBS and hence the only Government-subsidised indication for sorafenib in Australia.[13] Along with renal cell carcinoma, hepatocellular carcinoma is one of the TGA-labelled indications for sorafenib.[10]  (wikipedia 인용)    

2007년도  SHARP trial에 의하면 placebo와 비교할 때 중앙생존값이 44%나 증가했다고 보고되었다. 또한 중앙생존값과 진행을 멈춘 기간은 3개월 정도가 더 늘어났다고 하였다. 그러나 그 독성때문에 삶의 질에서는 차이가 없다고 하였다. 이 결과는 2008년 7월2 4일 뉴잉글랜드 의학저널에 실렸고, FDA는 2007년도에 간암치료제로 승인을 하였다. 이는 간경화를 예측하는 child-pugh score A환자를 대상으로 하였다. child-pugh score는 만성적인 간경화를 예측하는 기준으로 A에 속하는 환자는 1년 생존률이 100%, 2년생존률이 85%에 해당되는 환자군을 의미한다. 무작위적인 이중맹검법을 사용한 phase II trial에서 소음인약인 독소루비신과 소라페닙을 결합한 치료는 독소루비신 단독 치료에 비해서 큰 차이가 없었지만 전체 생존률(overall survival)과 무진행생존률(progression-free survival)에서는 독소루비신 단독보다 같이 시행한 군이 월등히 길었다고 보고하였다. 또한 전향적인 (prospective single-centre) phase II trial은 절제할 수 없는 간암환자군을 포함하였고 색전술과 sorafenib를 결합치료를 하였는데, 환자들은 비교적 안전하고 잘 견디었는데 부작용은 모두 넥사바로 인한 것이었다. 이로 인하여서 오스트랄리아에서는 오로지 이 같은 색전술과 함께하 는 방법에 한해서 정부 보조를 하고 있다.

이 환자는 넥사바에서 약간은 종양이 증가 하였지만 암수치는 떨어졌고, 다만 위점막의 자극이 심하여서 먹는 데  매우 심각한 부작용이 있었다고 하였다. 이는 내가 해석하길 환자가 체력이 안 좋을 때는 전체 혈장량이 준다. 이런 경우 체중은 평소와 비슷하여도 혈장량이 줄기 때문에 약이 고농도로 작용을 하게 된다.  그러면  이러한 부작용이 나타난다. 또한 싱겁게 먹는 것이 대부분 간암 환자에게 권유되는 식이요법이다. 그러면 오히려 산분비를 자극하게 된다. 이 경우 알마겔 같은 제산제를 높혀 먹이면 문제가 해결되는데 tiropa 같은 소양인 위장약이나 요새 많이 사용되고 있는 스티렌 같은 쑥제제인 소음인 위장약이나, cimetidine, 잔탁 같은 h2 blocker를 사용하면 오히려 점막자극이 심해진다.

이후 주치의는 folfox 공식에 준하는 cisplatin 5-fu. leucovorin을 결합 사용하였는데 이는 모두 소음인 약물로 소음인에게는 유효하지만 태음인에게는 반응을 하지 않거나 더 빨리 암을 진행시킬 수있다. 암은 유지시키는 것만으로도 중요한데 암 크기가 다소 늘어났다고 하여서 소음인 약으로 바꾸고 나서 결국은 매우 악화되어서 며칠 전 본원에 내원하였다. 이를  비교해 보면 다음과 같다.

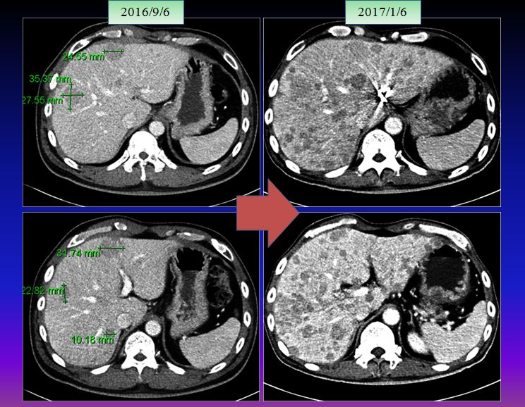
5-2

5-2-1

9월 사진만 해도 약간씩 증가된 것으로 보이는데 한 달간 소음인 약물로 추론되는 항암제를 사용하고 나서 간 전체가 무수히 많이 보이는 점들로 꽉 차게 되었다. 여기다가 또 무슨 약침이니 하는 요법을 하는 도중에  본원에 내원하게 되었다. 환자는 나이가 아직 젊다는 것 빼놓고는 무엇하나 건질 것이 없는 정도로 상태가 나빴지만 어느 한의사 선생님이 소개해 주어서 내원하였다 한다.

한의학이든 양의학이든 무슨 약물 하나로 낫는 것은 없다. 말기 환자가 되다 보면 병리적으로 생리적으로 많은 문제점을 안고 있다. 이런 것 하나 하나를 해결하면서 넘어가야 한다. 하지만 나는 아직은 긍정적으로 생각하고 이 환자에게 치료를 권유하였다. 환자나 가족의 투병의지를 보면 어느 정도 예측을 할 수가 있다. 정성 없이 무슨 약만 가지고  나을 수 있다고 생각하는 가족들도 가끔은 보인다. 말기라는 소리를 듣고 나면 기운이 빠지고 좌절이 되고  투지조차 없는 경우도 많다. 하지만 가족들이 정성을 보이고 주변에서 용기를 북돋아주면 환자는 의외의 결과를 보이는 경우도  많이 있다.

나같이 말기 암을 다루는 선생님들이나, 말기암 환자들을 위해서 이분의 자료를 상세히 적어보겠다.

5-3.JPG

아래의 그림과 같이 folfox  3차에 다발성으로 전간에 작은 nodule들이 퍼지는 것을 볼 수 있다.

5-4.JPG

이 환자는 몇 일간 한약을 복용하고서 연락이 왔다. 약은 억지로 먹었지만 소화가 너무 안되서 힘들다고 하였다. 나는 약국에서 가스제거제인 시메티콘과  Mgo (마그밀)  또한 알마겔 등의 복용을 지시하였고  clonixin이라는 진통제를 사먹게 하였다. 이후 환자는 이를 복용하고 나서 깊은 잠을 자고 나서 속이 편해졌다고 하였다.

태음인의 생리는 간대 폐소이다. 동무 공께서는 간수열리열병과 비수한표한병의 두 항목으로  태음인 병의 대강을 나누었다. 태음인은  머리에서 부터 내려오는 뜨거운 열인 청음이 잘 내려오는 체질이다. 앞으로 양기가 내려오지 못하여서 온음이 위완이나 소장국을 덮히지 못하고 반대로 상초의 열이 등을 타고 아래로 내려와서 폐국과 간국이 모두 뜨거워지는 체질이다. 반면에 아래서 시작하는 찬기운인 양기가   앞쪽으로 올라갈 때는 청양이라고 표현하고 뒤쪽으로 등으로 올라갈 때는 온양이라고 표현되는데 청양은 잘 상승하여서 소장 위완국이 차가워지지만 등으로 올라가는 찬 기운인 온양은 잘 오르지 못하여서 간과 폐가 모두 열국에 빠진다. 이로써 간수열리열병이 발생하는데 이의 궁국이 간암으로 볼 수 있다. 열이 배부인 간국으로 모두 가고  소장국이 비기 때문에 소장에서는 한증이 발생한다. 이는 오늘날 서양적인 개념에서는 장에 있는 nicotinic한 신경총인  auerbach plexus의 기능이 원할치 못하여서 발생하는 것이다. 태음인은 nicotin성의 cholinergic한 운동이 부족한 사람으로 볼 수 있다. 자연 소장에 한기가 침범하면 소장의 연동운동을 주관하는 nicotinic  운동 즉 motoristic한  auerbach plexus의 활성화가 안되면서 장의 운동이 느려지고 가스가 차고 복부를 압박한다. 가스는 위로 올라오면서 분문 (esophageal gastric junction )의 이완과 함께 산을 역류 시켜서 흉통을 초래한다. 이때 마그밀을 사용하면 장운동이 되면서 장에 오래 저류돼서 차던 가스가 나가게 되고 이로 인하여서 산역류의 원인이 없어진다. 또한 이미 역류한 산은 알마겔이나 따스한 우유와 설탕을 섞어 마셔도 쉽게  해결된다. 이 환자는 내게 오기 전에 morphin 계열의 약물을 진통제로 복용하였다. 이는 간담도계 환자로 하여금 매우 빨리 악화시키는 정말 말기가 아니면 사용치 말아야 할 약물이다.

모르핀보다는 내가 제시한 clonixin lysnate 성분이 훨씬 임상적으로 잘 듣는다. 암환자의 통증은  무시무시한 것처럼 표현되어서 쉽게 모르핀 유사제제들을 사용한다. 이는 태양인 약물이다.

Like loperamide and other opioids, morphine acts on the myenteric plexus in the intestinal tract, reducing gut motility, causing constipation. The gastrointestinal effects of morphine are mediated primarily by μ-opioid receptors in the bowel. By inhibiting gastric emptying and reducing propulsive peristalsis of the intestine, morphine decreases the rate of intestinal transit. Reduction in gut secretion and increased intestinal fluid absorption also contribute to the constipating effect. Opioids also may act on the gut indirectly through tonic gut spasms after inhibition of nitric oxide generation.[30] This effect was shown in animals when a nitric oxide precursor, L-arginine, reversed morphine-induced changes in gut motility.[31]  (wiki 인용)

모르핀은 장의 신경총에 작용하여서 장운동을 억제하며 변비를 유발한다. 이는 장에 있는  μ-opioid receptors의 수용체에 작용한다. 장이 비는 것과 장의 연동운동을 억제함으로써 장의 수송을 감소시킨다. 장의 분비를 억제하고 장에 오래 멈추어 있게 함으로써 장의 진액흡수를 증강시킨다. 그리하여 변비를 일으킨다.  암환자가  일으키는 복통중에는  장운동이  덜되다 보면 가스가 많이 저류되면서  가스가 위로  오르면서 함께 산을  역류시켜서  산에 의한 자극과 가스에 의한 복부압박등을  느끼는 경우가 자주 있는데 이때 무작정 모르핀계열을 주면  장운동은 더 억제되어서  안움직이고, 가스는 더차고  거기다가  저혈당이라던지,  담즙분비를 억제하므로써  황달이나 간수치도  오르게 하고  환자로 하여금  멍하고  정신없이 휘둘리는 등의 증상이 나타나는데  이때 잘 모르면 당장 어떻케 될 것 처럼 보인다. 게다가  구갈감이  심하여져서  입이 마르니 식욕도 뚝 떨어지고 체력은 급격히 악화된다. 그래서 뼈로 가는 전이 나  어쩔수 없는 신경압박으로 인한 통증을 제외하고는 쉽게  사용해서는 안되는 약물이다. 또한 많은 환자들이 대체 약물, 양방 선생들이  너무 약해서 안듣는다고 생각하는 대체 약물들에 의해서 쉽게 문제가 해결되는 경우도 많다.

여기서 말하는 연동운동이나 분비의 억제는 변비를 일으키는데 소위 한방에서 말하는 조증에 해당하는것이다. 소음인 편에도 위가실 비약증과 같은 조증이 있고 태음인 편에도  조열증이 간수열 리열병에  등장한다. 이는 모두 한편으로는 차가운 기운인 온양이 등을 타고 오르지 못하여서 땀으로 배부로 나가면서 신국이나 간국이 조열에 빠지는 병으로 모두  변비가 특징이다. 반면에 청양이 잘 오르지 못하는 태양 소양인은 위수열 리열병 즉 대장수열 리열병이나  소장수열 표열병의 변비를 동반하는 증상을 일으킬 수가 있다. 여기서 위의 환자의 증상은  뜨거운 온음이  복부를 타고  위완 소장으로 내려오지 못하여 일으키는 소장수한병으로 이의  실체는 장에서의 연동운동 부족으로 인한 가스팽만과 식도역류등의 증상을 동반한다. 그리하여 위의 MGO 같은 연동운동제제와 알마겔과 같은 제산제 혹은 한방의 지장수와 같은 스멕타 등으로 정장을 시키면서 편하게 되었다. 이 경우 듈코락스는 사용하면 안된다. 다 같은 변비약이지만 듈코락스는 meissner 신경총에 작용하여서 주로 secretion을 일으킨다. 양의 두 가지 속성 중의 하나인 태양성의 운동과 소양성의 분비중에 마그밀은 운동성을 증가시키는 약물이며   듈코락스는 한방제제의 파두와 같이 점액분비를 자극하는 약물이다. meissner 신경총은  submucosal 신경총으로 주로 장액인 mucin 분비를 자극한다. 태음인은 분비는 비교적 잘 되지만 운동성이 떨어지기 때문에 만약 마그밀 대신에 듈코락스를 사용한다면 장에서 분비만 항진이 되어서 대변은 운동성이 떨어져서 안 나오면서 물설사만 하게 된다. 또한 소음인의 변비는 muscarinic한 소양성의 진액 분비가 떨어지는 쪽이므로 소음인에게 MgO를 사용한다면 운동만 항진이 되어서 배만 연동운동의 항진으로 아프지 변은 나오지 않게 될 것이다.

태음인들에게는 한방의 대계 소계 등이 훌륭한 간장약물이다. 이는 엉컹퀴라고 불리우는데 서양에서도 일찍이 간에 관한 질환에 silymarin이라는 약명으로 사용하고 있다. 또한 동무 공께서 말씀하신 건율 제조탕의 건율과 제조 (굼벵이) 또한 간을 치료하는 훌륭한 약물이다. 엉컹퀴는 동양에서도 역시 서양처럼 일찍부터 간장을 치료하는 약물로 사용되었다.

대계는 명태조의 아들인 주왕주숙이 편찬한 구황본초에 따르면 다음과 같다.

大薊(救荒本草卷一明周王朱橚撰)

大薊舊不著所出州土 云生山谷中 今鄭州山野間亦有之 苗高三四尺 莖五稜 葉似大花苦苣菜葉 莖葉俱多刺 其葉多皺葉 中心開淡紫花 味苦性平無毒 根有毒 救飢採嫰苗葉煠熟水淘去苦味油鹽調食

대계는 이전에 어디서 나는지 기술된 바가 없다. 산곡 중에서 나는데 오늘날 정주산야간에도 많이 있다. 높이는 3-4 척이 되고 잎은 대화고거채와 비슷하다. 줄기와 잎에는 가시가 많고 잎은 주름이 많이 져 있다. 가운데 담자색의 꽃이 피는데 맛은 쓰고 평하고 독이 없고 뿌리는 독이 있다. 구황식물로 사용하는데 어린 잎을 데쳐 따스한 물에 씻어서 쓴 맛을 없앤 후에 기름이나 소금으로 조리한다.

5-5.JPG

대화고거채는 가시상추로서 lactuca serriola이다. 이는 태양인 약물로서 혼동하면 안 된다. 흰 유액이 많고 쓴 맛이 있는데 태양인들에게는 매우 식욕을 돕는다.

엉컹퀴와는 잎이 비슷하게 보이지만 가시가 억센 것이 다르다. 그리고  가시상추는 줄기가 무른 반면에 이는 뻗뻗하다.실로 위의 모습을 보면 큰엉컹퀴와 잎새가 매우 비슷하게 보인다.

5-6.JPG

또한  silymarin 혹은 밀크시즐로 불리우는 서양의 엉컹퀴 격인  Silybum marianum은 형태적으로  유사하다.

5-7.JPG

 송대의 유명한 당송팔대가의 한 사람인 소동파 소식과 심괄의 책을 함께 모은 소심양방에서는 이러한 대계에 대한 간병의 증상에 사용을 수록하고 있다. 토혈 타혈 뉵혈 등 피를 토하거나 가래에 섞여 나오거나 코피를 쏟거나 하는 증상에 사용하고 있는데 이는 모두 간경화나 간암 등에서 발생하는 식도정맥류의 출혈을 의미한다. 특히 대계와 상사자를 같이 사용한 것은 더욱 절묘하다.

(蘇沈良方巻五宋蘇軾沈括撰)

治吐血唾血

阿膠剉碎㣲炒 卷柏去塵土 生乾地黄乾山藥大薊獨根者更佳曰影乾 五味子淨各一兩 柏子别研 茯苓百部逺志去心各五錢 右擇好藥材依方修製羅為末煉蜜丸如彈子 大不拘時用濃煎小麥并麥門冬湯嚼下半丸加至一丸若覺氣虚空心不用服

治鼻衂

大薊根一兩 相思子半兩 右每服十錢水一盞煎至七分去滓放冷服王朝散女子大衂一日已昬不識人舉家發哭用藥皆無效有人傳此方一服止

송대의 당신미의 증류본초에서도 이전 서책에서 간병에 대계나 소계가 사용된 기술을 보이고 있다.

대계는 잎은 차가운 성질로 장옹(간암)과 뱃속에 고인 어혈을 치료한다. 성혜방에서는 심열로 인한 토혈과 입이 마르는 증상에 자계옆(刺薊葉)과 (cirsium crispus지느러미엉겅퀴) 뿌리를 사용한다 하였고, 매사방에서토 갑작스러운 토혈과 선혈을 쏟는 데 소계옆(cirsium setosum)을 사용한다고 하였다. 간요제 중에서도 구규출혈에 지느러미 엉컹퀴를 사용하는 기록이 나와 있다. 이 중에 소계는 우리나라의 식물 중에 조뱅이와 유사하다.

(證類本草卷九宋唐慎微撰)

大薊葉凉治腸廱腹藏瘀血

聖惠方治心熱吐血口乾用刺薊葉及根擣絞取汁每服一小盞頓服

梅師方治卒吐血及瀉鮮血取小薊葉擣絞取汁温服

簡要濟衆治九竅出血以刺薊一握絞取汁以酒半盞調和頓服之如無清汁只擣乾者為末冷水調三錢匕

5-9cirsium-crispus

5-8

(世醫得效方卷七元危亦林撰)

熱證大薊散治飲啖辛熱熱邪傷肺嘔吐出血一合或半升許名曰肺疽 大薊根洗 犀角鎊 升麻 桑白皮炙 蒲黄炒 杏仁去皮尖 桔梗去蘆炒各一兩 甘草半兩

右挫散毎服四錢水一盞半生薑五片煎不拘時温服

특히 원대의 위역림은 세의 득효방에서 이러한 토혈병증에 대한 즉 식도정맥류 출혈에 대한 거의 완벽한 태음인 처방을 구사하고 있는데 대계근 서각방 승마 상백피 포황 행인 길경 등 감초를 제외하고는 모두 태음인 약물로 폐를 보하면서 혈열을 치료하는 대계 서각 포황 등을 사용하였다.

한의학도들은 모름지기 널리 살펴 고인의 처방을 본으로 하고 연구를 깊히 하면 한걸음 한걸음씩 치료의 경계에 이르게 될 것이다. 시간과 젊음을 아껴서 연구에 몰두 해야 의사로서의 삶에 후회가 없을 것이다. 이미 고인들이 모두 같은 병을 연구하였고 고심 궁구 끝에 이러한 처방을 이루어 놓은 것이니 고맙게 생각하고 이를 개발하는 데 힘써야 할 것이다. 거짓으로 선전을 일삼고 자신의 영업에만 힘쓰는 가짜들이 한의학의 다양한 보고와 귀한 체험을 오염시킨다. 노력으로 가면 반드시 사람을 치료할 수 있는 길이 열리리라고 본다.  또한 오늘날도 좋은 약들이 많은데 역시 이를 연구 하여서 같이 응용하면 훨씬 더 좋은 결과가 있으리라고 생각한다.  開而不達即思는 동무 공께서 가르치신 바이다. 열심히 두드려보고 아니되면 또 생각하고 생각하라  궁구- 아홉 번을 무릅치는 경지에 도달하면 즉 열릴 것이라는 이야기는 참으로 깊은 체득에서 우러나온 말씀이라고 새겨진다.

One comment

김효진님에게 덧글 달기 응답 취소